About   Help   FAQ
Gene Expression Data
Assay Details
Assay
Reference: J:153498 Diez-Roux G, et al., A high-resolution anatomical atlas of the transcriptome in the mouse embryo. PLoS Biol. 2011;9(1):e1000582
Assay type: RNA in situ
MGI Accession ID: MGI:4827665
Gene symbol: Rcl1
Gene name: RNA terminal phosphate cyclase-like 1
Probe: MGC clone 60478
Probe preparation: Antisense labelled with digoxigenin RNA
Visualized with: Alkaline phosphatase
Assay notes: Cryosections of fresh frozen material were fixed in 4% paraformaldehyde for 20 min. before further processing. A tyramide-biotin/streptavidin amplification step was included in the in situ hybridization procedure.
Results
Specimen euxassay_006608_01: embryonic day 14.5 (more )
Structure Level Pattern Image Note
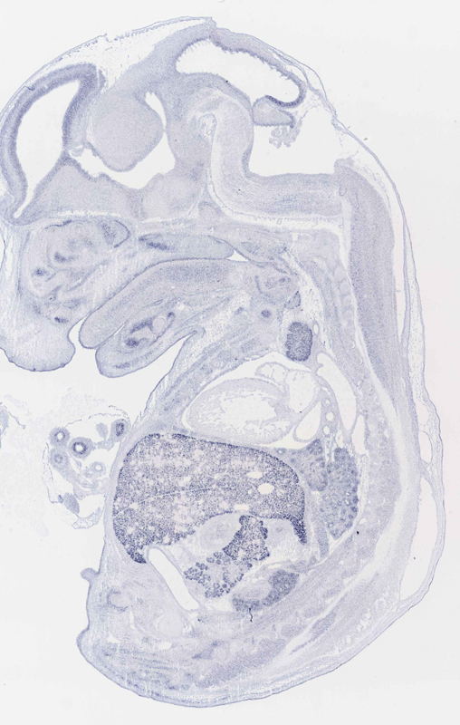
TS23: liver left lobe Strong Regionally restricted euxassay_006608_01

Specimen euxassay_006608_02: embryonic day 14.5 (more )
Structure Level Pattern Image Note
TS23: liver left lobe Strong Regionally restricted euxassay_006608_02

Specimen euxassay_006608_03: embryonic day 14.5 (more )
Structure Level Pattern Image Note
TS23: liver left lobe Strong Regionally restricted euxassay_006608_03

Specimen euxassay_006608_04: embryonic day 14.5 (more )
Structure Level Pattern Image Note
TS23: liver left lobe Strong Regionally restricted euxassay_006608_04
TS23: axial musculature Strong Regionally restricted euxassay_006608_04

Specimen euxassay_006608_05: embryonic day 14.5 (more )
Structure Level Pattern Image Note
TS23: liver left lobe Strong Regionally restricted euxassay_006608_05
TS23: axial musculature Strong Regionally restricted euxassay_006608_05

Specimen euxassay_006608_06: embryonic day 14.5 (more )
Structure Level Pattern Image Note
TS23: liver left lobe Strong Regionally restricted euxassay_006608_06
TS23: axial musculature Strong Regionally restricted euxassay_006608_06
TS23: testis Moderate Regionally restricted euxassay_006608_06

Specimen euxassay_006608_07: embryonic day 14.5 (more )
Structure Level Pattern Image Note
TS23: liver left lobe Strong Regionally restricted euxassay_006608_07
TS23: axial musculature Moderate Regionally restricted euxassay_006608_07
TS23: submandibular gland primordium Strong Regionally restricted euxassay_006608_07
TS23: vibrissa Moderate Regionally restricted euxassay_006608_07
TS23: testis Moderate Regionally restricted euxassay_006608_07
TS23: renal cortex Moderate Regionally restricted euxassay_006608_07

Specimen euxassay_006608_08: embryonic day 14.5 (more )
Structure Level Pattern Image Note
TS23: liver left lobe Strong Regionally restricted euxassay_006608_08
TS23: submandibular gland primordium Strong Regionally restricted euxassay_006608_08
TS23: midgut Weak Regionally restricted euxassay_006608_08
TS23: vibrissa Moderate Regionally restricted euxassay_006608_08
TS23: testis Weak Regionally restricted euxassay_006608_08
TS23: renal cortex Moderate Regionally restricted euxassay_006608_08

Specimen euxassay_006608_09: embryonic day 14.5 (more )
Structure Level Pattern Image Note
TS23: liver left lobe Strong Regionally restricted euxassay_006608_09
TS23: submandibular gland primordium Strong Regionally restricted euxassay_006608_09
TS23: midgut Weak Regionally restricted euxassay_006608_09
TS23: vibrissa Moderate Regionally restricted euxassay_006608_09
TS23: renal cortex Moderate Regionally restricted euxassay_006608_09

Specimen euxassay_006608_10: embryonic day 14.5 (more )
Structure Level Pattern Image Note
TS23: liver left lobe Strong Regionally restricted euxassay_006608_10
TS23: submandibular gland primordium Strong Regionally restricted euxassay_006608_10
TS23: midgut Weak Regionally restricted euxassay_006608_10
TS23: renal cortex Moderate Regionally restricted euxassay_006608_10
TS23: pancreas Moderate Regionally restricted euxassay_006608_10

Specimen euxassay_006608_11: embryonic day 14.5 (more )
Structure Level Pattern Image Note
TS23: liver lobe Strong Regionally restricted euxassay_006608_11
TS23: liver left lobe Strong Regionally restricted euxassay_006608_11
TS23: submandibular gland primordium Strong Regionally restricted euxassay_006608_11
TS23: midgut Weak Regionally restricted euxassay_006608_11
TS23: renal cortex Moderate Regionally restricted euxassay_006608_11
TS23: pancreas Moderate Regionally restricted euxassay_006608_11

Specimen euxassay_006608_12: embryonic day 14.5 (more )
Structure Level Pattern Image Note
TS23: liver left lobe Strong Regionally restricted euxassay_006608_12
TS23: thymus primordium Moderate Regionally restricted euxassay_006608_12
TS23: midgut Weak Regionally restricted euxassay_006608_12
TS23: renal cortex Moderate Regionally restricted euxassay_006608_12
TS23: pancreas Moderate Regionally restricted euxassay_006608_12

Specimen euxassay_006608_13: embryonic day 14.5 (more )
Structure Level Pattern Image Note
TS23: liver right lobe Strong Regionally restricted euxassay_006608_13
TS23: thymus primordium Moderate Regionally restricted euxassay_006608_13
TS23: midgut Weak Regionally restricted euxassay_006608_13

Specimen euxassay_006608_14: embryonic day 14.5 (more )
Structure Level Pattern Image Note
TS23: liver right lobe Strong Regionally restricted euxassay_006608_14
TS23: thymus primordium Moderate Regionally restricted euxassay_006608_14
TS23: midgut Weak Regionally restricted euxassay_006608_14

Specimen euxassay_006608_15: embryonic day 14.5 (more )
Structure Level Pattern Image Note
TS23: liver right lobe Strong Regionally restricted euxassay_006608_15
TS23: thymus primordium Moderate Regionally restricted euxassay_006608_15
TS23: midgut Weak Regionally restricted euxassay_006608_15
TS23: rectum Weak Regionally restricted euxassay_006608_15
TS23: hindgut Weak Regionally restricted euxassay_006608_15

Specimen euxassay_006608_16: embryonic day 14.5 (more )
Structure Level Pattern Image Note
TS23: liver right lobe Strong Regionally restricted euxassay_006608_16
TS23: thymus primordium Moderate Regionally restricted euxassay_006608_16
TS23: midgut Weak Regionally restricted euxassay_006608_16
TS23: hindgut Weak Regionally restricted euxassay_006608_16

Specimen euxassay_006608_17: embryonic day 14.5 (more )
Structure Level Pattern Image Note
TS23: liver right lobe Strong Regionally restricted euxassay_006608_17
TS23: thymus primordium Moderate Regionally restricted euxassay_006608_17
TS23: midgut Moderate Regionally restricted euxassay_006608_17
TS23: hindgut Moderate Regionally restricted euxassay_006608_17
TS23: renal cortex Moderate Regionally restricted euxassay_006608_17
TS23: pancreas Moderate Regionally restricted euxassay_006608_17

Specimen euxassay_006608_18: embryonic day 14.5 (more )
Structure Level Pattern Image Note
TS23: liver right lobe Strong Regionally restricted euxassay_006608_18
TS23: submandibular gland primordium Strong Regionally restricted euxassay_006608_18
TS23: midgut Moderate Regionally restricted euxassay_006608_18
TS23: hindgut Moderate Regionally restricted euxassay_006608_18
TS23: renal cortex Moderate Regionally restricted euxassay_006608_18
TS23: pancreas Moderate Regionally restricted euxassay_006608_18

Specimen euxassay_006608_19: embryonic day 14.5 (more )
Structure Level Pattern Image Note
TS23: liver right lobe Strong Regionally restricted euxassay_006608_19
TS23: submandibular gland primordium Strong Regionally restricted euxassay_006608_19
TS23: midgut Moderate Regionally restricted euxassay_006608_19
TS23: hindgut Moderate Regionally restricted euxassay_006608_19
TS23: renal cortex Moderate Regionally restricted euxassay_006608_19
TS23: pancreas Moderate Regionally restricted euxassay_006608_19

Specimen euxassay_006608_20: embryonic day 14.5 (more )
Structure Level Pattern Image Note
TS23: liver right lobe Strong Regionally restricted euxassay_006608_20
TS23: axial musculature Moderate Regionally restricted euxassay_006608_20
TS23: submandibular gland primordium Strong Regionally restricted euxassay_006608_20
TS23: midgut Moderate Regionally restricted euxassay_006608_20
TS23: renal cortex Moderate Regionally restricted euxassay_006608_20

Specimen euxassay_006608_21: embryonic day 14.5 (more )
Structure Level Pattern Image Note
TS23: liver right lobe Strong Regionally restricted euxassay_006608_21
TS23: submandibular gland primordium Strong Regionally restricted euxassay_006608_21
TS23: midgut Moderate Regionally restricted euxassay_006608_21
TS23: testis Moderate Regionally restricted euxassay_006608_21
TS23: renal cortex Moderate Regionally restricted euxassay_006608_21

Specimen euxassay_006608_22: embryonic day 14.5 (more )
Structure Level Pattern Image Note
TS23: liver right lobe Strong Regionally restricted euxassay_006608_22
TS23: axial musculature Strong Regionally restricted euxassay_006608_22
TS23: submandibular gland primordium Strong Regionally restricted euxassay_006608_22
TS23: vibrissa Moderate Regionally restricted euxassay_006608_22
TS23: testis Moderate Regionally restricted euxassay_006608_22
TS23: renal cortex Moderate Regionally restricted euxassay_006608_22

Specimen euxassay_006608_23: embryonic day 14.5 (more )
Structure Level Pattern Image Note
TS23: liver right lobe Strong Regionally restricted euxassay_006608_23
TS23: axial musculature Strong Regionally restricted euxassay_006608_23
TS23: vibrissa Moderate Regionally restricted euxassay_006608_23
TS23: testis Moderate Regionally restricted euxassay_006608_23

Specimen euxassay_006608_24: embryonic day 14.5 (more )
Structure Level Pattern Image Note
TS23: liver right lobe Strong Regionally restricted euxassay_006608_24
TS23: axial musculature Strong Regionally restricted euxassay_006608_24
TS23: testis Weak Regionally restricted euxassay_006608_24


Contributing Projects:
Mouse Genome Database (MGD), Gene Expression Database (GXD), Mouse Models of Human Cancer database (MMHCdb) (formerly Mouse Tumor Biology (MTB)), Gene Ontology (GO)
Citing These Resources
Funding Information
Warranty Disclaimer, Privacy Notice, Licensing, & Copyright
Send questions and comments to User Support.
last database update
01/20/2026
MGI 6.24
The Jackson Laboratory