About   Help   FAQ
Gene Expression Data
Assay Details
Assay
Reference: J:153498 Diez-Roux G, et al., A high-resolution anatomical atlas of the transcriptome in the mouse embryo. PLoS Biol. 2011;9(1):e1000582
Assay type: RNA in situ
MGI Accession ID: MGI:4827650
Gene symbol: Rbm18
Gene name: RNA binding motif protein 18
Probe: MGC clone 8172
Probe preparation: Antisense labelled with digoxigenin RNA
Visualized with: Alkaline phosphatase
Assay notes: Cryosections of fresh frozen material were fixed in 4% paraformaldehyde for 20 min. before further processing. A tyramide-biotin/streptavidin amplification step was included in the in situ hybridization procedure.
Results
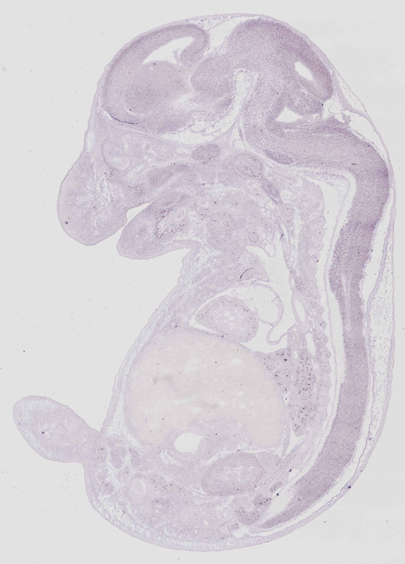
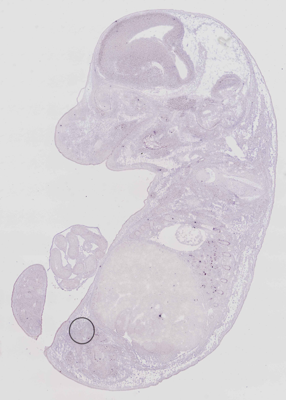
Specimen euxassay_004831_02: embryonic day 14.5 (more )
Structure Level Pattern Image Note
TS23: left lung Moderate Regionally restricted euxassay_004831_02

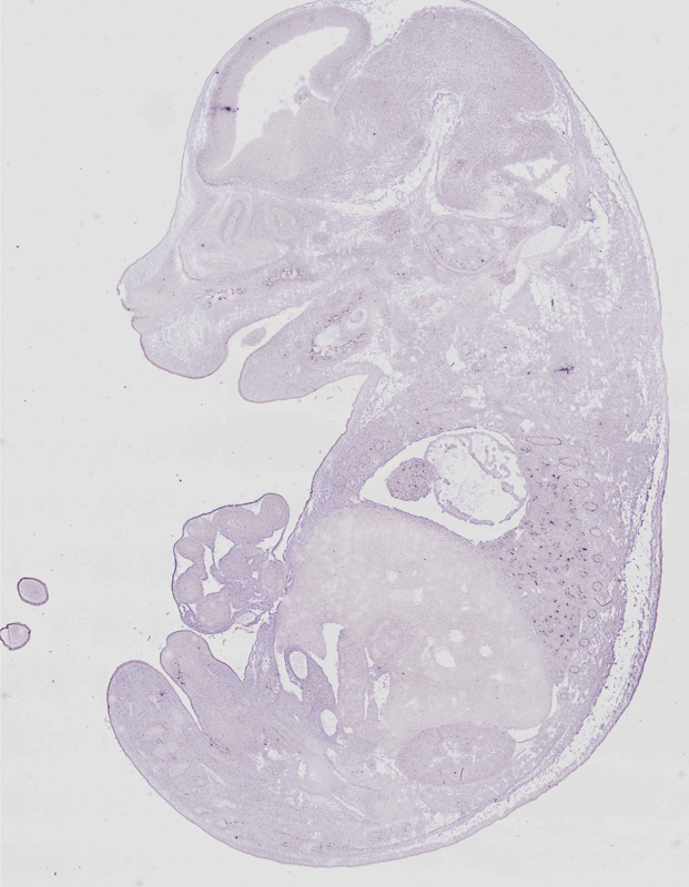
Specimen euxassay_004831_03: embryonic day 14.5 (more )
Structure Level Pattern Image Note
TS23: left lung Moderate Regionally restricted euxassay_004831_03

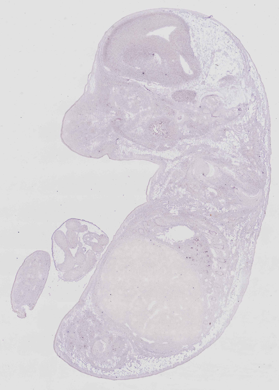
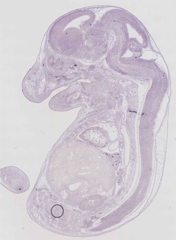
Specimen euxassay_004831_04: embryonic day 14.5 (more )
Structure Level Pattern Image Note
TS23: left lung Moderate Regionally restricted euxassay_004831_04

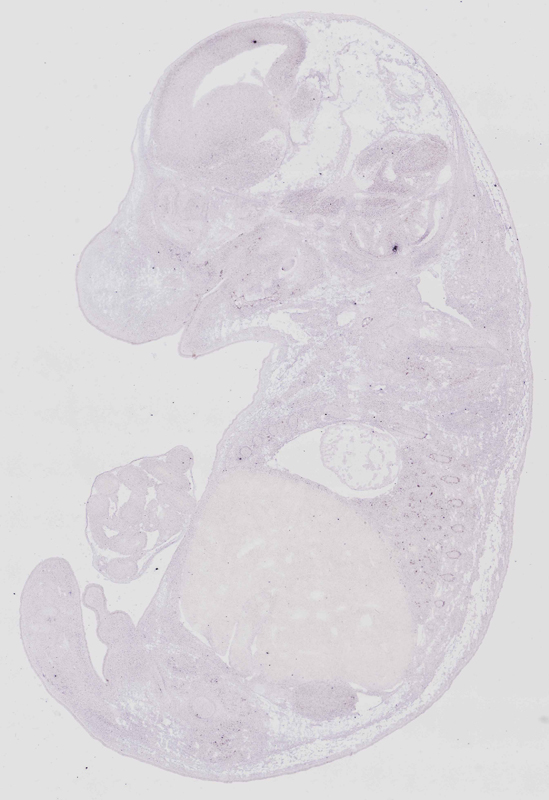
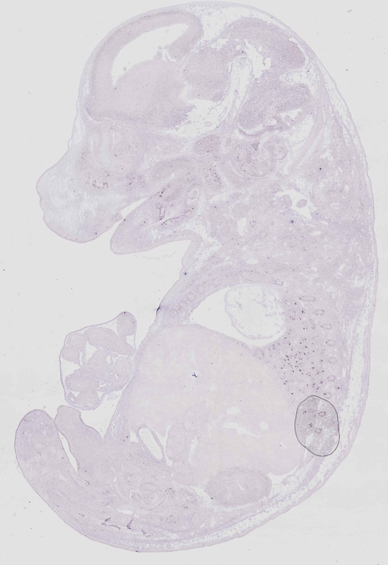
Specimen euxassay_004831_05: embryonic day 14.5 (more )
Structure Level Pattern Image Note
TS23: left lung Weak Regionally restricted euxassay_004831_05

Specimen euxassay_004831_06: embryonic day 14.5 (more )
Structure Level Pattern Image Note
TS23: left lung Weak Regionally restricted euxassay_004831_06

Specimen euxassay_004831_07: embryonic day 14.5 (more )
Structure Level Pattern Image Note
TS23: left lung Weak Regionally restricted euxassay_004831_07

Specimen euxassay_004831_08: embryonic day 14.5 (more )
Structure Level Pattern Image Note
TS23: left lung Weak Regionally restricted euxassay_004831_08

Specimen euxassay_004831_09: embryonic day 14.5 (more )
Structure Level Pattern Image Note
TS23: left lung Weak Regionally restricted euxassay_004831_09

Specimen euxassay_004831_10: embryonic day 14.5 (more )
Structure Level Pattern Image Note
TS23: left lung Weak Regionally restricted euxassay_004831_10

Specimen euxassay_004831_11: embryonic day 14.5 (more )
Structure Level Pattern Image Note
TS23: left lung Weak Regionally restricted euxassay_004831_11

Specimen euxassay_004831_12: embryonic day 14.5 (more )
Structure Level Pattern Image Note
TS23: right lung Weak Regionally restricted euxassay_004831_12

Specimen euxassay_004831_13: embryonic day 14.5 (more )
Structure Level Pattern Image Note
TS23: right lung Weak Regionally restricted euxassay_004831_13

Specimen euxassay_004831_14: embryonic day 14.5 (more )
Structure Level Pattern Image Note
TS23: right lung Weak Regionally restricted euxassay_004831_14

Specimen euxassay_004831_15: embryonic day 14.5 (more )
Structure Level Pattern Image Note
TS23: right lung Weak Regionally restricted euxassay_004831_15

Specimen euxassay_004831_16: embryonic day 14.5 (more )
Structure Level Pattern Image Note
TS23: right lung Weak Regionally restricted euxassay_004831_16

Specimen euxassay_004831_17: embryonic day 14.5 (more )
Structure Level Pattern Image Note
TS23: right lung Weak Regionally restricted euxassay_004831_17

Specimen euxassay_004831_18: embryonic day 14.5 (more )
Structure Level Pattern Image Note
TS23: right lung Weak Regionally restricted euxassay_004831_18

Specimen euxassay_004831_19: embryonic day 14.5 (more )
Structure Level Pattern Image Note
TS23: right lung Weak Regionally restricted euxassay_004831_19

Specimen euxassay_004831_20: embryonic day 14.5 (more )
Structure Level Pattern Image Note
TS23: right lung Weak Regionally restricted euxassay_004831_20

Specimen euxassay_004831_21: embryonic day 14.5 (more )
Structure Level Pattern Image Note
TS23: right lung Weak Regionally restricted euxassay_004831_21

Specimen euxassay_004831_22: embryonic day 14.5 (more )
Structure Level Pattern Image Note
TS23: right lung Weak Regionally restricted euxassay_004831_22

Specimen euxassay_004831_23: embryonic day 14.5 (more )
Structure Level Pattern Image Note
TS23: right lung Weak Regionally restricted euxassay_004831_23


Contributing Projects:
Mouse Genome Database (MGD), Gene Expression Database (GXD), Mouse Models of Human Cancer database (MMHCdb) (formerly Mouse Tumor Biology (MTB)), Gene Ontology (GO)
Citing These Resources
Funding Information
Warranty Disclaimer, Privacy Notice, Licensing, & Copyright
Send questions and comments to User Support.
last database update
12/30/2025
MGI 6.24
The Jackson Laboratory