About   Help   FAQ
Gene Expression Data
Assay Details
Assay
Reference: J:153498 Diez-Roux G, et al., A high-resolution anatomical atlas of the transcriptome in the mouse embryo. PLoS Biol. 2011;9(1):e1000582
Assay type: RNA in situ
MGI Accession ID: MGI:4827625
Gene symbol: Rasgef1a
Gene name: RasGEF domain family, member 1A
Probe: T38743
Probe preparation: Antisense labelled with digoxigenin RNA
Visualized with: Alkaline phosphatase
Assay notes: Cryosections of fresh frozen material were fixed in 4% paraformaldehyde for 20 min. before further processing. A tyramide-biotin/streptavidin amplification step was included in the in situ hybridization procedure.
Results
Specimen euxassay_016518_04: embryonic day 14.5 (more )
Note: Additional information for this specimen was included in the Eurexpress data submission file.
Structure Level Pattern Image Note
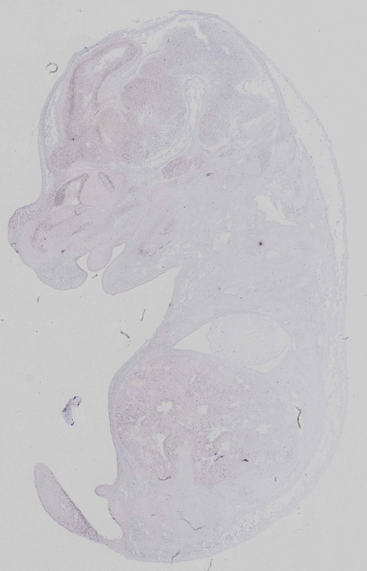
TS23: telencephalon mantle layer Moderate Regionally restricted euxassay_016518_04
TS23: amygdala Present euxassay_016518_04

Specimen euxassay_016518_05: embryonic day 14.5 (more )
Note: Additional information for this specimen was included in the Eurexpress data submission file.
Structure Level Pattern Image Note
TS23: telencephalon mantle layer Moderate Regionally restricted euxassay_016518_05
TS23: amygdala Present euxassay_016518_05

Specimen euxassay_016518_08: embryonic day 14.5 (more )
Structure Level Pattern Image Note
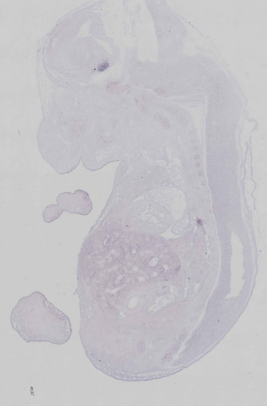
TS23: olfactory epithelium Weak Regionally restricted euxassay_016518_08

Specimen euxassay_016518_09: embryonic day 14.5 (more )
Structure Level Pattern Image Note
TS23: olfactory epithelium Weak Regionally restricted euxassay_016518_09

Specimen euxassay_016518_10: embryonic day 14.5 (more )
Structure Level Pattern Image Note
TS23: olfactory epithelium Weak Regionally restricted euxassay_016518_10

Specimen euxassay_016518_11: embryonic day 14.5 (more )
Structure Level Pattern Image Note
TS23: olfactory epithelium Weak Regionally restricted euxassay_016518_11
TS23: vomeronasal organ Weak Regionally restricted euxassay_016518_11

Specimen euxassay_016518_12: embryonic day 14.5 (more )
Structure Level Pattern Image Note
TS23: olfactory epithelium Weak Regionally restricted euxassay_016518_12

Specimen euxassay_016518_13: embryonic day 14.5 (more )
Structure Level Pattern Image Note
TS23: olfactory epithelium Weak Regionally restricted euxassay_016518_13

Specimen euxassay_016518_14: embryonic day 14.5 (more )
Structure Level Pattern Image Note
TS23: olfactory epithelium Weak Regionally restricted euxassay_016518_14
TS23: vomeronasal organ Weak Regionally restricted euxassay_016518_14

Specimen euxassay_016518_15: embryonic day 14.5 (more )
Structure Level Pattern Image Note
TS23: olfactory epithelium Weak Regionally restricted euxassay_016518_15

Specimen euxassay_016518_16: embryonic day 14.5 (more )
Structure Level Pattern Image Note
TS23: olfactory epithelium Weak Regionally restricted euxassay_016518_16

Specimen euxassay_016518_17: embryonic day 14.5 (more )
Structure Level Pattern Image Note
TS23: olfactory epithelium Weak Regionally restricted euxassay_016518_17

Specimen euxassay_016518_18: embryonic day 14.5 (more )
Note: Additional information for this specimen was included in the Eurexpress data submission file.
Structure Level Pattern Image Note
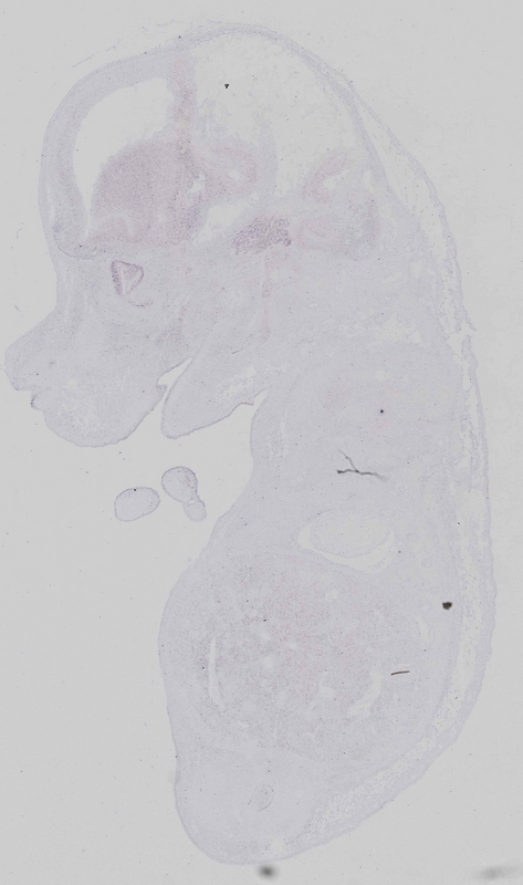
TS23: telencephalon mantle layer Moderate Regionally restricted euxassay_016518_18
TS23: amygdala Present euxassay_016518_18
TS23: olfactory epithelium Weak Regionally restricted euxassay_016518_18

Specimen euxassay_016518_19: embryonic day 14.5 (more )
Note: Additional information for this specimen was included in the Eurexpress data submission file.
Structure Level Pattern Image Note
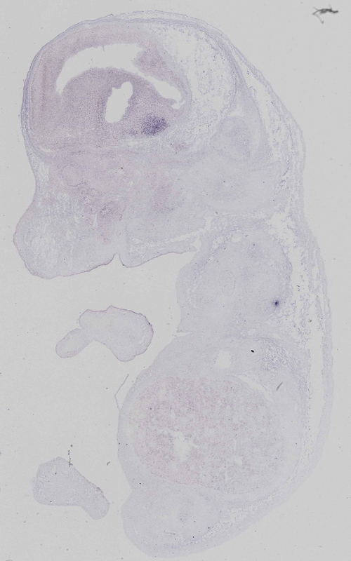
TS23: telencephalon mantle layer Moderate Regionally restricted euxassay_016518_19
TS23: amygdala Present euxassay_016518_19


Contributing Projects:
Mouse Genome Database (MGD), Gene Expression Database (GXD), Mouse Models of Human Cancer database (MMHCdb) (formerly Mouse Tumor Biology (MTB)), Gene Ontology (GO)
Citing These Resources
Funding Information
Warranty Disclaimer, Privacy Notice, Licensing, & Copyright
Send questions and comments to User Support.
last database update
12/30/2025
MGI 6.24
The Jackson Laboratory