About   Help   FAQ
Gene Expression Data
Assay Details
Assay
Reference: J:153498 Diez-Roux G, et al., A high-resolution anatomical atlas of the transcriptome in the mouse embryo. PLoS Biol. 2011;9(1):e1000582
Assay type: RNA in situ
MGI Accession ID: MGI:4827510
Gene symbol: Ptgs1
Gene name: prostaglandin-endoperoxide synthase 1
Probe: MGC clone 11541
Probe preparation: Antisense labelled with digoxigenin RNA
Visualized with: Alkaline phosphatase
Assay notes: Cryosections of fresh frozen material were fixed in 4% paraformaldehyde for 20 min. before further processing. A tyramide-biotin/streptavidin amplification step was included in the in situ hybridization procedure.
Results
Specimen euxassay_004892_01: embryonic day 14.5 (more )
Structure Level Pattern Image Note
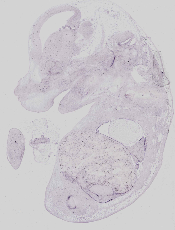
TS23: liver left lobe Strong Spotted euxassay_004892_01

Specimen euxassay_004892_02: embryonic day 14.5 (more )
Structure Level Pattern Image Note
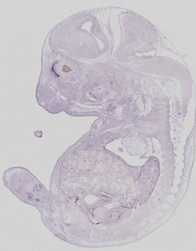
TS23: liver left lobe Strong Spotted euxassay_004892_02

Specimen euxassay_004892_03: embryonic day 14.5 (more )
Structure Level Pattern Image Note
TS23: liver left lobe Strong Spotted euxassay_004892_03

Specimen euxassay_004892_04: embryonic day 14.5 (more )
Structure Level Pattern Image Note
TS23: cornea Weak Regionally restricted euxassay_004892_04
TS23: liver left lobe Strong Spotted euxassay_004892_04

Specimen euxassay_004892_05: embryonic day 14.5 (more )
Structure Level Pattern Image Note
TS23: cornea Strong Regionally restricted euxassay_004892_05
TS23: liver left lobe Strong Spotted euxassay_004892_05

Specimen euxassay_004892_06: embryonic day 14.5 (more )
Structure Level Pattern Image Note
TS23: cornea Strong Regionally restricted euxassay_004892_06
TS23: liver left lobe Strong Spotted euxassay_004892_06

Specimen euxassay_004892_07: embryonic day 14.5 (more )
Structure Level Pattern Image Note
TS23: liver left lobe Strong Spotted euxassay_004892_07

Specimen euxassay_004892_08: embryonic day 14.5 (more )
Structure Level Pattern Image Note
TS23: esophagus Moderate Regionally restricted euxassay_004892_08
TS23: liver left lobe Strong Spotted euxassay_004892_08

Specimen euxassay_004892_09: embryonic day 14.5 (more )
Structure Level Pattern Image Note
TS23: esophagus Moderate Regionally restricted euxassay_004892_09
TS23: liver left lobe Strong Spotted euxassay_004892_09

Specimen euxassay_004892_10: embryonic day 14.5 (more )
Structure Level Pattern Image Note
TS23: nucleus pulposus Strong Regionally restricted euxassay_004892_10
TS23: esophagus Moderate Regionally restricted euxassay_004892_10
TS23: liver left lobe Strong Spotted euxassay_004892_10

Specimen euxassay_004892_11: embryonic day 14.5 (more )
Structure Level Pattern Image Note
TS23: nucleus pulposus Strong Regionally restricted euxassay_004892_11
TS23: esophagus Moderate Regionally restricted euxassay_004892_11
TS23: liver left lobe Strong Spotted euxassay_004892_11

Specimen euxassay_004892_12: embryonic day 14.5 (more )
Structure Level Pattern Image Note
TS23: nucleus pulposus Strong Regionally restricted euxassay_004892_12
TS23: liver left lobe Strong Spotted euxassay_004892_12

Specimen euxassay_004892_13: embryonic day 14.5 (more )
Structure Level Pattern Image Note
TS23: nucleus pulposus Strong Regionally restricted euxassay_004892_13
TS23: liver right lobe Strong Spotted euxassay_004892_13

Specimen euxassay_004892_14: embryonic day 14.5 (more )
Structure Level Pattern Image Note
TS23: liver right lobe Strong Spotted euxassay_004892_14

Specimen euxassay_004892_15: embryonic day 14.5 (more )
Structure Level Pattern Image Note
TS23: liver right lobe Strong Spotted euxassay_004892_15

Specimen euxassay_004892_16: embryonic day 14.5 (more )
Structure Level Pattern Image Note
TS23: liver right lobe Strong Spotted euxassay_004892_16

Specimen euxassay_004892_17: embryonic day 14.5 (more )
Structure Level Pattern Image Note
TS23: liver right lobe Strong Spotted euxassay_004892_17

Specimen euxassay_004892_18: embryonic day 14.5 (more )
Structure Level Pattern Image Note
TS23: liver right lobe Strong Spotted euxassay_004892_18

Specimen euxassay_004892_19: embryonic day 14.5 (more )
Structure Level Pattern Image Note
TS23: liver right lobe Strong Spotted euxassay_004892_19

Specimen euxassay_004892_20: embryonic day 14.5 (more )
Structure Level Pattern Image Note
TS23: liver right lobe Strong Spotted euxassay_004892_20

Specimen euxassay_004892_21: embryonic day 14.5 (more )
Structure Level Pattern Image Note
TS23: liver right lobe Strong Spotted euxassay_004892_21

Specimen euxassay_004892_22: embryonic day 14.5 (more )
Structure Level Pattern Image Note
TS23: liver right lobe Strong Spotted euxassay_004892_22

Specimen euxassay_004892_23: embryonic day 14.5 (more )
Structure Level Pattern Image Note
TS23: cornea Moderate Regionally restricted euxassay_004892_23
TS23: liver right lobe Strong Spotted euxassay_004892_23

Specimen euxassay_004892_24: embryonic day 14.5 (more )
Structure Level Pattern Image Note
TS23: cornea Strong Regionally restricted euxassay_004892_24
TS23: liver right lobe Strong Spotted euxassay_004892_24


Contributing Projects:
Mouse Genome Database (MGD), Gene Expression Database (GXD), Mouse Models of Human Cancer database (MMHCdb) (formerly Mouse Tumor Biology (MTB)), Gene Ontology (GO)
Citing These Resources
Funding Information
Warranty Disclaimer, Privacy Notice, Licensing, & Copyright
Send questions and comments to User Support.
last database update
12/30/2025
MGI 6.24
The Jackson Laboratory