About   Help   FAQ
Gene Expression Data
Assay Details
Assay
Reference: J:153498 Diez-Roux G, et al., A high-resolution anatomical atlas of the transcriptome in the mouse embryo. PLoS Biol. 2011;9(1):e1000582
Assay type: RNA in situ
MGI Accession ID: MGI:4827509
Gene symbol: Ptgis
Gene name: prostaglandin I2 (prostacyclin) synthase
Probe: MGC clone 70035
Probe preparation: Antisense labelled with digoxigenin RNA
Visualized with: Alkaline phosphatase
Assay notes: Cryosections of fresh frozen material were fixed in 4% paraformaldehyde for 20 min. before further processing. A tyramide-biotin/streptavidin amplification step was included in the in situ hybridization procedure.
Results
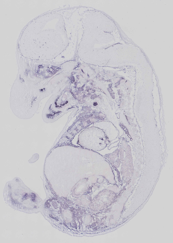
Specimen euxassay_004313_01: embryonic day 14.5 (more )
Note: Additional information for this specimen was included in the Eurexpress data submission file.
Structure Level Pattern Image Note
TS23: rib Moderate Regionally restricted euxassay_004313_01 periosteum
TS23: vertebral axis musculature Moderate Regionally restricted euxassay_004313_01
TS23: hand mesenchyme Moderate Regionally restricted euxassay_004313_01

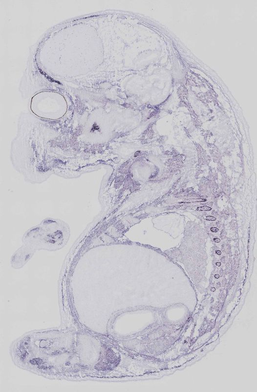
Specimen euxassay_004313_02: embryonic day 14.5 (more )
Note: Additional information for this specimen was included in the Eurexpress data submission file.
Structure Level Pattern Image Note
TS23: rib Moderate Regionally restricted euxassay_004313_02 periosteum
TS23: vertebral axis musculature Moderate Regionally restricted euxassay_004313_02
TS23: diaphragm Moderate Regionally restricted euxassay_004313_02
TS23: hand mesenchyme Moderate Regionally restricted euxassay_004313_02

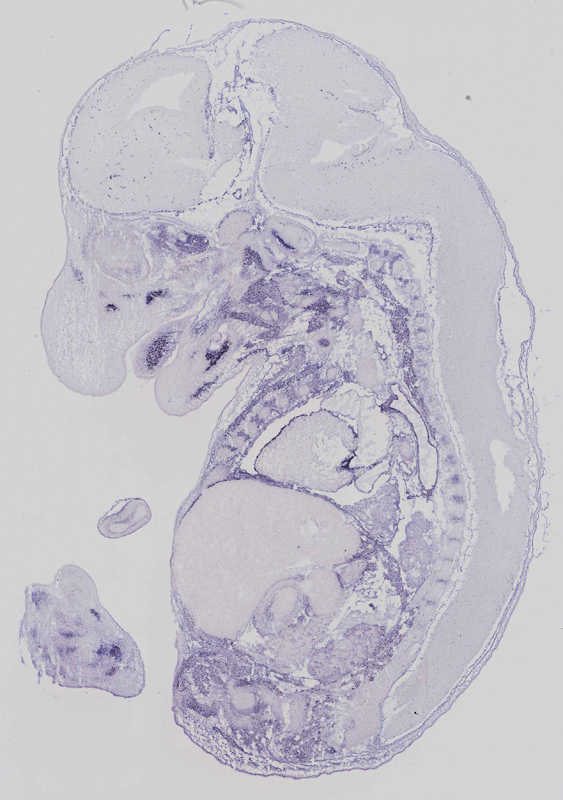
Specimen euxassay_004313_03: embryonic day 14.5 (more )
Note: Additional information for this specimen was included in the Eurexpress data submission file.
Structure Level Pattern Image Note
TS23: rib Strong Regionally restricted euxassay_004313_03 periosteum
TS23: vertebral axis musculature Moderate Regionally restricted euxassay_004313_03
TS23: diaphragm Moderate Regionally restricted euxassay_004313_03
TS23: hand mesenchyme Moderate Regionally restricted euxassay_004313_03

Specimen euxassay_004313_04: embryonic day 14.5 (more )
Note: Additional information for this specimen was included in the Eurexpress data submission file.
Structure Level Pattern Image Note
TS23: rib Strong Regionally restricted euxassay_004313_04 periosteum
TS23: vertebral axis musculature Moderate Regionally restricted euxassay_004313_04
TS23: diaphragm Moderate Regionally restricted euxassay_004313_04
TS23: hand mesenchyme Moderate Regionally restricted euxassay_004313_04

Specimen euxassay_004313_05: embryonic day 14.5 (more )
Structure Level Pattern Image Note
TS23: vertebral axis musculature Moderate Regionally restricted euxassay_004313_05
TS23: mandible Strong Regionally restricted euxassay_004313_05
TS23: diaphragm Moderate Regionally restricted euxassay_004313_05
TS23: foot mesenchyme Moderate Regionally restricted euxassay_004313_05

Specimen euxassay_004313_06: embryonic day 14.5 (more )
Structure Level Pattern Image Note
TS23: vertebral axis musculature Moderate Regionally restricted euxassay_004313_06
TS23: mandible Strong Regionally restricted euxassay_004313_06
TS23: maxilla Strong Regionally restricted euxassay_004313_06
TS23: clavicle Moderate Regionally restricted euxassay_004313_06
TS23: diaphragm Moderate Regionally restricted euxassay_004313_06
TS23: foot mesenchyme Moderate Regionally restricted euxassay_004313_06

Specimen euxassay_004313_07: embryonic day 14.5 (more )
Structure Level Pattern Image Note
TS23: vertebral axis musculature Moderate Regionally restricted euxassay_004313_07
TS23: maxilla Strong Regionally restricted euxassay_004313_07
TS23: mandible Strong Regionally restricted euxassay_004313_07
TS23: clavicle Moderate Regionally restricted euxassay_004313_07
TS23: diaphragm Moderate Regionally restricted euxassay_004313_07
TS23: foot mesenchyme Moderate Regionally restricted euxassay_004313_07

Specimen euxassay_004313_08: embryonic day 14.5 (more )
Structure Level Pattern Image Note
TS23: vertebral axis musculature Moderate Regionally restricted euxassay_004313_08
TS23: maxilla Strong Regionally restricted euxassay_004313_08
TS23: mandible Strong Regionally restricted euxassay_004313_08
TS23: clavicle Moderate Regionally restricted euxassay_004313_08
TS23: diaphragm Moderate Regionally restricted euxassay_004313_08
TS23: foot mesenchyme Moderate Regionally restricted euxassay_004313_08

Specimen euxassay_004313_09: embryonic day 14.5 (more )
Structure Level Pattern Image Note
TS23: vertebral axis musculature Moderate Regionally restricted euxassay_004313_09
TS23: maxilla Strong Regionally restricted euxassay_004313_09
TS23: mandible Strong Regionally restricted euxassay_004313_09
TS23: tongue Moderate Regionally restricted euxassay_004313_09
TS23: diaphragm Moderate Regionally restricted euxassay_004313_09
TS23: foot mesenchyme Moderate Regionally restricted euxassay_004313_09

Specimen euxassay_004313_10: embryonic day 14.5 (more )
Structure Level Pattern Image Note
TS23: vertebral axis musculature Moderate Regionally restricted euxassay_004313_10
TS23: maxilla Strong Regionally restricted euxassay_004313_10
TS23: mandible Strong Regionally restricted euxassay_004313_10
TS23: tongue Moderate Regionally restricted euxassay_004313_10
TS23: diaphragm Moderate Regionally restricted euxassay_004313_10
TS23: foot mesenchyme Moderate Regionally restricted euxassay_004313_10

Specimen euxassay_004313_11: embryonic day 14.5 (more )
Structure Level Pattern Image Note
TS23: vertebral axis musculature Moderate Regionally restricted euxassay_004313_11
TS23: maxilla Strong Regionally restricted euxassay_004313_11
TS23: tongue Moderate Regionally restricted euxassay_004313_11
TS23: diaphragm Moderate Regionally restricted euxassay_004313_11
TS23: foot mesenchyme Moderate Regionally restricted euxassay_004313_11

Specimen euxassay_004313_12: embryonic day 14.5 (more )
Structure Level Pattern Image Note
TS23: vertebral axis musculature Moderate Regionally restricted euxassay_004313_12
TS23: maxilla Strong Regionally restricted euxassay_004313_12
TS23: tongue Moderate Regionally restricted euxassay_004313_12
TS23: diaphragm Moderate Regionally restricted euxassay_004313_12
TS23: foot mesenchyme Moderate Regionally restricted euxassay_004313_12

Specimen euxassay_004313_13: embryonic day 14.5 (more )
Structure Level Pattern Image Note
TS23: vertebral axis musculature Moderate Regionally restricted euxassay_004313_13
TS23: tongue Moderate Regionally restricted euxassay_004313_13
TS23: diaphragm Moderate Regionally restricted euxassay_004313_13
TS23: glans of male genital tubercle Moderate Regionally restricted euxassay_004313_13

Specimen euxassay_004313_14: embryonic day 14.5 (more )
Structure Level Pattern Image Note
TS23: vertebral axis musculature Moderate Regionally restricted euxassay_004313_14
TS23: mandible Strong Regionally restricted euxassay_004313_14
TS23: tongue Moderate Regionally restricted euxassay_004313_14
TS23: diaphragm Moderate Regionally restricted euxassay_004313_14
TS23: glans of male genital tubercle Moderate Regionally restricted euxassay_004313_14

Specimen euxassay_004313_15: embryonic day 14.5 (more )
Structure Level Pattern Image Note
TS23: vertebral axis musculature Moderate Regionally restricted euxassay_004313_15
TS23: mandible Strong Regionally restricted euxassay_004313_15
TS23: clavicle Moderate Regionally restricted euxassay_004313_15
TS23: tongue Moderate Regionally restricted euxassay_004313_15
TS23: tail mesenchyme Moderate Regionally restricted euxassay_004313_15
TS23: diaphragm Moderate Regionally restricted euxassay_004313_15
TS23: glans of male genital tubercle Moderate Regionally restricted euxassay_004313_15

Specimen euxassay_004313_16: embryonic day 14.5 (more )
Structure Level Pattern Image Note
TS23: vertebral axis musculature Moderate Regionally restricted euxassay_004313_16
TS23: mandible Strong Regionally restricted euxassay_004313_16
TS23: maxilla Strong Regionally restricted euxassay_004313_16
TS23: clavicle Moderate Regionally restricted euxassay_004313_16
TS23: tail mesenchyme Moderate Regionally restricted euxassay_004313_16
TS23: diaphragm Moderate Regionally restricted euxassay_004313_16
TS23: glans of male genital tubercle Moderate Regionally restricted euxassay_004313_16

Specimen euxassay_004313_17: embryonic day 14.5 (more )
Note: Additional information for this specimen was included in the Eurexpress data submission file.
Structure Level Pattern Image Note
TS23: rib Strong Regionally restricted euxassay_004313_17 periosteum
TS23: vertebral axis musculature Moderate Regionally restricted euxassay_004313_17
TS23: mandible Strong Regionally restricted euxassay_004313_17
TS23: maxilla Strong Regionally restricted euxassay_004313_17
TS23: clavicle Moderate Regionally restricted euxassay_004313_17
TS23: tail mesenchyme Moderate Regionally restricted euxassay_004313_17
TS23: diaphragm Moderate Regionally restricted euxassay_004313_17
TS23: glans of male genital tubercle Moderate Regionally restricted euxassay_004313_17

Specimen euxassay_004313_18: embryonic day 14.5 (more )
Note: Additional information for this specimen was included in the Eurexpress data submission file.
Structure Level Pattern Image Note
TS23: rib Strong Regionally restricted euxassay_004313_18 periosteum
TS23: vertebral axis musculature Moderate Regionally restricted euxassay_004313_18
TS23: mandible Strong Regionally restricted euxassay_004313_18
TS23: maxilla Strong Regionally restricted euxassay_004313_18
TS23: tail mesenchyme Moderate Regionally restricted euxassay_004313_18
TS23: diaphragm Moderate Regionally restricted euxassay_004313_18
TS23: glans of male genital tubercle Moderate Regionally restricted euxassay_004313_18

Specimen euxassay_004313_19: embryonic day 14.5 (more )
Note: Additional information for this specimen was included in the Eurexpress data submission file.
Structure Level Pattern Image Note
TS23: rib Strong Regionally restricted euxassay_004313_19 periosteum
TS23: vertebral axis musculature Moderate Regionally restricted euxassay_004313_19
TS23: mandible Strong Regionally restricted euxassay_004313_19
TS23: maxilla Strong Regionally restricted euxassay_004313_19
TS23: tail mesenchyme Moderate Regionally restricted euxassay_004313_19
TS23: diaphragm Moderate Regionally restricted euxassay_004313_19
TS23: glans of male genital tubercle Moderate Regionally restricted euxassay_004313_19

Specimen euxassay_004313_20: embryonic day 14.5 (more )
Note: Additional information for this specimen was included in the Eurexpress data submission file.
Structure Level Pattern Image Note
TS23: rib Moderate Regionally restricted euxassay_004313_20 periosteum
TS23: vertebral axis musculature Moderate Regionally restricted euxassay_004313_20
TS23: mandible Strong Regionally restricted euxassay_004313_20
TS23: maxilla Strong Regionally restricted euxassay_004313_20
TS23: tail mesenchyme Moderate Regionally restricted euxassay_004313_20
TS23: diaphragm Moderate Regionally restricted euxassay_004313_20


Contributing Projects:
Mouse Genome Database (MGD), Gene Expression Database (GXD), Mouse Models of Human Cancer database (MMHCdb) (formerly Mouse Tumor Biology (MTB)), Gene Ontology (GO)
Citing These Resources
Funding Information
Warranty Disclaimer, Privacy Notice, Licensing, & Copyright
Send questions and comments to User Support.
last database update
01/20/2026
MGI 6.24
The Jackson Laboratory