About   Help   FAQ
Gene Expression Data
Assay Details
Assay
Reference: J:153498 Diez-Roux G, et al., A high-resolution anatomical atlas of the transcriptome in the mouse embryo. PLoS Biol. 2011;9(1):e1000582
Assay type: RNA in situ
MGI Accession ID: MGI:4827507
Gene symbol: Ptgfr
Gene name: prostaglandin F receptor
Probe: IMAGE clone 2136479
Probe preparation: Antisense labelled with digoxigenin RNA
Visualized with: Alkaline phosphatase
Assay notes: Cryosections of fresh frozen material were fixed in 4% paraformaldehyde for 20 min. before further processing. A tyramide-biotin/streptavidin amplification step was included in the in situ hybridization procedure.
Results
Specimen euxassay_001989_03: embryonic day 14.5 (more )
Structure Level Pattern Image Note
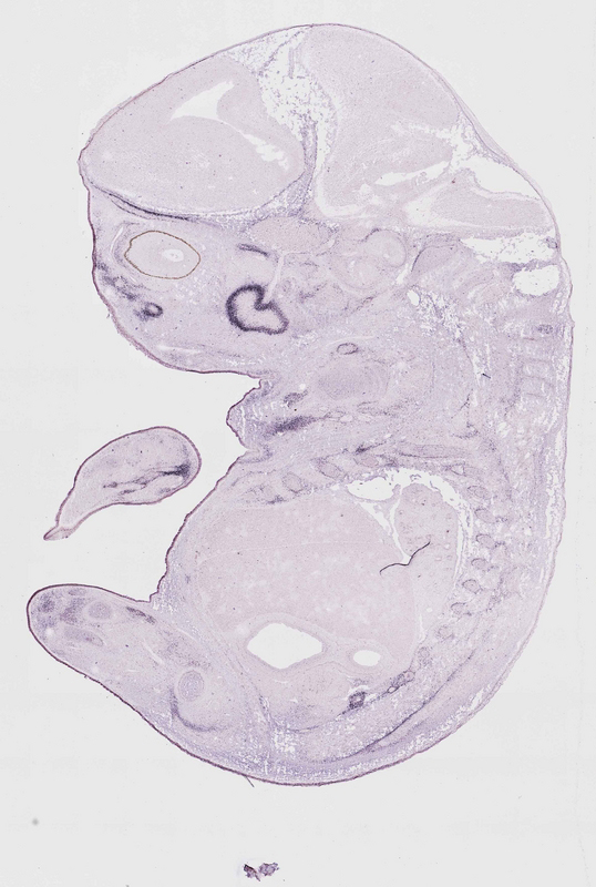
TS23: Meckel's cartilage Strong Regionally restricted euxassay_001989_03

Specimen euxassay_001989_04: embryonic day 14.5 (more )
Structure Level Pattern Image Note
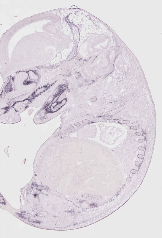
TS23: Meckel's cartilage Strong Regionally restricted euxassay_001989_04
TS23: orbito-sphenoid Strong Regionally restricted euxassay_001989_04

Specimen euxassay_001989_05: embryonic day 14.5 (more )
Structure Level Pattern Image Note
TS23: Meckel's cartilage Strong Regionally restricted euxassay_001989_05
TS23: orbito-sphenoid Strong Regionally restricted euxassay_001989_05

Specimen euxassay_001989_06: embryonic day 14.5 (more )
Structure Level Pattern Image Note
TS23: Meckel's cartilage Strong Regionally restricted euxassay_001989_06
TS23: orbito-sphenoid Strong Regionally restricted euxassay_001989_06

Specimen euxassay_001989_07: embryonic day 14.5 (more )
Structure Level Pattern Image Note
TS23: Meckel's cartilage Strong Regionally restricted euxassay_001989_07
TS23: orbito-sphenoid Strong Regionally restricted euxassay_001989_07

Specimen euxassay_001989_08: embryonic day 14.5 (more )
Structure Level Pattern Image Note
TS23: Meckel's cartilage Strong Regionally restricted euxassay_001989_08
TS23: upper jaw molar Strong Regionally restricted euxassay_001989_08
TS23: lower jaw molar Strong Regionally restricted euxassay_001989_08
TS23: orbito-sphenoid Strong Regionally restricted euxassay_001989_08

Specimen euxassay_001989_09: embryonic day 14.5 (more )
Structure Level Pattern Image Note
TS23: Meckel's cartilage Strong Regionally restricted euxassay_001989_09
TS23: lower jaw molar Strong Regionally restricted euxassay_001989_09
TS23: upper jaw molar Strong Regionally restricted euxassay_001989_09

Specimen euxassay_001989_10: embryonic day 14.5 (more )
Structure Level Pattern Image Note
TS23: Meckel's cartilage Strong Regionally restricted euxassay_001989_10
TS23: lower jaw molar Strong Regionally restricted euxassay_001989_10
TS23: upper jaw molar Strong Regionally restricted euxassay_001989_10
TS23: turbinate bone primordium Strong Regionally restricted euxassay_001989_10

Specimen euxassay_001989_11: embryonic day 14.5 (more )
Structure Level Pattern Image Note
TS23: upper jaw molar Strong Regionally restricted euxassay_001989_11
TS23: upper jaw incisor Strong Regionally restricted euxassay_001989_11
TS23: lower jaw molar Strong Regionally restricted euxassay_001989_11
TS23: lower jaw incisor Strong Regionally restricted euxassay_001989_11
TS23: Meckel's cartilage Strong Regionally restricted euxassay_001989_11
TS23: turbinate bone primordium Strong Regionally restricted euxassay_001989_11

Specimen euxassay_001989_12: embryonic day 14.5 (more )
Structure Level Pattern Image Note
TS23: Meckel's cartilage Strong Regionally restricted euxassay_001989_12
TS23: turbinate bone primordium Strong Regionally restricted euxassay_001989_12

Specimen euxassay_001989_13: embryonic day 14.5 (more )
Structure Level Pattern Image Note
TS23: lower jaw incisor Strong Regionally restricted euxassay_001989_13
TS23: upper jaw incisor Strong Regionally restricted euxassay_001989_13
TS23: turbinate bone primordium Strong Regionally restricted euxassay_001989_13

Specimen euxassay_001989_14: embryonic day 14.5 (more )
Structure Level Pattern Image Note
TS23: lower jaw incisor Strong Regionally restricted euxassay_001989_14
TS23: upper jaw incisor Strong Regionally restricted euxassay_001989_14
TS23: turbinate bone primordium Strong Regionally restricted euxassay_001989_14

Specimen euxassay_001989_15: embryonic day 14.5 (more )
Structure Level Pattern Image Note
TS23: upper jaw incisor Strong Regionally restricted euxassay_001989_15
TS23: turbinate bone primordium Strong Regionally restricted euxassay_001989_15

Specimen euxassay_001989_16: embryonic day 14.5 (more )
Structure Level Pattern Image Note
TS23: Meckel's cartilage Strong Regionally restricted euxassay_001989_16
TS23: lower jaw incisor Strong Regionally restricted euxassay_001989_16
TS23: upper jaw incisor Strong Regionally restricted euxassay_001989_16
TS23: orbito-sphenoid Strong Regionally restricted euxassay_001989_16
TS23: turbinate bone primordium Strong Regionally restricted euxassay_001989_16

Specimen euxassay_001989_17: embryonic day 14.5 (more )
Structure Level Pattern Image Note
TS23: Meckel's cartilage Strong Regionally restricted euxassay_001989_17
TS23: lower jaw incisor Strong Regionally restricted euxassay_001989_17
TS23: upper jaw incisor Strong Regionally restricted euxassay_001989_17
TS23: turbinate bone primordium Strong Regionally restricted euxassay_001989_17

Specimen euxassay_001989_18: embryonic day 14.5 (more )
Structure Level Pattern Image Note
TS23: Meckel's cartilage Strong Regionally restricted euxassay_001989_18
TS23: lower jaw incisor Strong Regionally restricted euxassay_001989_18
TS23: lower jaw molar Strong Regionally restricted euxassay_001989_18
TS23: upper jaw incisor Strong Regionally restricted euxassay_001989_18
TS23: upper jaw molar Strong Regionally restricted euxassay_001989_18
TS23: turbinate bone primordium Strong Regionally restricted euxassay_001989_18

Specimen euxassay_001989_19: embryonic day 14.5 (more )
Structure Level Pattern Image Note
TS23: Meckel's cartilage Strong Regionally restricted euxassay_001989_19
TS23: lower jaw incisor Strong Regionally restricted euxassay_001989_19
TS23: lower jaw molar Strong Regionally restricted euxassay_001989_19
TS23: upper jaw incisor Strong Regionally restricted euxassay_001989_19
TS23: upper jaw molar Strong Regionally restricted euxassay_001989_19
TS23: turbinate bone primordium Strong Regionally restricted euxassay_001989_19

Specimen euxassay_001989_20: embryonic day 14.5 (more )
Structure Level Pattern Image Note
TS23: lower jaw molar Strong Regionally restricted euxassay_001989_20
TS23: Meckel's cartilage Strong Regionally restricted euxassay_001989_20
TS23: upper jaw molar Strong Regionally restricted euxassay_001989_20
TS23: orbito-sphenoid Strong Regionally restricted euxassay_001989_20
TS23: turbinate bone primordium Strong Regionally restricted euxassay_001989_20

Specimen euxassay_001989_21: embryonic day 14.5 (more )
Structure Level Pattern Image Note
TS23: upper jaw molar Strong Regionally restricted euxassay_001989_21
TS23: Meckel's cartilage Strong Regionally restricted euxassay_001989_21
TS23: lower jaw molar Strong Regionally restricted euxassay_001989_21
TS23: orbito-sphenoid Strong Regionally restricted euxassay_001989_21

Specimen euxassay_001989_22: embryonic day 14.5 (more )
Structure Level Pattern Image Note
TS23: upper jaw molar Strong Regionally restricted euxassay_001989_22
TS23: Meckel's cartilage Strong Regionally restricted euxassay_001989_22
TS23: lower jaw molar Strong Regionally restricted euxassay_001989_22
TS23: orbito-sphenoid Strong Regionally restricted euxassay_001989_22

Specimen euxassay_001989_23: embryonic day 14.5 (more )
Structure Level Pattern Image Note
TS23: orbito-sphenoid Moderate Regionally restricted euxassay_001989_23


Contributing Projects:
Mouse Genome Database (MGD), Gene Expression Database (GXD), Mouse Models of Human Cancer database (MMHCdb) (formerly Mouse Tumor Biology (MTB)), Gene Ontology (GO)
Citing These Resources
Funding Information
Warranty Disclaimer, Privacy Notice, Licensing, & Copyright
Send questions and comments to User Support.
last database update
01/20/2026
MGI 6.24
The Jackson Laboratory