About   Help   FAQ
Gene Expression Data
Assay Details
Assay
Reference: J:153498 Diez-Roux G, et al., A high-resolution anatomical atlas of the transcriptome in the mouse embryo. PLoS Biol. 2011;9(1):e1000582
Assay type: RNA in situ
MGI Accession ID: MGI:4827503
Gene symbol: Ptf1a
Gene name: pancreas specific transcription factor, 1a
Probe: T55164
Probe preparation: Antisense labelled with digoxigenin RNA
Visualized with: Alkaline phosphatase
Assay notes: Cryosections of fresh frozen material were fixed in 4% paraformaldehyde for 20 min. before further processing. A tyramide-biotin/streptavidin amplification step was included in the in situ hybridization procedure.
Results
Specimen euxassay_019488_04: embryonic day 14.5 (more )
Structure Level Pattern Image Note
TS23: rest of cerebellum ventricular layer Weak Regionally restricted euxassay_019488_04

Specimen euxassay_019488_05: embryonic day 14.5 (more )
Structure Level Pattern Image Note
TS23: rest of cerebellum ventricular layer Weak Regionally restricted euxassay_019488_05

Specimen euxassay_019488_06: embryonic day 14.5 (more )
Structure Level Pattern Image Note
TS23: rest of cerebellum ventricular layer Weak Regionally restricted euxassay_019488_06

Specimen euxassay_019488_07: embryonic day 14.5 (more )
Structure Level Pattern Image Note
TS23: rest of cerebellum ventricular layer Weak Regionally restricted euxassay_019488_07

Specimen euxassay_019488_08: embryonic day 14.5 (more )
Structure Level Pattern Image Note
TS23: rest of cerebellum ventricular layer Weak Regionally restricted euxassay_019488_08

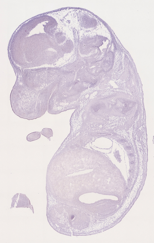
Specimen euxassay_019488_09: embryonic day 14.5 (more )
Structure Level Pattern Image Note
TS23: pancreas Strong Regionally restricted euxassay_019488_09
TS23: rest of cerebellum ventricular layer Weak Regionally restricted euxassay_019488_09

Specimen euxassay_019488_10: embryonic day 14.5 (more )
Structure Level Pattern Image Note
TS23: pancreas Strong Regionally restricted euxassay_019488_10
TS23: rest of cerebellum ventricular layer Weak Regionally restricted euxassay_019488_10
TS23: medulla oblongata basal plate ventricular layer Weak Regionally restricted euxassay_019488_10

Specimen euxassay_019488_11: embryonic day 14.5 (more )
Structure Level Pattern Image Note
TS23: pancreas Strong Regionally restricted euxassay_019488_11
TS23: rest of cerebellum ventricular layer Weak Regionally restricted euxassay_019488_11

Specimen euxassay_019488_12: embryonic day 14.5 (more )
Structure Level Pattern Image Note
TS23: pancreas Strong Regionally restricted euxassay_019488_12

Specimen euxassay_019488_13: embryonic day 14.5 (more )
Structure Level Pattern Image Note
TS23: pancreas Strong Regionally restricted euxassay_019488_13
TS23: rest of cerebellum ventricular layer Weak Regionally restricted euxassay_019488_13

Specimen euxassay_019488_14: embryonic day 14.5 (more )
Structure Level Pattern Image Note
TS23: pancreas Moderate Regionally restricted euxassay_019488_14

Specimen euxassay_019488_15: embryonic day 14.5 (more )
Structure Level Pattern Image Note
TS23: pancreas Moderate Regionally restricted euxassay_019488_15
TS23: rest of cerebellum ventricular layer Weak Regionally restricted euxassay_019488_15

Specimen euxassay_019488_16: embryonic day 14.5 (more )
Structure Level Pattern Image Note
TS23: pancreas Moderate Regionally restricted euxassay_019488_16
TS23: rest of cerebellum ventricular layer Weak Regionally restricted euxassay_019488_16

Specimen euxassay_019488_17: embryonic day 14.5 (more )
Structure Level Pattern Image Note
TS23: pancreas Moderate Regionally restricted euxassay_019488_17
TS23: medulla oblongata basal plate ventricular layer Moderate Regionally restricted euxassay_019488_17

Specimen euxassay_019488_18: embryonic day 14.5 (more )
Structure Level Pattern Image Note
TS23: pancreas Moderate Regionally restricted euxassay_019488_18

Specimen euxassay_019488_20: embryonic day 14.5 (more )
Structure Level Pattern Image Note
TS23: rest of cerebellum ventricular layer Weak Regionally restricted euxassay_019488_20

Specimen euxassay_019488_21: embryonic day 14.5 (more )
Structure Level Pattern Image Note
TS23: rest of cerebellum ventricular layer Moderate Regionally restricted euxassay_019488_21

Specimen euxassay_019488_22: embryonic day 14.5 (more )
Structure Level Pattern Image Note
TS23: rest of cerebellum ventricular layer Weak Regionally restricted euxassay_019488_22

Specimen euxassay_019488_23: embryonic day 14.5 (more )
Structure Level Pattern Image Note
TS23: rest of cerebellum ventricular layer Weak Regionally restricted euxassay_019488_23


Contributing Projects:
Mouse Genome Database (MGD), Gene Expression Database (GXD), Mouse Models of Human Cancer database (MMHCdb) (formerly Mouse Tumor Biology (MTB)), Gene Ontology (GO)
Citing These Resources
Funding Information
Warranty Disclaimer, Privacy Notice, Licensing, & Copyright
Send questions and comments to User Support.
last database update
01/20/2026
MGI 6.24
The Jackson Laboratory