About   Help   FAQ
Gene Expression Data
Assay Details
Assay
Reference: J:153498 Diez-Roux G, et al., A high-resolution anatomical atlas of the transcriptome in the mouse embryo. PLoS Biol. 2011;9(1):e1000582
Assay type: RNA in situ
MGI Accession ID: MGI:4827496
Gene symbol: Psrc1
Gene name: proline/serine-rich coiled-coil 1
Probe: MGC clone 29281
Probe preparation: Antisense labelled with digoxigenin RNA
Visualized with: Alkaline phosphatase
Assay notes: Cryosections of fresh frozen material were fixed in 4% paraformaldehyde for 20 min. before further processing. A tyramide-biotin/streptavidin amplification step was included in the in situ hybridization procedure.
Results
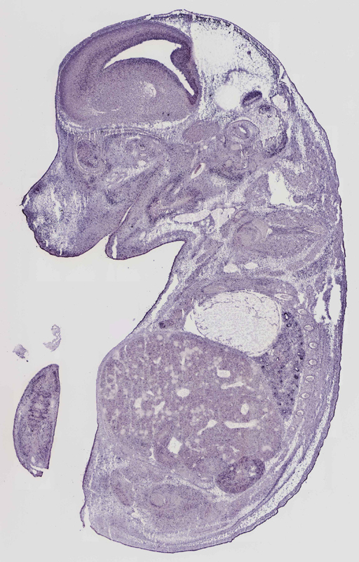
Specimen euxassay_003651_01: embryonic day 14.5 (more )
Structure Level Pattern Image Note
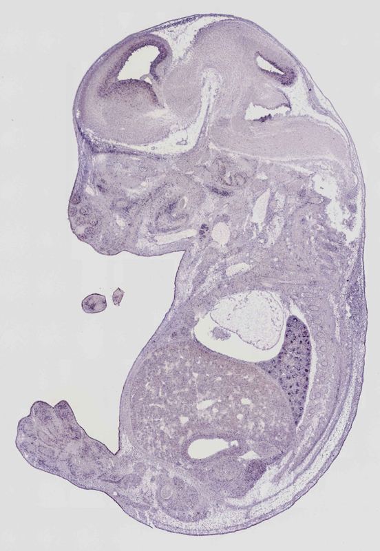
TS23: rest of cerebellum ventricular layer Moderate Regionally restricted euxassay_003651_01
TS23: rest of cerebellum marginal layer Moderate Regionally restricted euxassay_003651_01

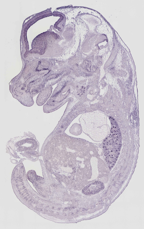
Specimen euxassay_003651_02: embryonic day 14.5 (more )
Structure Level Pattern Image Note
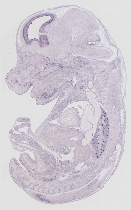
TS23: telencephalon ventricular layer Moderate Uniform euxassay_003651_02
TS23: rest of cerebellum ventricular layer Moderate Regionally restricted euxassay_003651_02
TS23: rest of cerebellum marginal layer Moderate Regionally restricted euxassay_003651_02
TS23: left lung Moderate Regionally restricted euxassay_003651_02

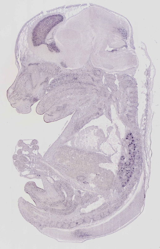
Specimen euxassay_003651_03: embryonic day 14.5 (more )
Structure Level Pattern Image Note
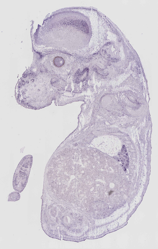
TS23: telencephalon ventricular layer Moderate Uniform euxassay_003651_03
TS23: rest of cerebellum marginal layer Moderate Regionally restricted euxassay_003651_03
TS23: rest of cerebellum ventricular layer Moderate Regionally restricted euxassay_003651_03
TS23: left lung Moderate Regionally restricted euxassay_003651_03

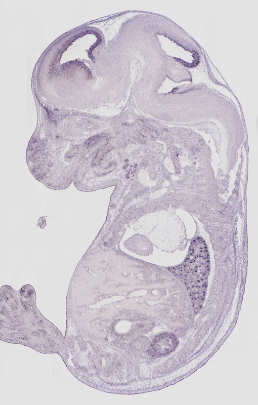
Specimen euxassay_003651_04: embryonic day 14.5 (more )
Structure Level Pattern Image Note
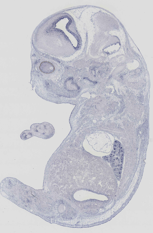
TS23: telencephalon ventricular layer Moderate Uniform euxassay_003651_04
TS23: rest of cerebellum ventricular layer Moderate Regionally restricted euxassay_003651_04
TS23: rest of cerebellum marginal layer Moderate Regionally restricted euxassay_003651_04
TS23: midbrain ventricular layer Strong Regionally restricted euxassay_003651_04
TS23: left lung Moderate Regionally restricted euxassay_003651_04

Specimen euxassay_003651_05: embryonic day 14.5 (more )
Structure Level Pattern Image Note
TS23: telencephalon ventricular layer Moderate Uniform euxassay_003651_05
TS23: rest of cerebellum ventricular layer Moderate Regionally restricted euxassay_003651_05
TS23: rest of cerebellum marginal layer Moderate Regionally restricted euxassay_003651_05
TS23: midbrain ventricular layer Strong Regionally restricted euxassay_003651_05
TS23: submandibular gland primordium Strong Regionally restricted euxassay_003651_05
TS23: left lung Moderate Regionally restricted euxassay_003651_05

Specimen euxassay_003651_06: embryonic day 14.5 (more )
Structure Level Pattern Image Note
TS23: telencephalon ventricular layer Strong Uniform euxassay_003651_06
TS23: rest of cerebellum ventricular layer Moderate Regionally restricted euxassay_003651_06
TS23: rest of cerebellum marginal layer Moderate Regionally restricted euxassay_003651_06
TS23: midbrain ventricular layer Strong Regionally restricted euxassay_003651_06
TS23: medulla oblongata basal plate ventricular layer Moderate Regionally restricted euxassay_003651_06
TS23: submandibular gland primordium Moderate Regionally restricted euxassay_003651_06
TS23: left lung Moderate Regionally restricted euxassay_003651_06

Specimen euxassay_003651_07: embryonic day 14.5 (more )
Structure Level Pattern Image Note
TS23: telencephalon ventricular layer Strong Uniform euxassay_003651_07
TS23: midbrain ventricular layer Strong Regionally restricted euxassay_003651_07
TS23: medulla oblongata basal plate ventricular layer Moderate Regionally restricted euxassay_003651_07
TS23: submandibular gland primordium Moderate Regionally restricted euxassay_003651_07
TS23: left lung Moderate Regionally restricted euxassay_003651_07

Specimen euxassay_003651_08: embryonic day 14.5 (more )
Structure Level Pattern Image Note
TS23: telencephalon ventricular layer Strong Uniform euxassay_003651_08
TS23: midbrain ventricular layer Strong Regionally restricted euxassay_003651_08
TS23: submandibular gland primordium Moderate Regionally restricted euxassay_003651_08
TS23: left lung Moderate Regionally restricted euxassay_003651_08

Specimen euxassay_003651_09: embryonic day 14.5 (more )
Structure Level Pattern Image Note
TS23: telencephalon ventricular layer Strong Uniform euxassay_003651_09
TS23: midbrain ventricular layer Strong Regionally restricted euxassay_003651_09
TS23: submandibular gland primordium Moderate Regionally restricted euxassay_003651_09
TS23: thymus primordium Weak Regionally restricted euxassay_003651_09
TS23: left lung Moderate Regionally restricted euxassay_003651_09

Specimen euxassay_003651_10: embryonic day 14.5 (more )
Structure Level Pattern Image Note
TS23: telencephalon ventricular layer Strong Uniform euxassay_003651_10
TS23: olfactory cortex ventricular layer Strong Uniform euxassay_003651_10
TS23: midbrain ventricular layer Strong Regionally restricted euxassay_003651_10
TS23: hypothalamus ventricular layer Moderate Regionally restricted euxassay_003651_10
TS23: thymus primordium Weak Regionally restricted euxassay_003651_10
TS23: right lung Moderate Regionally restricted euxassay_003651_10

Specimen euxassay_003651_11: embryonic day 14.5 (more )
Structure Level Pattern Image Note
TS23: olfactory cortex ventricular layer Strong Uniform euxassay_003651_11
TS23: telencephalon ventricular layer Strong Uniform euxassay_003651_11
TS23: midbrain ventricular layer Strong Regionally restricted euxassay_003651_11
TS23: diencephalon lateral wall ventricular layer Moderate Regionally restricted euxassay_003651_11
TS23: hypothalamus ventricular layer Moderate Regionally restricted euxassay_003651_11
TS23: thymus primordium Weak Regionally restricted euxassay_003651_11
TS23: right lung Moderate Regionally restricted euxassay_003651_11

Specimen euxassay_003651_12: embryonic day 14.5 (more )
Structure Level Pattern Image Note
TS23: olfactory cortex ventricular layer Strong Uniform euxassay_003651_12
TS23: telencephalon ventricular layer Strong Uniform euxassay_003651_12
TS23: midbrain ventricular layer Strong Regionally restricted euxassay_003651_12
TS23: diencephalon lateral wall ventricular layer Moderate Regionally restricted euxassay_003651_12
TS23: hypothalamus ventricular layer Moderate Regionally restricted euxassay_003651_12
TS23: medulla oblongata basal plate ventricular layer Moderate Regionally restricted euxassay_003651_12
TS23: thymus primordium Weak Regionally restricted euxassay_003651_12
TS23: right lung Moderate Regionally restricted euxassay_003651_12

Specimen euxassay_003651_13: embryonic day 14.5 (more )
Structure Level Pattern Image Note
TS23: telencephalon ventricular layer Strong Uniform euxassay_003651_13
TS23: olfactory cortex ventricular layer Strong Uniform euxassay_003651_13
TS23: rest of cerebellum ventricular layer Moderate Regionally restricted euxassay_003651_13
TS23: rest of cerebellum marginal layer Moderate Regionally restricted euxassay_003651_13
TS23: midbrain ventricular layer Strong Regionally restricted euxassay_003651_13
TS23: diencephalon lateral wall ventricular layer Moderate Regionally restricted euxassay_003651_13
TS23: hypothalamus ventricular layer Moderate Regionally restricted euxassay_003651_13
TS23: medulla oblongata basal plate ventricular layer Moderate Regionally restricted euxassay_003651_13
TS23: thymus primordium Weak Regionally restricted euxassay_003651_13
TS23: right lung Moderate Regionally restricted euxassay_003651_13

Specimen euxassay_003651_14: embryonic day 14.5 (more )
Structure Level Pattern Image Note
TS23: telencephalon ventricular layer Strong Uniform euxassay_003651_14
TS23: rest of cerebellum ventricular layer Moderate Regionally restricted euxassay_003651_14
TS23: rest of cerebellum marginal layer Moderate Regionally restricted euxassay_003651_14
TS23: midbrain ventricular layer Strong Regionally restricted euxassay_003651_14
TS23: medulla oblongata basal plate ventricular layer Moderate Regionally restricted euxassay_003651_14
TS23: right lung Moderate Regionally restricted euxassay_003651_14

Specimen euxassay_003651_15: embryonic day 14.5 (more )
Structure Level Pattern Image Note
TS23: telencephalon ventricular layer Strong Uniform euxassay_003651_15
TS23: rest of cerebellum ventricular layer Moderate Regionally restricted euxassay_003651_15
TS23: rest of cerebellum marginal layer Moderate Regionally restricted euxassay_003651_15
TS23: submandibular gland primordium Moderate Regionally restricted euxassay_003651_15
TS23: right lung Moderate Regionally restricted euxassay_003651_15

Specimen euxassay_003651_16: embryonic day 14.5 (more )
Structure Level Pattern Image Note
TS23: telencephalon ventricular layer Strong Uniform euxassay_003651_16
TS23: olfactory cortex ventricular layer Strong Uniform euxassay_003651_16
TS23: rest of cerebellum ventricular layer Moderate Regionally restricted euxassay_003651_16
TS23: rest of cerebellum marginal layer Moderate Regionally restricted euxassay_003651_16
TS23: submandibular gland primordium Moderate Regionally restricted euxassay_003651_16
TS23: right lung Moderate Regionally restricted euxassay_003651_16

Specimen euxassay_003651_17: embryonic day 14.5 (more )
Structure Level Pattern Image Note
TS23: olfactory cortex ventricular layer Strong Uniform euxassay_003651_17
TS23: telencephalon ventricular layer Strong Uniform euxassay_003651_17
TS23: rest of cerebellum ventricular layer Moderate Regionally restricted euxassay_003651_17
TS23: rest of cerebellum marginal layer Moderate Regionally restricted euxassay_003651_17
TS23: submandibular gland primordium Moderate Regionally restricted euxassay_003651_17
TS23: right lung Moderate Regionally restricted euxassay_003651_17

Specimen euxassay_003651_18: embryonic day 14.5 (more )
Structure Level Pattern Image Note
TS23: telencephalon ventricular layer Strong Uniform euxassay_003651_18
TS23: rest of cerebellum ventricular layer Moderate Regionally restricted euxassay_003651_18
TS23: rest of cerebellum marginal layer Moderate Regionally restricted euxassay_003651_18
TS23: submandibular gland primordium Moderate Regionally restricted euxassay_003651_18
TS23: right lung Moderate Regionally restricted euxassay_003651_18

Specimen euxassay_003651_19: embryonic day 14.5 (more )
Structure Level Pattern Image Note
TS23: telencephalon ventricular layer Strong Uniform euxassay_003651_19
TS23: rest of cerebellum ventricular layer Moderate Regionally restricted euxassay_003651_19
TS23: rest of cerebellum marginal layer Moderate Regionally restricted euxassay_003651_19
TS23: submandibular gland primordium Moderate Regionally restricted euxassay_003651_19
TS23: right lung Moderate Regionally restricted euxassay_003651_19

Specimen euxassay_003651_20: embryonic day 14.5 (more )
Structure Level Pattern Image Note
TS23: telencephalon ventricular layer Moderate Uniform euxassay_003651_20
TS23: right lung Moderate Regionally restricted euxassay_003651_20

Specimen euxassay_003651_21: embryonic day 14.5 (more )
Structure Level Pattern Image Note
TS23: telencephalon ventricular layer Moderate Uniform euxassay_003651_21
TS23: right lung Moderate Regionally restricted euxassay_003651_21

Specimen euxassay_003651_22: embryonic day 14.5 (more )
Structure Level Pattern Image Note
TS23: telencephalon ventricular layer Moderate Uniform euxassay_003651_22
TS23: right lung Moderate Regionally restricted euxassay_003651_22


Contributing Projects:
Mouse Genome Database (MGD), Gene Expression Database (GXD), Mouse Models of Human Cancer database (MMHCdb) (formerly Mouse Tumor Biology (MTB)), Gene Ontology (GO)
Citing These Resources
Funding Information
Warranty Disclaimer, Privacy Notice, Licensing, & Copyright
Send questions and comments to User Support.
last database update
12/30/2025
MGI 6.24
The Jackson Laboratory