About   Help   FAQ
Gene Expression Data
Assay Details
Assay
Reference: J:153498 Diez-Roux G, et al., A high-resolution anatomical atlas of the transcriptome in the mouse embryo. PLoS Biol. 2011;9(1):e1000582
Assay type: RNA in situ
MGI Accession ID: MGI:4827495
Gene symbol: Psph
Gene name: phosphoserine phosphatase
Probe: IMAGE clone 1547021
Probe preparation: Antisense labelled with digoxigenin RNA
Visualized with: Alkaline phosphatase
Assay notes: Cryosections of fresh frozen material were fixed in 4% paraformaldehyde for 20 min. before further processing. A tyramide-biotin/streptavidin amplification step was included in the in situ hybridization procedure.
Results
Specimen euxassay_007810_01: embryonic day 14.5 (more )
Structure Level Pattern Image Note
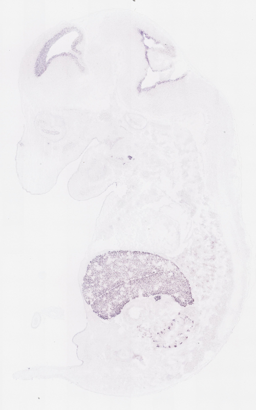
TS23: liver left lobe Strong Regionally restricted euxassay_007810_01

Specimen euxassay_007810_02: embryonic day 14.5 (more )
Structure Level Pattern Image Note
TS23: liver left lobe Strong Regionally restricted euxassay_007810_02
TS23: telencephalon ventricular layer Weak Uniform euxassay_007810_02

Specimen euxassay_007810_03: embryonic day 14.5 (more )
Structure Level Pattern Image Note
TS23: liver left lobe Strong Regionally restricted euxassay_007810_03
TS23: telencephalon ventricular layer Weak Uniform euxassay_007810_03
TS23: vibrissa Weak Regionally restricted euxassay_007810_03

Specimen euxassay_007810_04: embryonic day 14.5 (more )
Structure Level Pattern Image Note
TS23: liver left lobe Strong Regionally restricted euxassay_007810_04
TS23: telencephalon ventricular layer Weak Uniform euxassay_007810_04
TS23: vibrissa Weak Regionally restricted euxassay_007810_04

Specimen euxassay_007810_05: embryonic day 14.5 (more )
Structure Level Pattern Image Note
TS23: liver left lobe Strong Regionally restricted euxassay_007810_05
TS23: telencephalon ventricular layer Moderate Uniform euxassay_007810_05
TS23: pons ventricular layer Moderate Regionally restricted euxassay_007810_05
TS23: submandibular gland primordium Strong Regionally restricted euxassay_007810_05
TS23: renal calyx Moderate Regionally restricted euxassay_007810_05
TS23: vibrissa Weak Regionally restricted euxassay_007810_05

Specimen euxassay_007810_06: embryonic day 14.5 (more )
Structure Level Pattern Image Note
TS23: liver left lobe Strong Regionally restricted euxassay_007810_06
TS23: telencephalon ventricular layer Moderate Uniform euxassay_007810_06
TS23: pons ventricular layer Moderate Regionally restricted euxassay_007810_06
TS23: submandibular gland primordium Strong Regionally restricted euxassay_007810_06
TS23: renal calyx Moderate Regionally restricted euxassay_007810_06
TS23: vibrissa Weak Regionally restricted euxassay_007810_06

Specimen euxassay_007810_07: embryonic day 14.5 (more )
Structure Level Pattern Image Note
TS23: liver left lobe Strong Regionally restricted euxassay_007810_07
TS23: telencephalon ventricular layer Moderate Uniform euxassay_007810_07
TS23: pons ventricular layer Moderate Regionally restricted euxassay_007810_07
TS23: midbrain ventricular layer Moderate Regionally restricted euxassay_007810_07
TS23: submandibular gland primordium Moderate Regionally restricted euxassay_007810_07
TS23: renal calyx Moderate Regionally restricted euxassay_007810_07

Specimen euxassay_007810_08: embryonic day 14.5 (more )
Structure Level Pattern Image Note
TS23: liver left lobe Strong Regionally restricted euxassay_007810_08
TS23: telencephalon ventricular layer Moderate Uniform euxassay_007810_08
TS23: midbrain ventricular layer Moderate Regionally restricted euxassay_007810_08
TS23: pons ventricular layer Moderate Regionally restricted euxassay_007810_08
TS23: medulla oblongata basal plate ventricular layer Moderate Regionally restricted euxassay_007810_08
TS23: thymus primordium Weak Regionally restricted euxassay_007810_08
TS23: submandibular gland primordium Moderate Regionally restricted euxassay_007810_08
TS23: renal calyx Moderate Regionally restricted euxassay_007810_08

Specimen euxassay_007810_09: embryonic day 14.5 (more )
Structure Level Pattern Image Note
TS23: liver left lobe Strong Regionally restricted euxassay_007810_09
TS23: telencephalon ventricular layer Moderate Uniform euxassay_007810_09
TS23: medulla oblongata basal plate ventricular layer Moderate Regionally restricted euxassay_007810_09
TS23: pons ventricular layer Moderate Regionally restricted euxassay_007810_09
TS23: midbrain ventricular layer Moderate Regionally restricted euxassay_007810_09
TS23: thymus primordium Weak Regionally restricted euxassay_007810_09

Specimen euxassay_007810_10: embryonic day 14.5 (more )
Structure Level Pattern Image Note
TS23: liver left lobe Strong Regionally restricted euxassay_007810_10
TS23: olfactory cortex ventricular layer Moderate Uniform euxassay_007810_10
TS23: telencephalon ventricular layer Moderate Uniform euxassay_007810_10
TS23: medulla oblongata basal plate ventricular layer Weak Regionally restricted euxassay_007810_10
TS23: pons ventricular layer Weak Regionally restricted euxassay_007810_10
TS23: midbrain ventricular layer Weak Regionally restricted euxassay_007810_10
TS23: thymus primordium Weak Regionally restricted euxassay_007810_10

Specimen euxassay_007810_11: embryonic day 14.5 (more )
Structure Level Pattern Image Note
TS23: liver left lobe Strong Regionally restricted euxassay_007810_11
TS23: olfactory cortex ventricular layer Moderate Uniform euxassay_007810_11
TS23: telencephalon ventricular layer Moderate Uniform euxassay_007810_11
TS23: midbrain ventricular layer Weak Regionally restricted euxassay_007810_11
TS23: pons ventricular layer Weak Regionally restricted euxassay_007810_11
TS23: medulla oblongata basal plate ventricular layer Weak Regionally restricted euxassay_007810_11
TS23: diencephalon lateral wall ventricular layer Moderate Regionally restricted euxassay_007810_11
TS23: hypothalamus ventricular layer Moderate Regionally restricted euxassay_007810_11
TS23: thymus primordium Weak Regionally restricted euxassay_007810_11

Specimen euxassay_007810_12: embryonic day 14.5 (more )
Structure Level Pattern Image Note
TS23: liver right lobe Strong Regionally restricted euxassay_007810_12
TS23: telencephalon ventricular layer Moderate Uniform euxassay_007810_12
TS23: medulla oblongata basal plate ventricular layer Weak Regionally restricted euxassay_007810_12
TS23: pons ventricular layer Weak Regionally restricted euxassay_007810_12
TS23: midbrain ventricular layer Weak Regionally restricted euxassay_007810_12
TS23: diencephalon lateral wall ventricular layer Weak Regionally restricted euxassay_007810_12
TS23: hypothalamus ventricular layer Weak Regionally restricted euxassay_007810_12
TS23: thymus primordium Weak Regionally restricted euxassay_007810_12

Specimen euxassay_007810_13: embryonic day 14.5 (more )
Structure Level Pattern Image Note
TS23: liver right lobe Strong Regionally restricted euxassay_007810_13
TS23: telencephalon ventricular layer Moderate Uniform euxassay_007810_13
TS23: medulla oblongata basal plate ventricular layer Weak Regionally restricted euxassay_007810_13
TS23: pons ventricular layer Weak Regionally restricted euxassay_007810_13
TS23: midbrain ventricular layer Weak Regionally restricted euxassay_007810_13
TS23: hypothalamus ventricular layer Weak Regionally restricted euxassay_007810_13
TS23: diencephalon lateral wall ventricular layer Weak Regionally restricted euxassay_007810_13
TS23: submandibular gland primordium Moderate Regionally restricted euxassay_007810_13
TS23: renal calyx Moderate Regionally restricted euxassay_007810_13

Specimen euxassay_007810_14: embryonic day 14.5 (more )
Structure Level Pattern Image Note
TS23: liver right lobe Strong Regionally restricted euxassay_007810_14
TS23: pons ventricular layer Weak Regionally restricted euxassay_007810_14
TS23: midbrain ventricular layer Weak Regionally restricted euxassay_007810_14
TS23: submandibular gland primordium Strong Regionally restricted euxassay_007810_14
TS23: renal calyx Moderate Regionally restricted euxassay_007810_14

Specimen euxassay_007810_15: embryonic day 14.5 (more )
Structure Level Pattern Image Note
TS23: liver right lobe Strong Regionally restricted euxassay_007810_15
TS23: telencephalon ventricular layer Moderate Uniform euxassay_007810_15
TS23: olfactory cortex ventricular layer Moderate Uniform euxassay_007810_15
TS23: midbrain ventricular layer Weak Regionally restricted euxassay_007810_15
TS23: pons ventricular layer Weak Regionally restricted euxassay_007810_15
TS23: submandibular gland primordium Strong Regionally restricted euxassay_007810_15
TS23: renal calyx Moderate Regionally restricted euxassay_007810_15

Specimen euxassay_007810_16: embryonic day 14.5 (more )
Structure Level Pattern Image Note
TS23: liver right lobe Strong Regionally restricted euxassay_007810_16
TS23: olfactory cortex ventricular layer Moderate Uniform euxassay_007810_16
TS23: telencephalon ventricular layer Moderate Uniform euxassay_007810_16
TS23: pons ventricular layer Weak Regionally restricted euxassay_007810_16
TS23: submandibular gland primordium Moderate Regionally restricted euxassay_007810_16
TS23: renal calyx Weak Regionally restricted euxassay_007810_16

Specimen euxassay_007810_17: embryonic day 14.5 (more )
Structure Level Pattern Image Note
TS23: liver right lobe Strong Regionally restricted euxassay_007810_17
TS23: telencephalon ventricular layer Moderate Uniform euxassay_007810_17
TS23: olfactory cortex ventricular layer Moderate Uniform euxassay_007810_17
TS23: pons ventricular layer Weak Regionally restricted euxassay_007810_17

Specimen euxassay_007810_18: embryonic day 14.5 (more )
Structure Level Pattern Image Note
TS23: liver right lobe Strong Regionally restricted euxassay_007810_18
TS23: telencephalon ventricular layer Moderate Uniform euxassay_007810_18

Specimen euxassay_007810_19: embryonic day 14.5 (more )
Structure Level Pattern Image Note
TS23: liver right lobe Strong Regionally restricted euxassay_007810_19
TS23: telencephalon ventricular layer Moderate Uniform euxassay_007810_19
TS23: vibrissa Weak Regionally restricted euxassay_007810_19

Specimen euxassay_007810_20: embryonic day 14.5 (more )
Structure Level Pattern Image Note
TS23: liver right lobe Strong Regionally restricted euxassay_007810_20
TS23: telencephalon ventricular layer Moderate Uniform euxassay_007810_20
TS23: vibrissa Weak Regionally restricted euxassay_007810_20


Contributing Projects:
Mouse Genome Database (MGD), Gene Expression Database (GXD), Mouse Models of Human Cancer database (MMHCdb) (formerly Mouse Tumor Biology (MTB)), Gene Ontology (GO)
Citing These Resources
Funding Information
Warranty Disclaimer, Privacy Notice, Licensing, & Copyright
Send questions and comments to User Support.
last database update
01/20/2026
MGI 6.24
The Jackson Laboratory