About   Help   FAQ
Gene Expression Data
Assay Details
Assay
Reference: J:153498 Diez-Roux G, et al., A high-resolution anatomical atlas of the transcriptome in the mouse embryo. PLoS Biol. 2011;9(1):e1000582
Assay type: RNA in situ
MGI Accession ID: MGI:4827487
Gene symbol: Psmd12
Gene name: proteasome (prosome, macropain) 26S subunit, non-ATPase, 12
Probe: MGC clone 6375
Probe preparation: Antisense labelled with digoxigenin RNA
Visualized with: Alkaline phosphatase
Assay notes: Cryosections of fresh frozen material were fixed in 4% paraformaldehyde for 20 min. before further processing. A tyramide-biotin/streptavidin amplification step was included in the in situ hybridization procedure.
Results
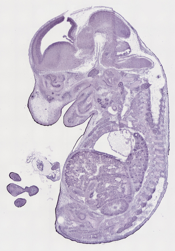
Specimen euxassay_003452_01: embryonic day 14.5 (more )
Structure Level Pattern Image Note
TS23: physiological umbilical hernia epidermis Strong Regionally restricted euxassay_003452_01
TS23: vertebral axis musculature Moderate Regionally restricted euxassay_003452_01
TS23: pharyngo-tympanic tube Strong Regionally restricted euxassay_003452_01
TS23: cornea stroma Moderate Regionally restricted euxassay_003452_01
TS23: orbito-sphenoid Strong Regionally restricted euxassay_003452_01
TS23: central nervous system Moderate Regionally restricted euxassay_003452_01
TS23: liver Moderate Regionally restricted euxassay_003452_01
TS23: stomach Moderate Regionally restricted euxassay_003452_01
TS23: limb Moderate Regionally restricted euxassay_003452_01

Specimen euxassay_003452_02: embryonic day 14.5 (more )
Structure Level Pattern Image Note
TS23: physiological umbilical hernia epidermis Strong Regionally restricted euxassay_003452_02
TS23: vertebral axis musculature Moderate Regionally restricted euxassay_003452_02
TS23: pharyngo-tympanic tube Strong Regionally restricted euxassay_003452_02
TS23: cornea stroma Weak Regionally restricted euxassay_003452_02
TS23: orbito-sphenoid Strong Regionally restricted euxassay_003452_02
TS23: central nervous system Moderate Regionally restricted euxassay_003452_02
TS23: liver Moderate Regionally restricted euxassay_003452_02
TS23: stomach Moderate Regionally restricted euxassay_003452_02
TS23: limb Moderate Regionally restricted euxassay_003452_02
TS23: cornea epithelium Weak Regionally restricted euxassay_003452_02

Specimen euxassay_003452_03: embryonic day 14.5 (more )
Structure Level Pattern Image Note
TS23: physiological umbilical hernia epidermis Strong Regionally restricted euxassay_003452_03
TS23: vertebral axis musculature Moderate Regionally restricted euxassay_003452_03
TS23: pharyngo-tympanic tube Strong Regionally restricted euxassay_003452_03
TS23: cornea stroma Weak Regionally restricted euxassay_003452_03
TS23: orbito-sphenoid Strong Regionally restricted euxassay_003452_03
TS23: central nervous system Moderate Regionally restricted euxassay_003452_03
TS23: trigeminal ganglion Moderate Regionally restricted euxassay_003452_03
TS23: liver Moderate Regionally restricted euxassay_003452_03
TS23: stomach Moderate Regionally restricted euxassay_003452_03
TS23: limb Moderate Regionally restricted euxassay_003452_03
TS23: rib Moderate Regionally restricted euxassay_003452_03
TS23: cornea epithelium Weak Regionally restricted euxassay_003452_03

Specimen euxassay_003452_04: embryonic day 14.5 (more )
Structure Level Pattern Image Note
TS23: physiological umbilical hernia epidermis Strong Regionally restricted euxassay_003452_04
TS23: vertebral axis musculature Moderate Regionally restricted euxassay_003452_04
TS23: pharyngo-tympanic tube Strong Regionally restricted euxassay_003452_04
TS23: cornea stroma Weak Regionally restricted euxassay_003452_04
TS23: vibrissa Moderate Regionally restricted euxassay_003452_04
TS23: orbito-sphenoid Strong Regionally restricted euxassay_003452_04
TS23: central nervous system Moderate Regionally restricted euxassay_003452_04
TS23: lung Moderate Spotted euxassay_003452_04
TS23: trigeminal ganglion Moderate Regionally restricted euxassay_003452_04
TS23: liver Moderate Regionally restricted euxassay_003452_04
TS23: stomach Moderate Regionally restricted euxassay_003452_04
TS23: limb Moderate Regionally restricted euxassay_003452_04
TS23: rib Moderate Regionally restricted euxassay_003452_04
TS23: cornea epithelium Weak Regionally restricted euxassay_003452_04

Specimen euxassay_003452_05: embryonic day 14.5 (more )
Structure Level Pattern Image Note
TS23: physiological umbilical hernia epidermis Strong Regionally restricted euxassay_003452_05
TS23: vertebral axis musculature Moderate Regionally restricted euxassay_003452_05
TS23: pharyngo-tympanic tube Strong Regionally restricted euxassay_003452_05
TS23: vibrissa Strong Regionally restricted euxassay_003452_05
TS23: orbito-sphenoid Strong Regionally restricted euxassay_003452_05
TS23: central nervous system Moderate Regionally restricted euxassay_003452_05
TS23: lung Moderate Spotted euxassay_003452_05
TS23: trigeminal ganglion Moderate Regionally restricted euxassay_003452_05
TS23: heart Moderate Regionally restricted euxassay_003452_05
TS23: liver Moderate Regionally restricted euxassay_003452_05
TS23: midgut Moderate Regionally restricted euxassay_003452_05
TS23: stomach Moderate Regionally restricted euxassay_003452_05
TS23: hindlimb Moderate Regionally restricted euxassay_003452_05
TS23: rib Moderate Regionally restricted euxassay_003452_05

Specimen euxassay_003452_06: embryonic day 14.5 (more )
Structure Level Pattern Image Note
TS23: physiological umbilical hernia epidermis Strong Regionally restricted euxassay_003452_06
TS23: vertebral axis musculature Moderate Regionally restricted euxassay_003452_06
TS23: vibrissa Strong Regionally restricted euxassay_003452_06
TS23: orbito-sphenoid Strong Regionally restricted euxassay_003452_06
TS23: upper jaw molar Moderate Regionally restricted euxassay_003452_06
TS23: lower jaw molar Moderate Regionally restricted euxassay_003452_06
TS23: central nervous system Moderate Regionally restricted euxassay_003452_06
TS23: lung Moderate Spotted euxassay_003452_06
TS23: trigeminal ganglion Moderate Regionally restricted euxassay_003452_06
TS23: heart Moderate Regionally restricted euxassay_003452_06
TS23: liver Moderate Regionally restricted euxassay_003452_06
TS23: midgut Moderate Regionally restricted euxassay_003452_06
TS23: stomach Moderate Regionally restricted euxassay_003452_06
TS23: rib Moderate Regionally restricted euxassay_003452_06
TS23: hindlimb Moderate Regionally restricted euxassay_003452_06

Specimen euxassay_003452_07: embryonic day 14.5 (more )
Structure Level Pattern Image Note
TS23: physiological umbilical hernia epidermis Strong Regionally restricted euxassay_003452_07
TS23: vertebral axis musculature Moderate Regionally restricted euxassay_003452_07
TS23: pharyngo-tympanic tube Strong Regionally restricted euxassay_003452_07
TS23: vibrissa Strong Regionally restricted euxassay_003452_07
TS23: upper jaw molar Moderate Regionally restricted euxassay_003452_07
TS23: lower jaw molar Moderate Regionally restricted euxassay_003452_07
TS23: olfactory epithelium Moderate Regionally restricted euxassay_003452_07
TS23: submandibular gland primordium Strong Regionally restricted euxassay_003452_07
TS23: central nervous system Moderate Regionally restricted euxassay_003452_07
TS23: lung Moderate Spotted euxassay_003452_07
TS23: glossopharyngeal ganglion Moderate Regionally restricted euxassay_003452_07
TS23: trigeminal ganglion Moderate Regionally restricted euxassay_003452_07
TS23: heart Moderate Regionally restricted euxassay_003452_07
TS23: liver Moderate Regionally restricted euxassay_003452_07
TS23: midgut Moderate Regionally restricted euxassay_003452_07
TS23: stomach Moderate Regionally restricted euxassay_003452_07
TS23: rib Moderate Regionally restricted euxassay_003452_07

Specimen euxassay_003452_08: embryonic day 14.5 (more )
Structure Level Pattern Image Note
TS23: physiological umbilical hernia epidermis Strong Regionally restricted euxassay_003452_08
TS23: vertebral axis musculature Moderate Regionally restricted euxassay_003452_08
TS23: pharyngo-tympanic tube Strong Regionally restricted euxassay_003452_08
TS23: vibrissa Strong Regionally restricted euxassay_003452_08
TS23: upper jaw molar Moderate Regionally restricted euxassay_003452_08
TS23: lower jaw molar Moderate Regionally restricted euxassay_003452_08
TS23: olfactory epithelium Moderate Regionally restricted euxassay_003452_08
TS23: submandibular gland primordium Strong Regionally restricted euxassay_003452_08
TS23: central nervous system Moderate Regionally restricted euxassay_003452_08
TS23: lung Moderate Spotted euxassay_003452_08
TS23: glossopharyngeal ganglion Moderate Regionally restricted euxassay_003452_08
TS23: trigeminal ganglion Moderate Regionally restricted euxassay_003452_08
TS23: heart Moderate Regionally restricted euxassay_003452_08
TS23: liver Moderate Regionally restricted euxassay_003452_08
TS23: pancreas Strong Regionally restricted euxassay_003452_08
TS23: midgut Moderate Regionally restricted euxassay_003452_08
TS23: stomach Moderate Regionally restricted euxassay_003452_08
TS23: rib Moderate Regionally restricted euxassay_003452_08
TS23: metanephros Moderate Regionally restricted euxassay_003452_08

Specimen euxassay_003452_09: embryonic day 14.5 (more )
Structure Level Pattern Image Note
TS23: physiological umbilical hernia epidermis Strong Regionally restricted euxassay_003452_09
TS23: vertebral axis musculature Moderate Regionally restricted euxassay_003452_09
TS23: pharyngo-tympanic tube Strong Regionally restricted euxassay_003452_09
TS23: upper jaw molar Moderate Regionally restricted euxassay_003452_09
TS23: lower jaw molar Moderate Regionally restricted euxassay_003452_09
TS23: olfactory epithelium Moderate Regionally restricted euxassay_003452_09
TS23: submandibular gland primordium Strong Regionally restricted euxassay_003452_09
TS23: central nervous system Moderate Regionally restricted euxassay_003452_09
TS23: lung Moderate Spotted euxassay_003452_09
TS23: glossopharyngeal ganglion Moderate Regionally restricted euxassay_003452_09
TS23: trigeminal ganglion Moderate Regionally restricted euxassay_003452_09
TS23: heart Moderate Regionally restricted euxassay_003452_09
TS23: liver Moderate Regionally restricted euxassay_003452_09
TS23: pancreas Strong Regionally restricted euxassay_003452_09
TS23: midgut Moderate Regionally restricted euxassay_003452_09
TS23: rib Moderate Regionally restricted euxassay_003452_09
TS23: metanephros Moderate Regionally restricted euxassay_003452_09
TS23: adrenal gland Moderate Regionally restricted euxassay_003452_09

Specimen euxassay_003452_10: embryonic day 14.5 (more )
Structure Level Pattern Image Note
TS23: physiological umbilical hernia epidermis Strong Regionally restricted euxassay_003452_10
TS23: vertebral axis musculature Moderate Regionally restricted euxassay_003452_10
TS23: pharyngo-tympanic tube Strong Regionally restricted euxassay_003452_10
TS23: lower jaw incisor Moderate Regionally restricted euxassay_003452_10
TS23: olfactory epithelium Moderate Regionally restricted euxassay_003452_10
TS23: submandibular gland primordium Strong Regionally restricted euxassay_003452_10
TS23: central nervous system Moderate Regionally restricted euxassay_003452_10
TS23: lung Moderate Spotted euxassay_003452_10
TS23: vagus ganglion Moderate Regionally restricted euxassay_003452_10
TS23: heart Moderate Regionally restricted euxassay_003452_10
TS23: pancreas Strong Regionally restricted euxassay_003452_10
TS23: liver Moderate Regionally restricted euxassay_003452_10
TS23: midgut Moderate Regionally restricted euxassay_003452_10
TS23: rib Moderate Regionally restricted euxassay_003452_10
TS23: metanephros Moderate Regionally restricted euxassay_003452_10
TS23: adrenal gland Moderate Regionally restricted euxassay_003452_10
TS23: dorsal root ganglion Moderate Regionally restricted euxassay_003452_10

Specimen euxassay_003452_11: embryonic day 14.5 (more )
Structure Level Pattern Image Note
TS23: physiological umbilical hernia epidermis Strong Regionally restricted euxassay_003452_11
TS23: vertebral axis musculature Moderate Regionally restricted euxassay_003452_11
TS23: upper jaw incisor Moderate Regionally restricted euxassay_003452_11
TS23: lower jaw incisor Moderate Regionally restricted euxassay_003452_11
TS23: olfactory epithelium Moderate Regionally restricted euxassay_003452_11
TS23: nasal cavity respiratory epithelium Moderate Regionally restricted euxassay_003452_11
TS23: naris Moderate Regionally restricted euxassay_003452_11
TS23: tongue Moderate Regionally restricted euxassay_003452_11
TS23: central nervous system Moderate Regionally restricted euxassay_003452_11
TS23: lung Moderate Spotted euxassay_003452_11
TS23: adenohypophysis Moderate Regionally restricted euxassay_003452_11
TS23: cervical ganglion Moderate Spotted euxassay_003452_11
TS23: heart Moderate Regionally restricted euxassay_003452_11
TS23: liver Moderate Regionally restricted euxassay_003452_11
TS23: pancreas Strong Regionally restricted euxassay_003452_11
TS23: midgut Moderate Regionally restricted euxassay_003452_11
TS23: glans of male genital tubercle Moderate Regionally restricted euxassay_003452_11
TS23: metanephros Moderate Regionally restricted euxassay_003452_11
TS23: adrenal gland Moderate Regionally restricted euxassay_003452_11
TS23: cervico-thoracic ganglion Moderate Regionally restricted euxassay_003452_11
TS23: dorsal root ganglion Moderate Regionally restricted euxassay_003452_11

Specimen euxassay_003452_12: embryonic day 14.5 (more )
Structure Level Pattern Image Note
TS23: physiological umbilical hernia epidermis Strong Regionally restricted euxassay_003452_12
TS23: vertebral axis musculature Moderate Regionally restricted euxassay_003452_12
TS23: upper jaw incisor Moderate Regionally restricted euxassay_003452_12
TS23: lower jaw incisor Moderate Regionally restricted euxassay_003452_12
TS23: nasal cavity respiratory epithelium Moderate Regionally restricted euxassay_003452_12
TS23: olfactory epithelium Moderate Regionally restricted euxassay_003452_12
TS23: naris Moderate Regionally restricted euxassay_003452_12
TS23: tongue Moderate Regionally restricted euxassay_003452_12
TS23: central nervous system Moderate Regionally restricted euxassay_003452_12
TS23: lung Moderate Spotted euxassay_003452_12
TS23: larynx Moderate Spotted euxassay_003452_12
TS23: adenohypophysis Moderate Regionally restricted euxassay_003452_12
TS23: thymus primordium Moderate Regionally restricted euxassay_003452_12
TS23: heart Moderate Regionally restricted euxassay_003452_12
TS23: pancreas Strong Regionally restricted euxassay_003452_12
TS23: liver Moderate Regionally restricted euxassay_003452_12
TS23: midgut Moderate Regionally restricted euxassay_003452_12
TS23: glans of male genital tubercle Moderate Regionally restricted euxassay_003452_12
TS23: dorsal root ganglion Moderate Regionally restricted euxassay_003452_12

Specimen euxassay_003452_13: embryonic day 14.5 (more )
Structure Level Pattern Image Note
TS23: physiological umbilical hernia epidermis Strong Regionally restricted euxassay_003452_13
TS23: vertebral axis musculature Moderate Regionally restricted euxassay_003452_13
TS23: nasal cavity respiratory epithelium Moderate Regionally restricted euxassay_003452_13
TS23: tongue Moderate Regionally restricted euxassay_003452_13
TS23: central nervous system Moderate Regionally restricted euxassay_003452_13
TS23: lung Moderate Spotted euxassay_003452_13
TS23: larynx Moderate Spotted euxassay_003452_13
TS23: adenohypophysis Moderate Regionally restricted euxassay_003452_13
TS23: thymus primordium Moderate Regionally restricted euxassay_003452_13
TS23: cervico-thoracic ganglion Moderate Spotted euxassay_003452_13
TS23: heart Moderate Regionally restricted euxassay_003452_13
TS23: liver Moderate Regionally restricted euxassay_003452_13
TS23: midgut Moderate Regionally restricted euxassay_003452_13
TS23: glans of male genital tubercle Moderate Regionally restricted euxassay_003452_13
TS23: bladder Moderate Regionally restricted euxassay_003452_13
TS23: thoracic ganglion Moderate Regionally restricted euxassay_003452_13
TS23: dorsal root ganglion Moderate Regionally restricted euxassay_003452_13

Specimen euxassay_003452_14: embryonic day 14.5 (more )
Structure Level Pattern Image Note
TS23: physiological umbilical hernia epidermis Strong Regionally restricted euxassay_003452_14
TS23: vertebral axis musculature Moderate Regionally restricted euxassay_003452_14
TS23: lower jaw incisor Moderate Regionally restricted euxassay_003452_14
TS23: tongue Moderate Regionally restricted euxassay_003452_14
TS23: central nervous system Moderate Regionally restricted euxassay_003452_14
TS23: lung Moderate Spotted euxassay_003452_14
TS23: larynx Moderate Spotted euxassay_003452_14
TS23: adenohypophysis Moderate Regionally restricted euxassay_003452_14
TS23: thymus primordium Moderate Regionally restricted euxassay_003452_14
TS23: thoracic ganglion Moderate Spotted euxassay_003452_14
TS23: heart Moderate Regionally restricted euxassay_003452_14
TS23: liver Moderate Regionally restricted euxassay_003452_14
TS23: midgut Moderate Regionally restricted euxassay_003452_14
TS23: glans of male genital tubercle Moderate Regionally restricted euxassay_003452_14
TS23: bladder Moderate Regionally restricted euxassay_003452_14

Specimen euxassay_003452_15: embryonic day 14.5 (more )
Structure Level Pattern Image Note
TS23: physiological umbilical hernia epidermis Strong Regionally restricted euxassay_003452_15
TS23: vertebral axis musculature Moderate Regionally restricted euxassay_003452_15
TS23: upper jaw incisor Moderate Regionally restricted euxassay_003452_15
TS23: lower jaw incisor Moderate Regionally restricted euxassay_003452_15
TS23: nasal cavity respiratory epithelium Moderate Regionally restricted euxassay_003452_15
TS23: olfactory epithelium Moderate Regionally restricted euxassay_003452_15
TS23: tongue Moderate Regionally restricted euxassay_003452_15
TS23: central nervous system Moderate Regionally restricted euxassay_003452_15
TS23: lung Moderate Spotted euxassay_003452_15
TS23: larynx Moderate Spotted euxassay_003452_15
TS23: adenohypophysis Moderate Regionally restricted euxassay_003452_15
TS23: thymus primordium Moderate Regionally restricted euxassay_003452_15
TS23: thoracic ganglion Moderate Spotted euxassay_003452_15
TS23: heart Moderate Regionally restricted euxassay_003452_15
TS23: liver Moderate Regionally restricted euxassay_003452_15
TS23: midgut Moderate Regionally restricted euxassay_003452_15
TS23: glans of male genital tubercle Moderate Regionally restricted euxassay_003452_15
TS23: bladder Moderate Regionally restricted euxassay_003452_15

Specimen euxassay_003452_16: embryonic day 14.5 (more )
Structure Level Pattern Image Note
TS23: physiological umbilical hernia epidermis Strong Regionally restricted euxassay_003452_16
TS23: vertebral axis musculature Moderate Regionally restricted euxassay_003452_16
TS23: upper jaw incisor Moderate Regionally restricted euxassay_003452_16
TS23: lower jaw incisor Moderate Regionally restricted euxassay_003452_16
TS23: nasal cavity respiratory epithelium Moderate Regionally restricted euxassay_003452_16
TS23: olfactory epithelium Moderate Regionally restricted euxassay_003452_16
TS23: submandibular gland primordium Strong Regionally restricted euxassay_003452_16
TS23: tongue Moderate Regionally restricted euxassay_003452_16
TS23: central nervous system Moderate Regionally restricted euxassay_003452_16
TS23: lung Moderate Spotted euxassay_003452_16
TS23: adenohypophysis Moderate Regionally restricted euxassay_003452_16
TS23: thymus primordium Moderate Regionally restricted euxassay_003452_16
TS23: thoracic ganglion Moderate Spotted euxassay_003452_16
TS23: heart Moderate Regionally restricted euxassay_003452_16
TS23: liver Moderate Regionally restricted euxassay_003452_16
TS23: pancreas Strong Regionally restricted euxassay_003452_16
TS23: midgut Moderate Regionally restricted euxassay_003452_16
TS23: glans of male genital tubercle Moderate Regionally restricted euxassay_003452_16

Specimen euxassay_003452_17: embryonic day 14.5 (more )
Structure Level Pattern Image Note
TS23: physiological umbilical hernia epidermis Strong Regionally restricted euxassay_003452_17
TS23: vertebral axis musculature Moderate Regionally restricted euxassay_003452_17
TS23: upper jaw incisor Moderate Regionally restricted euxassay_003452_17
TS23: lower jaw incisor Moderate Regionally restricted euxassay_003452_17
TS23: nasal cavity respiratory epithelium Moderate Regionally restricted euxassay_003452_17
TS23: olfactory epithelium Moderate Regionally restricted euxassay_003452_17
TS23: naris Moderate Regionally restricted euxassay_003452_17
TS23: submandibular gland primordium Strong Regionally restricted euxassay_003452_17
TS23: tongue Moderate Regionally restricted euxassay_003452_17
TS23: central nervous system Moderate Regionally restricted euxassay_003452_17
TS23: lung Moderate Spotted euxassay_003452_17
TS23: adenohypophysis Moderate Regionally restricted euxassay_003452_17
TS23: cervical ganglion Moderate Spotted euxassay_003452_17
TS23: heart Moderate Regionally restricted euxassay_003452_17
TS23: liver Moderate Regionally restricted euxassay_003452_17
TS23: midgut Moderate Regionally restricted euxassay_003452_17
TS23: dorsal root ganglion Moderate Regionally restricted euxassay_003452_17

Specimen euxassay_003452_18: embryonic day 14.5 (more )
Structure Level Pattern Image Note
TS23: physiological umbilical hernia epidermis Strong Regionally restricted euxassay_003452_18
TS23: vertebral axis musculature Moderate Regionally restricted euxassay_003452_18
TS23: pharyngo-tympanic tube Strong Regionally restricted euxassay_003452_18
TS23: upper jaw molar Moderate Regionally restricted euxassay_003452_18
TS23: lower jaw molar Moderate Regionally restricted euxassay_003452_18
TS23: olfactory epithelium Moderate Regionally restricted euxassay_003452_18
TS23: submandibular gland primordium Strong Regionally restricted euxassay_003452_18
TS23: tongue Moderate Regionally restricted euxassay_003452_18
TS23: central nervous system Moderate Regionally restricted euxassay_003452_18
TS23: lung Moderate Spotted euxassay_003452_18
TS23: trigeminal ganglion Moderate Regionally restricted euxassay_003452_18
TS23: cervical ganglion Moderate Spotted euxassay_003452_18
TS23: heart Moderate Regionally restricted euxassay_003452_18
TS23: liver Moderate Regionally restricted euxassay_003452_18
TS23: pancreas Moderate Regionally restricted euxassay_003452_18
TS23: midgut Moderate Regionally restricted euxassay_003452_18
TS23: metanephros Moderate Regionally restricted euxassay_003452_18
TS23: adrenal gland Moderate Regionally restricted euxassay_003452_18
TS23: dorsal root ganglion Moderate Regionally restricted euxassay_003452_18

Specimen euxassay_003452_19: embryonic day 14.5 (more )
Structure Level Pattern Image Note
TS23: physiological umbilical hernia epidermis Strong Regionally restricted euxassay_003452_19
TS23: vertebral axis musculature Moderate Regionally restricted euxassay_003452_19
TS23: pharyngo-tympanic tube Strong Regionally restricted euxassay_003452_19
TS23: vibrissa Strong Regionally restricted euxassay_003452_19
TS23: upper jaw molar Moderate Regionally restricted euxassay_003452_19
TS23: lower jaw molar Moderate Regionally restricted euxassay_003452_19
TS23: olfactory epithelium Moderate Regionally restricted euxassay_003452_19
TS23: submandibular gland primordium Strong Regionally restricted euxassay_003452_19
TS23: central nervous system Moderate Regionally restricted euxassay_003452_19
TS23: lung Moderate Spotted euxassay_003452_19
TS23: trigeminal ganglion Moderate Regionally restricted euxassay_003452_19
TS23: vagus ganglion Moderate Regionally restricted euxassay_003452_19
TS23: heart Moderate Regionally restricted euxassay_003452_19
TS23: liver Moderate Regionally restricted euxassay_003452_19
TS23: midgut Moderate Regionally restricted euxassay_003452_19
TS23: hindlimb Moderate Regionally restricted euxassay_003452_19
TS23: metanephros Moderate Regionally restricted euxassay_003452_19
TS23: adrenal gland Moderate Regionally restricted euxassay_003452_19
TS23: dorsal root ganglion Moderate Regionally restricted euxassay_003452_19

Specimen euxassay_003452_20: embryonic day 14.5 (more )
Structure Level Pattern Image Note
TS23: vertebral axis musculature Moderate Regionally restricted euxassay_003452_20
TS23: physiological umbilical hernia epidermis Strong Regionally restricted euxassay_003452_20
TS23: pharyngo-tympanic tube Strong Regionally restricted euxassay_003452_20
TS23: vibrissa Strong Regionally restricted euxassay_003452_20
TS23: upper jaw molar Moderate Regionally restricted euxassay_003452_20
TS23: lower jaw molar Moderate Regionally restricted euxassay_003452_20
TS23: olfactory epithelium Moderate Regionally restricted euxassay_003452_20
TS23: submandibular gland primordium Strong Regionally restricted euxassay_003452_20
TS23: central nervous system Moderate Regionally restricted euxassay_003452_20
TS23: lung Moderate Spotted euxassay_003452_20
TS23: trigeminal ganglion Moderate Regionally restricted euxassay_003452_20
TS23: heart Moderate Regionally restricted euxassay_003452_20
TS23: liver Moderate Regionally restricted euxassay_003452_20
TS23: midgut Moderate Regionally restricted euxassay_003452_20
TS23: hindlimb Moderate Regionally restricted euxassay_003452_20
TS23: rib Moderate Regionally restricted euxassay_003452_20
TS23: metanephros Moderate Regionally restricted euxassay_003452_20
TS23: adrenal gland Moderate Regionally restricted euxassay_003452_20

Specimen euxassay_003452_21: embryonic day 14.5 (more )
Structure Level Pattern Image Note
TS23: vertebral axis musculature Moderate Regionally restricted euxassay_003452_21
TS23: physiological umbilical hernia epidermis Strong Regionally restricted euxassay_003452_21
TS23: pharyngo-tympanic tube Strong Regionally restricted euxassay_003452_21
TS23: vibrissa Strong Regionally restricted euxassay_003452_21
TS23: central nervous system Moderate Regionally restricted euxassay_003452_21
TS23: lung Moderate Spotted euxassay_003452_21
TS23: trigeminal ganglion Moderate Regionally restricted euxassay_003452_21
TS23: heart Moderate Regionally restricted euxassay_003452_21
TS23: liver Moderate Regionally restricted euxassay_003452_21
TS23: limb Moderate Regionally restricted euxassay_003452_21
TS23: rib Moderate Regionally restricted euxassay_003452_21
TS23: metanephros Moderate Regionally restricted euxassay_003452_21

Specimen euxassay_003452_22: embryonic day 14.5 (more )
Structure Level Pattern Image Note
TS23: physiological umbilical hernia epidermis Strong Regionally restricted euxassay_003452_22
TS23: vertebral axis musculature Moderate Regionally restricted euxassay_003452_22
TS23: pharyngo-tympanic tube Strong Regionally restricted euxassay_003452_22
TS23: vibrissa Strong Regionally restricted euxassay_003452_22
TS23: orbito-sphenoid Strong Regionally restricted euxassay_003452_22
TS23: central nervous system Moderate Regionally restricted euxassay_003452_22
TS23: lung Moderate Spotted euxassay_003452_22
TS23: trigeminal ganglion Moderate Regionally restricted euxassay_003452_22
TS23: heart Moderate Regionally restricted euxassay_003452_22
TS23: liver Moderate Regionally restricted euxassay_003452_22
TS23: limb Moderate Regionally restricted euxassay_003452_22
TS23: rib Moderate Regionally restricted euxassay_003452_22
TS23: metanephros Moderate Regionally restricted euxassay_003452_22

Specimen euxassay_003452_23: embryonic day 14.5 (more )
Structure Level Pattern Image Note
TS23: physiological umbilical hernia epidermis Strong Regionally restricted euxassay_003452_23
TS23: vertebral axis musculature Moderate Regionally restricted euxassay_003452_23
TS23: pharyngo-tympanic tube Strong Regionally restricted euxassay_003452_23
TS23: cornea stroma Weak Regionally restricted euxassay_003452_23
TS23: vibrissa Moderate Spotted euxassay_003452_23
TS23: orbito-sphenoid Strong Regionally restricted euxassay_003452_23
TS23: central nervous system Moderate Regionally restricted euxassay_003452_23
TS23: lung Moderate Spotted euxassay_003452_23
TS23: trigeminal ganglion Moderate Regionally restricted euxassay_003452_23
TS23: heart Moderate Regionally restricted euxassay_003452_23
TS23: liver Moderate Regionally restricted euxassay_003452_23
TS23: rib Moderate Regionally restricted euxassay_003452_23
TS23: limb Moderate Regionally restricted euxassay_003452_23

Specimen euxassay_003452_24: embryonic day 14.5 (more )
Structure Level Pattern Image Note
TS23: physiological umbilical hernia epidermis Moderate Regionally restricted euxassay_003452_24
TS23: vertebral axis musculature Moderate Regionally restricted euxassay_003452_24
TS23: cornea stroma Weak Regionally restricted euxassay_003452_24
TS23: vibrissa Strong Regionally restricted euxassay_003452_24
TS23: orbito-sphenoid Strong Regionally restricted euxassay_003452_24
TS23: central nervous system Moderate Regionally restricted euxassay_003452_24
TS23: lung Moderate Spotted euxassay_003452_24
TS23: trigeminal ganglion Moderate Regionally restricted euxassay_003452_24
TS23: liver Moderate Regionally restricted euxassay_003452_24
TS23: rib Moderate Regionally restricted euxassay_003452_24
TS23: limb Moderate Regionally restricted euxassay_003452_24
TS23: cornea epithelium Weak Regionally restricted euxassay_003452_24


Contributing Projects:
Mouse Genome Database (MGD), Gene Expression Database (GXD), Mouse Models of Human Cancer database (MMHCdb) (formerly Mouse Tumor Biology (MTB)), Gene Ontology (GO)
Citing These Resources
Funding Information
Warranty Disclaimer, Privacy Notice, Licensing, & Copyright
Send questions and comments to User Support.
last database update
03/24/2026
MGI 6.24
The Jackson Laboratory