About   Help   FAQ
Gene Expression Data
Assay Details
Assay
Reference: J:153498 Diez-Roux G, et al., A high-resolution anatomical atlas of the transcriptome in the mouse embryo. PLoS Biol. 2011;9(1):e1000582
Assay type: RNA in situ
MGI Accession ID: MGI:4827480
Gene symbol: Psmb9
Gene name: proteasome (prosome, macropain) subunit, beta type 9 (large multifunctional peptidase 2)
Probe: T36907
Probe preparation: Antisense labelled with digoxigenin RNA
Visualized with: Alkaline phosphatase
Assay notes: Cryosections of fresh frozen material were fixed in 4% paraformaldehyde for 20 min. before further processing. A tyramide-biotin/streptavidin amplification step was included in the in situ hybridization procedure.
Results
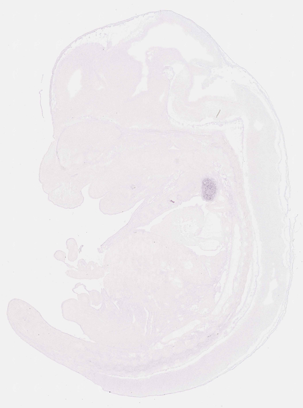
Specimen euxassay_009530_10: embryonic day 14.5 (more )
Structure Level Pattern Image Note
TS23: thymus primordium Moderate Regionally restricted euxassay_009530_10

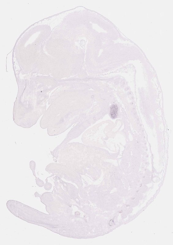
Specimen euxassay_009530_11: embryonic day 14.5 (more )
Structure Level Pattern Image Note
TS23: thymus primordium Moderate Regionally restricted euxassay_009530_11

Specimen euxassay_009530_12: embryonic day 14.5 (more )
Structure Level Pattern Image Note
TS23: thymus primordium Weak Regionally restricted euxassay_009530_12

Specimen euxassay_009530_13: embryonic day 14.5 (more )
Structure Level Pattern Image Note
TS23: thymus primordium Moderate Regionally restricted euxassay_009530_13

Specimen euxassay_009530_14: embryonic day 14.5 (more )
Structure Level Pattern Image Note
TS23: thymus primordium Moderate Regionally restricted euxassay_009530_14


Contributing Projects:
Mouse Genome Database (MGD), Gene Expression Database (GXD), Mouse Models of Human Cancer database (MMHCdb) (formerly Mouse Tumor Biology (MTB)), Gene Ontology (GO)
Citing These Resources
Funding Information
Warranty Disclaimer, Privacy Notice, Licensing, & Copyright
Send questions and comments to User Support.
last database update
12/30/2025
MGI 6.24
The Jackson Laboratory