About   Help   FAQ
Gene Expression Data
Assay Details
Assay
Reference: J:153498 Diez-Roux G, et al., A high-resolution anatomical atlas of the transcriptome in the mouse embryo. PLoS Biol. 2011;9(1):e1000582
Assay type: RNA in situ
MGI Accession ID: MGI:4827479
Gene symbol: Psmb8
Gene name: proteasome (prosome, macropain) subunit, beta type 8 (large multifunctional peptidase 7)
Probe: T31637
Probe preparation: Antisense labelled with digoxigenin RNA
Visualized with: Alkaline phosphatase
Assay notes: Cryosections of fresh frozen material were fixed in 4% paraformaldehyde for 20 min. before further processing. A tyramide-biotin/streptavidin amplification step was included in the in situ hybridization procedure.
Results
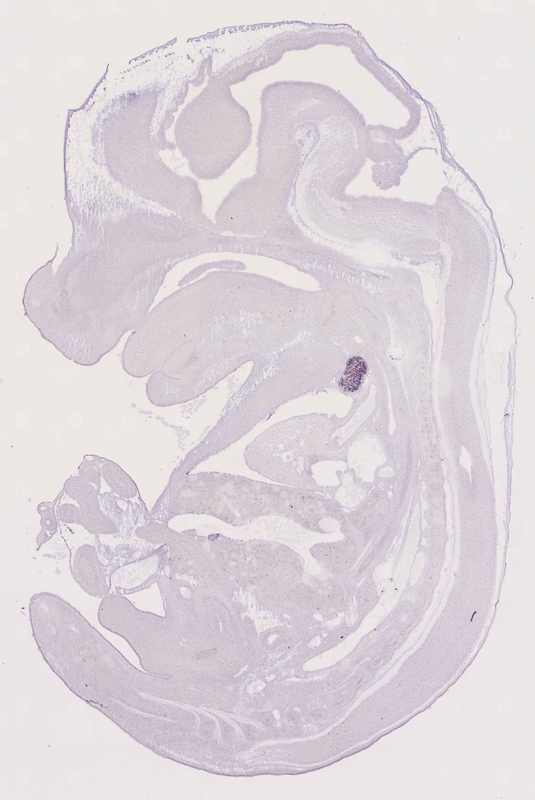
Specimen euxassay_013665_11: embryonic day 14.5 (more )
Structure Level Pattern Image Note
TS23: thymus primordium Strong Regionally restricted euxassay_013665_11

Specimen euxassay_013665_12: embryonic day 14.5 (more )
Structure Level Pattern Image Note
TS23: thymus primordium Strong Regionally restricted euxassay_013665_12

Specimen euxassay_013665_13: embryonic day 14.5 (more )
Structure Level Pattern Image Note
TS23: thymus primordium Strong Regionally restricted euxassay_013665_13

Specimen euxassay_013665_14: embryonic day 14.5 (more )
Structure Level Pattern Image Note
TS23: thymus primordium Strong Regionally restricted euxassay_013665_14

Specimen euxassay_013665_15: embryonic day 14.5 (more )
Structure Level Pattern Image Note
TS23: thymus primordium Strong Regionally restricted euxassay_013665_15

Specimen euxassay_013665_16: embryonic day 14.5 (more )
Structure Level Pattern Image Note
TS23: thymus primordium Strong Regionally restricted euxassay_013665_16


Contributing Projects:
Mouse Genome Database (MGD), Gene Expression Database (GXD), Mouse Models of Human Cancer database (MMHCdb) (formerly Mouse Tumor Biology (MTB)), Gene Ontology (GO)
Citing These Resources
Funding Information
Warranty Disclaimer, Privacy Notice, Licensing, & Copyright
Send questions and comments to User Support.
last database update
12/30/2025
MGI 6.24
The Jackson Laboratory