About   Help   FAQ
Gene Expression Data
Assay Details
Assay
Reference: J:153498 Diez-Roux G, et al., A high-resolution anatomical atlas of the transcriptome in the mouse embryo. PLoS Biol. 2011;9(1):e1000582
Assay type: RNA in situ
MGI Accession ID: MGI:4827462
Gene symbol: Psapl1
Gene name: prosaposin-like 1
Probe: IMAGE clone 2088199
Probe preparation: Antisense labelled with digoxigenin RNA
Visualized with: Alkaline phosphatase
Assay notes: Cryosections of fresh frozen material were fixed in 4% paraformaldehyde for 20 min. before further processing. A tyramide-biotin/streptavidin amplification step was included in the in situ hybridization procedure.
Results
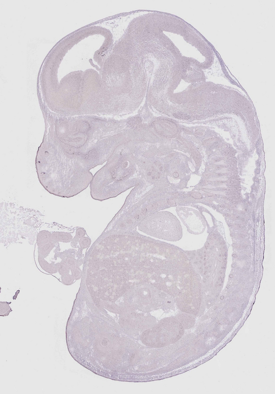
Specimen euxassay_002938_07: embryonic day 14.5 (more )
Structure Level Pattern Image Note
TS23: vibrissa Strong Regionally restricted euxassay_002938_07

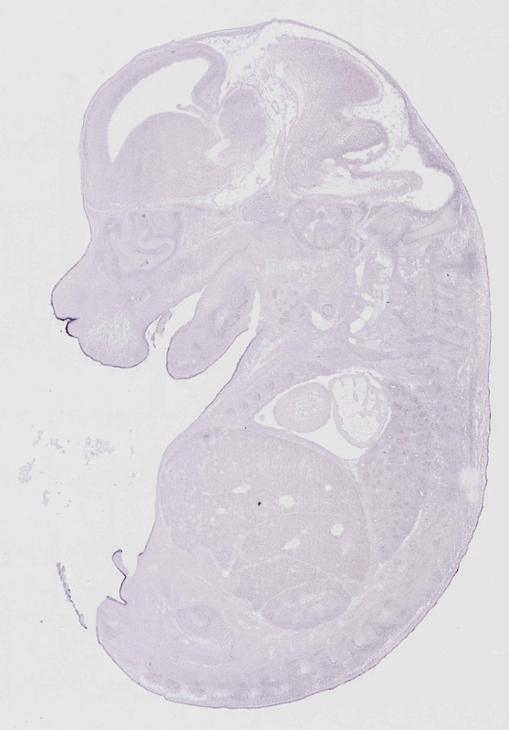
Specimen euxassay_002938_08: embryonic day 14.5 (more )
Structure Level Pattern Image Note
TS23: vibrissa Strong Regionally restricted euxassay_002938_08

Specimen euxassay_002938_09: embryonic day 14.5 (more )
Structure Level Pattern Image Note
TS23: vibrissa Weak Regionally restricted euxassay_002938_09

Specimen euxassay_002938_10: embryonic day 14.5 (more )
Structure Level Pattern Image Note
TS23: vibrissa Weak Regionally restricted euxassay_002938_10

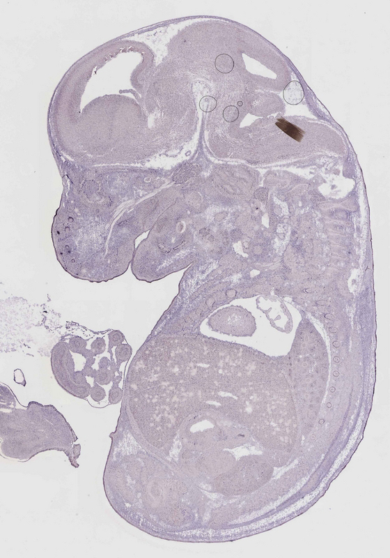
Specimen euxassay_002938_14: embryonic day 14.5 (more )
Structure Level Pattern Image Note
TS23: naris Strong Regionally restricted euxassay_002938_14

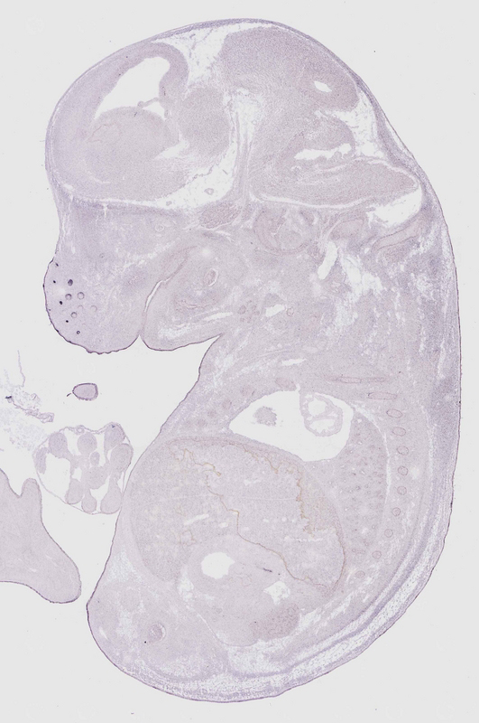
Specimen euxassay_002938_15: embryonic day 14.5 (more )
Structure Level Pattern Image Note
TS23: naris Strong Regionally restricted euxassay_002938_15
TS23: bladder Strong Regionally restricted euxassay_002938_15
TS23: urethra Strong Regionally restricted euxassay_002938_15 Originally this result was annotated to a male-specific term, but as the specimen was not sexed, it is likely the data annotator intended to use a non-sex specific term.

Specimen euxassay_002938_16: embryonic day 14.5 (more )
Structure Level Pattern Image Note
TS23: naris Strong Regionally restricted euxassay_002938_16
TS23: bladder Strong Regionally restricted euxassay_002938_16
TS23: urethra Strong Regionally restricted euxassay_002938_16 Originally this result was annotated to a male-specific term, but as the specimen was not sexed, it is likely the data annotator intended to use a non-sex specific term.
TS23: rectum Strong Regionally restricted euxassay_002938_16

Specimen euxassay_002938_17: embryonic day 14.5 (more )
Structure Level Pattern Image Note
TS23: bladder Strong Regionally restricted euxassay_002938_17
TS23: urethra Strong Regionally restricted euxassay_002938_17 Originally this result was annotated to a male-specific term, but as the specimen was not sexed, it is likely the data annotator intended to use a non-sex specific term.
TS23: rectum Strong Regionally restricted euxassay_002938_17

Specimen euxassay_002938_18: embryonic day 14.5 (more )
Structure Level Pattern Image Note
TS23: naris Strong Regionally restricted euxassay_002938_18

Specimen euxassay_002938_19: embryonic day 14.5 (more )
Structure Level Pattern Image Note
TS23: naris Strong Regionally restricted euxassay_002938_19

Specimen euxassay_002938_20: embryonic day 14.5 (more )
Structure Level Pattern Image Note
TS23: naris Strong Regionally restricted euxassay_002938_20

Specimen euxassay_002938_23: embryonic day 14.5 (more )
Structure Level Pattern Image Note
TS23: vibrissa Weak Regionally restricted euxassay_002938_23

Specimen euxassay_002938_24: embryonic day 14.5 (more )
Structure Level Pattern Image Note
TS23: vibrissa Strong Regionally restricted euxassay_002938_24


Contributing Projects:
Mouse Genome Database (MGD), Gene Expression Database (GXD), Mouse Models of Human Cancer database (MMHCdb) (formerly Mouse Tumor Biology (MTB)), Gene Ontology (GO)
Citing These Resources
Funding Information
Warranty Disclaimer, Privacy Notice, Licensing, & Copyright
Send questions and comments to User Support.
last database update
12/30/2025
MGI 6.24
The Jackson Laboratory