About   Help   FAQ
Gene Expression Data
Assay Details
Assay
Reference: J:153498 Diez-Roux G, et al., A high-resolution anatomical atlas of the transcriptome in the mouse embryo. PLoS Biol. 2011;9(1):e1000582
Assay type: RNA in situ
MGI Accession ID: MGI:4827441
Gene symbol: Prox1
Gene name: prospero homeobox 1
Probe: MGC clone 58947
Probe preparation: Antisense labelled with digoxigenin RNA
Visualized with: Alkaline phosphatase
Assay notes: Cryosections of fresh frozen material were fixed in 4% paraformaldehyde for 20 min. before further processing. A tyramide-biotin/streptavidin amplification step was included in the in situ hybridization procedure.
Results
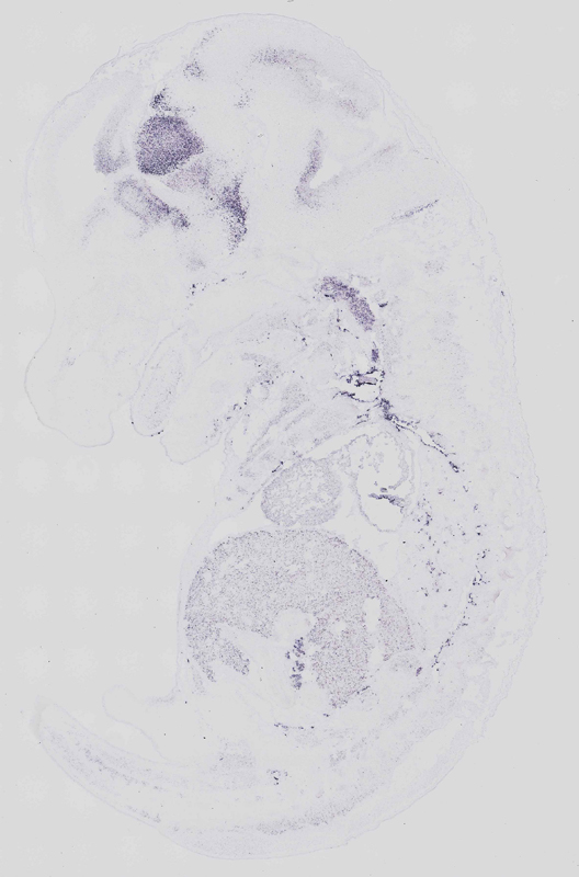
Specimen euxassay_004159_01: embryonic day 14.5 (more )
Structure Level Pattern Image Note
TS23: liver Moderate Regionally restricted euxassay_004159_01
TS23: cardiovascular system Strong Regionally restricted euxassay_004159_01
TS23: lens Strong Regionally restricted euxassay_004159_01
TS23: embryo mesenchyme Strong Regionally restricted euxassay_004159_01

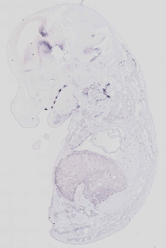
Specimen euxassay_004159_02: embryonic day 14.5 (more )
Structure Level Pattern Image Note
TS23: liver Moderate Regionally restricted euxassay_004159_02
TS23: cardiovascular system Strong Regionally restricted euxassay_004159_02
TS23: lens Strong Regionally restricted euxassay_004159_02
TS23: embryo mesenchyme Strong Regionally restricted euxassay_004159_02

Specimen euxassay_004159_03: embryonic day 14.5 (more )
Structure Level Pattern Image Note
TS23: telencephalon ventricular layer Strong Regionally restricted euxassay_004159_03
TS23: telencephalon mantle layer Strong Regionally restricted euxassay_004159_03
TS23: liver Moderate Regionally restricted euxassay_004159_03
TS23: cardiovascular system Strong Regionally restricted euxassay_004159_03
TS23: embryo mesenchyme Strong Regionally restricted euxassay_004159_03

Specimen euxassay_004159_04: embryonic day 14.5 (more )
Structure Level Pattern Image Note
TS23: telencephalon ventricular layer Strong Regionally restricted euxassay_004159_04
TS23: telencephalon mantle layer Strong Regionally restricted euxassay_004159_04
TS23: rest of cerebellum mantle layer Strong Regionally restricted euxassay_004159_04
TS23: liver Moderate Regionally restricted euxassay_004159_04
TS23: cardiovascular system Strong Regionally restricted euxassay_004159_04
TS23: embryo mesenchyme Strong Regionally restricted euxassay_004159_04

Specimen euxassay_004159_05: embryonic day 14.5 (more )
Structure Level Pattern Image Note
TS23: telencephalon ventricular layer Strong Regionally restricted euxassay_004159_05
TS23: telencephalon mantle layer Strong Regionally restricted euxassay_004159_05
TS23: rest of cerebellum mantle layer Strong Regionally restricted euxassay_004159_05
TS23: liver Moderate Regionally restricted euxassay_004159_05
TS23: heart ventricle Moderate Regionally restricted euxassay_004159_05
TS23: cardiovascular system Strong Regionally restricted euxassay_004159_05
TS23: embryo mesenchyme Strong Regionally restricted euxassay_004159_05

Specimen euxassay_004159_06: embryonic day 14.5 (more )
Structure Level Pattern Image Note
TS23: telencephalon ventricular layer Strong Regionally restricted euxassay_004159_06
TS23: telencephalon mantle layer Strong Regionally restricted euxassay_004159_06
TS23: midbrain ventricular layer Strong Regionally restricted euxassay_004159_06
TS23: rest of cerebellum mantle layer Moderate Regionally restricted euxassay_004159_06
TS23: rest of cerebellum ventricular layer Moderate Regionally restricted euxassay_004159_06
TS23: pons ventricular layer Moderate Regionally restricted euxassay_004159_06
TS23: medulla oblongata alar plate ventricular layer Moderate Regionally restricted euxassay_004159_06
TS23: rest of cerebellum marginal layer Moderate Regionally restricted euxassay_004159_06
TS23: pons marginal layer Moderate Regionally restricted euxassay_004159_06
TS23: medulla oblongata basal plate ventricular layer Moderate Regionally restricted euxassay_004159_06
TS23: medulla oblongata basal plate mantle layer Moderate Regionally restricted euxassay_004159_06
TS23: medulla oblongata alar plate mantle layer Moderate Regionally restricted euxassay_004159_06
TS23: liver Moderate Regionally restricted euxassay_004159_06
TS23: heart ventricle Moderate Regionally restricted euxassay_004159_06
TS23: cardiovascular system Strong Regionally restricted euxassay_004159_06
TS23: embryo mesenchyme Strong Regionally restricted euxassay_004159_06

Specimen euxassay_004159_07: embryonic day 14.5 (more )
Structure Level Pattern Image Note
TS23: telencephalon ventricular layer Strong Regionally restricted euxassay_004159_07
TS23: telencephalon mantle layer Strong Regionally restricted euxassay_004159_07
TS23: midbrain ventricular layer Strong Regionally restricted euxassay_004159_07
TS23: medulla oblongata alar plate mantle layer Moderate Regionally restricted euxassay_004159_07
TS23: medulla oblongata alar plate ventricular layer Moderate Regionally restricted euxassay_004159_07
TS23: medulla oblongata basal plate mantle layer Moderate Regionally restricted euxassay_004159_07
TS23: medulla oblongata basal plate ventricular layer Moderate Regionally restricted euxassay_004159_07
TS23: pons ventricular layer Moderate Regionally restricted euxassay_004159_07
TS23: liver Moderate Regionally restricted euxassay_004159_07
TS23: heart ventricle Moderate Regionally restricted euxassay_004159_07
TS23: cardiovascular system Strong Regionally restricted euxassay_004159_07
TS23: embryo mesenchyme Strong Regionally restricted euxassay_004159_07

Specimen euxassay_004159_08: embryonic day 14.5 (more )
Structure Level Pattern Image Note
TS23: telencephalon ventricular layer Strong Regionally restricted euxassay_004159_08
TS23: telencephalon mantle layer Strong Regionally restricted euxassay_004159_08
TS23: diencephalon lateral wall mantle layer Strong Regionally restricted euxassay_004159_08
TS23: midbrain ventricular layer Strong Regionally restricted euxassay_004159_08
TS23: midbrain mantle layer Strong Regionally restricted euxassay_004159_08
TS23: medulla oblongata alar plate mantle layer Moderate Regionally restricted euxassay_004159_08
TS23: medulla oblongata basal plate mantle layer Moderate Regionally restricted euxassay_004159_08
TS23: medulla oblongata alar plate ventricular layer Moderate Regionally restricted euxassay_004159_08
TS23: medulla oblongata basal plate ventricular layer Moderate Regionally restricted euxassay_004159_08
TS23: pons ventricular layer Moderate Regionally restricted euxassay_004159_08
TS23: pons mantle layer Moderate Regionally restricted euxassay_004159_08
TS23: spinal cord mantle layer Moderate Regionally restricted euxassay_004159_08
TS23: liver Moderate Regionally restricted euxassay_004159_08
TS23: heart ventricle Moderate Regionally restricted euxassay_004159_08
TS23: pancreas Strong Regionally restricted euxassay_004159_08
TS23: cardiovascular system Strong Regionally restricted euxassay_004159_08
TS23: embryo mesenchyme Strong Regionally restricted euxassay_004159_08

Specimen euxassay_004159_09: embryonic day 14.5 (more )
Structure Level Pattern Image Note
TS23: telencephalon ventricular layer Strong Regionally restricted euxassay_004159_09
TS23: telencephalon mantle layer Strong Regionally restricted euxassay_004159_09
TS23: diencephalon lateral wall mantle layer Strong Regionally restricted euxassay_004159_09
TS23: midbrain ventricular layer Strong Regionally restricted euxassay_004159_09
TS23: midbrain mantle layer Strong Regionally restricted euxassay_004159_09
TS23: pons ventricular layer Moderate Regionally restricted euxassay_004159_09
TS23: pons mantle layer Moderate Regionally restricted euxassay_004159_09
TS23: medulla oblongata basal plate ventricular layer Moderate Regionally restricted euxassay_004159_09
TS23: medulla oblongata basal plate mantle layer Moderate Regionally restricted euxassay_004159_09
TS23: medulla oblongata alar plate ventricular layer Moderate Regionally restricted euxassay_004159_09
TS23: medulla oblongata alar plate mantle layer Moderate Regionally restricted euxassay_004159_09
TS23: spinal cord mantle layer Moderate Regionally restricted euxassay_004159_09
TS23: liver Moderate Regionally restricted euxassay_004159_09
TS23: heart ventricle Moderate Regionally restricted euxassay_004159_09
TS23: pancreas Strong Regionally restricted euxassay_004159_09
TS23: cardiovascular system Strong Regionally restricted euxassay_004159_09
TS23: embryo mesenchyme Strong Regionally restricted euxassay_004159_09

Specimen euxassay_004159_10: embryonic day 14.5 (more )
Structure Level Pattern Image Note
TS23: telencephalon ventricular layer Strong Regionally restricted euxassay_004159_10
TS23: diencephalon lateral wall ventricular layer Strong Regionally restricted euxassay_004159_10
TS23: diencephalon lateral wall mantle layer Strong Regionally restricted euxassay_004159_10
TS23: telencephalon mantle layer Strong Regionally restricted euxassay_004159_10
TS23: midbrain ventricular layer Strong Regionally restricted euxassay_004159_10
TS23: midbrain mantle layer Strong Regionally restricted euxassay_004159_10
TS23: medulla oblongata alar plate mantle layer Moderate Regionally restricted euxassay_004159_10
TS23: medulla oblongata alar plate ventricular layer Moderate Regionally restricted euxassay_004159_10
TS23: medulla oblongata basal plate mantle layer Moderate Regionally restricted euxassay_004159_10
TS23: medulla oblongata basal plate ventricular layer Moderate Regionally restricted euxassay_004159_10
TS23: pons ventricular layer Moderate Regionally restricted euxassay_004159_10
TS23: pons mantle layer Moderate Regionally restricted euxassay_004159_10
TS23: spinal cord mantle layer Moderate Regionally restricted euxassay_004159_10
TS23: liver Moderate Regionally restricted euxassay_004159_10
TS23: heart ventricle Moderate Regionally restricted euxassay_004159_10
TS23: pancreas Strong Regionally restricted euxassay_004159_10
TS23: cardiovascular system Strong Regionally restricted euxassay_004159_10
TS23: embryo mesenchyme Strong Regionally restricted euxassay_004159_10

Specimen euxassay_004159_11: embryonic day 14.5 (more )
Structure Level Pattern Image Note
TS23: telencephalon ventricular layer Strong Regionally restricted euxassay_004159_11
TS23: diencephalon lateral wall ventricular layer Strong Regionally restricted euxassay_004159_11
TS23: diencephalon lateral wall mantle layer Strong Regionally restricted euxassay_004159_11
TS23: telencephalon mantle layer Strong Regionally restricted euxassay_004159_11
TS23: midbrain ventricular layer Strong Regionally restricted euxassay_004159_11
TS23: pons ventricular layer Moderate Regionally restricted euxassay_004159_11
TS23: pons mantle layer Moderate Regionally restricted euxassay_004159_11
TS23: rest of cerebellum ventricular layer Moderate Regionally restricted euxassay_004159_11
TS23: medulla oblongata basal plate ventricular layer Moderate Regionally restricted euxassay_004159_11
TS23: medulla oblongata basal plate mantle layer Moderate Regionally restricted euxassay_004159_11
TS23: medulla oblongata alar plate ventricular layer Moderate Regionally restricted euxassay_004159_11
TS23: medulla oblongata alar plate mantle layer Moderate Regionally restricted euxassay_004159_11
TS23: spinal cord mantle layer Moderate Regionally restricted euxassay_004159_11
TS23: liver Moderate Regionally restricted euxassay_004159_11
TS23: heart ventricle Moderate Regionally restricted euxassay_004159_11
TS23: cardiovascular system Strong Regionally restricted euxassay_004159_11
TS23: embryo mesenchyme Strong Regionally restricted euxassay_004159_11

Specimen euxassay_004159_12: embryonic day 14.5 (more )
Structure Level Pattern Image Note
TS23: telencephalon ventricular layer Strong Regionally restricted euxassay_004159_12
TS23: diencephalon lateral wall ventricular layer Strong Regionally restricted euxassay_004159_12
TS23: diencephalon lateral wall mantle layer Strong Regionally restricted euxassay_004159_12
TS23: telencephalon mantle layer Strong Regionally restricted euxassay_004159_12
TS23: midbrain mantle layer Strong Regionally restricted euxassay_004159_12
TS23: midbrain ventricular layer Strong Regionally restricted euxassay_004159_12
TS23: medulla oblongata alar plate mantle layer Moderate Regionally restricted euxassay_004159_12
TS23: medulla oblongata alar plate ventricular layer Moderate Regionally restricted euxassay_004159_12
TS23: medulla oblongata basal plate mantle layer Moderate Regionally restricted euxassay_004159_12
TS23: medulla oblongata basal plate ventricular layer Moderate Regionally restricted euxassay_004159_12
TS23: pons mantle layer Moderate Regionally restricted euxassay_004159_12
TS23: rest of cerebellum ventricular layer Moderate Regionally restricted euxassay_004159_12
TS23: pons ventricular layer Moderate Regionally restricted euxassay_004159_12
TS23: spinal cord mantle layer Moderate Regionally restricted euxassay_004159_12
TS23: liver Moderate Regionally restricted euxassay_004159_12
TS23: heart ventricle Moderate Regionally restricted euxassay_004159_12
TS23: cardiovascular system Strong Regionally restricted euxassay_004159_12
TS23: embryo mesenchyme Strong Regionally restricted euxassay_004159_12

Specimen euxassay_004159_13: embryonic day 14.5 (more )
Structure Level Pattern Image Note
TS23: diencephalon lateral wall mantle layer Strong Regionally restricted euxassay_004159_13
TS23: diencephalon lateral wall ventricular layer Strong Regionally restricted euxassay_004159_13
TS23: telencephalon mantle layer Strong Regionally restricted euxassay_004159_13
TS23: telencephalon ventricular layer Strong Regionally restricted euxassay_004159_13
TS23: midbrain mantle layer Strong Regionally restricted euxassay_004159_13
TS23: midbrain ventricular layer Strong Regionally restricted euxassay_004159_13
TS23: pons ventricular layer Moderate Regionally restricted euxassay_004159_13
TS23: pons mantle layer Moderate Regionally restricted euxassay_004159_13
TS23: medulla oblongata basal plate ventricular layer Moderate Regionally restricted euxassay_004159_13
TS23: medulla oblongata basal plate mantle layer Moderate Regionally restricted euxassay_004159_13
TS23: medulla oblongata alar plate ventricular layer Moderate Regionally restricted euxassay_004159_13
TS23: medulla oblongata alar plate mantle layer Moderate Regionally restricted euxassay_004159_13
TS23: spinal cord mantle layer Moderate Regionally restricted euxassay_004159_13
TS23: liver Moderate Regionally restricted euxassay_004159_13
TS23: heart ventricle Moderate Regionally restricted euxassay_004159_13
TS23: pancreas Strong Regionally restricted euxassay_004159_13
TS23: cardiovascular system Strong Regionally restricted euxassay_004159_13
TS23: embryo mesenchyme Strong Regionally restricted euxassay_004159_13

Specimen euxassay_004159_14: embryonic day 14.5 (more )
Structure Level Pattern Image Note
TS23: diencephalon lateral wall mantle layer Strong Regionally restricted euxassay_004159_14
TS23: telencephalon ventricular layer Strong Regionally restricted euxassay_004159_14
TS23: telencephalon mantle layer Strong Regionally restricted euxassay_004159_14
TS23: midbrain mantle layer Strong Regionally restricted euxassay_004159_14
TS23: midbrain ventricular layer Strong Regionally restricted euxassay_004159_14
TS23: pons ventricular layer Moderate Regionally restricted euxassay_004159_14
TS23: pons mantle layer Moderate Regionally restricted euxassay_004159_14
TS23: medulla oblongata basal plate ventricular layer Moderate Regionally restricted euxassay_004159_14
TS23: medulla oblongata basal plate mantle layer Moderate Regionally restricted euxassay_004159_14
TS23: medulla oblongata alar plate ventricular layer Moderate Regionally restricted euxassay_004159_14
TS23: medulla oblongata alar plate mantle layer Moderate Regionally restricted euxassay_004159_14
TS23: liver Moderate Regionally restricted euxassay_004159_14
TS23: heart ventricle Moderate Regionally restricted euxassay_004159_14
TS23: pancreas Strong Regionally restricted euxassay_004159_14
TS23: cardiovascular system Strong Regionally restricted euxassay_004159_14
TS23: embryo mesenchyme Strong Regionally restricted euxassay_004159_14

Specimen euxassay_004159_15: embryonic day 14.5 (more )
Structure Level Pattern Image Note
TS23: diencephalon lateral wall mantle layer Strong Regionally restricted euxassay_004159_15
TS23: telencephalon mantle layer Strong Regionally restricted euxassay_004159_15
TS23: telencephalon ventricular layer Strong Regionally restricted euxassay_004159_15
TS23: medulla oblongata alar plate ventricular layer Moderate Regionally restricted euxassay_004159_15
TS23: medulla oblongata alar plate mantle layer Moderate Regionally restricted euxassay_004159_15
TS23: pons ventricular layer Moderate Regionally restricted euxassay_004159_15
TS23: pons mantle layer Moderate Regionally restricted euxassay_004159_15
TS23: liver Moderate Regionally restricted euxassay_004159_15
TS23: heart ventricle Moderate Regionally restricted euxassay_004159_15
TS23: pancreas Strong Regionally restricted euxassay_004159_15
TS23: cardiovascular system Strong Regionally restricted euxassay_004159_15
TS23: embryo mesenchyme Strong Regionally restricted euxassay_004159_15

Specimen euxassay_004159_16: embryonic day 14.5 (more )
Structure Level Pattern Image Note
TS23: diencephalon lateral wall mantle layer Strong Regionally restricted euxassay_004159_16
TS23: telencephalon mantle layer Strong Regionally restricted euxassay_004159_16
TS23: telencephalon ventricular layer Strong Regionally restricted euxassay_004159_16
TS23: rest of cerebellum mantle layer Moderate Regionally restricted euxassay_004159_16
TS23: pons mantle layer Moderate Regionally restricted euxassay_004159_16
TS23: pons ventricular layer Moderate Regionally restricted euxassay_004159_16
TS23: liver Moderate Regionally restricted euxassay_004159_16
TS23: cardiovascular system Strong Regionally restricted euxassay_004159_16
TS23: embryo mesenchyme Strong Regionally restricted euxassay_004159_16

Specimen euxassay_004159_17: embryonic day 14.5 (more )
Structure Level Pattern Image Note
TS23: telencephalon ventricular layer Strong Regionally restricted euxassay_004159_17
TS23: telencephalon mantle layer Strong Regionally restricted euxassay_004159_17
TS23: rest of cerebellum mantle layer Moderate Regionally restricted euxassay_004159_17
TS23: pons mantle layer Moderate Regionally restricted euxassay_004159_17
TS23: pons ventricular layer Moderate Regionally restricted euxassay_004159_17
TS23: liver Moderate Regionally restricted euxassay_004159_17
TS23: cardiovascular system Strong Regionally restricted euxassay_004159_17
TS23: embryo mesenchyme Strong Regionally restricted euxassay_004159_17

Specimen euxassay_004159_18: embryonic day 14.5 (more )
Structure Level Pattern Image Note
TS23: telencephalon ventricular layer Strong Regionally restricted euxassay_004159_18
TS23: telencephalon mantle layer Strong Regionally restricted euxassay_004159_18
TS23: liver Moderate Regionally restricted euxassay_004159_18
TS23: cardiovascular system Strong Regionally restricted euxassay_004159_18
TS23: embryo mesenchyme Strong Regionally restricted euxassay_004159_18

Specimen euxassay_004159_19: embryonic day 14.5 (more )
Structure Level Pattern Image Note
TS23: telencephalon ventricular layer Strong Regionally restricted euxassay_004159_19
TS23: telencephalon mantle layer Strong Regionally restricted euxassay_004159_19
TS23: liver Moderate Regionally restricted euxassay_004159_19
TS23: cardiovascular system Strong Regionally restricted euxassay_004159_19
TS23: embryo mesenchyme Strong Regionally restricted euxassay_004159_19

Specimen euxassay_004159_20: embryonic day 14.5 (more )
Structure Level Pattern Image Note
TS23: telencephalon ventricular layer Strong Regionally restricted euxassay_004159_20
TS23: telencephalon mantle layer Strong Regionally restricted euxassay_004159_20
TS23: cardiovascular system Strong Regionally restricted euxassay_004159_20
TS23: embryo mesenchyme Strong Regionally restricted euxassay_004159_20

Specimen euxassay_004159_21: embryonic day 14.5 (more )
Structure Level Pattern Image Note
TS23: cardiovascular system Strong Regionally restricted euxassay_004159_21
TS23: embryo mesenchyme Strong Regionally restricted euxassay_004159_21

Specimen euxassay_004159_22: embryonic day 14.5 (more )
Structure Level Pattern Image Note
TS23: lens Strong Regionally restricted euxassay_004159_22
TS23: embryo mesenchyme Strong Regionally restricted euxassay_004159_22


Contributing Projects:
Mouse Genome Database (MGD), Gene Expression Database (GXD), Mouse Models of Human Cancer database (MMHCdb) (formerly Mouse Tumor Biology (MTB)), Gene Ontology (GO)
Citing These Resources
Funding Information
Warranty Disclaimer, Privacy Notice, Licensing, & Copyright
Send questions and comments to User Support.
last database update
12/30/2025
MGI 6.24
The Jackson Laboratory