About   Help   FAQ
Gene Expression Data
Assay Details
Assay
Reference: J:153498 Diez-Roux G, et al., A high-resolution anatomical atlas of the transcriptome in the mouse embryo. PLoS Biol. 2011;9(1):e1000582
Assay type: RNA in situ
MGI Accession ID: MGI:4827436
Gene symbol: Prokr1
Gene name: prokineticin receptor 1
Probe: MGC clone 69599
Probe preparation: Antisense labelled with digoxigenin RNA
Visualized with: Alkaline phosphatase
Assay notes: Cryosections of fresh frozen material were fixed in 4% paraformaldehyde for 20 min. before further processing. A tyramide-biotin/streptavidin amplification step was included in the in situ hybridization procedure.
Results
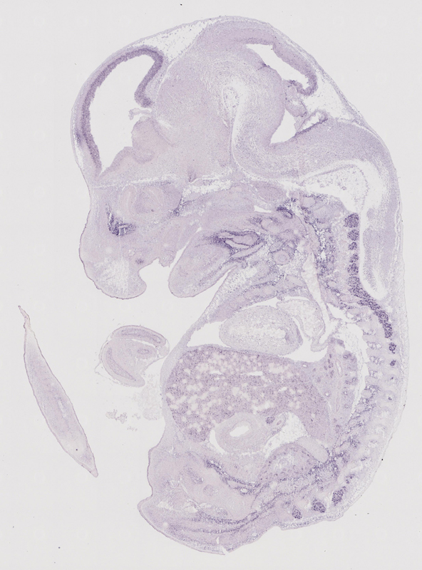
Specimen euxassay_008428_01: embryonic day 14.5 (more )
Structure Level Pattern Image Note
TS23: telencephalon ventricular layer Moderate Regionally restricted euxassay_008428_01
TS23: neural retina Moderate Regionally restricted euxassay_008428_01
TS23: embryo mesenchyme Strong Regionally restricted euxassay_008428_01

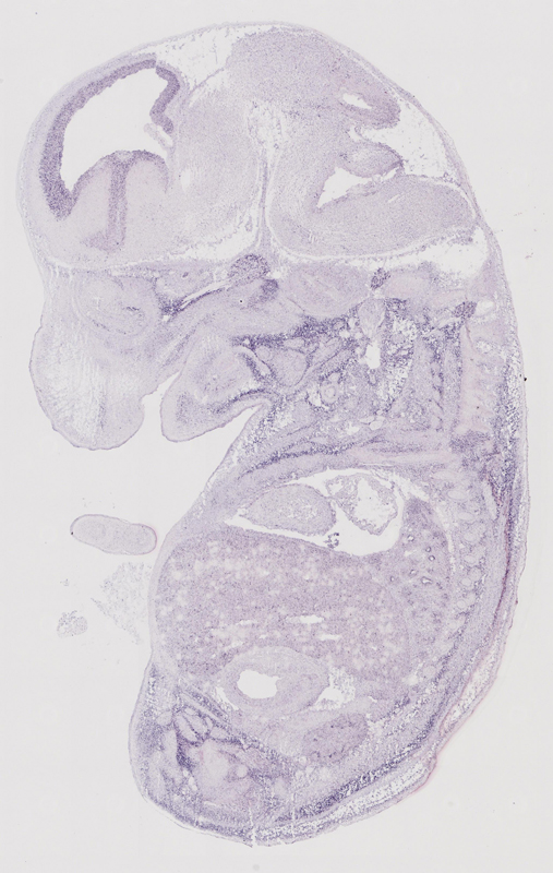
Specimen euxassay_008428_02: embryonic day 14.5 (more )
Structure Level Pattern Image Note
TS23: telencephalon ventricular layer Strong Regionally restricted euxassay_008428_02
TS23: neural retina Moderate Regionally restricted euxassay_008428_02
TS23: embryo mesenchyme Strong Regionally restricted euxassay_008428_02

Specimen euxassay_008428_03: embryonic day 14.5 (more )
Structure Level Pattern Image Note
TS23: telencephalon ventricular layer Strong Regionally restricted euxassay_008428_03
TS23: trigeminal ganglion Strong Regionally restricted euxassay_008428_03
TS23: neural retina Moderate Regionally restricted euxassay_008428_03
TS23: embryo mesenchyme Strong Regionally restricted euxassay_008428_03

Specimen euxassay_008428_04: embryonic day 14.5 (more )
Structure Level Pattern Image Note
TS23: telencephalon ventricular layer Strong Regionally restricted euxassay_008428_04
TS23: trigeminal ganglion Strong Regionally restricted euxassay_008428_04
TS23: embryo mesenchyme Strong Regionally restricted euxassay_008428_04

Specimen euxassay_008428_05: embryonic day 14.5 (more )
Structure Level Pattern Image Note
TS23: telencephalon ventricular layer Strong Regionally restricted euxassay_008428_05
TS23: trigeminal ganglion Strong Regionally restricted euxassay_008428_05
TS23: embryo mesenchyme Strong Regionally restricted euxassay_008428_05

Specimen euxassay_008428_06: embryonic day 14.5 (more )
Structure Level Pattern Image Note
TS23: telencephalon ventricular layer Strong Regionally restricted euxassay_008428_06
TS23: trigeminal ganglion Strong Regionally restricted euxassay_008428_06
TS23: embryo mesenchyme Strong Regionally restricted euxassay_008428_06

Specimen euxassay_008428_07: embryonic day 14.5 (more )
Structure Level Pattern Image Note
TS23: telencephalon ventricular layer Strong Regionally restricted euxassay_008428_07
TS23: trigeminal ganglion Strong Regionally restricted euxassay_008428_07
TS23: glossopharyngeal ganglion Strong Regionally restricted euxassay_008428_07
TS23: embryo mesenchyme Strong Regionally restricted euxassay_008428_07

Specimen euxassay_008428_08: embryonic day 14.5 (more )
Structure Level Pattern Image Note
TS23: dorsal root ganglion Strong Regionally restricted euxassay_008428_08
TS23: telencephalon ventricular layer Strong Regionally restricted euxassay_008428_08
TS23: trigeminal ganglion Strong Regionally restricted euxassay_008428_08
TS23: glossopharyngeal ganglion Strong Regionally restricted euxassay_008428_08
TS23: embryo mesenchyme Strong Regionally restricted euxassay_008428_08

Specimen euxassay_008428_09: embryonic day 14.5 (more )
Structure Level Pattern Image Note
TS23: dorsal root ganglion Strong Regionally restricted euxassay_008428_09
TS23: telencephalon ventricular layer Strong Regionally restricted euxassay_008428_09
TS23: midbrain ventricular layer Strong Regionally restricted euxassay_008428_09
TS23: embryo mesenchyme Strong Regionally restricted euxassay_008428_09

Specimen euxassay_008428_10: embryonic day 14.5 (more )
Structure Level Pattern Image Note
TS23: dorsal root ganglion Strong Regionally restricted euxassay_008428_10
TS23: telencephalon ventricular layer Strong Regionally restricted euxassay_008428_10
TS23: midbrain ventricular layer Strong Regionally restricted euxassay_008428_10
TS23: medulla oblongata alar plate ventricular layer Strong Regionally restricted euxassay_008428_10
TS23: embryo mesenchyme Strong Regionally restricted euxassay_008428_10

Specimen euxassay_008428_11: embryonic day 14.5 (more )
Structure Level Pattern Image Note
TS23: dorsal root ganglion Strong Regionally restricted euxassay_008428_11
TS23: telencephalon ventricular layer Strong Regionally restricted euxassay_008428_11
TS23: midbrain ventricular layer Strong Regionally restricted euxassay_008428_11
TS23: medulla oblongata basal plate ventricular layer Strong Regionally restricted euxassay_008428_11
TS23: medulla oblongata alar plate ventricular layer Strong Regionally restricted euxassay_008428_11
TS23: embryo mesenchyme Strong Regionally restricted euxassay_008428_11

Specimen euxassay_008428_12: embryonic day 14.5 (more )
Structure Level Pattern Image Note
TS23: telencephalon ventricular layer Strong Regionally restricted euxassay_008428_12
TS23: midbrain ventricular layer Strong Regionally restricted euxassay_008428_12
TS23: medulla oblongata alar plate ventricular layer Strong Regionally restricted euxassay_008428_12
TS23: medulla oblongata basal plate ventricular layer Strong Regionally restricted euxassay_008428_12
TS23: spinal cord ventricular layer Strong Regionally restricted euxassay_008428_12
TS23: embryo mesenchyme Strong Regionally restricted euxassay_008428_12

Specimen euxassay_008428_13: embryonic day 14.5 (more )
Structure Level Pattern Image Note
TS23: midbrain ventricular layer Strong Regionally restricted euxassay_008428_13
TS23: diencephalon lateral wall ventricular layer Strong Regionally restricted euxassay_008428_13
TS23: spinal cord ventricular layer Strong Regionally restricted euxassay_008428_13
TS23: medulla oblongata basal plate ventricular layer Strong Regionally restricted euxassay_008428_13
TS23: medulla oblongata alar plate ventricular layer Strong Regionally restricted euxassay_008428_13
TS23: embryo mesenchyme Strong Regionally restricted euxassay_008428_13

Specimen euxassay_008428_14: embryonic day 14.5 (more )
Structure Level Pattern Image Note
TS23: midbrain ventricular layer Strong Regionally restricted euxassay_008428_14
TS23: telencephalon ventricular layer Strong Regionally restricted euxassay_008428_14
TS23: diencephalon lateral wall ventricular layer Strong Regionally restricted euxassay_008428_14
TS23: medulla oblongata alar plate ventricular layer Strong Regionally restricted euxassay_008428_14
TS23: spinal cord ventricular layer Strong Regionally restricted euxassay_008428_14
TS23: embryo mesenchyme Strong Regionally restricted euxassay_008428_14

Specimen euxassay_008428_15: embryonic day 14.5 (more )
Structure Level Pattern Image Note
TS23: telencephalon ventricular layer Strong Regionally restricted euxassay_008428_15
TS23: midbrain ventricular layer Strong Regionally restricted euxassay_008428_15
TS23: medulla oblongata alar plate ventricular layer Strong Regionally restricted euxassay_008428_15
TS23: embryo mesenchyme Strong Regionally restricted euxassay_008428_15

Specimen euxassay_008428_16: embryonic day 14.5 (more )
Structure Level Pattern Image Note
TS23: telencephalon ventricular layer Strong Regionally restricted euxassay_008428_16
TS23: midbrain ventricular layer Strong Regionally restricted euxassay_008428_16
TS23: embryo mesenchyme Strong Regionally restricted euxassay_008428_16

Specimen euxassay_008428_17: embryonic day 14.5 (more )
Structure Level Pattern Image Note
TS23: dorsal root ganglion Strong Regionally restricted euxassay_008428_17
TS23: telencephalon ventricular layer Strong Regionally restricted euxassay_008428_17
TS23: midbrain ventricular layer Strong Regionally restricted euxassay_008428_17
TS23: trigeminal ganglion Strong Regionally restricted euxassay_008428_17
TS23: embryo mesenchyme Strong Regionally restricted euxassay_008428_17

Specimen euxassay_008428_18: embryonic day 14.5 (more )
Structure Level Pattern Image Note
TS23: dorsal root ganglion Strong Regionally restricted euxassay_008428_18
TS23: telencephalon ventricular layer Strong Regionally restricted euxassay_008428_18
TS23: trigeminal ganglion Strong Regionally restricted euxassay_008428_18
TS23: glossopharyngeal ganglion Strong Regionally restricted euxassay_008428_18
TS23: embryo mesenchyme Strong Regionally restricted euxassay_008428_18

Specimen euxassay_008428_19: embryonic day 14.5 (more )
Structure Level Pattern Image Note
TS23: telencephalon ventricular layer Strong Regionally restricted euxassay_008428_19
TS23: trigeminal ganglion Strong Regionally restricted euxassay_008428_19
TS23: glossopharyngeal ganglion Strong Regionally restricted euxassay_008428_19
TS23: embryo mesenchyme Strong Regionally restricted euxassay_008428_19

Specimen euxassay_008428_20: embryonic day 14.5 (more )
Structure Level Pattern Image Note
TS23: telencephalon ventricular layer Strong Regionally restricted euxassay_008428_20
TS23: trigeminal ganglion Strong Regionally restricted euxassay_008428_20
TS23: embryo mesenchyme Strong Regionally restricted euxassay_008428_20

Specimen euxassay_008428_21: embryonic day 14.5 (more )
Structure Level Pattern Image Note
TS23: telencephalon ventricular layer Strong Regionally restricted euxassay_008428_21
TS23: trigeminal ganglion Strong Regionally restricted euxassay_008428_21
TS23: embryo mesenchyme Strong Regionally restricted euxassay_008428_21

Specimen euxassay_008428_22: embryonic day 14.5 (more )
Structure Level Pattern Image Note
TS23: telencephalon ventricular layer Strong Regionally restricted euxassay_008428_22
TS23: trigeminal ganglion Strong Regionally restricted euxassay_008428_22
TS23: embryo mesenchyme Strong Regionally restricted euxassay_008428_22

Specimen euxassay_008428_23: embryonic day 14.5 (more )
Structure Level Pattern Image Note
TS23: telencephalon ventricular layer Strong Regionally restricted euxassay_008428_23
TS23: neural retina Moderate Regionally restricted euxassay_008428_23
TS23: embryo mesenchyme Strong Regionally restricted euxassay_008428_23

Specimen euxassay_008428_24: embryonic day 14.5 (more )
Structure Level Pattern Image Note
TS23: neural retina Moderate Regionally restricted euxassay_008428_24
TS23: embryo mesenchyme Strong Regionally restricted euxassay_008428_24


Contributing Projects:
Mouse Genome Database (MGD), Gene Expression Database (GXD), Mouse Models of Human Cancer database (MMHCdb) (formerly Mouse Tumor Biology (MTB)), Gene Ontology (GO)
Citing These Resources
Funding Information
Warranty Disclaimer, Privacy Notice, Licensing, & Copyright
Send questions and comments to User Support.
last database update
01/20/2026
MGI 6.24
The Jackson Laboratory