About   Help   FAQ
Gene Expression Data
Assay Details
Assay
Reference: J:153498 Diez-Roux G, et al., A high-resolution anatomical atlas of the transcriptome in the mouse embryo. PLoS Biol. 2011;9(1):e1000582
Assay type: RNA in situ
MGI Accession ID: MGI:4827430
Gene symbol: Prlr
Gene name: prolactin receptor
Probe: IMAGE clone 2300897
Probe preparation: Antisense labelled with digoxigenin RNA
Visualized with: Alkaline phosphatase
Assay notes: Cryosections of fresh frozen material were fixed in 4% paraformaldehyde for 20 min. before further processing. A tyramide-biotin/streptavidin amplification step was included in the in situ hybridization procedure.
Results
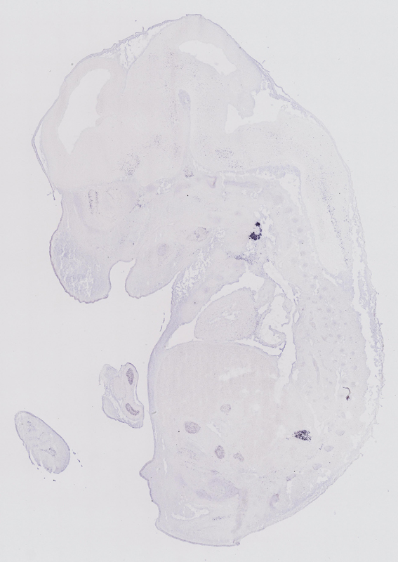
Specimen euxassay_007856_01: embryonic day 14.5 (more )
Note: Additional information for this specimen was included in the Eurexpress data submission file.
Structure Level Pattern Image Note
TS23: telencephalon mantle layer Moderate Single cells euxassay_007856_01
TS23: amygdala Present euxassay_007856_01

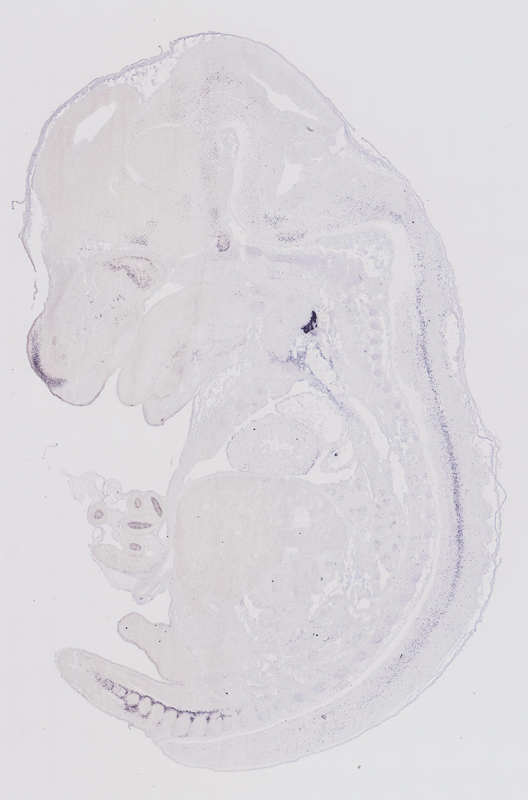
Specimen euxassay_007856_02: embryonic day 14.5 (more )
Note: Additional information for this specimen was included in the Eurexpress data submission file.
Structure Level Pattern Image Note
TS23: telencephalon mantle layer Moderate Single cells euxassay_007856_02
TS23: amygdala Present euxassay_007856_02
TS23: foot mesenchyme Weak Regionally restricted euxassay_007856_02

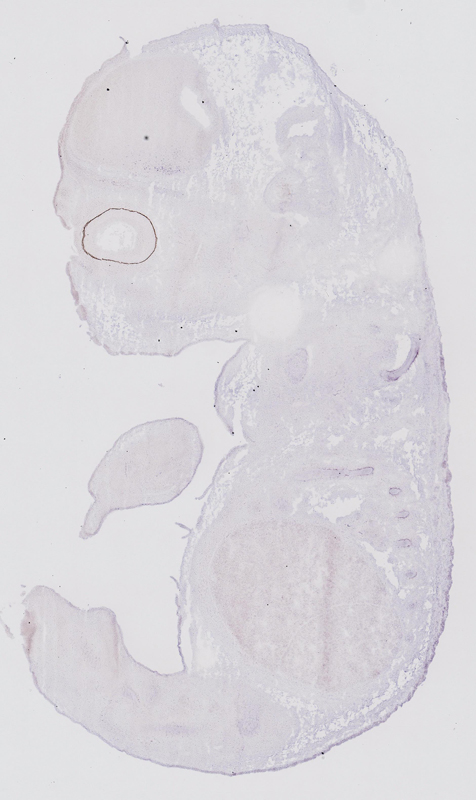
Specimen euxassay_007856_03: embryonic day 14.5 (more )
Note: Additional information for this specimen was included in the Eurexpress data submission file.
Structure Level Pattern Image Note
TS23: testis Strong Regionally restricted euxassay_007856_03
TS23: telencephalon mantle layer Moderate Single cells euxassay_007856_03
TS23: amygdala Present euxassay_007856_03
TS23: foot mesenchyme Moderate Regionally restricted euxassay_007856_03

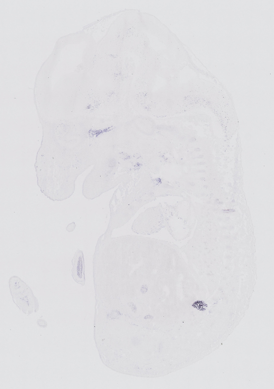
Specimen euxassay_007856_04: embryonic day 14.5 (more )
Note: Additional information for this specimen was included in the Eurexpress data submission file.
Structure Level Pattern Image Note
TS23: testis Strong Regionally restricted euxassay_007856_04
TS23: stomach Weak Regionally restricted euxassay_007856_04
TS23: midgut Weak Regionally restricted euxassay_007856_04
TS23: telencephalon mantle layer Moderate Single cells euxassay_007856_04
TS23: amygdala Present euxassay_007856_04

Specimen euxassay_007856_05: embryonic day 14.5 (more )
Note: Additional information for this specimen was included in the Eurexpress data submission file.
Structure Level Pattern Image Note
TS23: adrenal gland Strong Regionally restricted euxassay_007856_05
TS23: testis Strong Regionally restricted euxassay_007856_05
TS23: olfactory epithelium Moderate Regionally restricted euxassay_007856_05
TS23: stomach Weak Regionally restricted euxassay_007856_05
TS23: midgut Weak Regionally restricted euxassay_007856_05
TS23: telencephalon mantle layer Moderate Single cells euxassay_007856_05
TS23: amygdala Present euxassay_007856_05
TS23: pons mantle layer Strong Single cells euxassay_007856_05

Specimen euxassay_007856_06: embryonic day 14.5 (more )
Note: Additional information for this specimen was included in the Eurexpress data submission file.
Structure Level Pattern Image Note
TS23: adrenal gland Strong Regionally restricted euxassay_007856_06
TS23: olfactory epithelium Moderate Regionally restricted euxassay_007856_06
TS23: stomach Weak Regionally restricted euxassay_007856_06
TS23: midgut Weak Regionally restricted euxassay_007856_06
TS23: telencephalon mantle layer Moderate Single cells euxassay_007856_06
TS23: amygdala Present euxassay_007856_06
TS23: pons mantle layer Strong Single cells euxassay_007856_06
TS23: midbrain mantle layer Strong Single cells euxassay_007856_06
TS23: diencephalon lateral wall mantle layer Strong Single cells euxassay_007856_06
TS23: hypothalamus mantle layer Strong Single cells euxassay_007856_06

Specimen euxassay_007856_07: embryonic day 14.5 (more )
Note: Additional information for this specimen was included in the Eurexpress data submission file.
Structure Level Pattern Image Note
TS23: adrenal gland Strong Regionally restricted euxassay_007856_07
TS23: olfactory epithelium Moderate Regionally restricted euxassay_007856_07
TS23: midgut Weak Regionally restricted euxassay_007856_07
TS23: telencephalon mantle layer Moderate Single cells euxassay_007856_07
TS23: amygdala Present euxassay_007856_07
TS23: hypothalamus mantle layer Strong Single cells euxassay_007856_07
TS23: diencephalon lateral wall mantle layer Strong Single cells euxassay_007856_07
TS23: midbrain mantle layer Strong Single cells euxassay_007856_07
TS23: pons mantle layer Strong Single cells euxassay_007856_07
TS23: medulla oblongata basal plate mantle layer Moderate Single cells euxassay_007856_07
TS23: upper lip Strong Regionally restricted euxassay_007856_07

Specimen euxassay_007856_08: embryonic day 14.5 (more )
Note: Additional information for this specimen was included in the Eurexpress data submission file.
Structure Level Pattern Image Note
TS23: olfactory epithelium Moderate Regionally restricted euxassay_007856_08
TS23: midgut Weak Regionally restricted euxassay_007856_08
TS23: ventral grey horn Moderate Single cells euxassay_007856_08
TS23: telencephalon mantle layer Moderate Single cells euxassay_007856_08
TS23: amygdala Present euxassay_007856_08
TS23: midbrain mantle layer Moderate Single cells euxassay_007856_08
TS23: pons mantle layer Moderate Single cells euxassay_007856_08
TS23: diencephalon lateral wall mantle layer Moderate Single cells euxassay_007856_08
TS23: hypothalamus mantle layer Moderate Single cells euxassay_007856_08
TS23: medulla oblongata basal plate mantle layer Moderate Single cells euxassay_007856_08
TS23: upper lip Strong Regionally restricted euxassay_007856_08
TS23: axial skeleton tail region Moderate Regionally restricted euxassay_007856_08

Specimen euxassay_007856_09: embryonic day 14.5 (more )
Note: Additional information for this specimen was included in the Eurexpress data submission file.
Structure Level Pattern Image Note
TS23: thyroid gland Strong Regionally restricted euxassay_007856_09
TS23: olfactory epithelium Moderate Regionally restricted euxassay_007856_09
TS23: midgut Weak Regionally restricted euxassay_007856_09
TS23: ventral grey horn Moderate Single cells euxassay_007856_09
TS23: telencephalon mantle layer Moderate Single cells euxassay_007856_09
TS23: amygdala Present euxassay_007856_09
TS23: hypothalamus mantle layer Moderate Single cells euxassay_007856_09
TS23: diencephalon lateral wall mantle layer Moderate Single cells euxassay_007856_09
TS23: pons mantle layer Moderate Single cells euxassay_007856_09
TS23: midbrain mantle layer Moderate Single cells euxassay_007856_09
TS23: medulla oblongata basal plate mantle layer Moderate Single cells euxassay_007856_09
TS23: pituitary gland Moderate Regionally restricted euxassay_007856_09
TS23: upper lip Strong Regionally restricted euxassay_007856_09
TS23: axial skeleton tail region Moderate Regionally restricted euxassay_007856_09

Specimen euxassay_007856_10: embryonic day 14.5 (more )
Structure Level Pattern Image Note
TS23: thyroid gland Strong Regionally restricted euxassay_007856_10
TS23: midgut Weak Regionally restricted euxassay_007856_10
TS23: ventral grey horn Moderate Single cells euxassay_007856_10
TS23: pons mantle layer Moderate Single cells euxassay_007856_10
TS23: midbrain mantle layer Moderate Single cells euxassay_007856_10
TS23: diencephalon lateral wall mantle layer Moderate Single cells euxassay_007856_10
TS23: hypothalamus mantle layer Moderate Single cells euxassay_007856_10
TS23: medulla oblongata basal plate mantle layer Moderate Single cells euxassay_007856_10
TS23: upper lip Strong Regionally restricted euxassay_007856_10
TS23: axial skeleton tail region Moderate Regionally restricted euxassay_007856_10

Specimen euxassay_007856_11: embryonic day 14.5 (more )
Structure Level Pattern Image Note
TS23: midgut Weak Regionally restricted euxassay_007856_11
TS23: ventral grey horn Moderate Single cells euxassay_007856_11
TS23: midbrain mantle layer Moderate Single cells euxassay_007856_11
TS23: pons mantle layer Moderate Single cells euxassay_007856_11
TS23: upper lip Strong Regionally restricted euxassay_007856_11
TS23: axial skeleton tail region Moderate Regionally restricted euxassay_007856_11

Specimen euxassay_007856_12: embryonic day 14.5 (more )
Note: Additional information for this specimen was included in the Eurexpress data submission file.
Structure Level Pattern Image Note
TS23: olfactory epithelium Moderate Regionally restricted euxassay_007856_12
TS23: midgut Weak Regionally restricted euxassay_007856_12
TS23: ventral grey horn Moderate Single cells euxassay_007856_12
TS23: telencephalon mantle layer Moderate Single cells euxassay_007856_12
TS23: amygdala Present euxassay_007856_12
TS23: upper lip Strong Regionally restricted euxassay_007856_12
TS23: axial skeleton tail region Moderate Regionally restricted euxassay_007856_12

Specimen euxassay_007856_13: embryonic day 14.5 (more )
Note: Additional information for this specimen was included in the Eurexpress data submission file.
Structure Level Pattern Image Note
TS23: olfactory epithelium Moderate Regionally restricted euxassay_007856_13
TS23: midgut Weak Regionally restricted euxassay_007856_13
TS23: ventral grey horn Moderate Single cells euxassay_007856_13
TS23: telencephalon mantle layer Moderate Single cells euxassay_007856_13
TS23: amygdala Present euxassay_007856_13
TS23: hypothalamus mantle layer Moderate Single cells euxassay_007856_13
TS23: diencephalon lateral wall mantle layer Moderate Single cells euxassay_007856_13
TS23: midbrain mantle layer Moderate Single cells euxassay_007856_13
TS23: medulla oblongata basal plate mantle layer Moderate Single cells euxassay_007856_13

Specimen euxassay_007856_14: embryonic day 14.5 (more )
Note: Additional information for this specimen was included in the Eurexpress data submission file.
Structure Level Pattern Image Note
TS23: adrenal gland Strong Regionally restricted euxassay_007856_14
TS23: thyroid gland Strong Regionally restricted euxassay_007856_14
TS23: olfactory epithelium Moderate Regionally restricted euxassay_007856_14
TS23: midgut Weak Regionally restricted euxassay_007856_14
TS23: ventral grey horn Moderate Single cells euxassay_007856_14
TS23: telencephalon mantle layer Moderate Single cells euxassay_007856_14
TS23: amygdala Present euxassay_007856_14
TS23: hypothalamus mantle layer Moderate Single cells euxassay_007856_14
TS23: diencephalon lateral wall mantle layer Moderate Single cells euxassay_007856_14
TS23: midbrain mantle layer Moderate Single cells euxassay_007856_14
TS23: medulla oblongata basal plate mantle layer Moderate Single cells euxassay_007856_14

Specimen euxassay_007856_15: embryonic day 14.5 (more )
Note: Additional information for this specimen was included in the Eurexpress data submission file.
Structure Level Pattern Image Note
TS23: adrenal gland Strong Regionally restricted euxassay_007856_15
TS23: midgut Weak Regionally restricted euxassay_007856_15
TS23: ventral grey horn Moderate Single cells euxassay_007856_15
TS23: telencephalon mantle layer Moderate Single cells euxassay_007856_15
TS23: amygdala Present euxassay_007856_15
TS23: midbrain mantle layer Moderate Single cells euxassay_007856_15
TS23: pons mantle layer Moderate Single cells euxassay_007856_15
TS23: diencephalon lateral wall mantle layer Moderate Single cells euxassay_007856_15
TS23: hypothalamus mantle layer Moderate Single cells euxassay_007856_15
TS23: medulla oblongata basal plate mantle layer Moderate Single cells euxassay_007856_15

Specimen euxassay_007856_16: embryonic day 14.5 (more )
Note: Additional information for this specimen was included in the Eurexpress data submission file.
Structure Level Pattern Image Note
TS23: adrenal gland Strong Regionally restricted euxassay_007856_16
TS23: telencephalon mantle layer Moderate Single cells euxassay_007856_16
TS23: amygdala Present euxassay_007856_16
TS23: hypothalamus mantle layer Moderate Single cells euxassay_007856_16
TS23: diencephalon lateral wall mantle layer Moderate Single cells euxassay_007856_16
TS23: midbrain mantle layer Moderate Single cells euxassay_007856_16
TS23: pons mantle layer Moderate Single cells euxassay_007856_16
TS23: medulla oblongata basal plate mantle layer Moderate Single cells euxassay_007856_16

Specimen euxassay_007856_17: embryonic day 14.5 (more )
Note: Additional information for this specimen was included in the Eurexpress data submission file.
Structure Level Pattern Image Note
TS23: testis Strong Regionally restricted euxassay_007856_17
TS23: telencephalon mantle layer Moderate Single cells euxassay_007856_17
TS23: amygdala Present euxassay_007856_17
TS23: pons mantle layer Moderate Single cells euxassay_007856_17
TS23: midbrain mantle layer Moderate Single cells euxassay_007856_17
TS23: medulla oblongata basal plate mantle layer Moderate Single cells euxassay_007856_17

Specimen euxassay_007856_18: embryonic day 14.5 (more )
Note: Additional information for this specimen was included in the Eurexpress data submission file.
Structure Level Pattern Image Note
TS23: testis Strong Regionally restricted euxassay_007856_18
TS23: telencephalon mantle layer Moderate Single cells euxassay_007856_18
TS23: amygdala Present euxassay_007856_18
TS23: midbrain mantle layer Moderate Single cells euxassay_007856_18
TS23: pons mantle layer Strong Single cells euxassay_007856_18
TS23: foot mesenchyme Moderate Regionally restricted euxassay_007856_18

Specimen euxassay_007856_19: embryonic day 14.5 (more )
Note: Additional information for this specimen was included in the Eurexpress data submission file.
Structure Level Pattern Image Note
TS23: testis Moderate Regionally restricted euxassay_007856_19
TS23: telencephalon mantle layer Moderate Single cells euxassay_007856_19
TS23: amygdala Present euxassay_007856_19
TS23: midbrain mantle layer Moderate Single cells euxassay_007856_19
TS23: pons mantle layer Moderate Single cells euxassay_007856_19

Specimen euxassay_007856_20: embryonic day 14.5 (more )
Note: Additional information for this specimen was included in the Eurexpress data submission file.
Structure Level Pattern Image Note
TS23: telencephalon mantle layer Moderate Single cells euxassay_007856_20
TS23: amygdala Present euxassay_007856_20

Specimen euxassay_007856_21: embryonic day 14.5 (more )
Note: Additional information for this specimen was included in the Eurexpress data submission file.
Structure Level Pattern Image Note
TS23: telencephalon mantle layer Moderate Single cells euxassay_007856_21
TS23: amygdala Present euxassay_007856_21


Contributing Projects:
Mouse Genome Database (MGD), Gene Expression Database (GXD), Mouse Models of Human Cancer database (MMHCdb) (formerly Mouse Tumor Biology (MTB)), Gene Ontology (GO)
Citing These Resources
Funding Information
Warranty Disclaimer, Privacy Notice, Licensing, & Copyright
Send questions and comments to User Support.
last database update
01/06/2026
MGI 6.24
The Jackson Laboratory