About   Help   FAQ
Gene Expression Data
Assay Details
Assay
Reference: J:153498 Diez-Roux G, et al., A high-resolution anatomical atlas of the transcriptome in the mouse embryo. PLoS Biol. 2011;9(1):e1000582
Assay type: RNA in situ
MGI Accession ID: MGI:4827375
Gene symbol: Ppp1r2
Gene name: protein phosphatase 1, regulatory inhibitor subunit 2
Probe: T36887
Probe preparation: Antisense labelled with digoxigenin RNA
Visualized with: Alkaline phosphatase
Assay notes: Cryosections of fresh frozen material were fixed in 4% paraformaldehyde for 20 min. before further processing. A tyramide-biotin/streptavidin amplification step was included in the in situ hybridization procedure.
Results
Specimen euxassay_009514_01: embryonic day 14.5 (more )
Structure Level Pattern Image Note
TS23: brain Moderate Single cells euxassay_009514_01

Specimen euxassay_009514_02: embryonic day 14.5 (more )
Structure Level Pattern Image Note
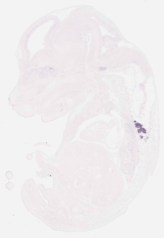
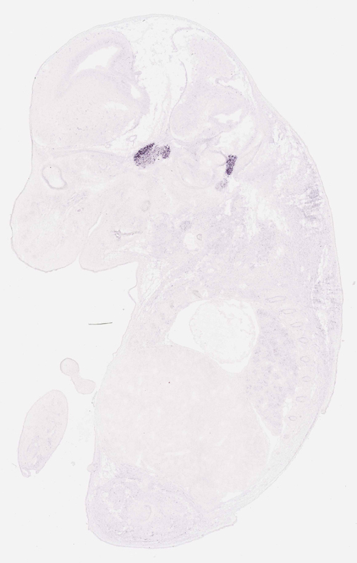
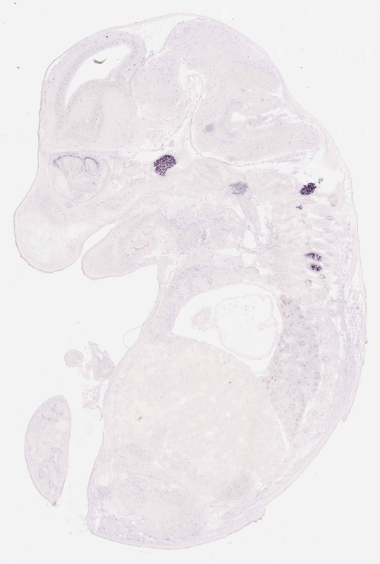
TS23: trigeminal ganglion Strong Regionally restricted euxassay_009514_02
TS23: facial ganglion Strong Regionally restricted euxassay_009514_02
TS23: brain Moderate Single cells euxassay_009514_02

Specimen euxassay_009514_03: embryonic day 14.5 (more )
Structure Level Pattern Image Note
TS23: trigeminal ganglion Strong Regionally restricted euxassay_009514_03
TS23: facial ganglion Strong Regionally restricted euxassay_009514_03
TS23: brain Moderate Single cells euxassay_009514_03

Specimen euxassay_009514_04: embryonic day 14.5 (more )
Structure Level Pattern Image Note
TS23: trigeminal ganglion Strong Regionally restricted euxassay_009514_04
TS23: brain Moderate Single cells euxassay_009514_04

Specimen euxassay_009514_05: embryonic day 14.5 (more )
Structure Level Pattern Image Note
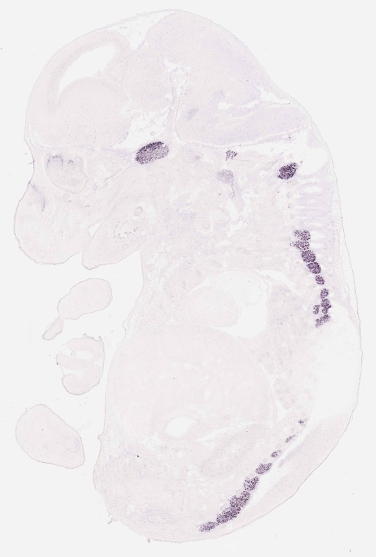
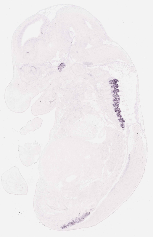
TS23: trigeminal ganglion Strong Regionally restricted euxassay_009514_05
TS23: glossopharyngeal ganglion Strong Regionally restricted euxassay_009514_05
TS23: dorsal root ganglion Strong Regionally restricted euxassay_009514_05
TS23: brain Moderate Single cells euxassay_009514_05

Specimen euxassay_009514_06: embryonic day 14.5 (more )
Structure Level Pattern Image Note
TS23: trigeminal ganglion Strong Regionally restricted euxassay_009514_06
TS23: glossopharyngeal ganglion Moderate Regionally restricted euxassay_009514_06
TS23: vagus ganglion Moderate Regionally restricted euxassay_009514_06
TS23: dorsal root ganglion Strong Regionally restricted euxassay_009514_06
TS23: olfactory epithelium Moderate Regionally restricted euxassay_009514_06
TS23: brain Moderate Single cells euxassay_009514_06

Specimen euxassay_009514_07: embryonic day 14.5 (more )
Structure Level Pattern Image Note
TS23: trigeminal ganglion Strong Regionally restricted euxassay_009514_07
TS23: dorsal root ganglion Strong Regionally restricted euxassay_009514_07
TS23: olfactory epithelium Moderate Regionally restricted euxassay_009514_07
TS23: brain Moderate Single cells euxassay_009514_07

Specimen euxassay_009514_08: embryonic day 14.5 (more )
Structure Level Pattern Image Note
TS23: dorsal root ganglion Strong Regionally restricted euxassay_009514_08
TS23: olfactory epithelium Moderate Regionally restricted euxassay_009514_08
TS23: brain Moderate Single cells euxassay_009514_08

Specimen euxassay_009514_09: embryonic day 14.5 (more )
Structure Level Pattern Image Note
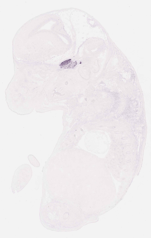
TS23: olfactory epithelium Moderate Regionally restricted euxassay_009514_09
TS23: brain Moderate Single cells euxassay_009514_09

Specimen euxassay_009514_10: embryonic day 14.5 (more )
Structure Level Pattern Image Note
TS23: brain Moderate Single cells euxassay_009514_10

Specimen euxassay_009514_11: embryonic day 14.5 (more )
Structure Level Pattern Image Note
TS23: dorsal root ganglion Strong Regionally restricted euxassay_009514_11
TS23: olfactory epithelium Moderate Regionally restricted euxassay_009514_11
TS23: brain Moderate Single cells euxassay_009514_11

Specimen euxassay_009514_12: embryonic day 14.5 (more )
Structure Level Pattern Image Note
TS23: dorsal root ganglion Strong Regionally restricted euxassay_009514_12
TS23: olfactory epithelium Strong Regionally restricted euxassay_009514_12
TS23: brain Moderate Single cells euxassay_009514_12

Specimen euxassay_009514_13: embryonic day 14.5 (more )
Structure Level Pattern Image Note
TS23: dorsal root ganglion Strong Regionally restricted euxassay_009514_13
TS23: olfactory epithelium Moderate Regionally restricted euxassay_009514_13
TS23: brain Moderate Single cells euxassay_009514_13

Specimen euxassay_009514_14: embryonic day 14.5 (more )
Structure Level Pattern Image Note
TS23: dorsal root ganglion Strong Regionally restricted euxassay_009514_14
TS23: olfactory epithelium Moderate Regionally restricted euxassay_009514_14
TS23: brain Moderate Single cells euxassay_009514_14

Specimen euxassay_009514_15: embryonic day 14.5 (more )
Structure Level Pattern Image Note
TS23: dorsal root ganglion Strong Regionally restricted euxassay_009514_15
TS23: olfactory epithelium Moderate Regionally restricted euxassay_009514_15
TS23: brain Moderate Single cells euxassay_009514_15

Specimen euxassay_009514_16: embryonic day 14.5 (more )
Structure Level Pattern Image Note
TS23: trigeminal ganglion Strong Regionally restricted euxassay_009514_16
TS23: dorsal root ganglion Strong Regionally restricted euxassay_009514_16
TS23: olfactory epithelium Strong Regionally restricted euxassay_009514_16
TS23: brain Moderate Single cells euxassay_009514_16

Specimen euxassay_009514_17: embryonic day 14.5 (more )
Structure Level Pattern Image Note
TS23: trigeminal ganglion Strong Regionally restricted euxassay_009514_17
TS23: glossopharyngeal ganglion Strong Regionally restricted euxassay_009514_17
TS23: vagus ganglion Moderate Regionally restricted euxassay_009514_17
TS23: dorsal root ganglion Strong Regionally restricted euxassay_009514_17
TS23: olfactory epithelium Strong Regionally restricted euxassay_009514_17
TS23: brain Moderate Single cells euxassay_009514_17

Specimen euxassay_009514_18: embryonic day 14.5 (more )
Structure Level Pattern Image Note
TS23: trigeminal ganglion Strong Regionally restricted euxassay_009514_18
TS23: glossopharyngeal ganglion Strong Regionally restricted euxassay_009514_18
TS23: vagus ganglion Weak Regionally restricted euxassay_009514_18
TS23: brain Moderate Single cells euxassay_009514_18

Specimen euxassay_009514_19: embryonic day 14.5 (more )
Structure Level Pattern Image Note
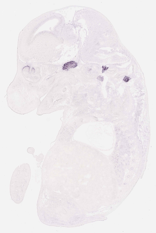
TS23: trigeminal ganglion Strong Regionally restricted euxassay_009514_19
TS23: facial ganglion Strong Regionally restricted euxassay_009514_19
TS23: brain Moderate Single cells euxassay_009514_19

Specimen euxassay_009514_20: embryonic day 14.5 (more )
Structure Level Pattern Image Note
TS23: trigeminal ganglion Strong Regionally restricted euxassay_009514_20
TS23: facial ganglion Strong Regionally restricted euxassay_009514_20
TS23: brain Moderate Single cells euxassay_009514_20

Specimen euxassay_009514_21: embryonic day 14.5 (more )
Structure Level Pattern Image Note
TS23: trigeminal ganglion Strong Regionally restricted euxassay_009514_21
TS23: facial ganglion Strong Regionally restricted euxassay_009514_21
TS23: brain Moderate Single cells euxassay_009514_21

Specimen euxassay_009514_22: embryonic day 14.5 (more )
Structure Level Pattern Image Note
TS23: brain Moderate Single cells euxassay_009514_22

Specimen euxassay_009514_23: embryonic day 14.5 (more )
Structure Level Pattern Image Note
TS23: brain Moderate Single cells euxassay_009514_23


Contributing Projects:
Mouse Genome Database (MGD), Gene Expression Database (GXD), Mouse Models of Human Cancer database (MMHCdb) (formerly Mouse Tumor Biology (MTB)), Gene Ontology (GO)
Citing These Resources
Funding Information
Warranty Disclaimer, Privacy Notice, Licensing, & Copyright
Send questions and comments to User Support.
last database update
12/30/2025
MGI 6.24
The Jackson Laboratory