About   Help   FAQ
Gene Expression Data
Assay Details
Assay
Reference: J:153498 Diez-Roux G, et al., A high-resolution anatomical atlas of the transcriptome in the mouse embryo. PLoS Biol. 2011;9(1):e1000582
Assay type: RNA in situ
MGI Accession ID: MGI:4827364
Gene symbol: Ppm1h
Gene name: protein phosphatase 1H (PP2C domain containing)
Probe: T3246
Probe preparation: Antisense labelled with digoxigenin RNA
Visualized with: Alkaline phosphatase
Assay notes: Cryosections of fresh frozen material were fixed in 4% paraformaldehyde for 20 min. before further processing. A tyramide-biotin/streptavidin amplification step was included in the in situ hybridization procedure.
Results
Specimen euxassay_001457_01: embryonic day 14.5 (more )
Structure Level Pattern Image Note
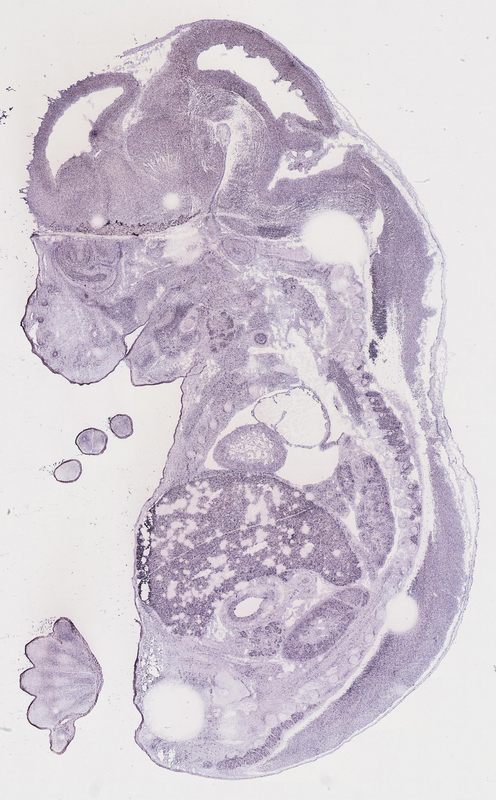
TS23: liver lobe Moderate Regionally restricted euxassay_001457_01

Specimen euxassay_001457_02: embryonic day 14.5 (more )
Structure Level Pattern Image Note
TS23: liver lobe Moderate Regionally restricted euxassay_001457_02

Specimen euxassay_001457_03: embryonic day 14.5 (more )
Structure Level Pattern Image Note
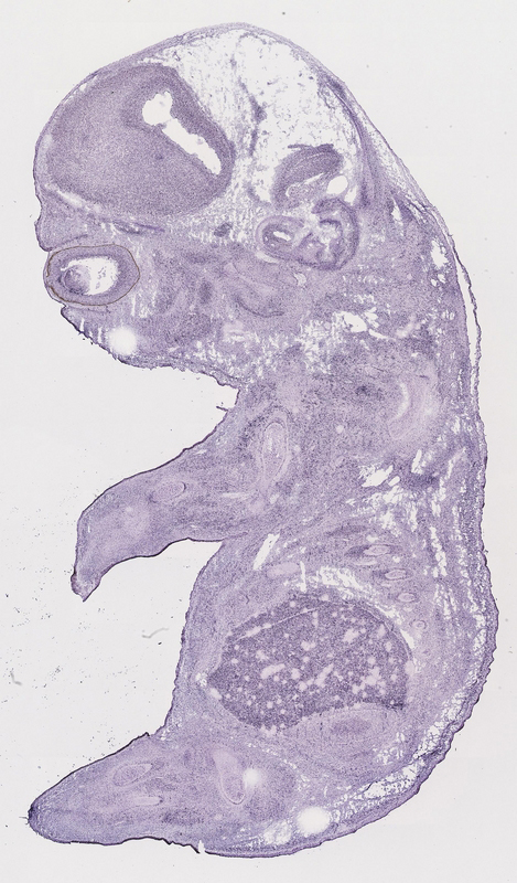
TS23: liver lobe Moderate Regionally restricted euxassay_001457_03
TS23: trigeminal ganglion Moderate Regionally restricted euxassay_001457_03

Specimen euxassay_001457_04: embryonic day 14.5 (more )
Structure Level Pattern Image Note
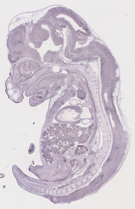
TS23: liver lobe Moderate Regionally restricted euxassay_001457_04
TS23: trigeminal ganglion Moderate Regionally restricted euxassay_001457_04

Specimen euxassay_001457_05: embryonic day 14.5 (more )
Structure Level Pattern Image Note
TS23: liver lobe Moderate Regionally restricted euxassay_001457_05
TS23: trigeminal ganglion Moderate Regionally restricted euxassay_001457_05

Specimen euxassay_001457_06: embryonic day 14.5 (more )
Structure Level Pattern Image Note
TS23: liver lobe Moderate Regionally restricted euxassay_001457_06
TS23: trigeminal ganglion Moderate Regionally restricted euxassay_001457_06

Specimen euxassay_001457_07: embryonic day 14.5 (more )
Structure Level Pattern Image Note
TS23: liver lobe Moderate Regionally restricted euxassay_001457_07
TS23: tail dorsal root ganglion Moderate Regionally restricted euxassay_001457_07
TS23: cervical ganglion Moderate Regionally restricted euxassay_001457_07
TS23: trigeminal ganglion Moderate Regionally restricted euxassay_001457_07

Specimen euxassay_001457_08: embryonic day 14.5 (more )
Structure Level Pattern Image Note
TS23: liver lobe Moderate Regionally restricted euxassay_001457_08
TS23: tail dorsal root ganglion Moderate Regionally restricted euxassay_001457_08
TS23: cervical ganglion Moderate Regionally restricted euxassay_001457_08

Specimen euxassay_001457_09: embryonic day 14.5 (more )
Structure Level Pattern Image Note
TS23: liver lobe Moderate Regionally restricted euxassay_001457_09
TS23: tail dorsal root ganglion Moderate Regionally restricted euxassay_001457_09
TS23: cervico-thoracic ganglion Moderate Regionally restricted euxassay_001457_09

Specimen euxassay_001457_10: embryonic day 14.5 (more )
Structure Level Pattern Image Note
TS23: liver lobe Moderate Regionally restricted euxassay_001457_10
TS23: thoracic ganglion Moderate Regionally restricted euxassay_001457_10

Specimen euxassay_001457_11: embryonic day 14.5 (more )
Structure Level Pattern Image Note
TS23: liver lobe Moderate Regionally restricted euxassay_001457_11
TS23: thymus primordium Moderate Uniform euxassay_001457_11
TS23: thoracic ganglion Moderate Regionally restricted euxassay_001457_11

Specimen euxassay_001457_12: embryonic day 14.5 (more )
Structure Level Pattern Image Note
TS23: liver lobe Moderate Regionally restricted euxassay_001457_12
TS23: thymus primordium Moderate Uniform euxassay_001457_12
TS23: thoracic ganglion Moderate Regionally restricted euxassay_001457_12

Specimen euxassay_001457_13: embryonic day 14.5 (more )
Structure Level Pattern Image Note
TS23: liver lobe Moderate Regionally restricted euxassay_001457_13
TS23: thymus primordium Moderate Uniform euxassay_001457_13

Specimen euxassay_001457_14: embryonic day 14.5 (more )
Structure Level Pattern Image Note
TS23: liver lobe Moderate Regionally restricted euxassay_001457_14
TS23: tail dorsal root ganglion Moderate Regionally restricted euxassay_001457_14
TS23: thymus primordium Moderate Uniform euxassay_001457_14

Specimen euxassay_001457_15: embryonic day 14.5 (more )
Structure Level Pattern Image Note
TS23: liver lobe Moderate Regionally restricted euxassay_001457_15
TS23: tail dorsal root ganglion Moderate Regionally restricted euxassay_001457_15
TS23: thymus primordium Moderate Uniform euxassay_001457_15
TS23: cervico-thoracic ganglion Moderate Regionally restricted euxassay_001457_15

Specimen euxassay_001457_16: embryonic day 14.5 (more )
Structure Level Pattern Image Note
TS23: liver lobe Moderate Regionally restricted euxassay_001457_16
TS23: tail dorsal root ganglion Moderate Regionally restricted euxassay_001457_16
TS23: cervico-thoracic ganglion Moderate Regionally restricted euxassay_001457_16
TS23: cervical ganglion Moderate Regionally restricted euxassay_001457_16

Specimen euxassay_001457_17: embryonic day 14.5 (more )
Structure Level Pattern Image Note
TS23: liver lobe Moderate Regionally restricted euxassay_001457_17
TS23: cervical ganglion Moderate Regionally restricted euxassay_001457_17
TS23: trigeminal ganglion Moderate Regionally restricted euxassay_001457_17

Specimen euxassay_001457_18: embryonic day 14.5 (more )
Structure Level Pattern Image Note
TS23: liver lobe Moderate Regionally restricted euxassay_001457_18
TS23: trigeminal ganglion Moderate Regionally restricted euxassay_001457_18

Specimen euxassay_001457_19: embryonic day 14.5 (more )
Structure Level Pattern Image Note
TS23: liver lobe Moderate Regionally restricted euxassay_001457_19
TS23: trigeminal ganglion Moderate Regionally restricted euxassay_001457_19

Specimen euxassay_001457_20: embryonic day 14.5 (more )
Structure Level Pattern Image Note
TS23: liver lobe Moderate Regionally restricted euxassay_001457_20
TS23: trigeminal ganglion Moderate Regionally restricted euxassay_001457_20

Specimen euxassay_001457_21: embryonic day 14.5 (more )
Structure Level Pattern Image Note
TS23: liver lobe Moderate Regionally restricted euxassay_001457_21
TS23: trigeminal ganglion Moderate Regionally restricted euxassay_001457_21

Specimen euxassay_001457_22: embryonic day 14.5 (more )
Structure Level Pattern Image Note
TS23: liver lobe Moderate Regionally restricted euxassay_001457_22

Specimen euxassay_001457_23: embryonic day 14.5 (more )
Structure Level Pattern Image Note
TS23: liver lobe Moderate Regionally restricted euxassay_001457_23

Specimen euxassay_001457_24: embryonic day 14.5 (more )
Structure Level Pattern Image Note
TS23: liver lobe Moderate Regionally restricted euxassay_001457_24


Contributing Projects:
Mouse Genome Database (MGD), Gene Expression Database (GXD), Mouse Models of Human Cancer database (MMHCdb) (formerly Mouse Tumor Biology (MTB)), Gene Ontology (GO)
Citing These Resources
Funding Information
Warranty Disclaimer, Privacy Notice, Licensing, & Copyright
Send questions and comments to User Support.
last database update
12/30/2025
MGI 6.24
The Jackson Laboratory