About   Help   FAQ
Gene Expression Data
Assay Details
Assay
Reference: J:153498 Diez-Roux G, et al., A high-resolution anatomical atlas of the transcriptome in the mouse embryo. PLoS Biol. 2011;9(1):e1000582
Assay type: RNA in situ
MGI Accession ID: MGI:4827350
Gene symbol: Ppat
Gene name: phosphoribosyl pyrophosphate amidotransferase
Probe: T31539
Probe preparation: Antisense labelled with digoxigenin RNA
Visualized with: Alkaline phosphatase
Assay notes: Cryosections of fresh frozen material were fixed in 4% paraformaldehyde for 20 min. before further processing. A tyramide-biotin/streptavidin amplification step was included in the in situ hybridization procedure.
Results
Specimen euxassay_012583_01: embryonic day 14.5 (more )
Structure Level Pattern Image Note
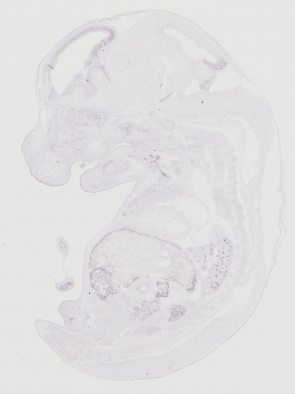
TS23: liver Weak Regionally restricted euxassay_012583_01

Specimen euxassay_012583_02: embryonic day 14.5 (more )
Structure Level Pattern Image Note
TS23: liver Moderate Regionally restricted euxassay_012583_02

Specimen euxassay_012583_03: embryonic day 14.5 (more )
Structure Level Pattern Image Note
TS23: liver Moderate Regionally restricted euxassay_012583_03
TS23: telencephalon ventricular layer Moderate Regionally restricted euxassay_012583_03

Specimen euxassay_012583_04: embryonic day 14.5 (more )
Structure Level Pattern Image Note
TS23: liver Moderate Regionally restricted euxassay_012583_04
TS23: left lung Moderate Regionally restricted euxassay_012583_04
TS23: telencephalon ventricular layer Moderate Regionally restricted euxassay_012583_04

Specimen euxassay_012583_05: embryonic day 14.5 (more )
Structure Level Pattern Image Note
TS23: liver Moderate Regionally restricted euxassay_012583_05
TS23: left lung Moderate Regionally restricted euxassay_012583_05
TS23: telencephalon ventricular layer Moderate Regionally restricted euxassay_012583_05

Specimen euxassay_012583_06: embryonic day 14.5 (more )
Structure Level Pattern Image Note
TS23: liver Moderate Regionally restricted euxassay_012583_06
TS23: left lung Moderate Regionally restricted euxassay_012583_06
TS23: metanephros Moderate Regionally restricted euxassay_012583_06
TS23: telencephalon ventricular layer Moderate Regionally restricted euxassay_012583_06

Specimen euxassay_012583_07: embryonic day 14.5 (more )
Structure Level Pattern Image Note
TS23: liver Moderate Regionally restricted euxassay_012583_07
TS23: metanephros Moderate Regionally restricted euxassay_012583_07
TS23: left lung Moderate Regionally restricted euxassay_012583_07
TS23: telencephalon ventricular layer Moderate Regionally restricted euxassay_012583_07

Specimen euxassay_012583_08: embryonic day 14.5 (more )
Structure Level Pattern Image Note
TS23: liver Moderate Regionally restricted euxassay_012583_08
TS23: metanephros Moderate Regionally restricted euxassay_012583_08
TS23: left lung Moderate Regionally restricted euxassay_012583_08
TS23: submandibular gland primordium Moderate Regionally restricted euxassay_012583_08
TS23: telencephalon ventricular layer Moderate Regionally restricted euxassay_012583_08

Specimen euxassay_012583_09: embryonic day 14.5 (more )
Structure Level Pattern Image Note
TS23: liver Moderate Regionally restricted euxassay_012583_09
TS23: metanephros Moderate Regionally restricted euxassay_012583_09
TS23: left lung Moderate Regionally restricted euxassay_012583_09
TS23: submandibular gland primordium Moderate Regionally restricted euxassay_012583_09
TS23: midgut Moderate Regionally restricted euxassay_012583_09
TS23: telencephalon ventricular layer Moderate Regionally restricted euxassay_012583_09
TS23: midbrain ventricular layer Moderate Regionally restricted euxassay_012583_09

Specimen euxassay_012583_10: embryonic day 14.5 (more )
Structure Level Pattern Image Note
TS23: liver Moderate Regionally restricted euxassay_012583_10
TS23: metanephros Moderate Regionally restricted euxassay_012583_10
TS23: left lung Moderate Regionally restricted euxassay_012583_10
TS23: submandibular gland primordium Moderate Regionally restricted euxassay_012583_10
TS23: midgut Moderate Regionally restricted euxassay_012583_10
TS23: telencephalon ventricular layer Moderate Regionally restricted euxassay_012583_10
TS23: midbrain ventricular layer Moderate Regionally restricted euxassay_012583_10

Specimen euxassay_012583_11: embryonic day 14.5 (more )
Structure Level Pattern Image Note
TS23: liver Moderate Regionally restricted euxassay_012583_11
TS23: left lung Moderate Regionally restricted euxassay_012583_11
TS23: thymus primordium Moderate Regionally restricted euxassay_012583_11
TS23: midgut Moderate Regionally restricted euxassay_012583_11
TS23: telencephalon ventricular layer Moderate Regionally restricted euxassay_012583_11
TS23: midbrain ventricular layer Moderate Regionally restricted euxassay_012583_11

Specimen euxassay_012583_12: embryonic day 14.5 (more )
Structure Level Pattern Image Note
TS23: liver Moderate Regionally restricted euxassay_012583_12
TS23: right lung Moderate Regionally restricted euxassay_012583_12
TS23: thymus primordium Moderate Regionally restricted euxassay_012583_12
TS23: midgut Moderate Regionally restricted euxassay_012583_12
TS23: telencephalon ventricular layer Moderate Regionally restricted euxassay_012583_12
TS23: midbrain ventricular layer Moderate Regionally restricted euxassay_012583_12

Specimen euxassay_012583_13: embryonic day 14.5 (more )
Structure Level Pattern Image Note
TS23: liver Moderate Regionally restricted euxassay_012583_13
TS23: right lung Moderate Regionally restricted euxassay_012583_13
TS23: thymus primordium Moderate Regionally restricted euxassay_012583_13
TS23: midgut Moderate Regionally restricted euxassay_012583_13
TS23: telencephalon ventricular layer Moderate Regionally restricted euxassay_012583_13
TS23: midbrain ventricular layer Moderate Regionally restricted euxassay_012583_13

Specimen euxassay_012583_14: embryonic day 14.5 (more )
Structure Level Pattern Image Note
TS23: liver Moderate Regionally restricted euxassay_012583_14
TS23: right lung Moderate Regionally restricted euxassay_012583_14
TS23: thymus primordium Moderate Regionally restricted euxassay_012583_14
TS23: midgut Moderate Regionally restricted euxassay_012583_14
TS23: telencephalon ventricular layer Moderate Regionally restricted euxassay_012583_14
TS23: midbrain ventricular layer Moderate Regionally restricted euxassay_012583_14

Specimen euxassay_012583_15: embryonic day 14.5 (more )
Structure Level Pattern Image Note
TS23: liver Moderate Regionally restricted euxassay_012583_15
TS23: right lung Moderate Regionally restricted euxassay_012583_15
TS23: metanephros Moderate Regionally restricted euxassay_012583_15
TS23: thymus primordium Moderate Regionally restricted euxassay_012583_15
TS23: midgut Moderate Regionally restricted euxassay_012583_15
TS23: telencephalon ventricular layer Moderate Regionally restricted euxassay_012583_15
TS23: midbrain ventricular layer Moderate Regionally restricted euxassay_012583_15

Specimen euxassay_012583_16: embryonic day 14.5 (more )
Structure Level Pattern Image Note
TS23: liver Moderate Regionally restricted euxassay_012583_16
TS23: right lung Moderate Regionally restricted euxassay_012583_16
TS23: metanephros Moderate Regionally restricted euxassay_012583_16
TS23: midgut Moderate Regionally restricted euxassay_012583_16
TS23: telencephalon ventricular layer Moderate Regionally restricted euxassay_012583_16
TS23: midbrain ventricular layer Moderate Regionally restricted euxassay_012583_16

Specimen euxassay_012583_17: embryonic day 14.5 (more )
Structure Level Pattern Image Note
TS23: liver Moderate Regionally restricted euxassay_012583_17
TS23: right lung Moderate Regionally restricted euxassay_012583_17
TS23: metanephros Moderate Regionally restricted euxassay_012583_17
TS23: submandibular gland primordium Moderate Regionally restricted euxassay_012583_17
TS23: midgut Moderate Regionally restricted euxassay_012583_17
TS23: olfactory lobe Moderate Regionally restricted euxassay_012583_17
TS23: midbrain ventricular layer Moderate Regionally restricted euxassay_012583_17

Specimen euxassay_012583_18: embryonic day 14.5 (more )
Structure Level Pattern Image Note
TS23: liver Moderate Regionally restricted euxassay_012583_18
TS23: metanephros Moderate Regionally restricted euxassay_012583_18
TS23: right lung Moderate Regionally restricted euxassay_012583_18
TS23: submandibular gland primordium Moderate Regionally restricted euxassay_012583_18
TS23: midgut Moderate Regionally restricted euxassay_012583_18
TS23: telencephalon ventricular layer Moderate Regionally restricted euxassay_012583_18

Specimen euxassay_012583_19: embryonic day 14.5 (more )
Structure Level Pattern Image Note
TS23: liver Moderate Regionally restricted euxassay_012583_19
TS23: metanephros Moderate Regionally restricted euxassay_012583_19
TS23: right lung Moderate Regionally restricted euxassay_012583_19
TS23: submandibular gland primordium Moderate Regionally restricted euxassay_012583_19
TS23: midgut Moderate Regionally restricted euxassay_012583_19
TS23: telencephalon ventricular layer Moderate Regionally restricted euxassay_012583_19

Specimen euxassay_012583_20: embryonic day 14.5 (more )
Structure Level Pattern Image Note
TS23: liver Moderate Regionally restricted euxassay_012583_20
TS23: right lung Moderate Regionally restricted euxassay_012583_20
TS23: midgut Moderate Regionally restricted euxassay_012583_20
TS23: telencephalon ventricular layer Moderate Regionally restricted euxassay_012583_20

Specimen euxassay_012583_21: embryonic day 14.5 (more )
Structure Level Pattern Image Note
TS23: liver Moderate Regionally restricted euxassay_012583_21
TS23: right lung Moderate Regionally restricted euxassay_012583_21
TS23: telencephalon ventricular layer Moderate Regionally restricted euxassay_012583_21

Specimen euxassay_012583_22: embryonic day 14.5 (more )
Structure Level Pattern Image Note
TS23: liver Moderate Regionally restricted euxassay_012583_22
TS23: right lung Moderate Regionally restricted euxassay_012583_22
TS23: telencephalon ventricular layer Moderate Regionally restricted euxassay_012583_22

Specimen euxassay_012583_23: embryonic day 14.5 (more )
Structure Level Pattern Image Note
TS23: liver Moderate Regionally restricted euxassay_012583_23
TS23: right lung Moderate Regionally restricted euxassay_012583_23
TS23: telencephalon ventricular layer Moderate Regionally restricted euxassay_012583_23

Specimen euxassay_012583_24: embryonic day 14.5 (more )
Structure Level Pattern Image Note
TS23: liver Moderate Regionally restricted euxassay_012583_24
TS23: right lung Moderate Regionally restricted euxassay_012583_24


Contributing Projects:
Mouse Genome Database (MGD), Gene Expression Database (GXD), Mouse Models of Human Cancer database (MMHCdb) (formerly Mouse Tumor Biology (MTB)), Gene Ontology (GO)
Citing These Resources
Funding Information
Warranty Disclaimer, Privacy Notice, Licensing, & Copyright
Send questions and comments to User Support.
last database update
01/20/2026
MGI 6.24
The Jackson Laboratory