About   Help   FAQ
Gene Expression Data
Assay Details
Assay
Reference: J:153498 Diez-Roux G, et al., A high-resolution anatomical atlas of the transcriptome in the mouse embryo. PLoS Biol. 2011;9(1):e1000582
Assay type: RNA in situ
MGI Accession ID: MGI:4827349
Gene symbol: Ppargc1a
Gene name: peroxisome proliferative activated receptor, gamma, coactivator 1 alpha
Probe: MGC clone 76741
Probe preparation: Antisense labelled with digoxigenin RNA
Visualized with: Alkaline phosphatase
Assay notes: Cryosections of fresh frozen material were fixed in 4% paraformaldehyde for 20 min. before further processing. A tyramide-biotin/streptavidin amplification step was included in the in situ hybridization procedure.
Results
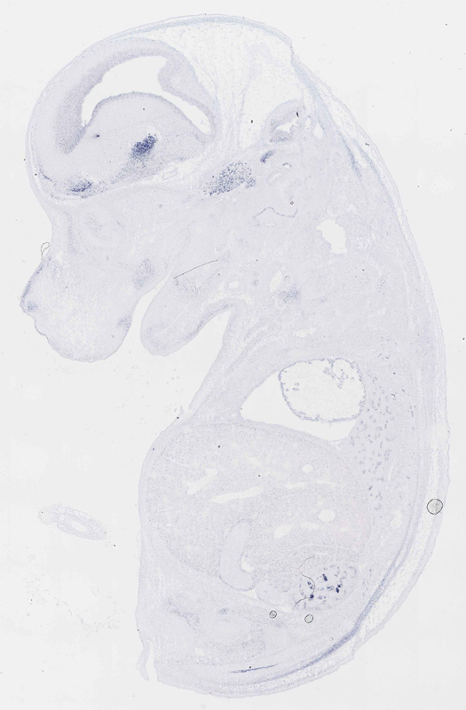
Specimen euxassay_006699_01: embryonic day 14.5 (more )
Note: Additional information for this specimen was included in the Eurexpress data submission file.
Structure Level Pattern Image Note
TS23: telencephalon ventricular layer Weak Regionally restricted euxassay_006699_01
TS23: telencephalon mantle layer Weak Regionally restricted euxassay_006699_01
TS23: amygdala Present euxassay_006699_01

Specimen euxassay_006699_02: embryonic day 14.5 (more )
Note: Additional information for this specimen was included in the Eurexpress data submission file.
Structure Level Pattern Image Note
TS23: trigeminal ganglion Moderate Regionally restricted euxassay_006699_02
TS23: telencephalon ventricular layer Weak Regionally restricted euxassay_006699_02
TS23: telencephalon mantle layer Moderate Regionally restricted euxassay_006699_02
TS23: amygdala Present euxassay_006699_02

Specimen euxassay_006699_03: embryonic day 14.5 (more )
Note: Additional information for this specimen was included in the Eurexpress data submission file.
Structure Level Pattern Image Note
TS23: trigeminal ganglion Moderate Regionally restricted euxassay_006699_03
TS23: telencephalon ventricular layer Weak Regionally restricted euxassay_006699_03
TS23: telencephalon mantle layer Moderate Regionally restricted euxassay_006699_03
TS23: amygdala Present euxassay_006699_03

Specimen euxassay_006699_04: embryonic day 14.5 (more )
Structure Level Pattern Image Note
TS23: trigeminal ganglion Moderate Regionally restricted euxassay_006699_04
TS23: telencephalon ventricular layer Weak Regionally restricted euxassay_006699_04
TS23: pons mantle layer Moderate Regionally restricted euxassay_006699_04
TS23: midbrain mantle layer Moderate Regionally restricted euxassay_006699_04
TS23: hindlimb digit 1 mesenchyme Moderate Regionally restricted euxassay_006699_04
TS23: hindlimb digit 2 mesenchyme Moderate Regionally restricted euxassay_006699_04
TS23: hindlimb digit 3 mesenchyme Moderate Regionally restricted euxassay_006699_04
TS23: hindlimb digit 4 mesenchyme Moderate Regionally restricted euxassay_006699_04

Specimen euxassay_006699_05: embryonic day 14.5 (more )
Note: Additional information for this specimen was included in the Eurexpress data submission file.
Structure Level Pattern Image Note
TS23: trigeminal ganglion Moderate Regionally restricted euxassay_006699_05
TS23: vibrissa Weak Regionally restricted euxassay_006699_05
TS23: telencephalon ventricular layer Weak Regionally restricted euxassay_006699_05
TS23: telencephalon mantle layer Strong Regionally restricted euxassay_006699_05
TS23: amygdala Present euxassay_006699_05
TS23: midbrain mantle layer Moderate Regionally restricted euxassay_006699_05
TS23: pons mantle layer Moderate Regionally restricted euxassay_006699_05
TS23: hindlimb digit 1 mesenchyme Moderate Regionally restricted euxassay_006699_05
TS23: hindlimb digit 2 mesenchyme Moderate Regionally restricted euxassay_006699_05
TS23: hindlimb digit 3 mesenchyme Moderate Regionally restricted euxassay_006699_05
TS23: hindlimb digit 4 mesenchyme Moderate Regionally restricted euxassay_006699_05
TS23: hindlimb digit 5 mesenchyme Moderate Regionally restricted euxassay_006699_05

Specimen euxassay_006699_06: embryonic day 14.5 (more )
Note: Additional information for this specimen was included in the Eurexpress data submission file.
Structure Level Pattern Image Note
TS23: trigeminal ganglion Moderate Regionally restricted euxassay_006699_06
TS23: dorsal root ganglion Moderate Single cells euxassay_006699_06
TS23: vibrissa Weak Regionally restricted euxassay_006699_06
TS23: telencephalon ventricular layer Weak Regionally restricted euxassay_006699_06
TS23: telencephalon mantle layer Strong Regionally restricted euxassay_006699_06
TS23: amygdala Present euxassay_006699_06
TS23: midbrain mantle layer Moderate Regionally restricted euxassay_006699_06
TS23: pons mantle layer Moderate Regionally restricted euxassay_006699_06
TS23: diencephalon lateral wall mantle layer Moderate Regionally restricted euxassay_006699_06
TS23: hindlimb digit 2 mesenchyme Moderate Regionally restricted euxassay_006699_06
TS23: hindlimb digit 3 mesenchyme Moderate Regionally restricted euxassay_006699_06
TS23: hindlimb digit 4 mesenchyme Moderate Regionally restricted euxassay_006699_06
TS23: hindlimb digit 5 mesenchyme Moderate Regionally restricted euxassay_006699_06

Specimen euxassay_006699_07: embryonic day 14.5 (more )
Note: Additional information for this specimen was included in the Eurexpress data submission file.
Structure Level Pattern Image Note
TS23: heart left ventricle Moderate Regionally restricted euxassay_006699_07
TS23: trigeminal ganglion Weak Regionally restricted euxassay_006699_07
TS23: renal calyx Moderate Regionally restricted euxassay_006699_07
TS23: dorsal root ganglion Moderate Single cells euxassay_006699_07
TS23: ventral grey horn Moderate Regionally restricted euxassay_006699_07
TS23: vibrissa Weak Regionally restricted euxassay_006699_07
TS23: telencephalon ventricular layer Weak Regionally restricted euxassay_006699_07
TS23: telencephalon mantle layer Moderate Regionally restricted euxassay_006699_07
TS23: amygdala Present euxassay_006699_07
TS23: midbrain mantle layer Moderate Regionally restricted euxassay_006699_07
TS23: pons mantle layer Moderate Regionally restricted euxassay_006699_07
TS23: diencephalon lateral wall mantle layer Moderate Regionally restricted euxassay_006699_07

Specimen euxassay_006699_08: embryonic day 14.5 (more )
Structure Level Pattern Image Note
TS23: heart left ventricle Moderate Regionally restricted euxassay_006699_08
TS23: trigeminal ganglion Weak Regionally restricted euxassay_006699_08
TS23: renal calyx Moderate Regionally restricted euxassay_006699_08
TS23: dorsal root ganglion Moderate Single cells euxassay_006699_08
TS23: ventral grey horn Moderate Regionally restricted euxassay_006699_08
TS23: vibrissa Weak Regionally restricted euxassay_006699_08
TS23: telencephalon ventricular layer Weak Regionally restricted euxassay_006699_08
TS23: telencephalon mantle layer Moderate Regionally restricted euxassay_006699_08
TS23: diencephalon lateral wall mantle layer Moderate Regionally restricted euxassay_006699_08
TS23: pons mantle layer Moderate Regionally restricted euxassay_006699_08
TS23: midbrain mantle layer Moderate Regionally restricted euxassay_006699_08
TS23: oral epithelium Moderate Regionally restricted euxassay_006699_08

Specimen euxassay_006699_09: embryonic day 14.5 (more )
Structure Level Pattern Image Note
TS23: heart left ventricle Moderate Regionally restricted euxassay_006699_09
TS23: renal calyx Moderate Regionally restricted euxassay_006699_09
TS23: ventral grey horn Moderate Regionally restricted euxassay_006699_09
TS23: vibrissa Weak Regionally restricted euxassay_006699_09
TS23: telencephalon mantle layer Moderate Regionally restricted euxassay_006699_09
TS23: midbrain mantle layer Moderate Regionally restricted euxassay_006699_09
TS23: diencephalon lateral wall mantle layer Moderate Regionally restricted euxassay_006699_09
TS23: oral epithelium Moderate Regionally restricted euxassay_006699_09

Specimen euxassay_006699_10: embryonic day 14.5 (more )
Structure Level Pattern Image Note
TS23: heart left ventricle Moderate Regionally restricted euxassay_006699_10
TS23: renal calyx Moderate Regionally restricted euxassay_006699_10
TS23: dorsal root ganglion Moderate Single cells euxassay_006699_10
TS23: ventral grey horn Moderate Regionally restricted euxassay_006699_10
TS23: telencephalon mantle layer Weak Regionally restricted euxassay_006699_10
TS23: diencephalon lateral wall mantle layer Moderate Regionally restricted euxassay_006699_10
TS23: midbrain mantle layer Moderate Regionally restricted euxassay_006699_10
TS23: oral epithelium Weak Regionally restricted euxassay_006699_10

Specimen euxassay_006699_11: embryonic day 14.5 (more )
Structure Level Pattern Image Note
TS23: heart left ventricle Moderate Regionally restricted euxassay_006699_11
TS23: dorsal root ganglion Moderate Single cells euxassay_006699_11
TS23: ventral grey horn Moderate Regionally restricted euxassay_006699_11
TS23: telencephalon mantle layer Weak Regionally restricted euxassay_006699_11
TS23: diencephalon lateral wall mantle layer Moderate Regionally restricted euxassay_006699_11
TS23: pons mantle layer Moderate Regionally restricted euxassay_006699_11
TS23: midbrain mantle layer Moderate Regionally restricted euxassay_006699_11

Specimen euxassay_006699_12: embryonic day 14.5 (more )
Structure Level Pattern Image Note
TS23: heart right ventricle Moderate Regionally restricted euxassay_006699_12
TS23: ventral grey horn Moderate Regionally restricted euxassay_006699_12
TS23: diencephalon lateral wall mantle layer Moderate Regionally restricted euxassay_006699_12
TS23: pons mantle layer Moderate Regionally restricted euxassay_006699_12
TS23: midbrain mantle layer Moderate Regionally restricted euxassay_006699_12
TS23: lower jaw incisor Strong Regionally restricted euxassay_006699_12

Specimen euxassay_006699_13: embryonic day 14.5 (more )
Structure Level Pattern Image Note
TS23: heart right ventricle Moderate Regionally restricted euxassay_006699_13
TS23: ventral grey horn Moderate Regionally restricted euxassay_006699_13
TS23: bladder fundus Weak Regionally restricted euxassay_006699_13
TS23: external naris Moderate Regionally restricted euxassay_006699_13
TS23: diencephalon lateral wall mantle layer Moderate Regionally restricted euxassay_006699_13
TS23: pons mantle layer Moderate Regionally restricted euxassay_006699_13
TS23: midbrain mantle layer Moderate Regionally restricted euxassay_006699_13
TS23: lower jaw incisor Strong Regionally restricted euxassay_006699_13
TS23: upper jaw incisor Strong Regionally restricted euxassay_006699_13

Specimen euxassay_006699_14: embryonic day 14.5 (more )
Structure Level Pattern Image Note
TS23: heart right ventricle Moderate Regionally restricted euxassay_006699_14
TS23: ventral grey horn Moderate Regionally restricted euxassay_006699_14
TS23: bladder fundus Moderate Regionally restricted euxassay_006699_14
TS23: urethra Moderate Regionally restricted euxassay_006699_14 Originally this result was annotated to a male-specific term, but as the specimen was not sexed, it is likely the data annotator intended to use a non-sex specific term.
TS23: external naris Moderate Regionally restricted euxassay_006699_14
TS23: posterior naris Moderate Regionally restricted euxassay_006699_14
TS23: diencephalon lateral wall mantle layer Moderate Regionally restricted euxassay_006699_14
TS23: pons mantle layer Moderate Regionally restricted euxassay_006699_14
TS23: midbrain mantle layer Moderate Regionally restricted euxassay_006699_14

Specimen euxassay_006699_15: embryonic day 14.5 (more )
Structure Level Pattern Image Note
TS23: heart right ventricle Moderate Regionally restricted euxassay_006699_15
TS23: dorsal root ganglion Moderate Single cells euxassay_006699_15
TS23: ventral grey horn Moderate Regionally restricted euxassay_006699_15
TS23: bladder fundus Moderate Regionally restricted euxassay_006699_15
TS23: urethra Moderate Regionally restricted euxassay_006699_15 Originally this result was annotated to a male-specific term, but as the specimen was not sexed, it is likely the data annotator intended to use a non-sex specific term.
TS23: external naris Weak Regionally restricted euxassay_006699_15
TS23: pons mantle layer Moderate Regionally restricted euxassay_006699_15
TS23: diencephalon lateral wall mantle layer Moderate Regionally restricted euxassay_006699_15
TS23: midbrain mantle layer Moderate Regionally restricted euxassay_006699_15

Specimen euxassay_006699_16: embryonic day 14.5 (more )
Structure Level Pattern Image Note
TS23: heart right ventricle Moderate Regionally restricted euxassay_006699_16
TS23: dorsal root ganglion Moderate Single cells euxassay_006699_16
TS23: ventral grey horn Moderate Regionally restricted euxassay_006699_16
TS23: urethra Moderate Regionally restricted euxassay_006699_16 Originally this result was annotated to a male-specific term, but as the specimen was not sexed, it is likely the data annotator intended to use a non-sex specific term.
TS23: anterior naris Weak Regionally restricted euxassay_006699_16
TS23: telencephalon mantle layer Weak Regionally restricted euxassay_006699_16
TS23: diencephalon lateral wall mantle layer Moderate Regionally restricted euxassay_006699_16
TS23: pons mantle layer Moderate Regionally restricted euxassay_006699_16
TS23: midbrain mantle layer Moderate Regionally restricted euxassay_006699_16
TS23: lower jaw incisor Strong Regionally restricted euxassay_006699_16
TS23: oral epithelium Moderate Regionally restricted euxassay_006699_16

Specimen euxassay_006699_17: embryonic day 14.5 (more )
Structure Level Pattern Image Note
TS23: heart right ventricle Moderate Regionally restricted euxassay_006699_17
TS23: trigeminal ganglion Weak Regionally restricted euxassay_006699_17
TS23: renal calyx Moderate Regionally restricted euxassay_006699_17
TS23: dorsal root ganglion Moderate Single cells euxassay_006699_17
TS23: urethra Moderate Regionally restricted euxassay_006699_17 Originally this result was annotated to a male-specific term, but as the specimen was not sexed, it is likely the data annotator intended to use a non-sex specific term.
TS23: telencephalon mantle layer Weak Regionally restricted euxassay_006699_17
TS23: diencephalon lateral wall mantle layer Moderate Regionally restricted euxassay_006699_17
TS23: midbrain mantle layer Moderate Regionally restricted euxassay_006699_17
TS23: pons mantle layer Moderate Regionally restricted euxassay_006699_17
TS23: upper jaw incisor Strong Regionally restricted euxassay_006699_17
TS23: lower jaw incisor Strong Regionally restricted euxassay_006699_17
TS23: oral epithelium Moderate Regionally restricted euxassay_006699_17

Specimen euxassay_006699_18: embryonic day 14.5 (more )
Structure Level Pattern Image Note
TS23: heart right ventricle Moderate Regionally restricted euxassay_006699_18
TS23: trigeminal ganglion Moderate Regionally restricted euxassay_006699_18
TS23: renal calyx Moderate Regionally restricted euxassay_006699_18
TS23: anterior naris Weak Regionally restricted euxassay_006699_18
TS23: telencephalon ventricular layer Weak Regionally restricted euxassay_006699_18
TS23: telencephalon mantle layer Weak Regionally restricted euxassay_006699_18
TS23: pons mantle layer Moderate Regionally restricted euxassay_006699_18
TS23: oral epithelium Moderate Regionally restricted euxassay_006699_18

Specimen euxassay_006699_19: embryonic day 14.5 (more )
Note: Additional information for this specimen was included in the Eurexpress data submission file.
Structure Level Pattern Image Note
TS23: trigeminal ganglion Moderate Regionally restricted euxassay_006699_19
TS23: facial ganglion Moderate Regionally restricted euxassay_006699_19
TS23: renal calyx Moderate Regionally restricted euxassay_006699_19
TS23: telencephalon ventricular layer Weak Regionally restricted euxassay_006699_19
TS23: telencephalon mantle layer Strong Regionally restricted euxassay_006699_19
TS23: amygdala Present euxassay_006699_19

Specimen euxassay_006699_20: embryonic day 14.5 (more )
Structure Level Pattern Image Note
TS23: trigeminal ganglion Moderate Regionally restricted euxassay_006699_20
TS23: renal calyx Moderate Regionally restricted euxassay_006699_20
TS23: telencephalon ventricular layer Weak Regionally restricted euxassay_006699_20
TS23: telencephalon mantle layer Moderate Regionally restricted euxassay_006699_20

Specimen euxassay_006699_21: embryonic day 14.5 (more )
Structure Level Pattern Image Note
TS23: trigeminal ganglion Moderate Regionally restricted euxassay_006699_21
TS23: telencephalon ventricular layer Weak Regionally restricted euxassay_006699_21
TS23: telencephalon mantle layer Moderate Regionally restricted euxassay_006699_21

Specimen euxassay_006699_22: embryonic day 14.5 (more )
Structure Level Pattern Image Note
TS23: vibrissa Weak Regionally restricted euxassay_006699_22
TS23: telencephalon ventricular layer Weak Regionally restricted euxassay_006699_22
TS23: telencephalon mantle layer Moderate Regionally restricted euxassay_006699_22
TS23: hindlimb digit 1 mesenchyme Weak Regionally restricted euxassay_006699_22
TS23: hindlimb digit 2 mesenchyme Weak Regionally restricted euxassay_006699_22
TS23: hindlimb digit 3 mesenchyme Weak Regionally restricted euxassay_006699_22
TS23: hindlimb digit 4 mesenchyme Weak Regionally restricted euxassay_006699_22
TS23: hindlimb digit 5 mesenchyme Weak Regionally restricted euxassay_006699_22

Specimen euxassay_006699_23: embryonic day 14.5 (more )
Structure Level Pattern Image Note
TS23: vibrissa Weak Regionally restricted euxassay_006699_23
TS23: hindlimb digit 1 mesenchyme Weak Regionally restricted euxassay_006699_23
TS23: hindlimb digit 2 mesenchyme Weak Regionally restricted euxassay_006699_23
TS23: hindlimb digit 3 mesenchyme Weak Regionally restricted euxassay_006699_23
TS23: hindlimb digit 4 mesenchyme Weak Regionally restricted euxassay_006699_23
TS23: hindlimb digit 5 mesenchyme Weak Regionally restricted euxassay_006699_23


Contributing Projects:
Mouse Genome Database (MGD), Gene Expression Database (GXD), Mouse Models of Human Cancer database (MMHCdb) (formerly Mouse Tumor Biology (MTB)), Gene Ontology (GO)
Citing These Resources
Funding Information
Warranty Disclaimer, Privacy Notice, Licensing, & Copyright
Send questions and comments to User Support.
last database update
12/30/2025
MGI 6.24
The Jackson Laboratory