About   Help   FAQ
Gene Expression Data
Assay Details
Assay
Reference: J:153498 Diez-Roux G, et al., A high-resolution anatomical atlas of the transcriptome in the mouse embryo. PLoS Biol. 2011;9(1):e1000582
Assay type: RNA in situ
MGI Accession ID: MGI:4827334
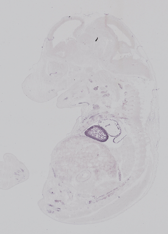
Gene symbol: Popdc2
Gene name: popeye domain containing 2
Probe: IMAGE clone 1885553
Probe preparation: Antisense labelled with digoxigenin RNA
Visualized with: Alkaline phosphatase
Assay notes: Cryosections of fresh frozen material were fixed in 4% paraformaldehyde for 20 min. before further processing. A tyramide-biotin/streptavidin amplification step was included in the in situ hybridization procedure.
Results
Specimen euxassay_009265_01: embryonic day 14.5 (more )
Structure Level Pattern Image Note
TS23: vertebral axis musculature Moderate Regionally restricted euxassay_009265_01
TS23: upper arm muscle Moderate Regionally restricted euxassay_009265_01
TS23: forearm rest of mesenchyme Moderate Regionally restricted euxassay_009265_01
TS23: upper leg muscle Moderate Regionally restricted euxassay_009265_01

Specimen euxassay_009265_02: embryonic day 14.5 (more )
Structure Level Pattern Image Note
TS23: vertebral axis musculature Moderate Regionally restricted euxassay_009265_02
TS23: upper arm muscle Moderate Regionally restricted euxassay_009265_02
TS23: upper leg muscle Moderate Regionally restricted euxassay_009265_02

Specimen euxassay_009265_03: embryonic day 14.5 (more )
Structure Level Pattern Image Note
TS23: vertebral axis musculature Moderate Regionally restricted euxassay_009265_03
TS23: upper arm muscle Moderate Regionally restricted euxassay_009265_03
TS23: upper leg muscle Moderate Regionally restricted euxassay_009265_03

Specimen euxassay_009265_04: embryonic day 14.5 (more )
Structure Level Pattern Image Note
TS23: vertebral axis musculature Moderate Regionally restricted euxassay_009265_04
TS23: upper arm muscle Moderate Regionally restricted euxassay_009265_04
TS23: upper leg muscle Moderate Regionally restricted euxassay_009265_04

Specimen euxassay_009265_05: embryonic day 14.5 (more )
Structure Level Pattern Image Note
TS23: vertebral axis musculature Moderate Regionally restricted euxassay_009265_05
TS23: heart atrium Strong Regionally restricted euxassay_009265_05
TS23: upper arm muscle Moderate Regionally restricted euxassay_009265_05

Specimen euxassay_009265_06: embryonic day 14.5 (more )
Structure Level Pattern Image Note
TS23: vertebral axis musculature Moderate Regionally restricted euxassay_009265_06
TS23: heart atrium Strong Regionally restricted euxassay_009265_06
TS23: upper arm muscle Moderate Regionally restricted euxassay_009265_06

Specimen euxassay_009265_07: embryonic day 14.5 (more )
Structure Level Pattern Image Note
TS23: vertebral axis musculature Moderate Regionally restricted euxassay_009265_07
TS23: heart ventricle Strong Regionally restricted euxassay_009265_07
TS23: heart atrium Strong Regionally restricted euxassay_009265_07

Specimen euxassay_009265_08: embryonic day 14.5 (more )
Structure Level Pattern Image Note
TS23: vertebral axis musculature Moderate Regionally restricted euxassay_009265_08
TS23: heart ventricle Strong Regionally restricted euxassay_009265_08
TS23: heart atrium Strong Regionally restricted euxassay_009265_08

Specimen euxassay_009265_09: embryonic day 14.5 (more )
Note: Additional information for this specimen was included in the Eurexpress data submission file.
Structure Level Pattern Image Note
TS23: vertebral axis musculature Moderate Regionally restricted euxassay_009265_09
TS23: heart ventricle Strong Regionally restricted euxassay_009265_09
TS23: heart atrium Strong Regionally restricted euxassay_009265_09
TS23: midgut Weak Regionally restricted euxassay_009265_09 smooth muscle
TS23: smooth muscle tissue Present euxassay_009265_09

Specimen euxassay_009265_10: embryonic day 14.5 (more )
Note: Additional information for this specimen was included in the Eurexpress data submission file.
Structure Level Pattern Image Note
TS23: vertebral axis musculature Moderate Regionally restricted euxassay_009265_10
TS23: heart ventricle Strong Regionally restricted euxassay_009265_10
TS23: heart atrium Strong Regionally restricted euxassay_009265_10
TS23: tongue muscle Moderate Regionally restricted euxassay_009265_10
TS23: bladder wall Strong Regionally restricted euxassay_009265_10
TS23: midgut Weak Regionally restricted euxassay_009265_10 smooth muscle
TS23: smooth muscle tissue Present euxassay_009265_10

Specimen euxassay_009265_11: embryonic day 14.5 (more )
Note: Additional information for this specimen was included in the Eurexpress data submission file.
Structure Level Pattern Image Note
TS23: vertebral axis musculature Moderate Regionally restricted euxassay_009265_11
TS23: heart ventricle Strong Regionally restricted euxassay_009265_11
TS23: heart atrium Strong Regionally restricted euxassay_009265_11
TS23: tongue muscle Moderate Regionally restricted euxassay_009265_11
TS23: bladder wall Strong Regionally restricted euxassay_009265_11
TS23: midgut Weak Regionally restricted euxassay_009265_11 smooth muscle
TS23: hindgut Weak Regionally restricted euxassay_009265_11 smooth muscle
TS23: smooth muscle tissue Present euxassay_009265_11

Specimen euxassay_009265_12: embryonic day 14.5 (more )
Note: Additional information for this specimen was included in the Eurexpress data submission file.
Structure Level Pattern Image Note
TS23: vertebral axis musculature Moderate Regionally restricted euxassay_009265_12
TS23: heart ventricle Strong Regionally restricted euxassay_009265_12
TS23: heart atrium Strong Regionally restricted euxassay_009265_12
TS23: tongue muscle Moderate Regionally restricted euxassay_009265_12
TS23: bladder wall Strong Regionally restricted euxassay_009265_12
TS23: midgut Weak Regionally restricted euxassay_009265_12 smooth muscle
TS23: smooth muscle tissue Present euxassay_009265_12

Specimen euxassay_009265_13: embryonic day 14.5 (more )
Note: Additional information for this specimen was included in the Eurexpress data submission file.
Structure Level Pattern Image Note
TS23: vertebral axis musculature Moderate Regionally restricted euxassay_009265_13
TS23: heart atrium Strong Regionally restricted euxassay_009265_13
TS23: heart ventricle Strong Regionally restricted euxassay_009265_13
TS23: tongue muscle Strong Regionally restricted euxassay_009265_13
TS23: bladder wall Strong Regionally restricted euxassay_009265_13
TS23: midgut Weak Regionally restricted euxassay_009265_13 smooth muscle
TS23: smooth muscle tissue Present euxassay_009265_13

Specimen euxassay_009265_14: embryonic day 14.5 (more )
Note: Additional information for this specimen was included in the Eurexpress data submission file.
Structure Level Pattern Image Note
TS23: vertebral axis musculature Moderate Regionally restricted euxassay_009265_14
TS23: heart ventricle Strong Regionally restricted euxassay_009265_14
TS23: heart atrium Strong Regionally restricted euxassay_009265_14
TS23: tongue muscle Strong Regionally restricted euxassay_009265_14
TS23: bladder wall Strong Regionally restricted euxassay_009265_14
TS23: midgut Weak Regionally restricted euxassay_009265_14 smooth muscle
TS23: smooth muscle tissue Present euxassay_009265_14

Specimen euxassay_009265_15: embryonic day 14.5 (more )
Note: Additional information for this specimen was included in the Eurexpress data submission file.
Structure Level Pattern Image Note
TS23: vertebral axis musculature Moderate Regionally restricted euxassay_009265_15
TS23: heart ventricle Strong Regionally restricted euxassay_009265_15
TS23: heart atrium Strong Regionally restricted euxassay_009265_15
TS23: tongue muscle Moderate Regionally restricted euxassay_009265_15
TS23: midgut Weak Regionally restricted euxassay_009265_15 smooth muscle
TS23: smooth muscle tissue Present euxassay_009265_15

Specimen euxassay_009265_16: embryonic day 14.5 (more )
Note: Additional information for this specimen was included in the Eurexpress data submission file.
Structure Level Pattern Image Note
TS23: vertebral axis musculature Moderate Regionally restricted euxassay_009265_16
TS23: heart ventricle Strong Regionally restricted euxassay_009265_16
TS23: heart atrium Strong Regionally restricted euxassay_009265_16
TS23: tongue muscle Weak Regionally restricted euxassay_009265_16
TS23: midgut Weak Regionally restricted euxassay_009265_16 smooth muscle
TS23: smooth muscle tissue Present euxassay_009265_16

Specimen euxassay_009265_17: embryonic day 14.5 (more )
Note: Additional information for this specimen was included in the Eurexpress data submission file.
Structure Level Pattern Image Note
TS23: vertebral axis musculature Moderate Regionally restricted euxassay_009265_17
TS23: heart ventricle Strong Regionally restricted euxassay_009265_17
TS23: heart atrium Strong Regionally restricted euxassay_009265_17
TS23: midgut Weak Regionally restricted euxassay_009265_17 smooth muscle
TS23: smooth muscle tissue Present euxassay_009265_17

Specimen euxassay_009265_18: embryonic day 14.5 (more )
Note: Additional information for this specimen was included in the Eurexpress data submission file.
Structure Level Pattern Image Note
TS23: vertebral axis musculature Moderate Regionally restricted euxassay_009265_18
TS23: heart ventricle Strong Regionally restricted euxassay_009265_18
TS23: heart atrium Strong Regionally restricted euxassay_009265_18
TS23: midgut Weak Regionally restricted euxassay_009265_18 smooth muscle
TS23: smooth muscle tissue Present euxassay_009265_18

Specimen euxassay_009265_19: embryonic day 14.5 (more )
Note: Additional information for this specimen was included in the Eurexpress data submission file.
Structure Level Pattern Image Note
TS23: vertebral axis musculature Moderate Regionally restricted euxassay_009265_19
TS23: heart atrium Moderate Regionally restricted euxassay_009265_19
TS23: heart ventricle Strong Regionally restricted euxassay_009265_19
TS23: midgut Weak Regionally restricted euxassay_009265_19 smooth muscle
TS23: smooth muscle tissue Present euxassay_009265_19
TS23: upper arm muscle Moderate Regionally restricted euxassay_009265_19

Specimen euxassay_009265_20: embryonic day 14.5 (more )
Structure Level Pattern Image Note
TS23: vertebral axis musculature Moderate Regionally restricted euxassay_009265_20
TS23: heart atrium Moderate Regionally restricted euxassay_009265_20
TS23: upper arm muscle Moderate Regionally restricted euxassay_009265_20

Specimen euxassay_009265_21: embryonic day 14.5 (more )
Structure Level Pattern Image Note
TS23: vertebral axis musculature Moderate Regionally restricted euxassay_009265_21
TS23: heart atrium Moderate Regionally restricted euxassay_009265_21
TS23: upper arm rest of mesenchyme Moderate Regionally restricted euxassay_009265_21
TS23: lower leg rest of mesenchyme Moderate Regionally restricted euxassay_009265_21
TS23: foot Moderate Regionally restricted euxassay_009265_21

Specimen euxassay_009265_22: embryonic day 14.5 (more )
Structure Level Pattern Image Note
TS23: vertebral axis musculature Moderate Regionally restricted euxassay_009265_22
TS23: heart atrium Moderate Regionally restricted euxassay_009265_22
TS23: lower leg rest of mesenchyme Moderate Regionally restricted euxassay_009265_22
TS23: upper arm rest of mesenchyme Moderate Regionally restricted euxassay_009265_22

Specimen euxassay_009265_23: embryonic day 14.5 (more )
Structure Level Pattern Image Note
TS23: vertebral axis musculature Moderate Regionally restricted euxassay_009265_23
TS23: forearm rest of mesenchyme Moderate Regionally restricted euxassay_009265_23
TS23: lower leg rest of mesenchyme Moderate Regionally restricted euxassay_009265_23

Specimen euxassay_009265_24: embryonic day 14.5 (more )
Structure Level Pattern Image Note
TS23: vertebral axis musculature Moderate Regionally restricted euxassay_009265_24
TS23: forearm rest of mesenchyme Moderate Regionally restricted euxassay_009265_24

Specimen euxassay_009265_25: embryonic day 14.5 (more )
Structure Level Pattern Image Note
TS23: vertebral axis musculature Moderate Regionally restricted euxassay_009265_25
TS23: forearm rest of mesenchyme Moderate Regionally restricted euxassay_009265_25
TS23: upper arm muscle Moderate Regionally restricted euxassay_009265_25
TS23: lower leg rest of mesenchyme Moderate Regionally restricted euxassay_009265_25

Specimen euxassay_009265_26: embryonic day 14.5 (more )
Structure Level Pattern Image Note
TS23: vertebral axis musculature Moderate Regionally restricted euxassay_009265_26
TS23: forearm rest of mesenchyme Moderate Regionally restricted euxassay_009265_26
TS23: upper arm muscle Moderate Regionally restricted euxassay_009265_26
TS23: lower leg rest of mesenchyme Moderate Regionally restricted euxassay_009265_26


Contributing Projects:
Mouse Genome Database (MGD), Gene Expression Database (GXD), Mouse Models of Human Cancer database (MMHCdb) (formerly Mouse Tumor Biology (MTB)), Gene Ontology (GO)
Citing These Resources
Funding Information
Warranty Disclaimer, Privacy Notice, Licensing, & Copyright
Send questions and comments to User Support.
last database update
12/30/2025
MGI 6.24
The Jackson Laboratory