About   Help   FAQ
Gene Expression Data
Assay Details
Assay
Reference: J:153498 Diez-Roux G, et al., A high-resolution anatomical atlas of the transcriptome in the mouse embryo. PLoS Biol. 2011;9(1):e1000582
Assay type: RNA in situ
MGI Accession ID: MGI:4827308
Gene symbol: Podn
Gene name: podocan
Probe: IMAGE clone 30609151
Probe preparation: Antisense labelled with digoxigenin RNA
Visualized with: Alkaline phosphatase
Assay notes: Cryosections of fresh frozen material were fixed in 4% paraformaldehyde for 20 min. before further processing. A tyramide-biotin/streptavidin amplification step was included in the in situ hybridization procedure.
Results
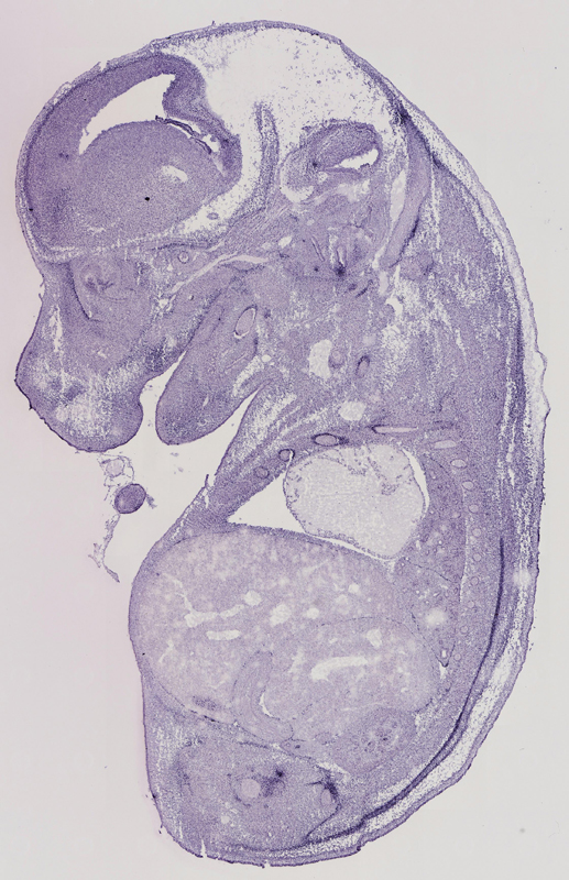
Specimen euxassay_008604_01: embryonic day 14.5 (more )
Structure Level Pattern Image Note
TS23: basioccipital bone Strong Regionally restricted euxassay_008604_01
TS23: mandible Strong Regionally restricted euxassay_008604_01
TS23: cornea epithelium Strong Regionally restricted euxassay_008604_01
TS23: rib Strong Regionally restricted euxassay_008604_01
TS23: upper arm mesenchyme Strong Regionally restricted euxassay_008604_01
TS23: forearm mesenchyme Strong Regionally restricted euxassay_008604_01
TS23: lower leg mesenchyme Strong Regionally restricted euxassay_008604_01

Specimen euxassay_008604_02: embryonic day 14.5 (more )
Structure Level Pattern Image Note
TS23: basioccipital bone Strong Regionally restricted euxassay_008604_02
TS23: mandible Strong Regionally restricted euxassay_008604_02
TS23: cornea epithelium Strong Regionally restricted euxassay_008604_02
TS23: rib Strong Regionally restricted euxassay_008604_02
TS23: forelimb digit 4 mesenchyme Strong Regionally restricted euxassay_008604_02
TS23: forelimb digit 5 mesenchyme Strong Regionally restricted euxassay_008604_02
TS23: upper arm mesenchyme Strong Regionally restricted euxassay_008604_02
TS23: scapula Strong Regionally restricted euxassay_008604_02
TS23: lower leg mesenchyme Strong Regionally restricted euxassay_008604_02
TS23: upper leg mesenchyme Strong Regionally restricted euxassay_008604_02
TS23: stomach mesentery Strong Regionally restricted euxassay_008604_02
TS23: telencephalon mantle layer Moderate Regionally restricted euxassay_008604_02

Specimen euxassay_008604_03: embryonic day 14.5 (more )
Structure Level Pattern Image Note
TS23: basioccipital bone Strong Regionally restricted euxassay_008604_03
TS23: Meckel's cartilage Strong Regionally restricted euxassay_008604_03
TS23: mandible Strong Regionally restricted euxassay_008604_03
TS23: cornea epithelium Strong Regionally restricted euxassay_008604_03
TS23: rib Strong Regionally restricted euxassay_008604_03
TS23: forelimb digit 3 mesenchyme Strong Regionally restricted euxassay_008604_03
TS23: forelimb digit 4 mesenchyme Strong Regionally restricted euxassay_008604_03
TS23: forelimb digit 5 mesenchyme Strong Regionally restricted euxassay_008604_03
TS23: scapula Strong Regionally restricted euxassay_008604_03
TS23: lower leg mesenchyme Strong Regionally restricted euxassay_008604_03
TS23: upper leg mesenchyme Strong Regionally restricted euxassay_008604_03
TS23: hindlimb digit 4 mesenchyme Strong Regionally restricted euxassay_008604_03
TS23: hindlimb digit 3 mesenchyme Strong Regionally restricted euxassay_008604_03
TS23: hindlimb digit 2 mesenchyme Strong Regionally restricted euxassay_008604_03
TS23: stomach mesentery Strong Regionally restricted euxassay_008604_03
TS23: telencephalon mantle layer Moderate Regionally restricted euxassay_008604_03

Specimen euxassay_008604_04: embryonic day 14.5 (more )
Structure Level Pattern Image Note
TS23: basioccipital bone Strong Regionally restricted euxassay_008604_04
TS23: orbito-sphenoid Strong Regionally restricted euxassay_008604_04
TS23: Meckel's cartilage Strong Regionally restricted euxassay_008604_04
TS23: mandible Strong Regionally restricted euxassay_008604_04
TS23: cornea epithelium Strong Regionally restricted euxassay_008604_04
TS23: rib Strong Regionally restricted euxassay_008604_04
TS23: forelimb digit 1 mesenchyme Strong Regionally restricted euxassay_008604_04
TS23: forelimb digit 2 mesenchyme Strong Regionally restricted euxassay_008604_04
TS23: forelimb digit 3 mesenchyme Strong Regionally restricted euxassay_008604_04
TS23: humerus Strong Regionally restricted euxassay_008604_04
TS23: scapula Strong Regionally restricted euxassay_008604_04
TS23: hindlimb digit 2 mesenchyme Strong Regionally restricted euxassay_008604_04
TS23: hindlimb digit 3 mesenchyme Strong Regionally restricted euxassay_008604_04
TS23: hindlimb digit 4 mesenchyme Strong Regionally restricted euxassay_008604_04
TS23: hindlimb digit 1 mesenchyme Strong Regionally restricted euxassay_008604_04
TS23: hindlimb digit 5 mesenchyme Strong Regionally restricted euxassay_008604_04
TS23: lower leg mesenchyme Strong Regionally restricted euxassay_008604_04
TS23: stomach mesentery Strong Regionally restricted euxassay_008604_04
TS23: urinary system mesenchyme Strong Regionally restricted euxassay_008604_04
TS23: telencephalon mantle layer Moderate Regionally restricted euxassay_008604_04

Specimen euxassay_008604_05: embryonic day 14.5 (more )
Structure Level Pattern Image Note
TS23: basioccipital bone Strong Regionally restricted euxassay_008604_05
TS23: Meckel's cartilage Strong Regionally restricted euxassay_008604_05
TS23: mandible Strong Regionally restricted euxassay_008604_05
TS23: cornea epithelium Strong Regionally restricted euxassay_008604_05
TS23: rib Strong Regionally restricted euxassay_008604_05
TS23: humerus Strong Regionally restricted euxassay_008604_05
TS23: forelimb digit 1 mesenchyme Strong Regionally restricted euxassay_008604_05
TS23: forelimb digit 2 mesenchyme Strong Regionally restricted euxassay_008604_05
TS23: forelimb digit 3 mesenchyme Strong Regionally restricted euxassay_008604_05
TS23: scapula Strong Regionally restricted euxassay_008604_05
TS23: hindlimb digit 2 mesenchyme Strong Regionally restricted euxassay_008604_05
TS23: hindlimb digit 3 mesenchyme Strong Regionally restricted euxassay_008604_05
TS23: hindlimb digit 4 mesenchyme Strong Regionally restricted euxassay_008604_05
TS23: hindlimb digit 5 mesenchyme Strong Regionally restricted euxassay_008604_05
TS23: lower leg mesenchyme Strong Regionally restricted euxassay_008604_05
TS23: stomach mesentery Strong Regionally restricted euxassay_008604_05
TS23: urinary system mesenchyme Strong Regionally restricted euxassay_008604_05
TS23: telencephalon mantle layer Moderate Regionally restricted euxassay_008604_05

Specimen euxassay_008604_06: embryonic day 14.5 (more )
Structure Level Pattern Image Note
TS23: basioccipital bone Strong Regionally restricted euxassay_008604_06
TS23: orbito-sphenoid Strong Regionally restricted euxassay_008604_06
TS23: Meckel's cartilage Strong Regionally restricted euxassay_008604_06
TS23: mandible Strong Regionally restricted euxassay_008604_06
TS23: vibrissa Strong Regionally restricted euxassay_008604_06
TS23: cornea epithelium Strong Regionally restricted euxassay_008604_06
TS23: rib Strong Regionally restricted euxassay_008604_06
TS23: humerus Strong Regionally restricted euxassay_008604_06
TS23: forelimb digit 3 mesenchyme Strong Regionally restricted euxassay_008604_06
TS23: forelimb digit 1 mesenchyme Strong Regionally restricted euxassay_008604_06
TS23: forelimb digit 2 mesenchyme Strong Regionally restricted euxassay_008604_06
TS23: hindlimb digit 3 mesenchyme Strong Regionally restricted euxassay_008604_06
TS23: hindlimb digit 4 mesenchyme Strong Regionally restricted euxassay_008604_06
TS23: hindlimb digit 5 mesenchyme Strong Regionally restricted euxassay_008604_06
TS23: lower leg mesenchyme Strong Regionally restricted euxassay_008604_06
TS23: upper leg mesenchyme Strong Regionally restricted euxassay_008604_06
TS23: inner ear Strong Regionally restricted euxassay_008604_06
TS23: stomach mesentery Strong Regionally restricted euxassay_008604_06
TS23: urinary system mesenchyme Strong Regionally restricted euxassay_008604_06
TS23: mesenchyme of metanephros Strong Regionally restricted euxassay_008604_06
TS23: telencephalon mantle layer Strong Regionally restricted euxassay_008604_06

Specimen euxassay_008604_07: embryonic day 14.5 (more )
Structure Level Pattern Image Note
TS23: basioccipital bone Strong Regionally restricted euxassay_008604_07
TS23: orbito-sphenoid Strong Regionally restricted euxassay_008604_07
TS23: mandible Strong Regionally restricted euxassay_008604_07
TS23: Meckel's cartilage Strong Regionally restricted euxassay_008604_07
TS23: vibrissa Strong Regionally restricted euxassay_008604_07
TS23: rib Strong Regionally restricted euxassay_008604_07
TS23: forelimb digit 4 phalanx Strong Regionally restricted euxassay_008604_07
TS23: forelimb digit 3 phalanx Strong Regionally restricted euxassay_008604_07
TS23: forelimb digit 2 phalanx Strong Regionally restricted euxassay_008604_07
TS23: forelimb digit 1 phalanx Strong Regionally restricted euxassay_008604_07
TS23: humerus Strong Regionally restricted euxassay_008604_07
TS23: hindlimb digit 1 mesenchyme Strong Regionally restricted euxassay_008604_07
TS23: hindlimb digit 2 mesenchyme Strong Regionally restricted euxassay_008604_07
TS23: hindlimb digit 3 mesenchyme Strong Regionally restricted euxassay_008604_07
TS23: hindlimb digit 4 mesenchyme Strong Regionally restricted euxassay_008604_07
TS23: upper leg mesenchyme Strong Regionally restricted euxassay_008604_07
TS23: inner ear Strong Regionally restricted euxassay_008604_07
TS23: stomach mesentery Strong Regionally restricted euxassay_008604_07
TS23: mesenchyme of metanephros Strong Regionally restricted euxassay_008604_07
TS23: urinary system mesenchyme Strong Regionally restricted euxassay_008604_07
TS23: telencephalon mantle layer Strong Regionally restricted euxassay_008604_07

Specimen euxassay_008604_08: embryonic day 14.5 (more )
Structure Level Pattern Image Note
TS23: basioccipital bone Strong Regionally restricted euxassay_008604_08
TS23: orbito-sphenoid Strong Regionally restricted euxassay_008604_08
TS23: Meckel's cartilage Strong Regionally restricted euxassay_008604_08
TS23: mandible Strong Regionally restricted euxassay_008604_08
TS23: maxilla Strong Regionally restricted euxassay_008604_08
TS23: vibrissa Strong Regionally restricted euxassay_008604_08
TS23: rib Strong Regionally restricted euxassay_008604_08
TS23: forelimb digit 4 phalanx Strong Regionally restricted euxassay_008604_08
TS23: forelimb digit 3 phalanx Strong Regionally restricted euxassay_008604_08
TS23: forelimb digit 2 phalanx Strong Regionally restricted euxassay_008604_08
TS23: forelimb digit 1 phalanx Strong Regionally restricted euxassay_008604_08
TS23: hindlimb digit 4 mesenchyme Strong Regionally restricted euxassay_008604_08
TS23: hindlimb digit 5 mesenchyme Strong Regionally restricted euxassay_008604_08
TS23: upper leg mesenchyme Strong Regionally restricted euxassay_008604_08
TS23: inner ear Strong Regionally restricted euxassay_008604_08
TS23: stomach mesentery Strong Regionally restricted euxassay_008604_08
TS23: urinary system mesenchyme Strong Regionally restricted euxassay_008604_08
TS23: mesenchyme of metanephros Strong Regionally restricted euxassay_008604_08
TS23: telencephalon mantle layer Moderate Regionally restricted euxassay_008604_08
TS23: choroid invagination Strong Regionally restricted euxassay_008604_08

Specimen euxassay_008604_09: embryonic day 14.5 (more )
Structure Level Pattern Image Note
TS23: orbito-sphenoid Strong Regionally restricted euxassay_008604_09
TS23: turbinate bone primordium Strong Regionally restricted euxassay_008604_09
TS23: Meckel's cartilage Strong Regionally restricted euxassay_008604_09
TS23: mandible Strong Regionally restricted euxassay_008604_09
TS23: maxilla Strong Regionally restricted euxassay_008604_09
TS23: vibrissa Strong Regionally restricted euxassay_008604_09
TS23: rib Strong Regionally restricted euxassay_008604_09
TS23: axial skeleton Strong Regionally restricted euxassay_008604_09
TS23: upper leg mesenchyme Strong Regionally restricted euxassay_008604_09
TS23: inner ear Strong Regionally restricted euxassay_008604_09
TS23: stomach mesentery Strong Regionally restricted euxassay_008604_09
TS23: urinary system mesenchyme Strong Regionally restricted euxassay_008604_09
TS23: mesenchyme of metanephros Strong Regionally restricted euxassay_008604_09
TS23: telencephalon mantle layer Strong Regionally restricted euxassay_008604_09
TS23: choroid invagination Strong Regionally restricted euxassay_008604_09

Specimen euxassay_008604_10: embryonic day 14.5 (more )
Structure Level Pattern Image Note
TS23: basioccipital bone Strong Regionally restricted euxassay_008604_10
TS23: orbito-sphenoid Strong Regionally restricted euxassay_008604_10
TS23: turbinate bone primordium Strong Regionally restricted euxassay_008604_10
TS23: Meckel's cartilage Strong Regionally restricted euxassay_008604_10
TS23: maxilla Strong Regionally restricted euxassay_008604_10
TS23: mandible Strong Regionally restricted euxassay_008604_10
TS23: vibrissa Strong Regionally restricted euxassay_008604_10
TS23: rib Strong Regionally restricted euxassay_008604_10
TS23: axial skeleton Strong Regionally restricted euxassay_008604_10
TS23: clavicle Strong Regionally restricted euxassay_008604_10
TS23: upper leg mesenchyme Strong Regionally restricted euxassay_008604_10
TS23: pelvic girdle skeleton Strong Regionally restricted euxassay_008604_10
TS23: inner ear Strong Regionally restricted euxassay_008604_10
TS23: stomach mesentery Strong Regionally restricted euxassay_008604_10
TS23: urinary system mesenchyme Strong Regionally restricted euxassay_008604_10
TS23: mesenchyme of metanephros Strong Regionally restricted euxassay_008604_10
TS23: telencephalon mantle layer Strong Regionally restricted euxassay_008604_10
TS23: olfactory cortex mantle layer Strong Regionally restricted euxassay_008604_10
TS23: choroid invagination Strong Regionally restricted euxassay_008604_10

Specimen euxassay_008604_11: embryonic day 14.5 (more )
Structure Level Pattern Image Note
TS23: basioccipital bone Strong Regionally restricted euxassay_008604_11
TS23: basisphenoid bone Strong Regionally restricted euxassay_008604_11
TS23: turbinate bone primordium Strong Regionally restricted euxassay_008604_11
TS23: Meckel's cartilage Strong Regionally restricted euxassay_008604_11
TS23: mandible Strong Regionally restricted euxassay_008604_11
TS23: maxilla Strong Regionally restricted euxassay_008604_11
TS23: vibrissa Strong Regionally restricted euxassay_008604_11
TS23: rib Strong Regionally restricted euxassay_008604_11
TS23: axial skeleton Strong Regionally restricted euxassay_008604_11
TS23: clavicle Strong Regionally restricted euxassay_008604_11
TS23: pelvic girdle skeleton Strong Regionally restricted euxassay_008604_11
TS23: inner ear Strong Regionally restricted euxassay_008604_11
TS23: hyoid Strong Regionally restricted euxassay_008604_11
TS23: stomach mesentery Strong Regionally restricted euxassay_008604_11
TS23: urinary system mesenchyme Strong Regionally restricted euxassay_008604_11
TS23: telencephalon mantle layer Strong Regionally restricted euxassay_008604_11
TS23: olfactory cortex mantle layer Strong Regionally restricted euxassay_008604_11
TS23: choroid invagination Strong Regionally restricted euxassay_008604_11

Specimen euxassay_008604_12: embryonic day 14.5 (more )
Structure Level Pattern Image Note
TS23: basioccipital bone Strong Regionally restricted euxassay_008604_12
TS23: basisphenoid bone Strong Regionally restricted euxassay_008604_12
TS23: turbinate bone primordium Strong Regionally restricted euxassay_008604_12
TS23: Meckel's cartilage Strong Regionally restricted euxassay_008604_12
TS23: mandible Strong Regionally restricted euxassay_008604_12
TS23: maxilla Strong Regionally restricted euxassay_008604_12
TS23: rib Strong Regionally restricted euxassay_008604_12
TS23: axial skeleton Strong Regionally restricted euxassay_008604_12
TS23: hyoid Strong Regionally restricted euxassay_008604_12
TS23: midgut mesentery Strong Regionally restricted euxassay_008604_12
TS23: jejunum mesentery Strong Regionally restricted euxassay_008604_12
TS23: duodenum caudal part mesentery Strong Regionally restricted euxassay_008604_12
TS23: stomach mesentery Strong Regionally restricted euxassay_008604_12
TS23: midgut loop mesentery Strong Regionally restricted euxassay_008604_12
TS23: telencephalon mantle layer Strong Regionally restricted euxassay_008604_12
TS23: olfactory cortex mantle layer Strong Regionally restricted euxassay_008604_12
TS23: choroid invagination Strong Regionally restricted euxassay_008604_12

Specimen euxassay_008604_13: embryonic day 14.5 (more )
Structure Level Pattern Image Note
TS23: basioccipital bone Strong Regionally restricted euxassay_008604_13
TS23: basisphenoid bone Strong Regionally restricted euxassay_008604_13
TS23: mandible Strong Regionally restricted euxassay_008604_13
TS23: Meckel's cartilage Strong Regionally restricted euxassay_008604_13
TS23: tongue Strong Regionally restricted euxassay_008604_13
TS23: rib Strong Regionally restricted euxassay_008604_13
TS23: axial skeleton Strong Regionally restricted euxassay_008604_13
TS23: hyoid Strong Regionally restricted euxassay_008604_13
TS23: midgut mesentery Strong Regionally restricted euxassay_008604_13
TS23: midgut loop mesentery Strong Regionally restricted euxassay_008604_13
TS23: jejunum mesentery Strong Regionally restricted euxassay_008604_13
TS23: duodenum caudal part mesentery Strong Regionally restricted euxassay_008604_13
TS23: axial skeleton tail region Strong Regionally restricted euxassay_008604_13
TS23: tail paraxial mesenchyme Strong Regionally restricted euxassay_008604_13
TS23: urinary system mesentery Strong Regionally restricted euxassay_008604_13
TS23: telencephalon mantle layer Strong Regionally restricted euxassay_008604_13
TS23: olfactory cortex mantle layer Strong Regionally restricted euxassay_008604_13
TS23: choroid invagination Strong Regionally restricted euxassay_008604_13

Specimen euxassay_008604_14: embryonic day 14.5 (more )
Structure Level Pattern Image Note
TS23: basioccipital bone Strong Regionally restricted euxassay_008604_14
TS23: basisphenoid bone Strong Regionally restricted euxassay_008604_14
TS23: naris Strong Regionally restricted euxassay_008604_14
TS23: Meckel's cartilage Strong Regionally restricted euxassay_008604_14
TS23: mandible Strong Regionally restricted euxassay_008604_14
TS23: maxilla Strong Regionally restricted euxassay_008604_14
TS23: tongue muscle Strong Regionally restricted euxassay_008604_14
TS23: axial skeleton Strong Regionally restricted euxassay_008604_14
TS23: rib Strong Regionally restricted euxassay_008604_14
TS23: hyoid Strong Regionally restricted euxassay_008604_14
TS23: thyroid cartilage Strong Regionally restricted euxassay_008604_14
TS23: arytenoid cartilage Strong Regionally restricted euxassay_008604_14
TS23: duodenum caudal part mesentery Strong Regionally restricted euxassay_008604_14
TS23: jejunum mesentery Strong Regionally restricted euxassay_008604_14
TS23: midgut loop mesentery Strong Regionally restricted euxassay_008604_14
TS23: midgut mesentery Strong Regionally restricted euxassay_008604_14
TS23: axial skeleton tail region Strong Regionally restricted euxassay_008604_14
TS23: tail paraxial mesenchyme Strong Regionally restricted euxassay_008604_14
TS23: urinary system mesentery Strong Regionally restricted euxassay_008604_14
TS23: telencephalon mantle layer Strong Regionally restricted euxassay_008604_14
TS23: olfactory cortex mantle layer Strong Regionally restricted euxassay_008604_14
TS23: diencephalon roof plate Strong Regionally restricted euxassay_008604_14

Specimen euxassay_008604_15: embryonic day 14.5 (more )
Structure Level Pattern Image Note
TS23: basioccipital bone Strong Regionally restricted euxassay_008604_15
TS23: basisphenoid bone Strong Regionally restricted euxassay_008604_15
TS23: naris Strong Regionally restricted euxassay_008604_15
TS23: Meckel's cartilage Strong Regionally restricted euxassay_008604_15
TS23: mandible Strong Regionally restricted euxassay_008604_15
TS23: maxilla Strong Regionally restricted euxassay_008604_15
TS23: tongue muscle Strong Regionally restricted euxassay_008604_15
TS23: axial skeleton Strong Regionally restricted euxassay_008604_15
TS23: rib Strong Regionally restricted euxassay_008604_15
TS23: hyoid Strong Regionally restricted euxassay_008604_15
TS23: thyroid cartilage Strong Regionally restricted euxassay_008604_15
TS23: arytenoid cartilage Strong Regionally restricted euxassay_008604_15
TS23: duodenum caudal part mesentery Strong Regionally restricted euxassay_008604_15
TS23: jejunum mesentery Strong Regionally restricted euxassay_008604_15
TS23: midgut loop mesentery Strong Regionally restricted euxassay_008604_15
TS23: midgut mesentery Strong Regionally restricted euxassay_008604_15
TS23: axial skeleton tail region Strong Regionally restricted euxassay_008604_15
TS23: tail paraxial mesenchyme Strong Regionally restricted euxassay_008604_15
TS23: urinary system mesentery Strong Regionally restricted euxassay_008604_15
TS23: diencephalon roof plate Strong Regionally restricted euxassay_008604_15

Specimen euxassay_008604_16: embryonic day 14.5 (more )
Structure Level Pattern Image Note
TS23: basioccipital bone Strong Regionally restricted euxassay_008604_16
TS23: basisphenoid bone Strong Regionally restricted euxassay_008604_16
TS23: naris Strong Regionally restricted euxassay_008604_16
TS23: Meckel's cartilage Strong Regionally restricted euxassay_008604_16
TS23: mandible Strong Regionally restricted euxassay_008604_16
TS23: maxilla Strong Regionally restricted euxassay_008604_16
TS23: tongue muscle Strong Regionally restricted euxassay_008604_16
TS23: axial skeleton Strong Regionally restricted euxassay_008604_16
TS23: rib Strong Regionally restricted euxassay_008604_16
TS23: hyoid Strong Regionally restricted euxassay_008604_16
TS23: duodenum caudal part mesentery Strong Regionally restricted euxassay_008604_16
TS23: jejunum mesentery Strong Regionally restricted euxassay_008604_16
TS23: midgut loop mesentery Strong Regionally restricted euxassay_008604_16
TS23: midgut mesentery Strong Regionally restricted euxassay_008604_16
TS23: axial skeleton tail region Strong Regionally restricted euxassay_008604_16
TS23: tail paraxial mesenchyme Strong Regionally restricted euxassay_008604_16
TS23: urinary system mesentery Strong Regionally restricted euxassay_008604_16
TS23: diencephalon roof plate Strong Regionally restricted euxassay_008604_16

Specimen euxassay_008604_17: embryonic day 14.5 (more )
Structure Level Pattern Image Note
TS23: basioccipital bone Strong Regionally restricted euxassay_008604_17
TS23: basisphenoid bone Strong Regionally restricted euxassay_008604_17
TS23: turbinate bone primordium Strong Regionally restricted euxassay_008604_17
TS23: Meckel's cartilage Strong Regionally restricted euxassay_008604_17
TS23: mandible Strong Regionally restricted euxassay_008604_17
TS23: maxilla Strong Regionally restricted euxassay_008604_17
TS23: tongue muscle Strong Regionally restricted euxassay_008604_17
TS23: axial skeleton Strong Regionally restricted euxassay_008604_17
TS23: rib Strong Regionally restricted euxassay_008604_17
TS23: hyoid Strong Regionally restricted euxassay_008604_17
TS23: duodenum caudal part mesentery Strong Regionally restricted euxassay_008604_17
TS23: jejunum mesentery Strong Regionally restricted euxassay_008604_17
TS23: midgut loop mesentery Strong Regionally restricted euxassay_008604_17
TS23: midgut mesentery Strong Regionally restricted euxassay_008604_17
TS23: axial skeleton tail region Strong Regionally restricted euxassay_008604_17
TS23: tail paraxial mesenchyme Strong Regionally restricted euxassay_008604_17
TS23: urinary system mesentery Strong Regionally restricted euxassay_008604_17
TS23: olfactory cortex mantle layer Strong Regionally restricted euxassay_008604_17
TS23: telencephalon mantle layer Strong Regionally restricted euxassay_008604_17
TS23: choroid invagination Strong Regionally restricted euxassay_008604_17

Specimen euxassay_008604_18: embryonic day 14.5 (more )
Structure Level Pattern Image Note
TS23: basioccipital bone Strong Regionally restricted euxassay_008604_18
TS23: basisphenoid bone Strong Regionally restricted euxassay_008604_18
TS23: turbinate bone primordium Strong Regionally restricted euxassay_008604_18
TS23: naris Strong Regionally restricted euxassay_008604_18
TS23: mandible Strong Regionally restricted euxassay_008604_18
TS23: Meckel's cartilage Strong Regionally restricted euxassay_008604_18
TS23: tongue muscle Strong Regionally restricted euxassay_008604_18
TS23: axial skeleton Strong Regionally restricted euxassay_008604_18
TS23: rib Strong Regionally restricted euxassay_008604_18
TS23: clavicle Strong Regionally restricted euxassay_008604_18
TS23: inner ear Strong Regionally restricted euxassay_008604_18
TS23: hyoid Strong Regionally restricted euxassay_008604_18
TS23: duodenum caudal part mesentery Strong Regionally restricted euxassay_008604_18
TS23: jejunum mesentery Strong Regionally restricted euxassay_008604_18
TS23: midgut loop mesentery Strong Regionally restricted euxassay_008604_18
TS23: midgut mesentery Strong Regionally restricted euxassay_008604_18
TS23: axial skeleton tail region Strong Regionally restricted euxassay_008604_18
TS23: tail paraxial mesenchyme Strong Regionally restricted euxassay_008604_18
TS23: telencephalon mantle layer Strong Regionally restricted euxassay_008604_18
TS23: olfactory cortex mantle layer Strong Regionally restricted euxassay_008604_18
TS23: choroid invagination Strong Regionally restricted euxassay_008604_18

Specimen euxassay_008604_19: embryonic day 14.5 (more )
Structure Level Pattern Image Note
TS23: basioccipital bone Strong Regionally restricted euxassay_008604_19
TS23: naris Strong Regionally restricted euxassay_008604_19
TS23: turbinate bone primordium Strong Regionally restricted euxassay_008604_19
TS23: Meckel's cartilage Strong Regionally restricted euxassay_008604_19
TS23: mandible Strong Regionally restricted euxassay_008604_19
TS23: maxilla Strong Regionally restricted euxassay_008604_19
TS23: tongue muscle Strong Regionally restricted euxassay_008604_19
TS23: rib Strong Regionally restricted euxassay_008604_19
TS23: axial skeleton Strong Regionally restricted euxassay_008604_19
TS23: clavicle Strong Regionally restricted euxassay_008604_19
TS23: pelvic girdle skeleton Strong Regionally restricted euxassay_008604_19
TS23: inner ear Strong Regionally restricted euxassay_008604_19
TS23: duodenum caudal part mesentery Strong Regionally restricted euxassay_008604_19
TS23: jejunum mesentery Strong Regionally restricted euxassay_008604_19
TS23: midgut loop mesentery Strong Regionally restricted euxassay_008604_19
TS23: midgut mesentery Strong Regionally restricted euxassay_008604_19
TS23: urinary system mesenchyme Strong Regionally restricted euxassay_008604_19
TS23: mesenchyme of metanephros Strong Regionally restricted euxassay_008604_19
TS23: olfactory cortex mantle layer Strong Regionally restricted euxassay_008604_19
TS23: telencephalon mantle layer Strong Regionally restricted euxassay_008604_19
TS23: choroid invagination Strong Regionally restricted euxassay_008604_19

Specimen euxassay_008604_20: embryonic day 14.5 (more )
Structure Level Pattern Image Note
TS23: basioccipital bone Strong Regionally restricted euxassay_008604_20
TS23: orbito-sphenoid Strong Regionally restricted euxassay_008604_20
TS23: naris Strong Regionally restricted euxassay_008604_20
TS23: turbinate bone primordium Strong Regionally restricted euxassay_008604_20
TS23: Meckel's cartilage Strong Regionally restricted euxassay_008604_20
TS23: mandible Strong Regionally restricted euxassay_008604_20
TS23: maxilla Strong Regionally restricted euxassay_008604_20
TS23: rib Strong Regionally restricted euxassay_008604_20
TS23: clavicle Strong Regionally restricted euxassay_008604_20
TS23: pelvic girdle skeleton Strong Regionally restricted euxassay_008604_20
TS23: inner ear Strong Regionally restricted euxassay_008604_20
TS23: duodenum caudal part mesentery Strong Regionally restricted euxassay_008604_20
TS23: jejunum mesentery Strong Regionally restricted euxassay_008604_20
TS23: midgut mesentery Strong Regionally restricted euxassay_008604_20
TS23: urinary system mesenchyme Strong Regionally restricted euxassay_008604_20
TS23: mesenchyme of metanephros Strong Regionally restricted euxassay_008604_20
TS23: telencephalon mantle layer Strong Regionally restricted euxassay_008604_20
TS23: olfactory cortex mantle layer Strong Regionally restricted euxassay_008604_20
TS23: choroid invagination Strong Regionally restricted euxassay_008604_20

Specimen euxassay_008604_21: embryonic day 14.5 (more )
Structure Level Pattern Image Note
TS23: basioccipital bone Strong Regionally restricted euxassay_008604_21
TS23: orbito-sphenoid Strong Regionally restricted euxassay_008604_21
TS23: turbinate bone primordium Strong Regionally restricted euxassay_008604_21
TS23: Meckel's cartilage Strong Regionally restricted euxassay_008604_21
TS23: mandible Strong Regionally restricted euxassay_008604_21
TS23: maxilla Strong Regionally restricted euxassay_008604_21
TS23: rib Strong Regionally restricted euxassay_008604_21
TS23: upper leg mesenchyme Strong Regionally restricted euxassay_008604_21
TS23: inner ear Strong Regionally restricted euxassay_008604_21
TS23: midgut mesentery Strong Regionally restricted euxassay_008604_21
TS23: jejunum mesentery Strong Regionally restricted euxassay_008604_21
TS23: duodenum caudal part mesentery Strong Regionally restricted euxassay_008604_21
TS23: urinary system mesenchyme Strong Regionally restricted euxassay_008604_21
TS23: mesenchyme of metanephros Strong Regionally restricted euxassay_008604_21
TS23: telencephalon mantle layer Strong Regionally restricted euxassay_008604_21
TS23: olfactory cortex mantle layer Strong Regionally restricted euxassay_008604_21
TS23: choroid invagination Strong Regionally restricted euxassay_008604_21

Specimen euxassay_008604_22: embryonic day 14.5 (more )
Structure Level Pattern Image Note
TS23: basioccipital bone Strong Regionally restricted euxassay_008604_22
TS23: orbito-sphenoid Strong Regionally restricted euxassay_008604_22
TS23: turbinate bone primordium Strong Regionally restricted euxassay_008604_22
TS23: Meckel's cartilage Strong Regionally restricted euxassay_008604_22
TS23: mandible Strong Regionally restricted euxassay_008604_22
TS23: maxilla Strong Regionally restricted euxassay_008604_22
TS23: rib Strong Regionally restricted euxassay_008604_22
TS23: forelimb digit 1 phalanx Strong Regionally restricted euxassay_008604_22
TS23: humerus Strong Regionally restricted euxassay_008604_22
TS23: upper leg mesenchyme Strong Regionally restricted euxassay_008604_22
TS23: midgut mesentery Strong Regionally restricted euxassay_008604_22
TS23: urinary system mesenchyme Strong Regionally restricted euxassay_008604_22
TS23: telencephalon mantle layer Strong Regionally restricted euxassay_008604_22

Specimen euxassay_008604_23: embryonic day 14.5 (more )
Structure Level Pattern Image Note
TS23: orbito-sphenoid Strong Regionally restricted euxassay_008604_23
TS23: basioccipital bone Strong Regionally restricted euxassay_008604_23
TS23: Meckel's cartilage Strong Regionally restricted euxassay_008604_23
TS23: mandible Strong Regionally restricted euxassay_008604_23
TS23: rib Strong Regionally restricted euxassay_008604_23
TS23: scapula Strong Regionally restricted euxassay_008604_23
TS23: forelimb digit 2 phalanx Strong Regionally restricted euxassay_008604_23
TS23: forelimb digit 1 phalanx Strong Regionally restricted euxassay_008604_23
TS23: humerus Strong Regionally restricted euxassay_008604_23
TS23: upper leg mesenchyme Strong Regionally restricted euxassay_008604_23
TS23: hindlimb digit 5 mesenchyme Strong Regionally restricted euxassay_008604_23
TS23: hindlimb digit 4 mesenchyme Strong Regionally restricted euxassay_008604_23
TS23: hindlimb digit 3 mesenchyme Strong Regionally restricted euxassay_008604_23
TS23: urinary system mesenchyme Strong Regionally restricted euxassay_008604_23
TS23: telencephalon mantle layer Strong Regionally restricted euxassay_008604_23

Specimen euxassay_008604_24: embryonic day 14.5 (more )
Structure Level Pattern Image Note
TS23: basioccipital bone Strong Regionally restricted euxassay_008604_24
TS23: orbito-sphenoid Strong Regionally restricted euxassay_008604_24
TS23: Meckel's cartilage Strong Regionally restricted euxassay_008604_24
TS23: vibrissa Strong Regionally restricted euxassay_008604_24
TS23: rib Strong Regionally restricted euxassay_008604_24
TS23: forelimb digit 3 phalanx Strong Regionally restricted euxassay_008604_24
TS23: forelimb digit 2 phalanx Strong Regionally restricted euxassay_008604_24
TS23: forelimb digit 1 phalanx Strong Regionally restricted euxassay_008604_24
TS23: humerus Strong Regionally restricted euxassay_008604_24
TS23: scapula Strong Regionally restricted euxassay_008604_24
TS23: hindlimb digit 2 mesenchyme Strong Regionally restricted euxassay_008604_24
TS23: hindlimb digit 1 mesenchyme Strong Regionally restricted euxassay_008604_24
TS23: hindlimb digit 3 mesenchyme Strong Regionally restricted euxassay_008604_24
TS23: upper leg mesenchyme Strong Regionally restricted euxassay_008604_24
TS23: urinary system mesenchyme Strong Regionally restricted euxassay_008604_24
TS23: telencephalon mantle layer Strong Regionally restricted euxassay_008604_24


Contributing Projects:
Mouse Genome Database (MGD), Gene Expression Database (GXD), Mouse Models of Human Cancer database (MMHCdb) (formerly Mouse Tumor Biology (MTB)), Gene Ontology (GO)
Citing These Resources
Funding Information
Warranty Disclaimer, Privacy Notice, Licensing, & Copyright
Send questions and comments to User Support.
last database update
01/20/2026
MGI 6.24
The Jackson Laboratory