About   Help   FAQ
Gene Expression Data
Assay Details
Assay
Reference: J:153498 Diez-Roux G, et al., A high-resolution anatomical atlas of the transcriptome in the mouse embryo. PLoS Biol. 2011;9(1):e1000582
Assay type: RNA in situ
MGI Accession ID: MGI:4827305
Gene symbol: Pnpo
Gene name: pyridoxine 5'-phosphate oxidase
Probe: T30931
Probe preparation: Antisense labelled with digoxigenin RNA
Visualized with: Alkaline phosphatase
Assay notes: Cryosections of fresh frozen material were fixed in 4% paraformaldehyde for 20 min. before further processing. A tyramide-biotin/streptavidin amplification step was included in the in situ hybridization procedure.
Results
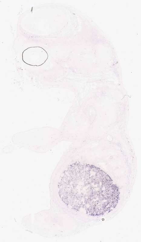
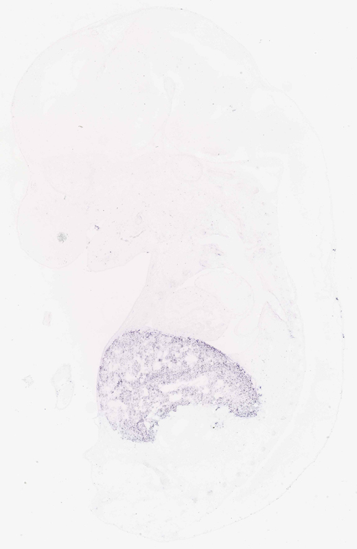
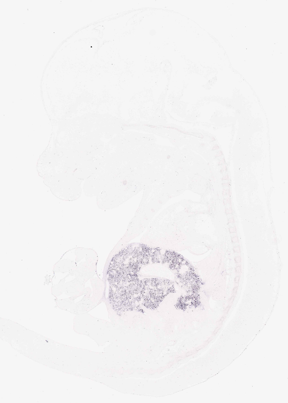
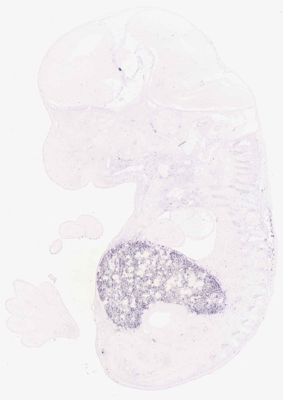
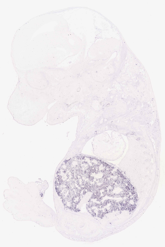
Specimen euxassay_009927_01: embryonic day 14.5 (more )
Structure Level Pattern Image Note
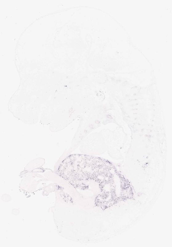
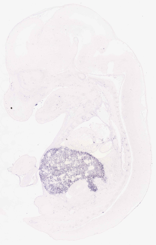
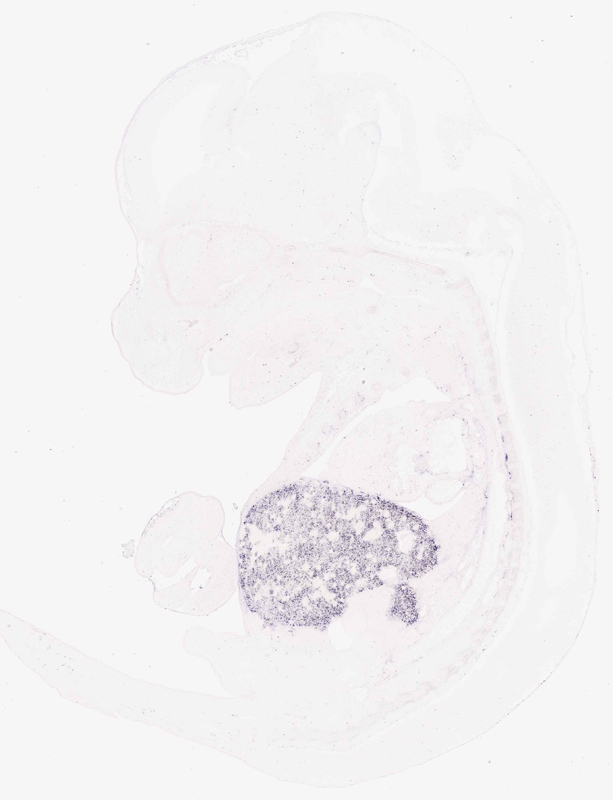
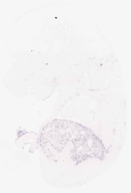
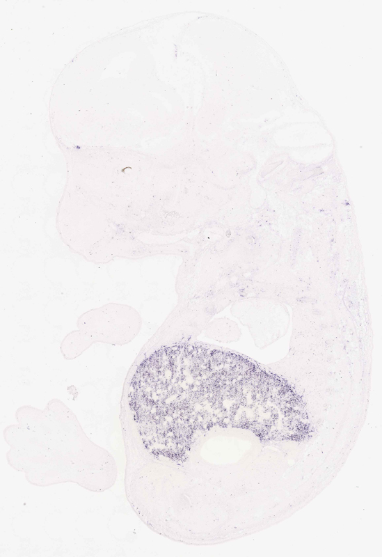
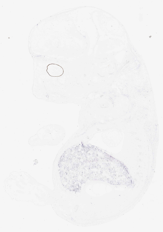
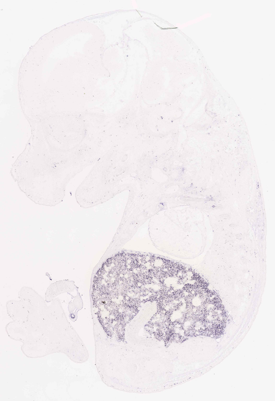
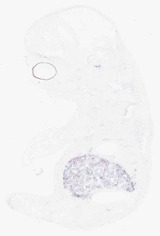
TS23: liver Strong Regionally restricted euxassay_009927_01
TS23: embryo mesenchyme Moderate Single cells euxassay_009927_01

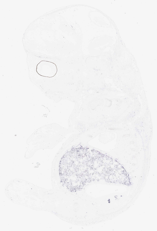
Specimen euxassay_009927_02: embryonic day 14.5 (more )
Structure Level Pattern Image Note
TS23: liver Strong Regionally restricted euxassay_009927_02
TS23: embryo mesenchyme Moderate Single cells euxassay_009927_02

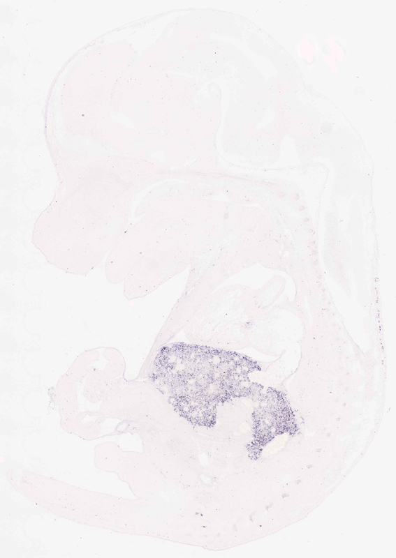
Specimen euxassay_009927_03: embryonic day 14.5 (more )
Structure Level Pattern Image Note
TS23: liver Strong Regionally restricted euxassay_009927_03
TS23: embryo mesenchyme Moderate Single cells euxassay_009927_03

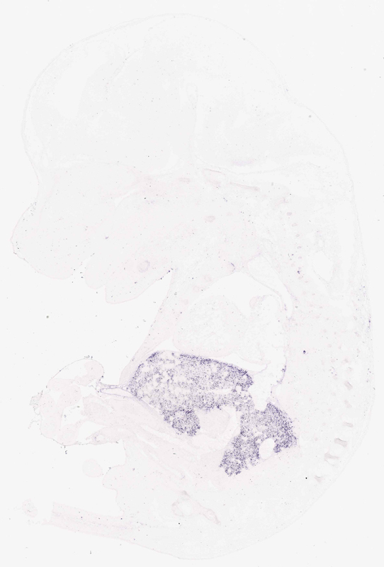
Specimen euxassay_009927_04: embryonic day 14.5 (more )
Structure Level Pattern Image Note
TS23: liver Strong Regionally restricted euxassay_009927_04
TS23: embryo mesenchyme Moderate Single cells euxassay_009927_04

Specimen euxassay_009927_05: embryonic day 14.5 (more )
Structure Level Pattern Image Note
TS23: liver Strong Regionally restricted euxassay_009927_05
TS23: embryo mesenchyme Moderate Single cells euxassay_009927_05

Specimen euxassay_009927_06: embryonic day 14.5 (more )
Structure Level Pattern Image Note
TS23: liver Strong Regionally restricted euxassay_009927_06
TS23: embryo mesenchyme Moderate Single cells euxassay_009927_06

Specimen euxassay_009927_07: embryonic day 14.5 (more )
Structure Level Pattern Image Note
TS23: liver Strong Regionally restricted euxassay_009927_07
TS23: embryo mesenchyme Moderate Single cells euxassay_009927_07

Specimen euxassay_009927_08: embryonic day 14.5 (more )
Structure Level Pattern Image Note
TS23: liver Strong Regionally restricted euxassay_009927_08
TS23: embryo mesenchyme Moderate Single cells euxassay_009927_08

Specimen euxassay_009927_09: embryonic day 14.5 (more )
Structure Level Pattern Image Note
TS23: liver Strong Regionally restricted euxassay_009927_09
TS23: embryo mesenchyme Moderate Single cells euxassay_009927_09

Specimen euxassay_009927_10: embryonic day 14.5 (more )
Structure Level Pattern Image Note
TS23: liver Strong Regionally restricted euxassay_009927_10
TS23: embryo mesenchyme Moderate Single cells euxassay_009927_10

Specimen euxassay_009927_11: embryonic day 14.5 (more )
Structure Level Pattern Image Note
TS23: liver Strong Regionally restricted euxassay_009927_11
TS23: embryo mesenchyme Moderate Single cells euxassay_009927_11

Specimen euxassay_009927_12: embryonic day 14.5 (more )
Structure Level Pattern Image Note
TS23: liver Strong Regionally restricted euxassay_009927_12
TS23: embryo mesenchyme Moderate Single cells euxassay_009927_12

Specimen euxassay_009927_13: embryonic day 14.5 (more )
Structure Level Pattern Image Note
TS23: liver Strong Regionally restricted euxassay_009927_13
TS23: embryo mesenchyme Moderate Single cells euxassay_009927_13

Specimen euxassay_009927_14: embryonic day 14.5 (more )
Structure Level Pattern Image Note
TS23: liver Strong Regionally restricted euxassay_009927_14
TS23: embryo mesenchyme Moderate Single cells euxassay_009927_14

Specimen euxassay_009927_15: embryonic day 14.5 (more )
Structure Level Pattern Image Note
TS23: liver Strong Regionally restricted euxassay_009927_15
TS23: embryo mesenchyme Moderate Single cells euxassay_009927_15

Specimen euxassay_009927_16: embryonic day 14.5 (more )
Structure Level Pattern Image Note
TS23: liver Strong Regionally restricted euxassay_009927_16
TS23: embryo mesenchyme Moderate Single cells euxassay_009927_16

Specimen euxassay_009927_17: embryonic day 14.5 (more )
Structure Level Pattern Image Note
TS23: liver Strong Regionally restricted euxassay_009927_17
TS23: embryo mesenchyme Moderate Single cells euxassay_009927_17

Specimen euxassay_009927_18: embryonic day 14.5 (more )
Structure Level Pattern Image Note
TS23: liver Strong Regionally restricted euxassay_009927_18
TS23: embryo mesenchyme Moderate Single cells euxassay_009927_18

Specimen euxassay_009927_19: embryonic day 14.5 (more )
Structure Level Pattern Image Note
TS23: liver Strong Regionally restricted euxassay_009927_19
TS23: embryo mesenchyme Moderate Single cells euxassay_009927_19

Specimen euxassay_009927_20: embryonic day 14.5 (more )
Structure Level Pattern Image Note
TS23: liver Strong Regionally restricted euxassay_009927_20
TS23: embryo mesenchyme Moderate Single cells euxassay_009927_20

Specimen euxassay_009927_21: embryonic day 14.5 (more )
Structure Level Pattern Image Note
TS23: liver Strong Regionally restricted euxassay_009927_21
TS23: embryo mesenchyme Moderate Single cells euxassay_009927_21

Specimen euxassay_009927_22: embryonic day 14.5 (more )
Structure Level Pattern Image Note
TS23: liver Strong Regionally restricted euxassay_009927_22
TS23: embryo mesenchyme Moderate Single cells euxassay_009927_22

Specimen euxassay_009927_23: embryonic day 14.5 (more )
Structure Level Pattern Image Note
TS23: liver Strong Regionally restricted euxassay_009927_23
TS23: embryo mesenchyme Moderate Single cells euxassay_009927_23


Contributing Projects:
Mouse Genome Database (MGD), Gene Expression Database (GXD), Mouse Models of Human Cancer database (MMHCdb) (formerly Mouse Tumor Biology (MTB)), Gene Ontology (GO)
Citing These Resources
Funding Information
Warranty Disclaimer, Privacy Notice, Licensing, & Copyright
Send questions and comments to User Support.
last database update
12/30/2025
MGI 6.24
The Jackson Laboratory