About   Help   FAQ
Gene Expression Data
Assay Details
Assay
Reference: J:153498 Diez-Roux G, et al., A high-resolution anatomical atlas of the transcriptome in the mouse embryo. PLoS Biol. 2011;9(1):e1000582
Assay type: RNA in situ
MGI Accession ID: MGI:4827278
Gene symbol: Plod1
Gene name: procollagen-lysine, 2-oxoglutarate 5-dioxygenase 1
Probe: IMAGE clone 1122946
Probe preparation: Antisense labelled with digoxigenin RNA
Visualized with: Alkaline phosphatase
Assay notes: Cryosections of fresh frozen material were fixed in 4% paraformaldehyde for 20 min. before further processing. A tyramide-biotin/streptavidin amplification step was included in the in situ hybridization procedure.
Results
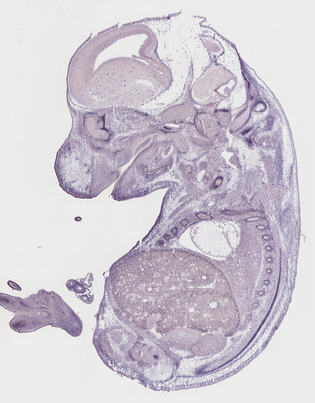
Specimen euxassay_002758_02: embryonic day 14.5 (more )
Structure Level Pattern Image Note
TS23: rib Moderate Regionally restricted euxassay_002758_02
TS23: hand mesenchyme Weak Regionally restricted euxassay_002758_02
TS23: foot mesenchyme Weak Regionally restricted euxassay_002758_02

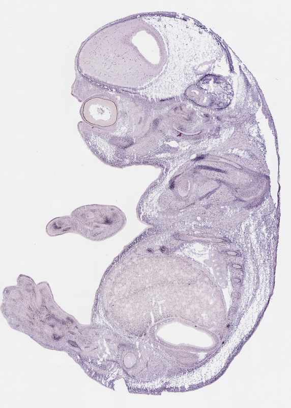
Specimen euxassay_002758_03: embryonic day 14.5 (more )
Structure Level Pattern Image Note
TS23: rib Moderate Regionally restricted euxassay_002758_03
TS23: foot mesenchyme Weak Regionally restricted euxassay_002758_03
TS23: hand mesenchyme Weak Regionally restricted euxassay_002758_03

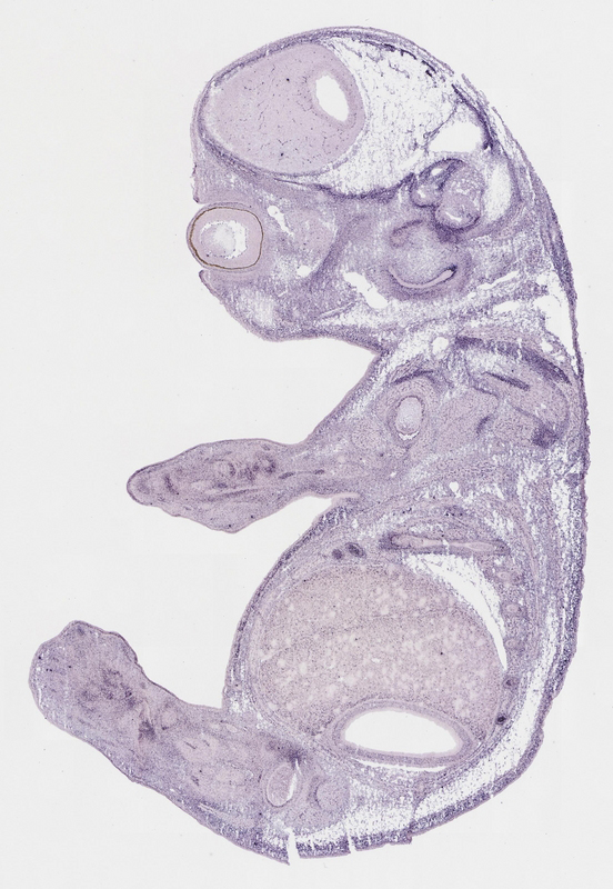
Specimen euxassay_002758_04: embryonic day 14.5 (more )
Structure Level Pattern Image Note
TS23: rib Moderate Regionally restricted euxassay_002758_04
TS23: humerus Moderate Regionally restricted euxassay_002758_04
TS23: foot mesenchyme Weak Regionally restricted euxassay_002758_04
TS23: otic capsule Moderate Regionally restricted euxassay_002758_04

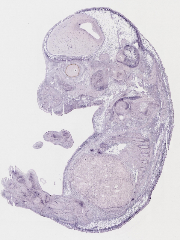
Specimen euxassay_002758_05: embryonic day 14.5 (more )
Structure Level Pattern Image Note
TS23: rib Moderate Regionally restricted euxassay_002758_05
TS23: humerus Moderate Regionally restricted euxassay_002758_05
TS23: otic capsule Moderate Regionally restricted euxassay_002758_05

Specimen euxassay_002758_06: embryonic day 14.5 (more )
Structure Level Pattern Image Note
TS23: rib Moderate Regionally restricted euxassay_002758_06
TS23: humerus Moderate Regionally restricted euxassay_002758_06
TS23: femur Moderate Regionally restricted euxassay_002758_06
TS23: otic capsule Moderate Regionally restricted euxassay_002758_06

Specimen euxassay_002758_07: embryonic day 14.5 (more )
Structure Level Pattern Image Note
TS23: rib Moderate Regionally restricted euxassay_002758_07
TS23: femur Moderate Regionally restricted euxassay_002758_07
TS23: otic capsule Moderate Regionally restricted euxassay_002758_07

Specimen euxassay_002758_08: embryonic day 14.5 (more )
Structure Level Pattern Image Note
TS23: rib Moderate Regionally restricted euxassay_002758_08
TS23: femur Moderate Regionally restricted euxassay_002758_08
TS23: turbinate bone primordium Moderate Regionally restricted euxassay_002758_08
TS23: clavicle Moderate Regionally restricted euxassay_002758_08
TS23: otic capsule Moderate Regionally restricted euxassay_002758_08

Specimen euxassay_002758_09: embryonic day 14.5 (more )
Structure Level Pattern Image Note
TS23: rib Moderate Regionally restricted euxassay_002758_09
TS23: turbinate bone primordium Moderate Regionally restricted euxassay_002758_09
TS23: otic capsule Moderate Regionally restricted euxassay_002758_09

Specimen euxassay_002758_10: embryonic day 14.5 (more )
Structure Level Pattern Image Note
TS23: rib Moderate Regionally restricted euxassay_002758_10
TS23: turbinate bone primordium Moderate Regionally restricted euxassay_002758_10
TS23: clavicle Moderate Regionally restricted euxassay_002758_10
TS23: otic capsule Moderate Regionally restricted euxassay_002758_10

Specimen euxassay_002758_11: embryonic day 14.5 (more )
Structure Level Pattern Image Note
TS23: rib Moderate Regionally restricted euxassay_002758_11
TS23: turbinate bone primordium Strong Regionally restricted euxassay_002758_11
TS23: clavicle Moderate Regionally restricted euxassay_002758_11
TS23: axial skeleton Strong Regionally restricted euxassay_002758_11
TS23: axial skeleton lumbar region Strong Regionally restricted euxassay_002758_11
TS23: axial skeleton sacral region Strong Regionally restricted euxassay_002758_11
TS23: otic capsule Moderate Regionally restricted euxassay_002758_11

Specimen euxassay_002758_12: embryonic day 14.5 (more )
Structure Level Pattern Image Note
TS23: rib Moderate Regionally restricted euxassay_002758_12
TS23: turbinate bone primordium Strong Regionally restricted euxassay_002758_12
TS23: axial skeleton lumbar region Strong Regionally restricted euxassay_002758_12
TS23: axial skeleton sacral region Strong Regionally restricted euxassay_002758_12
TS23: axial skeleton thoracic region Strong Regionally restricted euxassay_002758_12

Specimen euxassay_002758_13: embryonic day 14.5 (more )
Structure Level Pattern Image Note
TS23: rib Moderate Regionally restricted euxassay_002758_13
TS23: nasal septum Strong Regionally restricted euxassay_002758_13
TS23: thoracic intervertebral disc Strong Regionally restricted euxassay_002758_13
TS23: axial skeleton sacral region Strong Regionally restricted euxassay_002758_13
TS23: lumbar intervertebral disc Strong Regionally restricted euxassay_002758_13
TS23: cervical intervertebral disc Strong Regionally restricted euxassay_002758_13
TS23: axial skeleton tail region Strong Regionally restricted euxassay_002758_13

Specimen euxassay_002758_14: embryonic day 14.5 (more )
Structure Level Pattern Image Note
TS23: rib Moderate Regionally restricted euxassay_002758_14
TS23: nasal septum Strong Regionally restricted euxassay_002758_14
TS23: axial skeleton tail region Strong Regionally restricted euxassay_002758_14
TS23: axial skeleton sacral region Strong Regionally restricted euxassay_002758_14
TS23: thoracic intervertebral disc Strong Regionally restricted euxassay_002758_14
TS23: lumbar intervertebral disc Strong Regionally restricted euxassay_002758_14
TS23: cervical intervertebral disc Strong Regionally restricted euxassay_002758_14
TS23: trachea Moderate Regionally restricted euxassay_002758_14

Specimen euxassay_002758_15: embryonic day 14.5 (more )
Structure Level Pattern Image Note
TS23: rib Moderate Regionally restricted euxassay_002758_15
TS23: nasal septum Strong Regionally restricted euxassay_002758_15
TS23: thoracic intervertebral disc Strong Regionally restricted euxassay_002758_15
TS23: axial skeleton sacral region Strong Regionally restricted euxassay_002758_15
TS23: lumbar intervertebral disc Strong Regionally restricted euxassay_002758_15
TS23: cervical intervertebral disc Strong Regionally restricted euxassay_002758_15
TS23: trachea Moderate Regionally restricted euxassay_002758_15

Specimen euxassay_002758_16: embryonic day 14.5 (more )
Structure Level Pattern Image Note
TS23: rib Moderate Regionally restricted euxassay_002758_16
TS23: nasal septum Strong Regionally restricted euxassay_002758_16
TS23: cervical intervertebral disc Strong Regionally restricted euxassay_002758_16
TS23: lumbar intervertebral disc Strong Regionally restricted euxassay_002758_16
TS23: sacral vertebral cartilage condensation Strong Regionally restricted euxassay_002758_16
TS23: thoracic intervertebral disc Strong Regionally restricted euxassay_002758_16

Specimen euxassay_002758_17: embryonic day 14.5 (more )
Structure Level Pattern Image Note
TS23: rib Moderate Regionally restricted euxassay_002758_17
TS23: nasal septum Strong Regionally restricted euxassay_002758_17
TS23: cervical intervertebral disc Strong Regionally restricted euxassay_002758_17
TS23: thoracic intervertebral disc Strong Regionally restricted euxassay_002758_17

Specimen euxassay_002758_18: embryonic day 14.5 (more )
Structure Level Pattern Image Note
TS23: rib Moderate Regionally restricted euxassay_002758_18
TS23: femur Moderate Regionally restricted euxassay_002758_18
TS23: nasal septum Strong Regionally restricted euxassay_002758_18
TS23: turbinate bone primordium Strong Regionally restricted euxassay_002758_18
TS23: clavicle Moderate Regionally restricted euxassay_002758_18
TS23: otic capsule Moderate Regionally restricted euxassay_002758_18

Specimen euxassay_002758_19: embryonic day 14.5 (more )
Structure Level Pattern Image Note
TS23: rib Moderate Regionally restricted euxassay_002758_19
TS23: femur Moderate Regionally restricted euxassay_002758_19
TS23: turbinate bone primordium Strong Regionally restricted euxassay_002758_19
TS23: clavicle Moderate Regionally restricted euxassay_002758_19
TS23: otic capsule Moderate Regionally restricted euxassay_002758_19

Specimen euxassay_002758_20: embryonic day 14.5 (more )
Structure Level Pattern Image Note
TS23: rib Moderate Regionally restricted euxassay_002758_20
TS23: femur Moderate Regionally restricted euxassay_002758_20
TS23: turbinate bone primordium Strong Regionally restricted euxassay_002758_20
TS23: otic capsule Moderate Regionally restricted euxassay_002758_20

Specimen euxassay_002758_21: embryonic day 14.5 (more )
Structure Level Pattern Image Note
TS23: rib Moderate Regionally restricted euxassay_002758_21
TS23: turbinate bone primordium Strong Regionally restricted euxassay_002758_21
TS23: otic capsule Moderate Regionally restricted euxassay_002758_21

Specimen euxassay_002758_22: embryonic day 14.5 (more )
Structure Level Pattern Image Note
TS23: rib Moderate Regionally restricted euxassay_002758_22
TS23: humerus Moderate Regionally restricted euxassay_002758_22
TS23: foot mesenchyme Weak Regionally restricted euxassay_002758_22
TS23: otic capsule Moderate Regionally restricted euxassay_002758_22

Specimen euxassay_002758_23: embryonic day 14.5 (more )
Structure Level Pattern Image Note
TS23: rib Moderate Regionally restricted euxassay_002758_23
TS23: humerus Moderate Regionally restricted euxassay_002758_23
TS23: foot mesenchyme Weak Regionally restricted euxassay_002758_23
TS23: otic capsule Moderate Regionally restricted euxassay_002758_23

Specimen euxassay_002758_24: embryonic day 14.5 (more )
Structure Level Pattern Image Note
TS23: rib Moderate Regionally restricted euxassay_002758_24
TS23: humerus Moderate Regionally restricted euxassay_002758_24
TS23: foot mesenchyme Weak Regionally restricted euxassay_002758_24
TS23: otic capsule Moderate Regionally restricted euxassay_002758_24


Contributing Projects:
Mouse Genome Database (MGD), Gene Expression Database (GXD), Mouse Models of Human Cancer database (MMHCdb) (formerly Mouse Tumor Biology (MTB)), Gene Ontology (GO)
Citing These Resources
Funding Information
Warranty Disclaimer, Privacy Notice, Licensing, & Copyright
Send questions and comments to User Support.
last database update
12/30/2025
MGI 6.24
The Jackson Laboratory