About   Help   FAQ
Gene Expression Data
Assay Details
Assay
Reference: J:153498 Diez-Roux G, et al., A high-resolution anatomical atlas of the transcriptome in the mouse embryo. PLoS Biol. 2011;9(1):e1000582
Assay type: RNA in situ
MGI Accession ID: MGI:4827277
Gene symbol: Pln
Gene name: phospholamban
Probe: MGC clone 74215
Probe preparation: Antisense labelled with digoxigenin RNA
Visualized with: Alkaline phosphatase
Assay notes: Cryosections of fresh frozen material were fixed in 4% paraformaldehyde for 20 min. before further processing. A tyramide-biotin/streptavidin amplification step was included in the in situ hybridization procedure.
Results
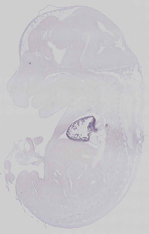
Specimen euxassay_005434_06: embryonic day 14.5 (more )
Structure Level Pattern Image Note
TS23: heart ventricle Strong Uniform euxassay_005434_06

Specimen euxassay_005434_07: embryonic day 14.5 (more )
Structure Level Pattern Image Note
TS23: heart ventricle Strong Uniform euxassay_005434_07

Specimen euxassay_005434_08: embryonic day 14.5 (more )
Structure Level Pattern Image Note
TS23: heart ventricle Strong Uniform euxassay_005434_08

Specimen euxassay_005434_09: embryonic day 14.5 (more )
Structure Level Pattern Image Note
TS23: heart ventricle Strong Uniform euxassay_005434_09

Specimen euxassay_005434_10: embryonic day 14.5 (more )
Structure Level Pattern Image Note
TS23: heart ventricle Strong Uniform euxassay_005434_10

Specimen euxassay_005434_11: embryonic day 14.5 (more )
Structure Level Pattern Image Note
TS23: heart ventricle Strong Uniform euxassay_005434_11

Specimen euxassay_005434_12: embryonic day 14.5 (more )
Structure Level Pattern Image Note
TS23: heart ventricle Strong Uniform euxassay_005434_12

Specimen euxassay_005434_13: embryonic day 14.5 (more )
Structure Level Pattern Image Note
TS23: heart ventricle Strong Uniform euxassay_005434_13

Specimen euxassay_005434_14: embryonic day 14.5 (more )
Structure Level Pattern Image Note
TS23: heart ventricle Strong Uniform euxassay_005434_14

Specimen euxassay_005434_15: embryonic day 14.5 (more )
Structure Level Pattern Image Note
TS23: heart ventricle Strong Uniform euxassay_005434_15

Specimen euxassay_005434_16: embryonic day 14.5 (more )
Structure Level Pattern Image Note
TS23: heart ventricle Strong Uniform euxassay_005434_16

Specimen euxassay_005434_17: embryonic day 14.5 (more )
Structure Level Pattern Image Note
TS23: heart ventricle Strong Uniform euxassay_005434_17

Specimen euxassay_005434_18: embryonic day 14.5 (more )
Structure Level Pattern Image Note
TS23: heart ventricle Strong Uniform euxassay_005434_18


Contributing Projects:
Mouse Genome Database (MGD), Gene Expression Database (GXD), Mouse Models of Human Cancer database (MMHCdb) (formerly Mouse Tumor Biology (MTB)), Gene Ontology (GO)
Citing These Resources
Funding Information
Warranty Disclaimer, Privacy Notice, Licensing, & Copyright
Send questions and comments to User Support.
last database update
12/30/2025
MGI 6.24
The Jackson Laboratory