About   Help   FAQ
Gene Expression Data
Assay Details
Assay
Reference: J:153498 Diez-Roux G, et al., A high-resolution anatomical atlas of the transcriptome in the mouse embryo. PLoS Biol. 2011;9(1):e1000582
Assay type: RNA in situ
MGI Accession ID: MGI:4827275
Gene symbol: Plk4
Gene name: polo like kinase 4
Probe: MGC clone 30237
Probe preparation: Antisense labelled with digoxigenin RNA
Visualized with: Alkaline phosphatase
Assay notes: Cryosections of fresh frozen material were fixed in 4% paraformaldehyde for 20 min. before further processing. A tyramide-biotin/streptavidin amplification step was included in the in situ hybridization procedure.
Results
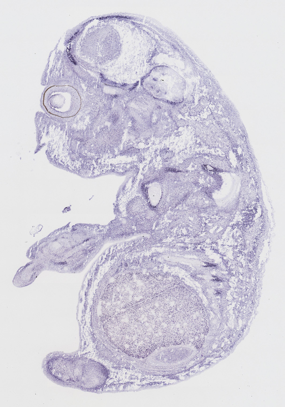
Specimen euxassay_003979_01: embryonic day 14.5 (more )
Structure Level Pattern Image Note
TS23: cranium Moderate Regionally restricted euxassay_003979_01

Specimen euxassay_003979_02: embryonic day 14.5 (more )
Note: Additional information for this specimen was included in the Eurexpress data submission file.
Structure Level Pattern Image Note
TS23: cranium Moderate Regionally restricted euxassay_003979_02
TS23: rib Strong Regionally restricted euxassay_003979_02 periosteum

Specimen euxassay_003979_03: embryonic day 14.5 (more )
Note: Additional information for this specimen was included in the Eurexpress data submission file.
Structure Level Pattern Image Note
TS23: cranium Moderate Regionally restricted euxassay_003979_03
TS23: rib Strong Regionally restricted euxassay_003979_03 periosteum
TS23: Meckel's cartilage Moderate Regionally restricted euxassay_003979_03

Specimen euxassay_003979_04: embryonic day 14.5 (more )
Note: Additional information for this specimen was included in the Eurexpress data submission file.
Structure Level Pattern Image Note
TS23: cranium Moderate Regionally restricted euxassay_003979_04
TS23: rib Strong Regionally restricted euxassay_003979_04 periosteum
TS23: Meckel's cartilage Moderate Regionally restricted euxassay_003979_04

Specimen euxassay_003979_05: embryonic day 14.5 (more )
Note: Additional information for this specimen was included in the Eurexpress data submission file.
Structure Level Pattern Image Note
TS23: cranium Moderate Regionally restricted euxassay_003979_05
TS23: rib Strong Regionally restricted euxassay_003979_05 periosteum
TS23: Meckel's cartilage Moderate Regionally restricted euxassay_003979_05

Specimen euxassay_003979_06: embryonic day 14.5 (more )
Note: Additional information for this specimen was included in the Eurexpress data submission file.
Structure Level Pattern Image Note
TS23: cranium Moderate Regionally restricted euxassay_003979_06
TS23: rib Strong Regionally restricted euxassay_003979_06 periosteum
TS23: Meckel's cartilage Moderate Regionally restricted euxassay_003979_06

Specimen euxassay_003979_07: embryonic day 14.5 (more )
Note: Additional information for this specimen was included in the Eurexpress data submission file.
Structure Level Pattern Image Note
TS23: rib Strong Regionally restricted euxassay_003979_07 periosteum
TS23: Meckel's cartilage Moderate Regionally restricted euxassay_003979_07
TS23: clavicle Strong Regionally restricted euxassay_003979_07

Specimen euxassay_003979_08: embryonic day 14.5 (more )
Structure Level Pattern Image Note
TS23: turbinate bone primordium Moderate Regionally restricted euxassay_003979_08
TS23: Meckel's cartilage Moderate Regionally restricted euxassay_003979_08
TS23: clavicle Strong Regionally restricted euxassay_003979_08

Specimen euxassay_003979_09: embryonic day 14.5 (more )
Structure Level Pattern Image Note
TS23: turbinate bone primordium Moderate Regionally restricted euxassay_003979_09
TS23: Meckel's cartilage Moderate Regionally restricted euxassay_003979_09
TS23: clavicle Strong Regionally restricted euxassay_003979_09

Specimen euxassay_003979_10: embryonic day 14.5 (more )
Structure Level Pattern Image Note
TS23: turbinate bone primordium Moderate Regionally restricted euxassay_003979_10
TS23: Meckel's cartilage Moderate Regionally restricted euxassay_003979_10

Specimen euxassay_003979_14: embryonic day 14.5 (more )
Structure Level Pattern Image Note
TS23: Meckel's cartilage Moderate Regionally restricted euxassay_003979_14

Specimen euxassay_003979_15: embryonic day 14.5 (more )
Structure Level Pattern Image Note
TS23: Meckel's cartilage Moderate Regionally restricted euxassay_003979_15

Specimen euxassay_003979_16: embryonic day 14.5 (more )
Structure Level Pattern Image Note
TS23: turbinate bone primordium Moderate Regionally restricted euxassay_003979_16
TS23: Meckel's cartilage Moderate Regionally restricted euxassay_003979_16
TS23: clavicle Strong Regionally restricted euxassay_003979_16

Specimen euxassay_003979_17: embryonic day 14.5 (more )
Note: Additional information for this specimen was included in the Eurexpress data submission file.
Structure Level Pattern Image Note
TS23: turbinate bone primordium Moderate Regionally restricted euxassay_003979_17
TS23: rib Strong Regionally restricted euxassay_003979_17 periosteum
TS23: Meckel's cartilage Moderate Regionally restricted euxassay_003979_17
TS23: clavicle Strong Regionally restricted euxassay_003979_17

Specimen euxassay_003979_18: embryonic day 14.5 (more )
Note: Additional information for this specimen was included in the Eurexpress data submission file.
Structure Level Pattern Image Note
TS23: turbinate bone primordium Moderate Regionally restricted euxassay_003979_18
TS23: rib Strong Regionally restricted euxassay_003979_18 periosteum
TS23: Meckel's cartilage Moderate Regionally restricted euxassay_003979_18

Specimen euxassay_003979_19: embryonic day 14.5 (more )
Note: Additional information for this specimen was included in the Eurexpress data submission file.
Structure Level Pattern Image Note
TS23: rib Strong Regionally restricted euxassay_003979_19 periosteum
TS23: Meckel's cartilage Moderate Regionally restricted euxassay_003979_19

Specimen euxassay_003979_20: embryonic day 14.5 (more )
Note: Additional information for this specimen was included in the Eurexpress data submission file.
Structure Level Pattern Image Note
TS23: rib Strong Regionally restricted euxassay_003979_20 periosteum
TS23: Meckel's cartilage Moderate Regionally restricted euxassay_003979_20

Specimen euxassay_003979_23: embryonic day 14.5 (more )
Structure Level Pattern Image Note
TS23: cranium Moderate Regionally restricted euxassay_003979_23


Contributing Projects:
Mouse Genome Database (MGD), Gene Expression Database (GXD), Mouse Models of Human Cancer database (MMHCdb) (formerly Mouse Tumor Biology (MTB)), Gene Ontology (GO)
Citing These Resources
Funding Information
Warranty Disclaimer, Privacy Notice, Licensing, & Copyright
Send questions and comments to User Support.
last database update
01/20/2026
MGI 6.24
The Jackson Laboratory