About   Help   FAQ
Gene Expression Data
Assay Details
Assay
Reference: J:153498 Diez-Roux G, et al., A high-resolution anatomical atlas of the transcriptome in the mouse embryo. PLoS Biol. 2011;9(1):e1000582
Assay type: RNA in situ
MGI Accession ID: MGI:4827265
Gene symbol: Plekha4
Gene name: pleckstrin homology domain containing, family A (phosphoinositide binding specific) member 4
Probe: MGC clone 36911
Probe preparation: Antisense labelled with digoxigenin RNA
Visualized with: Alkaline phosphatase
Assay notes: Cryosections of fresh frozen material were fixed in 4% paraformaldehyde for 20 min. before further processing. A tyramide-biotin/streptavidin amplification step was included in the in situ hybridization procedure.
Results
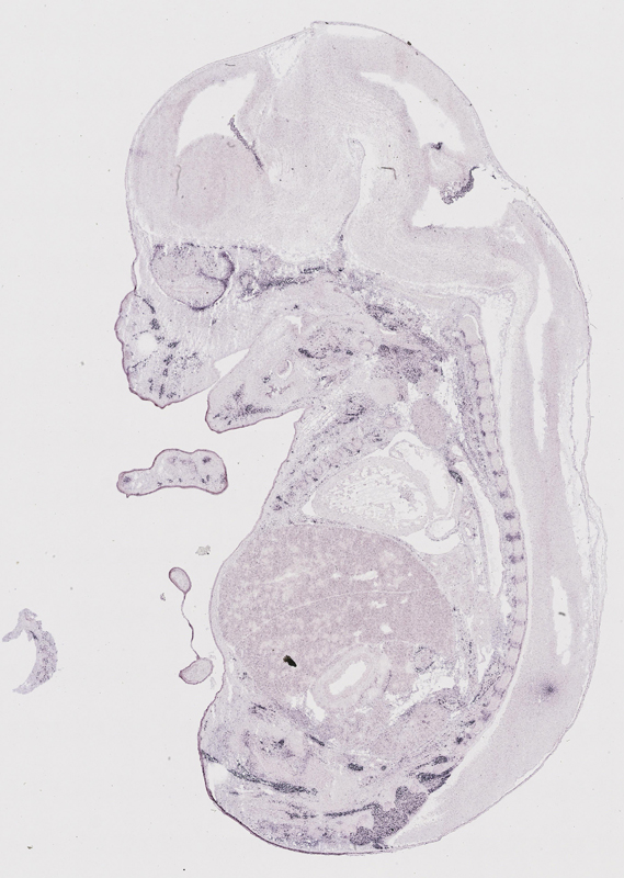
Specimen euxassay_008858_01: embryonic day 14.5 (more )
Structure Level Pattern Image Note
TS23: peripheral nervous system Strong Regionally restricted euxassay_008858_01

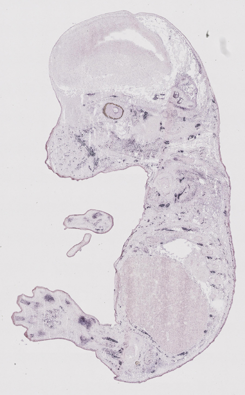
Specimen euxassay_008858_02: embryonic day 14.5 (more )
Structure Level Pattern Image Note
TS23: peripheral nervous system Strong Regionally restricted euxassay_008858_02
TS23: metencephalon part of 4th ventricle choroid plexus Strong Regionally restricted euxassay_008858_02
TS23: medulla oblongata part of 4th ventricle choroid plexus Strong Regionally restricted euxassay_008858_02

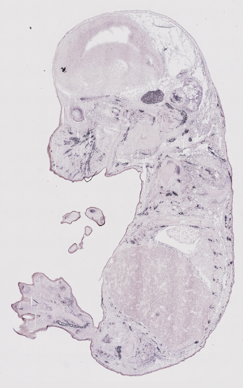
Specimen euxassay_008858_03: embryonic day 14.5 (more )
Structure Level Pattern Image Note
TS23: trigeminal ganglion Strong Regionally restricted euxassay_008858_03
TS23: peripheral nervous system Strong Regionally restricted euxassay_008858_03
TS23: metencephalon part of 4th ventricle choroid plexus Strong Regionally restricted euxassay_008858_03
TS23: medulla oblongata part of 4th ventricle choroid plexus Strong Regionally restricted euxassay_008858_03

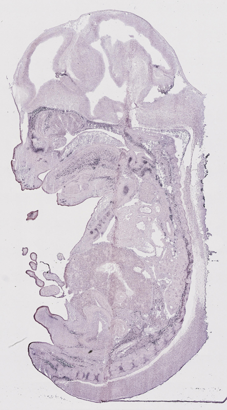
Specimen euxassay_008858_04: embryonic day 14.5 (more )
Structure Level Pattern Image Note
TS23: trigeminal ganglion Strong Regionally restricted euxassay_008858_04
TS23: facial ganglion Strong Regionally restricted euxassay_008858_04
TS23: peripheral nervous system Strong Regionally restricted euxassay_008858_04
TS23: metencephalon part of 4th ventricle choroid plexus Strong Regionally restricted euxassay_008858_04
TS23: medulla oblongata part of 4th ventricle choroid plexus Strong Regionally restricted euxassay_008858_04

Specimen euxassay_008858_05: embryonic day 14.5 (more )
Structure Level Pattern Image Note
TS23: trigeminal ganglion Strong Regionally restricted euxassay_008858_05
TS23: facial ganglion Strong Regionally restricted euxassay_008858_05
TS23: vestibulo-cochlear ganglion Strong Regionally restricted euxassay_008858_05
TS23: peripheral nervous system Strong Regionally restricted euxassay_008858_05
TS23: metencephalon part of 4th ventricle choroid plexus Strong Regionally restricted euxassay_008858_05
TS23: medulla oblongata part of 4th ventricle choroid plexus Strong Regionally restricted euxassay_008858_05

Specimen euxassay_008858_06: embryonic day 14.5 (more )
Structure Level Pattern Image Note
TS23: trigeminal ganglion Strong Regionally restricted euxassay_008858_06
TS23: vestibulo-cochlear ganglion Strong Regionally restricted euxassay_008858_06
TS23: glossopharyngeal ganglion Strong Regionally restricted euxassay_008858_06
TS23: dorsal root ganglion Strong Regionally restricted euxassay_008858_06
TS23: peripheral nervous system Strong Regionally restricted euxassay_008858_06
TS23: metencephalon part of 4th ventricle choroid plexus Strong Regionally restricted euxassay_008858_06
TS23: medulla oblongata part of 4th ventricle choroid plexus Strong Regionally restricted euxassay_008858_06

Specimen euxassay_008858_07: embryonic day 14.5 (more )
Structure Level Pattern Image Note
TS23: trigeminal ganglion Strong Regionally restricted euxassay_008858_07
TS23: dorsal root ganglion Strong Regionally restricted euxassay_008858_07
TS23: brachial plexus Strong Regionally restricted euxassay_008858_07
TS23: peripheral nervous system Strong Regionally restricted euxassay_008858_07
TS23: metencephalon part of 4th ventricle choroid plexus Strong Regionally restricted euxassay_008858_07
TS23: medulla oblongata part of 4th ventricle choroid plexus Strong Regionally restricted euxassay_008858_07

Specimen euxassay_008858_08: embryonic day 14.5 (more )
Structure Level Pattern Image Note
TS23: trigeminal ganglion Strong Regionally restricted euxassay_008858_08
TS23: dorsal root ganglion Strong Regionally restricted euxassay_008858_08
TS23: peripheral nervous system Strong Regionally restricted euxassay_008858_08
TS23: metencephalon part of 4th ventricle choroid plexus Strong Regionally restricted euxassay_008858_08
TS23: medulla oblongata part of 4th ventricle choroid plexus Strong Regionally restricted euxassay_008858_08
TS23: choroid invagination Strong Regionally restricted euxassay_008858_08

Specimen euxassay_008858_09: embryonic day 14.5 (more )
Structure Level Pattern Image Note
TS23: trigeminal nerve Strong Regionally restricted euxassay_008858_09
TS23: dorsal root ganglion Strong Regionally restricted euxassay_008858_09
TS23: peripheral nervous system Strong Regionally restricted euxassay_008858_09
TS23: choroid invagination Strong Regionally restricted euxassay_008858_09
TS23: metencephalon part of 4th ventricle choroid plexus Strong Regionally restricted euxassay_008858_09
TS23: medulla oblongata part of 4th ventricle choroid plexus Strong Regionally restricted euxassay_008858_09

Specimen euxassay_008858_10: embryonic day 14.5 (more )
Structure Level Pattern Image Note
TS23: dorsal root ganglion Strong Regionally restricted euxassay_008858_10
TS23: peripheral nervous system Strong Regionally restricted euxassay_008858_10
TS23: turbinate bone primordium Strong Regionally restricted euxassay_008858_10
TS23: metencephalon part of 4th ventricle choroid plexus Strong Regionally restricted euxassay_008858_10
TS23: medulla oblongata part of 4th ventricle choroid plexus Strong Regionally restricted euxassay_008858_10
TS23: choroid invagination Strong Regionally restricted euxassay_008858_10

Specimen euxassay_008858_11: embryonic day 14.5 (more )
Structure Level Pattern Image Note
TS23: lumbosacral plexus Strong Regionally restricted euxassay_008858_11
TS23: peripheral nervous system Strong Regionally restricted euxassay_008858_11
TS23: turbinate bone primordium Strong Regionally restricted euxassay_008858_11
TS23: metencephalon part of 4th ventricle choroid plexus Strong Regionally restricted euxassay_008858_11
TS23: medulla oblongata part of 4th ventricle choroid plexus Strong Regionally restricted euxassay_008858_11
TS23: choroid invagination Strong Regionally restricted euxassay_008858_11
TS23: tongue Strong Regionally restricted euxassay_008858_11
TS23: thyroid cartilage Strong Regionally restricted euxassay_008858_11
TS23: esophagus Strong Regionally restricted euxassay_008858_11

Specimen euxassay_008858_12: embryonic day 14.5 (more )
Structure Level Pattern Image Note
TS23: peripheral nervous system Strong Regionally restricted euxassay_008858_12
TS23: turbinate bone primordium Strong Regionally restricted euxassay_008858_12
TS23: metencephalon part of 4th ventricle choroid plexus Strong Regionally restricted euxassay_008858_12
TS23: medulla oblongata part of 4th ventricle choroid plexus Strong Regionally restricted euxassay_008858_12
TS23: choroid invagination Strong Regionally restricted euxassay_008858_12
TS23: tongue Strong Regionally restricted euxassay_008858_12
TS23: laryngeal cartilage Strong Regionally restricted euxassay_008858_12
TS23: thyroid cartilage Strong Regionally restricted euxassay_008858_12
TS23: esophagus Strong Regionally restricted euxassay_008858_12

Specimen euxassay_008858_13: embryonic day 14.5 (more )
Structure Level Pattern Image Note
TS23: peripheral nervous system Strong Regionally restricted euxassay_008858_13
TS23: turbinate bone primordium Strong Regionally restricted euxassay_008858_13
TS23: metencephalon part of 4th ventricle choroid plexus Strong Regionally restricted euxassay_008858_13
TS23: medulla oblongata part of 4th ventricle choroid plexus Strong Regionally restricted euxassay_008858_13
TS23: choroid invagination Strong Regionally restricted euxassay_008858_13
TS23: tongue Strong Regionally restricted euxassay_008858_13
TS23: thyroid cartilage Strong Regionally restricted euxassay_008858_13
TS23: laryngeal cartilage Strong Regionally restricted euxassay_008858_13

Specimen euxassay_008858_14: embryonic day 14.5 (more )
Structure Level Pattern Image Note
TS23: dorsal root ganglion Strong Regionally restricted euxassay_008858_14
TS23: lumbosacral plexus Strong Regionally restricted euxassay_008858_14
TS23: peripheral nervous system Strong Regionally restricted euxassay_008858_14
TS23: naris Strong Regionally restricted euxassay_008858_14
TS23: metencephalon part of 4th ventricle choroid plexus Strong Regionally restricted euxassay_008858_14
TS23: medulla oblongata part of 4th ventricle choroid plexus Strong Regionally restricted euxassay_008858_14
TS23: choroid invagination Strong Regionally restricted euxassay_008858_14
TS23: tongue Strong Regionally restricted euxassay_008858_14

Specimen euxassay_008858_15: embryonic day 14.5 (more )
Structure Level Pattern Image Note
TS23: dorsal root ganglion Strong Regionally restricted euxassay_008858_15
TS23: brachial plexus Strong Regionally restricted euxassay_008858_15
TS23: peripheral nervous system Strong Regionally restricted euxassay_008858_15
TS23: naris Strong Regionally restricted euxassay_008858_15
TS23: turbinate bone primordium Strong Regionally restricted euxassay_008858_15
TS23: metencephalon part of 4th ventricle choroid plexus Strong Regionally restricted euxassay_008858_15
TS23: medulla oblongata part of 4th ventricle choroid plexus Strong Regionally restricted euxassay_008858_15
TS23: choroid invagination Strong Regionally restricted euxassay_008858_15
TS23: diencephalon roof plate Strong Regionally restricted euxassay_008858_15
TS23: tongue Strong Regionally restricted euxassay_008858_15

Specimen euxassay_008858_16: embryonic day 14.5 (more )
Structure Level Pattern Image Note
TS23: dorsal root ganglion Strong Regionally restricted euxassay_008858_16
TS23: peripheral nervous system Strong Regionally restricted euxassay_008858_16
TS23: naris Strong Regionally restricted euxassay_008858_16
TS23: turbinate bone primordium Strong Regionally restricted euxassay_008858_16
TS23: diencephalon roof plate Strong Regionally restricted euxassay_008858_16
TS23: metencephalon part of 4th ventricle choroid plexus Strong Regionally restricted euxassay_008858_16
TS23: medulla oblongata part of 4th ventricle choroid plexus Strong Regionally restricted euxassay_008858_16
TS23: tongue Strong Regionally restricted euxassay_008858_16

Specimen euxassay_008858_17: embryonic day 14.5 (more )
Structure Level Pattern Image Note
TS23: trigeminal ganglion Strong Regionally restricted euxassay_008858_17
TS23: vagus ganglion Strong Regionally restricted euxassay_008858_17
TS23: vestibulo-cochlear ganglion Strong Regionally restricted euxassay_008858_17
TS23: glossopharyngeal ganglion Strong Regionally restricted euxassay_008858_17
TS23: peripheral nervous system Strong Regionally restricted euxassay_008858_17
TS23: naris Strong Regionally restricted euxassay_008858_17
TS23: metencephalon part of 4th ventricle choroid plexus Strong Regionally restricted euxassay_008858_17
TS23: medulla oblongata part of 4th ventricle choroid plexus Strong Regionally restricted euxassay_008858_17
TS23: diencephalon roof plate Strong Regionally restricted euxassay_008858_17
TS23: tongue Strong Regionally restricted euxassay_008858_17

Specimen euxassay_008858_18: embryonic day 14.5 (more )
Structure Level Pattern Image Note
TS23: trigeminal ganglion Strong Regionally restricted euxassay_008858_18
TS23: vestibulo-cochlear ganglion Strong Regionally restricted euxassay_008858_18
TS23: glossopharyngeal ganglion Strong Regionally restricted euxassay_008858_18
TS23: peripheral nervous system Strong Regionally restricted euxassay_008858_18
TS23: naris Strong Regionally restricted euxassay_008858_18
TS23: turbinate bone primordium Strong Regionally restricted euxassay_008858_18
TS23: choroid invagination Strong Regionally restricted euxassay_008858_18
TS23: metencephalon part of 4th ventricle choroid plexus Strong Regionally restricted euxassay_008858_18
TS23: medulla oblongata part of 4th ventricle choroid plexus Strong Regionally restricted euxassay_008858_18

Specimen euxassay_008858_19: embryonic day 14.5 (more )
Structure Level Pattern Image Note
TS23: trigeminal ganglion Strong Regionally restricted euxassay_008858_19
TS23: vestibulo-cochlear ganglion Strong Regionally restricted euxassay_008858_19
TS23: facial ganglion Strong Regionally restricted euxassay_008858_19
TS23: trigeminal nerve Strong Regionally restricted euxassay_008858_19
TS23: peripheral nervous system Strong Regionally restricted euxassay_008858_19
TS23: turbinate bone primordium Strong Regionally restricted euxassay_008858_19
TS23: metencephalon part of 4th ventricle choroid plexus Strong Regionally restricted euxassay_008858_19
TS23: medulla oblongata part of 4th ventricle choroid plexus Strong Regionally restricted euxassay_008858_19
TS23: choroid invagination Strong Regionally restricted euxassay_008858_19

Specimen euxassay_008858_20: embryonic day 14.5 (more )
Structure Level Pattern Image Note
TS23: trigeminal nerve Strong Regionally restricted euxassay_008858_20
TS23: trigeminal ganglion Strong Regionally restricted euxassay_008858_20
TS23: facial ganglion Strong Regionally restricted euxassay_008858_20
TS23: vestibulo-cochlear ganglion Strong Regionally restricted euxassay_008858_20
TS23: peripheral nervous system Strong Regionally restricted euxassay_008858_20
TS23: turbinate bone primordium Strong Regionally restricted euxassay_008858_20
TS23: choroid invagination Strong Regionally restricted euxassay_008858_20
TS23: medulla oblongata part of 4th ventricle choroid plexus Strong Regionally restricted euxassay_008858_20
TS23: metencephalon part of 4th ventricle choroid plexus Strong Regionally restricted euxassay_008858_20

Specimen euxassay_008858_21: embryonic day 14.5 (more )
Structure Level Pattern Image Note
TS23: trigeminal ganglion Strong Regionally restricted euxassay_008858_21
TS23: peripheral nervous system Strong Regionally restricted euxassay_008858_21
TS23: turbinate bone primordium Strong Regionally restricted euxassay_008858_21
TS23: metencephalon part of 4th ventricle choroid plexus Strong Regionally restricted euxassay_008858_21
TS23: medulla oblongata part of 4th ventricle choroid plexus Strong Regionally restricted euxassay_008858_21

Specimen euxassay_008858_22: embryonic day 14.5 (more )
Structure Level Pattern Image Note
TS23: trigeminal ganglion Strong Regionally restricted euxassay_008858_22
TS23: peripheral nervous system Strong Regionally restricted euxassay_008858_22

Specimen euxassay_008858_23: embryonic day 14.5 (more )
Structure Level Pattern Image Note
TS23: peripheral nervous system Strong Regionally restricted euxassay_008858_23

Specimen euxassay_008858_24: embryonic day 14.5 (more )
Structure Level Pattern Image Note
TS23: peripheral nervous system Strong Regionally restricted euxassay_008858_24


Contributing Projects:
Mouse Genome Database (MGD), Gene Expression Database (GXD), Mouse Models of Human Cancer database (MMHCdb) (formerly Mouse Tumor Biology (MTB)), Gene Ontology (GO)
Citing These Resources
Funding Information
Warranty Disclaimer, Privacy Notice, Licensing, & Copyright
Send questions and comments to User Support.
last database update
01/28/2026
MGI 6.24
The Jackson Laboratory