About   Help   FAQ
Gene Expression Data
Assay Details
Assay
Reference: J:153498 Diez-Roux G, et al., A high-resolution anatomical atlas of the transcriptome in the mouse embryo. PLoS Biol. 2011;9(1):e1000582
Assay type: RNA in situ
MGI Accession ID: MGI:4827256
Gene symbol: Plch2
Gene name: phospholipase C, eta 2
Probe: T35849
Probe preparation: Antisense labelled with digoxigenin RNA
Visualized with: Alkaline phosphatase
Assay notes: Cryosections of fresh frozen material were fixed in 4% paraformaldehyde for 20 min. before further processing. A tyramide-biotin/streptavidin amplification step was included in the in situ hybridization procedure.
Results
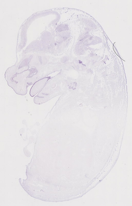
Specimen euxassay_009414_04: embryonic day 14.5 (more )
Structure Level Pattern Image Note
TS23: telencephalon marginal layer Moderate Regionally restricted euxassay_009414_04

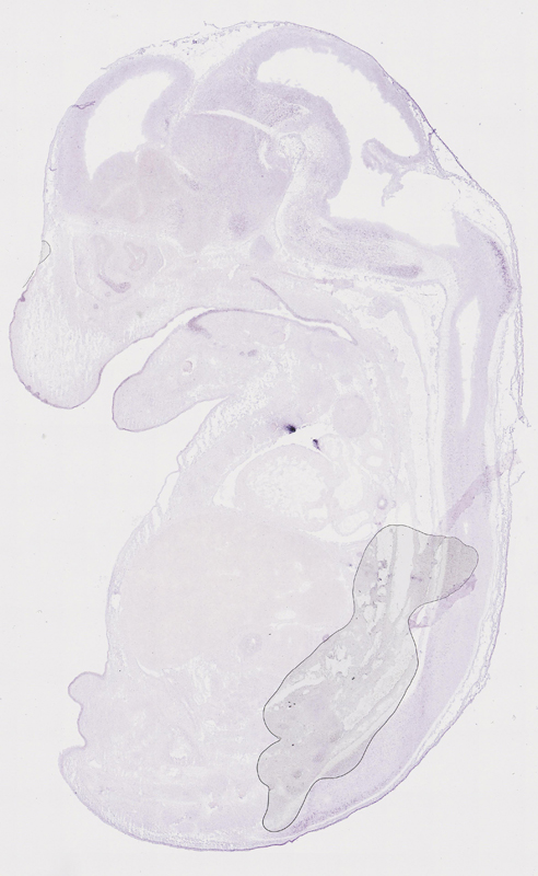
Specimen euxassay_009414_05: embryonic day 14.5 (more )
Structure Level Pattern Image Note
TS23: vibrissa Moderate Regionally restricted euxassay_009414_05
TS23: vestibulo-cochlear ganglion Moderate Regionally restricted euxassay_009414_05
TS23: dorsal grey horn Moderate Regionally restricted euxassay_009414_05
TS23: telencephalon marginal layer Moderate Regionally restricted euxassay_009414_05

Specimen euxassay_009414_06: embryonic day 14.5 (more )
Structure Level Pattern Image Note
TS23: vibrissa Moderate Regionally restricted euxassay_009414_06
TS23: vestibulo-cochlear ganglion Moderate Regionally restricted euxassay_009414_06
TS23: submandibular gland primordium Weak Regionally restricted euxassay_009414_06
TS23: dorsal grey horn Moderate Regionally restricted euxassay_009414_06
TS23: medulla oblongata basal plate mantle layer Moderate Single cells euxassay_009414_06
TS23: pons mantle layer Moderate Single cells euxassay_009414_06
TS23: telencephalon marginal layer Moderate Regionally restricted euxassay_009414_06

Specimen euxassay_009414_07: embryonic day 14.5 (more )
Structure Level Pattern Image Note
TS23: vibrissa Moderate Regionally restricted euxassay_009414_07
TS23: vestibulo-cochlear ganglion Moderate Regionally restricted euxassay_009414_07
TS23: submandibular gland primordium Weak Regionally restricted euxassay_009414_07
TS23: dorsal grey horn Moderate Regionally restricted euxassay_009414_07
TS23: medulla oblongata basal plate mantle layer Moderate Single cells euxassay_009414_07
TS23: pons mantle layer Moderate Single cells euxassay_009414_07
TS23: telencephalon marginal layer Moderate Regionally restricted euxassay_009414_07
TS23: upper jaw molar Weak Regionally restricted euxassay_009414_07

Specimen euxassay_009414_08: embryonic day 14.5 (more )
Structure Level Pattern Image Note
TS23: vibrissa Moderate Regionally restricted euxassay_009414_08
TS23: submandibular gland primordium Weak Regionally restricted euxassay_009414_08
TS23: dorsal grey horn Moderate Regionally restricted euxassay_009414_08
TS23: upper jaw molar Weak Regionally restricted euxassay_009414_08
TS23: lower jaw molar Weak Regionally restricted euxassay_009414_08

Specimen euxassay_009414_09: embryonic day 14.5 (more )
Structure Level Pattern Image Note
TS23: vibrissa Moderate Regionally restricted euxassay_009414_09
TS23: submandibular gland primordium Weak Regionally restricted euxassay_009414_09
TS23: dorsal grey horn Moderate Regionally restricted euxassay_009414_09
TS23: medulla oblongata basal plate mantle layer Moderate Single cells euxassay_009414_09
TS23: olfactory epithelium Weak Regionally restricted euxassay_009414_09

Specimen euxassay_009414_10: embryonic day 14.5 (more )
Structure Level Pattern Image Note
TS23: dorsal grey horn Moderate Regionally restricted euxassay_009414_10
TS23: medulla oblongata basal plate mantle layer Moderate Single cells euxassay_009414_10
TS23: olfactory epithelium Weak Regionally restricted euxassay_009414_10

Specimen euxassay_009414_11: embryonic day 14.5 (more )
Structure Level Pattern Image Note
TS23: dorsal grey horn Moderate Regionally restricted euxassay_009414_11
TS23: medulla oblongata basal plate mantle layer Moderate Single cells euxassay_009414_11
TS23: olfactory epithelium Weak Regionally restricted euxassay_009414_11
TS23: lower jaw incisor Weak Regionally restricted euxassay_009414_11

Specimen euxassay_009414_12: embryonic day 14.5 (more )
Structure Level Pattern Image Note
TS23: dorsal grey horn Moderate Regionally restricted euxassay_009414_12
TS23: medulla oblongata basal plate mantle layer Moderate Single cells euxassay_009414_12
TS23: olfactory epithelium Weak Regionally restricted euxassay_009414_12
TS23: lower jaw incisor Weak Regionally restricted euxassay_009414_12
TS23: upper jaw incisor Weak Regionally restricted euxassay_009414_12
TS23: bladder fundus Weak Regionally restricted euxassay_009414_12
TS23: urethra Weak Regionally restricted euxassay_009414_12 Originally this result was annotated to a male-specific term, but as the specimen was not sexed, it is likely the data annotator intended to use a non-sex specific term.

Specimen euxassay_009414_13: embryonic day 14.5 (more )
Structure Level Pattern Image Note
TS23: dorsal grey horn Moderate Regionally restricted euxassay_009414_13
TS23: medulla oblongata basal plate mantle layer Weak Single cells euxassay_009414_13
TS23: naris Weak Regionally restricted euxassay_009414_13
TS23: lower jaw incisor Weak Regionally restricted euxassay_009414_13
TS23: upper jaw incisor Weak Regionally restricted euxassay_009414_13
TS23: bladder fundus Weak Regionally restricted euxassay_009414_13
TS23: urethra Weak Regionally restricted euxassay_009414_13 Originally this result was annotated to a male-specific term, but as the specimen was not sexed, it is likely the data annotator intended to use a non-sex specific term.

Specimen euxassay_009414_14: embryonic day 14.5 (more )
Structure Level Pattern Image Note
TS23: dorsal grey horn Moderate Regionally restricted euxassay_009414_14
TS23: medulla oblongata basal plate mantle layer Moderate Regionally restricted euxassay_009414_14
TS23: pons mantle layer Moderate Regionally restricted euxassay_009414_14
TS23: naris Weak Regionally restricted euxassay_009414_14
TS23: upper jaw incisor Weak Regionally restricted euxassay_009414_14

Specimen euxassay_009414_15: embryonic day 14.5 (more )
Structure Level Pattern Image Note
TS23: pons mantle layer Moderate Regionally restricted euxassay_009414_15
TS23: medulla oblongata basal plate mantle layer Moderate Regionally restricted euxassay_009414_15
TS23: naris Weak Regionally restricted euxassay_009414_15
TS23: upper jaw incisor Weak Regionally restricted euxassay_009414_15

Specimen euxassay_009414_16: embryonic day 14.5 (more )
Structure Level Pattern Image Note
TS23: vestibulo-cochlear ganglion Moderate Regionally restricted euxassay_009414_16
TS23: submandibular gland primordium Weak Regionally restricted euxassay_009414_16
TS23: pons mantle layer Moderate Regionally restricted euxassay_009414_16
TS23: medulla oblongata basal plate mantle layer Moderate Regionally restricted euxassay_009414_16
TS23: telencephalon marginal layer Moderate Regionally restricted euxassay_009414_16
TS23: naris Weak Regionally restricted euxassay_009414_16
TS23: olfactory epithelium Weak Regionally restricted euxassay_009414_16
TS23: upper jaw incisor Weak Regionally restricted euxassay_009414_16
TS23: lower jaw incisor Weak Regionally restricted euxassay_009414_16

Specimen euxassay_009414_17: embryonic day 14.5 (more )
Structure Level Pattern Image Note
TS23: vestibulo-cochlear ganglion Moderate Regionally restricted euxassay_009414_17
TS23: submandibular gland primordium Weak Regionally restricted euxassay_009414_17
TS23: pons mantle layer Moderate Regionally restricted euxassay_009414_17
TS23: telencephalon marginal layer Moderate Regionally restricted euxassay_009414_17
TS23: olfactory epithelium Weak Regionally restricted euxassay_009414_17
TS23: naris Weak Regionally restricted euxassay_009414_17
TS23: upper jaw incisor Weak Regionally restricted euxassay_009414_17
TS23: lower jaw incisor Weak Regionally restricted euxassay_009414_17

Specimen euxassay_009414_18: embryonic day 14.5 (more )
Structure Level Pattern Image Note
TS23: vestibulo-cochlear ganglion Moderate Regionally restricted euxassay_009414_18
TS23: submandibular gland primordium Weak Regionally restricted euxassay_009414_18
TS23: telencephalon marginal layer Weak Regionally restricted euxassay_009414_18
TS23: olfactory epithelium Weak Regionally restricted euxassay_009414_18
TS23: naris Weak Regionally restricted euxassay_009414_18

Specimen euxassay_009414_19: embryonic day 14.5 (more )
Structure Level Pattern Image Note
TS23: submandibular gland primordium Weak Regionally restricted euxassay_009414_19
TS23: telencephalon marginal layer Moderate Regionally restricted euxassay_009414_19
TS23: olfactory epithelium Weak Regionally restricted euxassay_009414_19
TS23: upper jaw molar Weak Regionally restricted euxassay_009414_19
TS23: lower jaw molar Weak Regionally restricted euxassay_009414_19

Specimen euxassay_009414_20: embryonic day 14.5 (more )
Structure Level Pattern Image Note
TS23: telencephalon marginal layer Moderate Regionally restricted euxassay_009414_20
TS23: olfactory epithelium Weak Regionally restricted euxassay_009414_20
TS23: upper jaw molar Weak Regionally restricted euxassay_009414_20

Specimen euxassay_009414_21: embryonic day 14.5 (more )
Structure Level Pattern Image Note
TS23: vibrissa Weak Regionally restricted euxassay_009414_21

Specimen euxassay_009414_22: embryonic day 14.5 (more )
Structure Level Pattern Image Note
TS23: vibrissa Moderate Regionally restricted euxassay_009414_22

Specimen euxassay_009414_23: embryonic day 14.5 (more )
Structure Level Pattern Image Note
TS23: vibrissa Moderate Regionally restricted euxassay_009414_23

Specimen euxassay_009414_24: embryonic day 14.5 (more )
Structure Level Pattern Image Note
TS23: vibrissa Moderate Regionally restricted euxassay_009414_24


Contributing Projects:
Mouse Genome Database (MGD), Gene Expression Database (GXD), Mouse Models of Human Cancer database (MMHCdb) (formerly Mouse Tumor Biology (MTB)), Gene Ontology (GO)
Citing These Resources
Funding Information
Warranty Disclaimer, Privacy Notice, Licensing, & Copyright
Send questions and comments to User Support.
last database update
03/24/2026
MGI 6.24
The Jackson Laboratory