About   Help   FAQ
Gene Expression Data
Assay Details
Assay
Reference: J:153498 Diez-Roux G, et al., A high-resolution anatomical atlas of the transcriptome in the mouse embryo. PLoS Biol. 2011;9(1):e1000582
Assay type: RNA in situ
MGI Accession ID: MGI:4827248
Gene symbol: Plac8
Gene name: placenta-specific 8
Probe: IMAGE clone 1512918
Probe preparation: Antisense labelled with digoxigenin RNA
Visualized with: Alkaline phosphatase
Assay notes: Cryosections of fresh frozen material were fixed in 4% paraformaldehyde for 20 min. before further processing. A tyramide-biotin/streptavidin amplification step was included in the in situ hybridization procedure.
Results
Specimen euxassay_005548_01: embryonic day 14.5 (more )
Structure Level Pattern Image Note
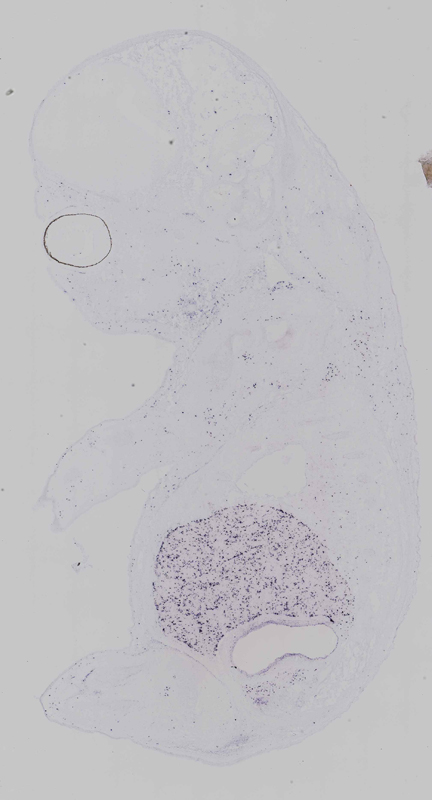
TS23: liver left lobe Strong Single cells euxassay_005548_01
TS23: stomach Moderate Regionally restricted euxassay_005548_01

Specimen euxassay_005548_02: embryonic day 14.5 (more )
Structure Level Pattern Image Note
TS23: liver left lobe Strong Single cells euxassay_005548_02
TS23: stomach Moderate Regionally restricted euxassay_005548_02

Specimen euxassay_005548_03: embryonic day 14.5 (more )
Structure Level Pattern Image Note
TS23: liver left lobe Strong Single cells euxassay_005548_03
TS23: stomach Moderate Regionally restricted euxassay_005548_03

Specimen euxassay_005548_04: embryonic day 14.5 (more )
Structure Level Pattern Image Note
TS23: liver left lobe Strong Single cells euxassay_005548_04
TS23: stomach Moderate Regionally restricted euxassay_005548_04

Specimen euxassay_005548_05: embryonic day 14.5 (more )
Structure Level Pattern Image Note
TS23: liver left lobe Strong Single cells euxassay_005548_05
TS23: stomach Moderate Regionally restricted euxassay_005548_05
TS23: renal calyx Moderate Regionally restricted euxassay_005548_05

Specimen euxassay_005548_06: embryonic day 14.5 (more )
Structure Level Pattern Image Note
TS23: liver left lobe Strong Single cells euxassay_005548_06
TS23: stomach Moderate Regionally restricted euxassay_005548_06
TS23: renal calyx Moderate Regionally restricted euxassay_005548_06

Specimen euxassay_005548_07: embryonic day 14.5 (more )
Structure Level Pattern Image Note
TS23: liver left lobe Strong Single cells euxassay_005548_07
TS23: stomach Moderate Regionally restricted euxassay_005548_07
TS23: renal calyx Moderate Regionally restricted euxassay_005548_07

Specimen euxassay_005548_08: embryonic day 14.5 (more )
Structure Level Pattern Image Note
TS23: liver left lobe Strong Single cells euxassay_005548_08
TS23: stomach Moderate Regionally restricted euxassay_005548_08
TS23: midgut Moderate Regionally restricted euxassay_005548_08
TS23: renal calyx Moderate Regionally restricted euxassay_005548_08

Specimen euxassay_005548_09: embryonic day 14.5 (more )
Structure Level Pattern Image Note
TS23: liver left lobe Strong Single cells euxassay_005548_09
TS23: stomach Strong Regionally restricted euxassay_005548_09
TS23: midgut Strong Regionally restricted euxassay_005548_09
TS23: renal calyx Moderate Regionally restricted euxassay_005548_09
TS23: oculomotor nerve Weak Regionally restricted euxassay_005548_09

Specimen euxassay_005548_10: embryonic day 14.5 (more )
Structure Level Pattern Image Note
TS23: liver left lobe Strong Single cells euxassay_005548_10
TS23: thymus primordium Strong Uniform euxassay_005548_10
TS23: midgut Strong Regionally restricted euxassay_005548_10
TS23: stomach Strong Regionally restricted euxassay_005548_10
TS23: oculomotor nerve Moderate Regionally restricted euxassay_005548_10

Specimen euxassay_005548_11: embryonic day 14.5 (more )
Structure Level Pattern Image Note
TS23: liver left lobe Strong Single cells euxassay_005548_11
TS23: thymus primordium Strong Uniform euxassay_005548_11
TS23: midgut Strong Regionally restricted euxassay_005548_11
TS23: hindgut Strong Regionally restricted euxassay_005548_11
TS23: oculomotor nerve Strong Regionally restricted euxassay_005548_11

Specimen euxassay_005548_12: embryonic day 14.5 (more )
Structure Level Pattern Image Note
TS23: liver right lobe Strong Single cells euxassay_005548_12
TS23: thymus primordium Strong Uniform euxassay_005548_12
TS23: midgut Strong Regionally restricted euxassay_005548_12
TS23: hindgut Strong Regionally restricted euxassay_005548_12
TS23: oculomotor nerve Strong Regionally restricted euxassay_005548_12

Specimen euxassay_005548_13: embryonic day 14.5 (more )
Structure Level Pattern Image Note
TS23: liver right lobe Strong Single cells euxassay_005548_13
TS23: thymus primordium Strong Uniform euxassay_005548_13
TS23: rectum Strong Regionally restricted euxassay_005548_13
TS23: hindgut Strong Regionally restricted euxassay_005548_13
TS23: midgut Strong Regionally restricted euxassay_005548_13
TS23: oculomotor nerve Strong Regionally restricted euxassay_005548_13

Specimen euxassay_005548_14: embryonic day 14.5 (more )
Structure Level Pattern Image Note
TS23: liver right lobe Strong Single cells euxassay_005548_14
TS23: thymus primordium Strong Uniform euxassay_005548_14
TS23: midgut Strong Regionally restricted euxassay_005548_14
TS23: hindgut Strong Regionally restricted euxassay_005548_14
TS23: renal calyx Weak Regionally restricted euxassay_005548_14
TS23: oculomotor nerve Strong Regionally restricted euxassay_005548_14

Specimen euxassay_005548_15: embryonic day 14.5 (more )
Structure Level Pattern Image Note
TS23: liver right lobe Strong Single cells euxassay_005548_15
TS23: hindgut Strong Regionally restricted euxassay_005548_15
TS23: midgut Strong Regionally restricted euxassay_005548_15
TS23: renal calyx Moderate Regionally restricted euxassay_005548_15
TS23: oculomotor nerve Strong Regionally restricted euxassay_005548_15

Specimen euxassay_005548_16: embryonic day 14.5 (more )
Structure Level Pattern Image Note
TS23: liver right lobe Strong Single cells euxassay_005548_16
TS23: hindgut Strong Regionally restricted euxassay_005548_16
TS23: midgut Strong Regionally restricted euxassay_005548_16
TS23: renal calyx Moderate Regionally restricted euxassay_005548_16
TS23: oculomotor nerve Moderate Regionally restricted euxassay_005548_16

Specimen euxassay_005548_17: embryonic day 14.5 (more )
Structure Level Pattern Image Note
TS23: liver right lobe Strong Single cells euxassay_005548_17
TS23: midgut Strong Regionally restricted euxassay_005548_17
TS23: renal calyx Moderate Regionally restricted euxassay_005548_17

Specimen euxassay_005548_18: embryonic day 14.5 (more )
Structure Level Pattern Image Note
TS23: liver right lobe Strong Single cells euxassay_005548_18
TS23: midgut Strong Regionally restricted euxassay_005548_18
TS23: renal calyx Moderate Regionally restricted euxassay_005548_18

Specimen euxassay_005548_19: embryonic day 14.5 (more )
Structure Level Pattern Image Note
TS23: liver right lobe Strong Single cells euxassay_005548_19
TS23: renal calyx Moderate Regionally restricted euxassay_005548_19

Specimen euxassay_005548_20: embryonic day 14.5 (more )
Structure Level Pattern Image Note
TS23: liver right lobe Strong Single cells euxassay_005548_20

Specimen euxassay_005548_21: embryonic day 14.5 (more )
Structure Level Pattern Image Note
TS23: liver right lobe Strong Single cells euxassay_005548_21

Specimen euxassay_005548_22: embryonic day 14.5 (more )
Structure Level Pattern Image Note
TS23: liver right lobe Strong Single cells euxassay_005548_22

Specimen euxassay_005548_23: embryonic day 14.5 (more )
Structure Level Pattern Image Note
TS23: liver right lobe Strong Single cells euxassay_005548_23

Specimen euxassay_005548_24: embryonic day 14.5 (more )
Structure Level Pattern Image Note
TS23: liver right lobe Strong Single cells euxassay_005548_24


Contributing Projects:
Mouse Genome Database (MGD), Gene Expression Database (GXD), Mouse Models of Human Cancer database (MMHCdb) (formerly Mouse Tumor Biology (MTB)), Gene Ontology (GO)
Citing These Resources
Funding Information
Warranty Disclaimer, Privacy Notice, Licensing, & Copyright
Send questions and comments to User Support.
last database update
12/30/2025
MGI 6.24
The Jackson Laboratory