About   Help   FAQ
Gene Expression Data
Assay Details
Assay
Reference: J:153498 Diez-Roux G, et al., A high-resolution anatomical atlas of the transcriptome in the mouse embryo. PLoS Biol. 2011;9(1):e1000582
Assay type: RNA in situ
MGI Accession ID: MGI:4827242
Gene symbol: Pla2g5
Gene name: phospholipase A2, group V
Probe: MGC clone 31537
Probe preparation: Antisense labelled with digoxigenin RNA
Visualized with: Alkaline phosphatase
Assay notes: Cryosections of fresh frozen material were fixed in 4% paraformaldehyde for 20 min. before further processing. A tyramide-biotin/streptavidin amplification step was included in the in situ hybridization procedure.
Results
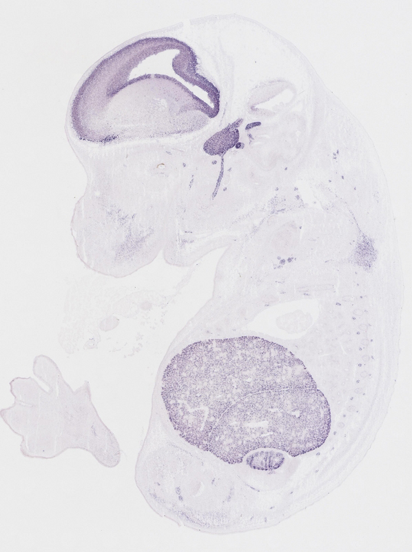
Specimen euxassay_002977_01: embryonic day 14.5 (more )
Structure Level Pattern Image Note
TS23: liver lobe Strong Regionally restricted euxassay_002977_01
TS23: telencephalon mantle layer Strong Regionally restricted euxassay_002977_01
TS23: telencephalon marginal layer Strong Regionally restricted euxassay_002977_01

Specimen euxassay_002977_02: embryonic day 14.5 (more )
Structure Level Pattern Image Note
TS23: liver lobe Strong Regionally restricted euxassay_002977_02
TS23: telencephalon marginal layer Strong Regionally restricted euxassay_002977_02
TS23: telencephalon mantle layer Strong Regionally restricted euxassay_002977_02

Specimen euxassay_002977_03: embryonic day 14.5 (more )
Structure Level Pattern Image Note
TS23: liver lobe Strong Regionally restricted euxassay_002977_03
TS23: telencephalon marginal layer Strong Regionally restricted euxassay_002977_03
TS23: telencephalon mantle layer Strong Regionally restricted euxassay_002977_03

Specimen euxassay_002977_04: embryonic day 14.5 (more )
Structure Level Pattern Image Note
TS23: liver lobe Strong Regionally restricted euxassay_002977_04
TS23: trigeminal ganglion Strong Regionally restricted euxassay_002977_04
TS23: telencephalon ventricular layer Strong Regionally restricted euxassay_002977_04
TS23: telencephalon mantle layer Strong Regionally restricted euxassay_002977_04
TS23: telencephalon marginal layer Strong Regionally restricted euxassay_002977_04

Specimen euxassay_002977_05: embryonic day 14.5 (more )
Structure Level Pattern Image Note
TS23: liver lobe Strong Regionally restricted euxassay_002977_05
TS23: trigeminal ganglion Strong Regionally restricted euxassay_002977_05
TS23: facial ganglion Strong Regionally restricted euxassay_002977_05
TS23: telencephalon ventricular layer Strong Regionally restricted euxassay_002977_05
TS23: telencephalon marginal layer Strong Regionally restricted euxassay_002977_05
TS23: telencephalon mantle layer Strong Regionally restricted euxassay_002977_05

Specimen euxassay_002977_06: embryonic day 14.5 (more )
Structure Level Pattern Image Note
TS23: liver lobe Strong Regionally restricted euxassay_002977_06
TS23: trigeminal ganglion Strong Regionally restricted euxassay_002977_06
TS23: facial ganglion Strong Regionally restricted euxassay_002977_06
TS23: testis Strong Regionally restricted euxassay_002977_06
TS23: telencephalon ventricular layer Strong Regionally restricted euxassay_002977_06
TS23: telencephalon marginal layer Strong Regionally restricted euxassay_002977_06
TS23: telencephalon mantle layer Strong Regionally restricted euxassay_002977_06
TS23: pons ventricular layer Strong Regionally restricted euxassay_002977_06

Specimen euxassay_002977_07: embryonic day 14.5 (more )
Structure Level Pattern Image Note
TS23: liver lobe Strong Regionally restricted euxassay_002977_07
TS23: trigeminal ganglion Strong Regionally restricted euxassay_002977_07
TS23: facial ganglion Strong Regionally restricted euxassay_002977_07
TS23: vestibulo-cochlear ganglion Strong Regionally restricted euxassay_002977_07
TS23: testis Strong Regionally restricted euxassay_002977_07
TS23: telencephalon ventricular layer Strong Regionally restricted euxassay_002977_07
TS23: telencephalon marginal layer Strong Regionally restricted euxassay_002977_07
TS23: telencephalon mantle layer Strong Regionally restricted euxassay_002977_07
TS23: midbrain mantle layer Moderate Regionally restricted euxassay_002977_07
TS23: pons ventricular layer Strong Regionally restricted euxassay_002977_07

Specimen euxassay_002977_08: embryonic day 14.5 (more )
Note: Additional information for this specimen was included in the Eurexpress data submission file.
Structure Level Pattern Image Note
TS23: liver lobe Strong Regionally restricted euxassay_002977_08
TS23: vestibulo-cochlear ganglion Weak Regionally restricted euxassay_002977_08
TS23: glossopharyngeal ganglion Strong Regionally restricted euxassay_002977_08
TS23: trigeminal ganglion Strong Regionally restricted euxassay_002977_08
TS23: testis Strong Regionally restricted euxassay_002977_08
TS23: telencephalon ventricular layer Strong Regionally restricted euxassay_002977_08
TS23: telencephalon marginal layer Strong Regionally restricted euxassay_002977_08
TS23: telencephalon mantle layer Strong Regionally restricted euxassay_002977_08
TS23: diencephalon lateral wall mantle layer Strong Regionally restricted euxassay_002977_08
TS23: midbrain mantle layer Moderate Regionally restricted euxassay_002977_08
TS23: pons ventricular layer Strong Regionally restricted euxassay_002977_08
TS23: metencephalon basal plate Strong Regionally restricted euxassay_002977_08 facial motor nucleus

Specimen euxassay_002977_09: embryonic day 14.5 (more )
Structure Level Pattern Image Note
TS23: liver lobe Strong Regionally restricted euxassay_002977_09
TS23: glossopharyngeal ganglion Strong Regionally restricted euxassay_002977_09
TS23: trigeminal ganglion Strong Regionally restricted euxassay_002977_09
TS23: vestibulo-cochlear ganglion Weak Regionally restricted euxassay_002977_09
TS23: dorsal root ganglion Strong Regionally restricted euxassay_002977_09
TS23: testis Strong Regionally restricted euxassay_002977_09
TS23: telencephalon ventricular layer Strong Regionally restricted euxassay_002977_09
TS23: telencephalon marginal layer Strong Regionally restricted euxassay_002977_09
TS23: telencephalon mantle layer Strong Regionally restricted euxassay_002977_09
TS23: hypothalamus mantle layer Strong Regionally restricted euxassay_002977_09
TS23: diencephalon lateral wall mantle layer Strong Regionally restricted euxassay_002977_09
TS23: midbrain mantle layer Moderate Regionally restricted euxassay_002977_09
TS23: pons ventricular layer Strong Regionally restricted euxassay_002977_09
TS23: pons mantle layer Strong Regionally restricted euxassay_002977_09
TS23: medulla oblongata basal plate ventricular layer Strong Regionally restricted euxassay_002977_09
TS23: medulla oblongata basal plate mantle layer Strong Regionally restricted euxassay_002977_09

Specimen euxassay_002977_10: embryonic day 14.5 (more )
Structure Level Pattern Image Note
TS23: liver lobe Strong Regionally restricted euxassay_002977_10
TS23: vagus ganglion Strong Regionally restricted euxassay_002977_10
TS23: trigeminal ganglion Strong Regionally restricted euxassay_002977_10
TS23: dorsal root ganglion Strong Regionally restricted euxassay_002977_10
TS23: testis Strong Regionally restricted euxassay_002977_10
TS23: telencephalon ventricular layer Strong Regionally restricted euxassay_002977_10
TS23: telencephalon mantle layer Strong Regionally restricted euxassay_002977_10
TS23: telencephalon marginal layer Strong Regionally restricted euxassay_002977_10
TS23: hypothalamus mantle layer Strong Regionally restricted euxassay_002977_10
TS23: diencephalon lateral wall mantle layer Strong Regionally restricted euxassay_002977_10
TS23: midbrain ventricular layer Strong Regionally restricted euxassay_002977_10
TS23: midbrain mantle layer Moderate Regionally restricted euxassay_002977_10
TS23: pons ventricular layer Strong Regionally restricted euxassay_002977_10
TS23: pons mantle layer Strong Regionally restricted euxassay_002977_10
TS23: medulla oblongata basal plate ventricular layer Strong Regionally restricted euxassay_002977_10
TS23: medulla oblongata basal plate mantle layer Strong Regionally restricted euxassay_002977_10

Specimen euxassay_002977_11: embryonic day 14.5 (more )
Structure Level Pattern Image Note
TS23: liver lobe Strong Regionally restricted euxassay_002977_11
TS23: dorsal root ganglion Strong Regionally restricted euxassay_002977_11
TS23: testis Strong Regionally restricted euxassay_002977_11
TS23: telencephalon ventricular layer Strong Regionally restricted euxassay_002977_11
TS23: olfactory cortex ventricular layer Strong Regionally restricted euxassay_002977_11
TS23: olfactory cortex marginal layer Strong Regionally restricted euxassay_002977_11
TS23: telencephalon mantle layer Strong Regionally restricted euxassay_002977_11
TS23: telencephalon marginal layer Strong Regionally restricted euxassay_002977_11
TS23: hypothalamus mantle layer Strong Regionally restricted euxassay_002977_11
TS23: diencephalon lateral wall mantle layer Strong Regionally restricted euxassay_002977_11
TS23: midbrain ventricular layer Strong Regionally restricted euxassay_002977_11
TS23: midbrain mantle layer Strong Regionally restricted euxassay_002977_11
TS23: pons ventricular layer Strong Regionally restricted euxassay_002977_11
TS23: pons mantle layer Strong Regionally restricted euxassay_002977_11
TS23: medulla oblongata basal plate ventricular layer Strong Regionally restricted euxassay_002977_11
TS23: medulla oblongata basal plate mantle layer Strong Regionally restricted euxassay_002977_11

Specimen euxassay_002977_12: embryonic day 14.5 (more )
Structure Level Pattern Image Note
TS23: liver lobe Strong Regionally restricted euxassay_002977_12
TS23: dorsal root ganglion Strong Regionally restricted euxassay_002977_12
TS23: olfactory cortex ventricular layer Strong Regionally restricted euxassay_002977_12
TS23: telencephalon ventricular layer Strong Regionally restricted euxassay_002977_12
TS23: olfactory cortex marginal layer Strong Regionally restricted euxassay_002977_12
TS23: telencephalon marginal layer Strong Regionally restricted euxassay_002977_12
TS23: telencephalon mantle layer Strong Regionally restricted euxassay_002977_12
TS23: diencephalon lateral wall ventricular layer Strong Regionally restricted euxassay_002977_12
TS23: hypothalamus ventricular layer Strong Regionally restricted euxassay_002977_12
TS23: hypothalamus mantle layer Strong Regionally restricted euxassay_002977_12
TS23: diencephalon lateral wall mantle layer Strong Regionally restricted euxassay_002977_12
TS23: midbrain ventricular layer Strong Regionally restricted euxassay_002977_12
TS23: midbrain mantle layer Strong Regionally restricted euxassay_002977_12
TS23: pons ventricular layer Strong Regionally restricted euxassay_002977_12
TS23: medulla oblongata basal plate ventricular layer Strong Regionally restricted euxassay_002977_12
TS23: medulla oblongata basal plate mantle layer Strong Regionally restricted euxassay_002977_12

Specimen euxassay_002977_13: embryonic day 14.5 (more )
Structure Level Pattern Image Note
TS23: liver lobe Strong Regionally restricted euxassay_002977_13
TS23: dorsal root ganglion Strong Regionally restricted euxassay_002977_13
TS23: ventral grey horn Strong Single cells euxassay_002977_13
TS23: olfactory cortex marginal layer Strong Regionally restricted euxassay_002977_13
TS23: telencephalon marginal layer Strong Regionally restricted euxassay_002977_13
TS23: telencephalon mantle layer Strong Regionally restricted euxassay_002977_13
TS23: telencephalon ventricular layer Strong Regionally restricted euxassay_002977_13
TS23: diencephalon lateral wall ventricular layer Strong Regionally restricted euxassay_002977_13
TS23: diencephalon lateral wall mantle layer Strong Regionally restricted euxassay_002977_13
TS23: hypothalamus ventricular layer Strong Regionally restricted euxassay_002977_13
TS23: hypothalamus mantle layer Strong Regionally restricted euxassay_002977_13
TS23: midbrain ventricular layer Strong Regionally restricted euxassay_002977_13
TS23: midbrain mantle layer Strong Regionally restricted euxassay_002977_13
TS23: pons ventricular layer Strong Regionally restricted euxassay_002977_13
TS23: medulla oblongata basal plate ventricular layer Strong Regionally restricted euxassay_002977_13
TS23: medulla oblongata basal plate mantle layer Strong Regionally restricted euxassay_002977_13

Specimen euxassay_002977_14: embryonic day 14.5 (more )
Structure Level Pattern Image Note
TS23: liver lobe Strong Regionally restricted euxassay_002977_14
TS23: ventral grey horn Strong Single cells euxassay_002977_14
TS23: olfactory cortex marginal layer Strong Regionally restricted euxassay_002977_14
TS23: telencephalon marginal layer Strong Regionally restricted euxassay_002977_14
TS23: telencephalon mantle layer Strong Regionally restricted euxassay_002977_14
TS23: diencephalon lateral wall ventricular layer Strong Regionally restricted euxassay_002977_14
TS23: diencephalon lateral wall mantle layer Strong Regionally restricted euxassay_002977_14
TS23: hypothalamus ventricular layer Strong Regionally restricted euxassay_002977_14
TS23: hypothalamus mantle layer Strong Regionally restricted euxassay_002977_14
TS23: midbrain ventricular layer Strong Regionally restricted euxassay_002977_14
TS23: midbrain mantle layer Strong Regionally restricted euxassay_002977_14
TS23: pons ventricular layer Strong Regionally restricted euxassay_002977_14
TS23: medulla oblongata basal plate ventricular layer Strong Regionally restricted euxassay_002977_14

Specimen euxassay_002977_15: embryonic day 14.5 (more )
Structure Level Pattern Image Note
TS23: liver lobe Strong Regionally restricted euxassay_002977_15
TS23: ventral grey horn Strong Single cells euxassay_002977_15
TS23: telencephalon marginal layer Strong Regionally restricted euxassay_002977_15
TS23: telencephalon mantle layer Strong Regionally restricted euxassay_002977_15
TS23: hypothalamus mantle layer Strong Regionally restricted euxassay_002977_15
TS23: diencephalon lateral wall mantle layer Strong Regionally restricted euxassay_002977_15
TS23: hypothalamus ventricular layer Strong Regionally restricted euxassay_002977_15
TS23: diencephalon lateral wall ventricular layer Strong Regionally restricted euxassay_002977_15
TS23: midbrain ventricular layer Strong Regionally restricted euxassay_002977_15
TS23: midbrain mantle layer Strong Regionally restricted euxassay_002977_15
TS23: pons ventricular layer Strong Regionally restricted euxassay_002977_15
TS23: medulla oblongata basal plate ventricular layer Strong Regionally restricted euxassay_002977_15
TS23: medulla oblongata basal plate mantle layer Strong Regionally restricted euxassay_002977_15

Specimen euxassay_002977_16: embryonic day 14.5 (more )
Structure Level Pattern Image Note
TS23: liver lobe Strong Regionally restricted euxassay_002977_16
TS23: ventral grey horn Strong Single cells euxassay_002977_16
TS23: telencephalon marginal layer Strong Regionally restricted euxassay_002977_16
TS23: telencephalon mantle layer Strong Regionally restricted euxassay_002977_16
TS23: hypothalamus mantle layer Strong Regionally restricted euxassay_002977_16
TS23: diencephalon lateral wall mantle layer Strong Regionally restricted euxassay_002977_16
TS23: midbrain ventricular layer Strong Regionally restricted euxassay_002977_16
TS23: midbrain mantle layer Strong Regionally restricted euxassay_002977_16
TS23: medulla oblongata basal plate ventricular layer Strong Regionally restricted euxassay_002977_16
TS23: medulla oblongata basal plate mantle layer Strong Regionally restricted euxassay_002977_16
TS23: pons ventricular layer Strong Regionally restricted euxassay_002977_16
TS23: pons mantle layer Strong Regionally restricted euxassay_002977_16

Specimen euxassay_002977_17: embryonic day 14.5 (more )
Structure Level Pattern Image Note
TS23: liver lobe Strong Regionally restricted euxassay_002977_17
TS23: dorsal root ganglion Strong Regionally restricted euxassay_002977_17
TS23: ventral grey horn Strong Single cells euxassay_002977_17
TS23: olfactory cortex ventricular layer Strong Regionally restricted euxassay_002977_17
TS23: olfactory cortex marginal layer Strong Regionally restricted euxassay_002977_17
TS23: telencephalon marginal layer Strong Regionally restricted euxassay_002977_17
TS23: telencephalon ventricular layer Strong Regionally restricted euxassay_002977_17
TS23: diencephalon lateral wall mantle layer Strong Regionally restricted euxassay_002977_17
TS23: hypothalamus mantle layer Strong Regionally restricted euxassay_002977_17
TS23: midbrain ventricular layer Strong Regionally restricted euxassay_002977_17
TS23: midbrain mantle layer Strong Regionally restricted euxassay_002977_17
TS23: pons ventricular layer Strong Regionally restricted euxassay_002977_17
TS23: medulla oblongata basal plate ventricular layer Strong Regionally restricted euxassay_002977_17
TS23: medulla oblongata basal plate mantle layer Strong Regionally restricted euxassay_002977_17
TS23: pons mantle layer Strong Regionally restricted euxassay_002977_17

Specimen euxassay_002977_18: embryonic day 14.5 (more )
Structure Level Pattern Image Note
TS23: liver lobe Strong Regionally restricted euxassay_002977_18
TS23: dorsal root ganglion Strong Regionally restricted euxassay_002977_18
TS23: ventral grey horn Strong Single cells euxassay_002977_18
TS23: olfactory cortex ventricular layer Strong Regionally restricted euxassay_002977_18
TS23: olfactory cortex marginal layer Strong Regionally restricted euxassay_002977_18
TS23: telencephalon ventricular layer Strong Regionally restricted euxassay_002977_18
TS23: telencephalon marginal layer Strong Regionally restricted euxassay_002977_18
TS23: telencephalon mantle layer Strong Regionally restricted euxassay_002977_18
TS23: hypothalamus mantle layer Strong Regionally restricted euxassay_002977_18
TS23: diencephalon lateral wall mantle layer Strong Regionally restricted euxassay_002977_18
TS23: midbrain ventricular layer Strong Regionally restricted euxassay_002977_18
TS23: midbrain mantle layer Strong Regionally restricted euxassay_002977_18
TS23: pons ventricular layer Strong Regionally restricted euxassay_002977_18
TS23: pons mantle layer Strong Regionally restricted euxassay_002977_18
TS23: medulla oblongata basal plate ventricular layer Strong Regionally restricted euxassay_002977_18
TS23: medulla oblongata basal plate mantle layer Strong Regionally restricted euxassay_002977_18

Specimen euxassay_002977_19: embryonic day 14.5 (more )
Note: Additional information for this specimen was included in the Eurexpress data submission file.
Structure Level Pattern Image Note
TS23: liver lobe Strong Regionally restricted euxassay_002977_19
TS23: vestibulo-cochlear ganglion Weak Regionally restricted euxassay_002977_19
TS23: vagus ganglion Weak Regionally restricted euxassay_002977_19
TS23: trigeminal ganglion Strong Regionally restricted euxassay_002977_19
TS23: dorsal root ganglion Strong Regionally restricted euxassay_002977_19
TS23: telencephalon ventricular layer Strong Regionally restricted euxassay_002977_19
TS23: olfactory cortex ventricular layer Strong Regionally restricted euxassay_002977_19
TS23: olfactory cortex marginal layer Strong Regionally restricted euxassay_002977_19
TS23: telencephalon marginal layer Strong Regionally restricted euxassay_002977_19
TS23: telencephalon mantle layer Strong Regionally restricted euxassay_002977_19
TS23: hypothalamus mantle layer Strong Regionally restricted euxassay_002977_19
TS23: diencephalon lateral wall mantle layer Strong Regionally restricted euxassay_002977_19
TS23: midbrain mantle layer Moderate Regionally restricted euxassay_002977_19
TS23: pons ventricular layer Strong Regionally restricted euxassay_002977_19
TS23: pons mantle layer Strong Regionally restricted euxassay_002977_19
TS23: medulla oblongata basal plate mantle layer Strong Regionally restricted euxassay_002977_19
TS23: metencephalon basal plate Strong Regionally restricted euxassay_002977_19 facial motor nucleus

Specimen euxassay_002977_20: embryonic day 14.5 (more )
Structure Level Pattern Image Note
TS23: liver lobe Strong Regionally restricted euxassay_002977_20
TS23: glossopharyngeal ganglion Strong Regionally restricted euxassay_002977_20
TS23: trigeminal ganglion Strong Regionally restricted euxassay_002977_20
TS23: vestibulo-cochlear ganglion Weak Regionally restricted euxassay_002977_20
TS23: dorsal root ganglion Strong Regionally restricted euxassay_002977_20
TS23: telencephalon ventricular layer Strong Regionally restricted euxassay_002977_20
TS23: telencephalon mantle layer Strong Regionally restricted euxassay_002977_20
TS23: telencephalon marginal layer Strong Regionally restricted euxassay_002977_20
TS23: midbrain mantle layer Moderate Regionally restricted euxassay_002977_20
TS23: pons ventricular layer Strong Regionally restricted euxassay_002977_20

Specimen euxassay_002977_21: embryonic day 14.5 (more )
Structure Level Pattern Image Note
TS23: liver lobe Strong Regionally restricted euxassay_002977_21
TS23: trigeminal ganglion Strong Regionally restricted euxassay_002977_21
TS23: glossopharyngeal ganglion Strong Regionally restricted euxassay_002977_21
TS23: vestibulo-cochlear ganglion Strong Regionally restricted euxassay_002977_21
TS23: testis Strong Regionally restricted euxassay_002977_21
TS23: telencephalon ventricular layer Strong Regionally restricted euxassay_002977_21
TS23: telencephalon marginal layer Strong Regionally restricted euxassay_002977_21
TS23: telencephalon mantle layer Strong Regionally restricted euxassay_002977_21
TS23: pons ventricular layer Strong Regionally restricted euxassay_002977_21

Specimen euxassay_002977_22: embryonic day 14.5 (more )
Structure Level Pattern Image Note
TS23: liver lobe Strong Regionally restricted euxassay_002977_22
TS23: trigeminal ganglion Strong Regionally restricted euxassay_002977_22
TS23: facial ganglion Strong Regionally restricted euxassay_002977_22
TS23: testis Strong Regionally restricted euxassay_002977_22
TS23: telencephalon ventricular layer Strong Regionally restricted euxassay_002977_22
TS23: telencephalon marginal layer Strong Regionally restricted euxassay_002977_22
TS23: telencephalon mantle layer Strong Regionally restricted euxassay_002977_22
TS23: pons ventricular layer Moderate Regionally restricted euxassay_002977_22

Specimen euxassay_002977_23: embryonic day 14.5 (more )
Structure Level Pattern Image Note
TS23: liver lobe Strong Regionally restricted euxassay_002977_23
TS23: trigeminal ganglion Strong Regionally restricted euxassay_002977_23
TS23: facial ganglion Strong Regionally restricted euxassay_002977_23
TS23: testis Moderate Regionally restricted euxassay_002977_23
TS23: telencephalon ventricular layer Strong Regionally restricted euxassay_002977_23
TS23: telencephalon marginal layer Strong Regionally restricted euxassay_002977_23
TS23: telencephalon mantle layer Strong Regionally restricted euxassay_002977_23

Specimen euxassay_002977_24: embryonic day 14.5 (more )
Structure Level Pattern Image Note
TS23: liver lobe Strong Regionally restricted euxassay_002977_24
TS23: trigeminal ganglion Strong Regionally restricted euxassay_002977_24
TS23: testis Weak Regionally restricted euxassay_002977_24
TS23: telencephalon ventricular layer Strong Regionally restricted euxassay_002977_24
TS23: telencephalon marginal layer Strong Regionally restricted euxassay_002977_24
TS23: telencephalon mantle layer Strong Regionally restricted euxassay_002977_24


Contributing Projects:
Mouse Genome Database (MGD), Gene Expression Database (GXD), Mouse Models of Human Cancer database (MMHCdb) (formerly Mouse Tumor Biology (MTB)), Gene Ontology (GO)
Citing These Resources
Funding Information
Warranty Disclaimer, Privacy Notice, Licensing, & Copyright
Send questions and comments to User Support.
last database update
01/20/2026
MGI 6.24
The Jackson Laboratory