About   Help   FAQ
Gene Expression Data
Assay Details
Assay
Reference: J:153498 Diez-Roux G, et al., A high-resolution anatomical atlas of the transcriptome in the mouse embryo. PLoS Biol. 2011;9(1):e1000582
Assay type: RNA in situ
MGI Accession ID: MGI:4827239
Gene symbol: Pla2g12b
Gene name: phospholipase A2, group XIIB
Probe: IMAGE clone 1889917
Probe preparation: Antisense labelled with digoxigenin RNA
Visualized with: Alkaline phosphatase
Assay notes: Cryosections of fresh frozen material were fixed in 4% paraformaldehyde for 20 min. before further processing. A tyramide-biotin/streptavidin amplification step was included in the in situ hybridization procedure.
Results
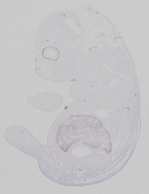
Specimen euxassay_001945_01: embryonic day 14.5 (more )
Structure Level Pattern Image Note
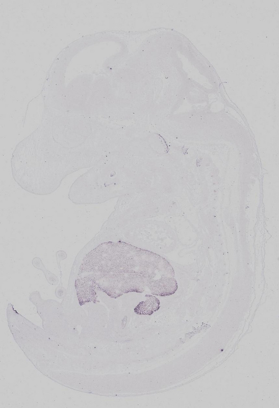
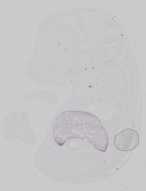
TS23: liver lobe Strong Regionally restricted euxassay_001945_01

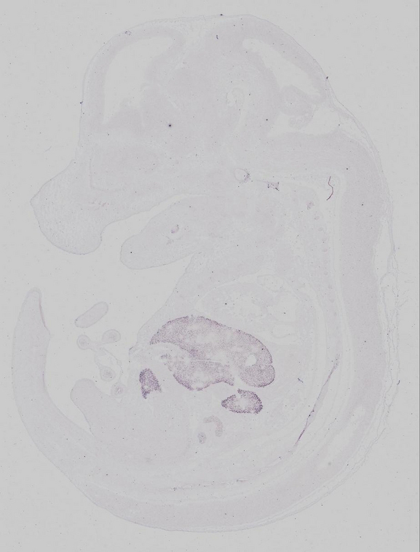
Specimen euxassay_001945_02: embryonic day 14.5 (more )
Structure Level Pattern Image Note
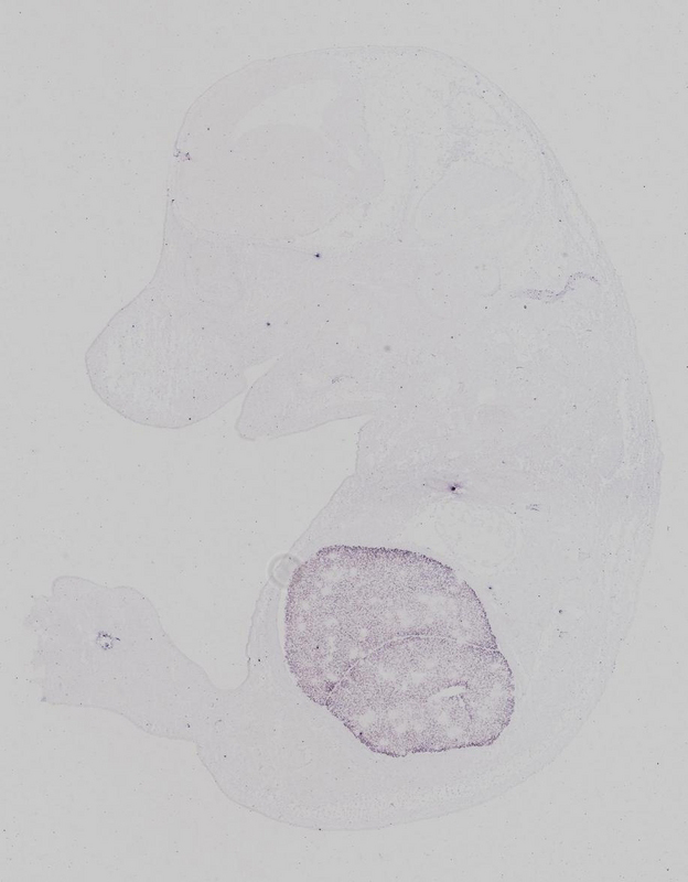
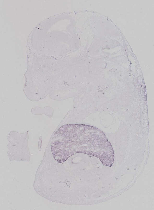
TS23: liver lobe Strong Regionally restricted euxassay_001945_02

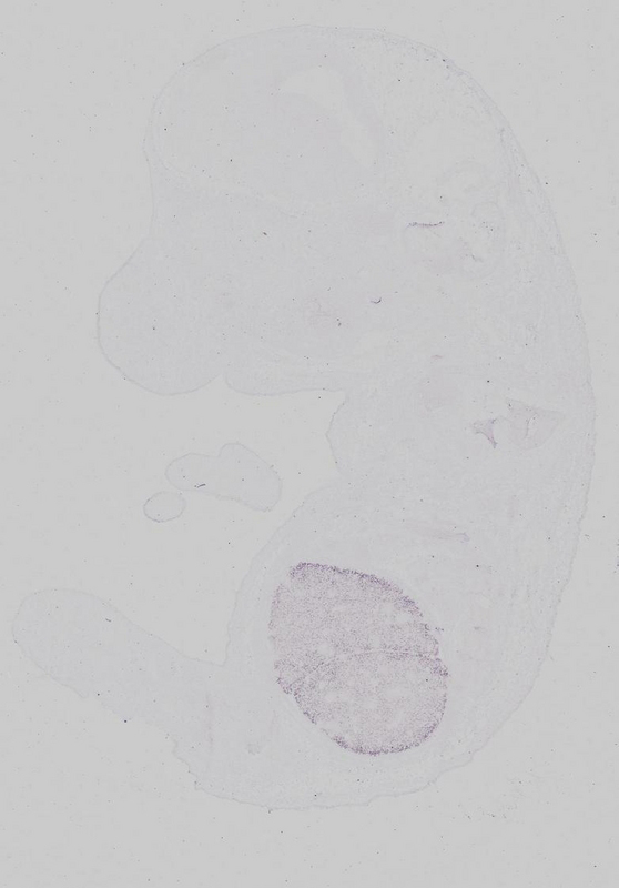
Specimen euxassay_001945_03: embryonic day 14.5 (more )
Structure Level Pattern Image Note
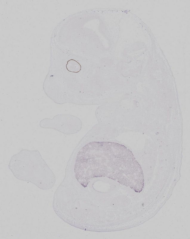
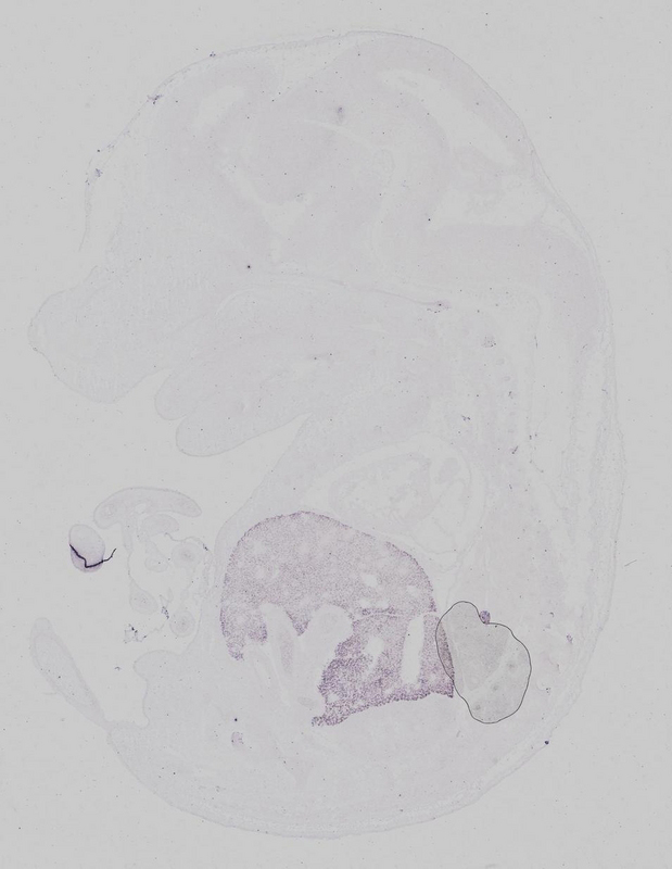
TS23: liver lobe Strong Regionally restricted euxassay_001945_03

Specimen euxassay_001945_04: embryonic day 14.5 (more )
Structure Level Pattern Image Note
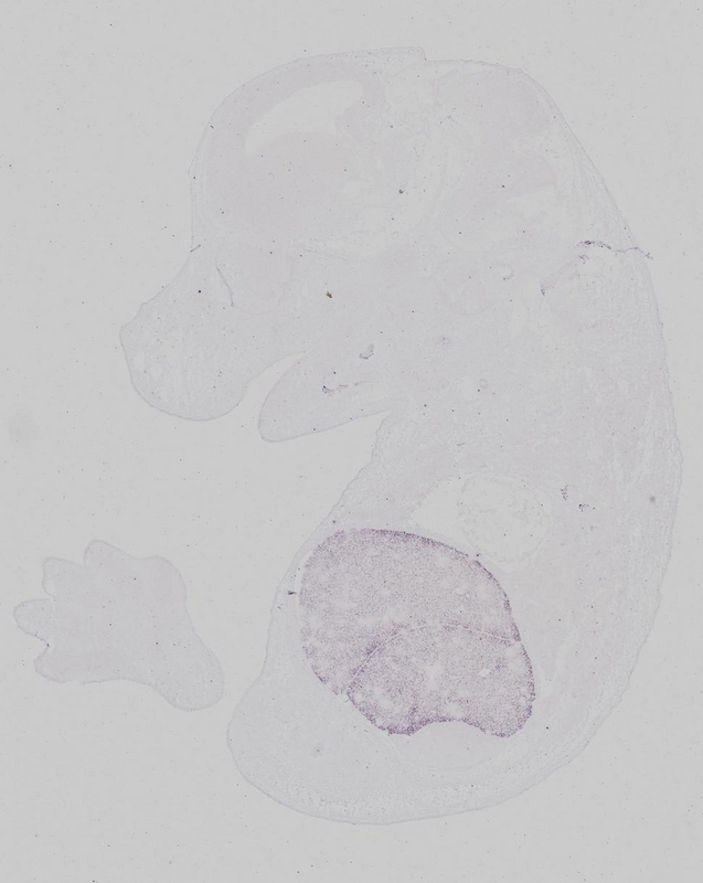
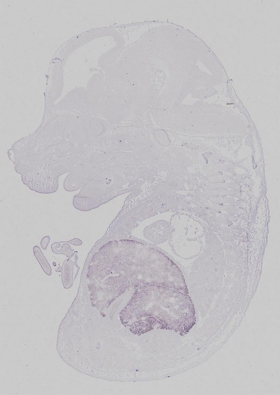
TS23: liver lobe Strong Regionally restricted euxassay_001945_04

Specimen euxassay_001945_05: embryonic day 14.5 (more )
Structure Level Pattern Image Note
TS23: liver lobe Strong Regionally restricted euxassay_001945_05

Specimen euxassay_001945_06: embryonic day 14.5 (more )
Structure Level Pattern Image Note
TS23: liver lobe Strong Regionally restricted euxassay_001945_06

Specimen euxassay_001945_07: embryonic day 14.5 (more )
Structure Level Pattern Image Note
TS23: liver lobe Strong Regionally restricted euxassay_001945_07

Specimen euxassay_001945_08: embryonic day 14.5 (more )
Structure Level Pattern Image Note
TS23: liver lobe Strong Regionally restricted euxassay_001945_08

Specimen euxassay_001945_09: embryonic day 14.5 (more )
Structure Level Pattern Image Note
TS23: liver lobe Strong Regionally restricted euxassay_001945_09

Specimen euxassay_001945_10: embryonic day 14.5 (more )
Structure Level Pattern Image Note
TS23: liver lobe Strong Regionally restricted euxassay_001945_10

Specimen euxassay_001945_11: embryonic day 14.5 (more )
Structure Level Pattern Image Note
TS23: liver lobe Strong Regionally restricted euxassay_001945_11

Specimen euxassay_001945_12: embryonic day 14.5 (more )
Structure Level Pattern Image Note
TS23: liver lobe Strong Regionally restricted euxassay_001945_12

Specimen euxassay_001945_13: embryonic day 14.5 (more )
Structure Level Pattern Image Note
TS23: liver lobe Strong Regionally restricted euxassay_001945_13

Specimen euxassay_001945_14: embryonic day 14.5 (more )
Structure Level Pattern Image Note
TS23: liver lobe Strong Regionally restricted euxassay_001945_14

Specimen euxassay_001945_15: embryonic day 14.5 (more )
Structure Level Pattern Image Note
TS23: liver lobe Strong Regionally restricted euxassay_001945_15

Specimen euxassay_001945_16: embryonic day 14.5 (more )
Structure Level Pattern Image Note
TS23: liver lobe Strong Regionally restricted euxassay_001945_16

Specimen euxassay_001945_17: embryonic day 14.5 (more )
Structure Level Pattern Image Note
TS23: liver lobe Strong Regionally restricted euxassay_001945_17

Specimen euxassay_001945_18: embryonic day 14.5 (more )
Structure Level Pattern Image Note
TS23: liver lobe Strong Regionally restricted euxassay_001945_18

Specimen euxassay_001945_19: embryonic day 14.5 (more )
Structure Level Pattern Image Note
TS23: liver lobe Weak Regionally restricted euxassay_001945_19

Specimen euxassay_001945_20: embryonic day 14.5 (more )
Structure Level Pattern Image Note
TS23: liver lobe Weak Regionally restricted euxassay_001945_20


Contributing Projects:
Mouse Genome Database (MGD), Gene Expression Database (GXD), Mouse Models of Human Cancer database (MMHCdb) (formerly Mouse Tumor Biology (MTB)), Gene Ontology (GO)
Citing These Resources
Funding Information
Warranty Disclaimer, Privacy Notice, Licensing, & Copyright
Send questions and comments to User Support.
last database update
01/28/2026
MGI 6.24
The Jackson Laboratory