About   Help   FAQ
Gene Expression Data
Assay Details
Assay
Reference: J:153498 Diez-Roux G, et al., A high-resolution anatomical atlas of the transcriptome in the mouse embryo. PLoS Biol. 2011;9(1):e1000582
Assay type: RNA in situ
MGI Accession ID: MGI:4827232
Gene symbol: Pklr
Gene name: pyruvate kinase liver and red blood cell
Probe: T36796
Probe preparation: Antisense labelled with digoxigenin RNA
Visualized with: Alkaline phosphatase
Assay notes: Cryosections of fresh frozen material were fixed in 4% paraformaldehyde for 20 min. before further processing. A tyramide-biotin/streptavidin amplification step was included in the in situ hybridization procedure.
Results
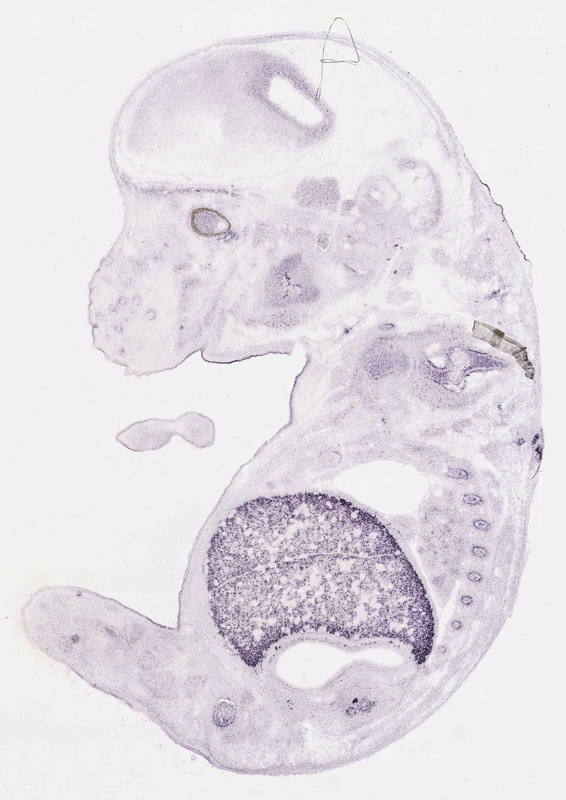
Specimen euxassay_009487_01: embryonic day 14.5 (more )
Structure Level Pattern Image Note
TS23: liver lobe Strong Regionally restricted euxassay_009487_01

Specimen euxassay_009487_02: embryonic day 14.5 (more )
Structure Level Pattern Image Note
TS23: liver lobe Strong Regionally restricted euxassay_009487_02

Specimen euxassay_009487_03: embryonic day 14.5 (more )
Structure Level Pattern Image Note
TS23: liver lobe Strong Regionally restricted euxassay_009487_03

Specimen euxassay_009487_04: embryonic day 14.5 (more )
Structure Level Pattern Image Note
TS23: liver lobe Strong Regionally restricted euxassay_009487_04

Specimen euxassay_009487_05: embryonic day 14.5 (more )
Structure Level Pattern Image Note
TS23: liver lobe Strong Regionally restricted euxassay_009487_05

Specimen euxassay_009487_06: embryonic day 14.5 (more )
Structure Level Pattern Image Note
TS23: liver lobe Strong Regionally restricted euxassay_009487_06
TS23: submandibular gland primordium Moderate Regionally restricted euxassay_009487_06

Specimen euxassay_009487_07: embryonic day 14.5 (more )
Structure Level Pattern Image Note
TS23: liver lobe Strong Regionally restricted euxassay_009487_07
TS23: submandibular gland primordium Moderate Regionally restricted euxassay_009487_07

Specimen euxassay_009487_08: embryonic day 14.5 (more )
Structure Level Pattern Image Note
TS23: liver lobe Strong Regionally restricted euxassay_009487_08
TS23: upper jaw incisor Moderate Regionally restricted euxassay_009487_08
TS23: lower jaw incisor Moderate Regionally restricted euxassay_009487_08

Specimen euxassay_009487_09: embryonic day 14.5 (more )
Structure Level Pattern Image Note
TS23: liver lobe Strong Regionally restricted euxassay_009487_09

Specimen euxassay_009487_10: embryonic day 14.5 (more )
Structure Level Pattern Image Note
TS23: liver lobe Strong Regionally restricted euxassay_009487_10

Specimen euxassay_009487_11: embryonic day 14.5 (more )
Structure Level Pattern Image Note
TS23: liver lobe Strong Regionally restricted euxassay_009487_11
TS23: lower jaw incisor Moderate Regionally restricted euxassay_009487_11
TS23: upper jaw incisor Moderate Regionally restricted euxassay_009487_11

Specimen euxassay_009487_12: embryonic day 14.5 (more )
Structure Level Pattern Image Note
TS23: liver lobe Strong Regionally restricted euxassay_009487_12
TS23: lower jaw incisor Moderate Regionally restricted euxassay_009487_12
TS23: upper jaw incisor Weak Regionally restricted euxassay_009487_12

Specimen euxassay_009487_13: embryonic day 14.5 (more )
Structure Level Pattern Image Note
TS23: liver lobe Strong Regionally restricted euxassay_009487_13

Specimen euxassay_009487_14: embryonic day 14.5 (more )
Structure Level Pattern Image Note
TS23: liver lobe Strong Regionally restricted euxassay_009487_14

Specimen euxassay_009487_15: embryonic day 14.5 (more )
Structure Level Pattern Image Note
TS23: liver lobe Strong Regionally restricted euxassay_009487_15
TS23: submandibular gland primordium Moderate Regionally restricted euxassay_009487_15

Specimen euxassay_009487_16: embryonic day 14.5 (more )
Structure Level Pattern Image Note
TS23: liver lobe Strong Regionally restricted euxassay_009487_16
TS23: submandibular gland primordium Moderate Regionally restricted euxassay_009487_16

Specimen euxassay_009487_17: embryonic day 14.5 (more )
Structure Level Pattern Image Note
TS23: liver lobe Strong Regionally restricted euxassay_009487_17

Specimen euxassay_009487_18: embryonic day 14.5 (more )
Structure Level Pattern Image Note
TS23: liver lobe Strong Regionally restricted euxassay_009487_18

Specimen euxassay_009487_19: embryonic day 14.5 (more )
Structure Level Pattern Image Note
TS23: liver lobe Strong Regionally restricted euxassay_009487_19

Specimen euxassay_009487_20: embryonic day 14.5 (more )
Structure Level Pattern Image Note
TS23: liver lobe Strong Regionally restricted euxassay_009487_20

Specimen euxassay_009487_21: embryonic day 14.5 (more )
Structure Level Pattern Image Note
TS23: liver lobe Strong Regionally restricted euxassay_009487_21


Contributing Projects:
Mouse Genome Database (MGD), Gene Expression Database (GXD), Mouse Models of Human Cancer database (MMHCdb) (formerly Mouse Tumor Biology (MTB)), Gene Ontology (GO)
Citing These Resources
Funding Information
Warranty Disclaimer, Privacy Notice, Licensing, & Copyright
Send questions and comments to User Support.
last database update
12/30/2025
MGI 6.24
The Jackson Laboratory