About   Help   FAQ
Gene Expression Data
Assay Details
Assay
Reference: J:153498 Diez-Roux G, et al., A high-resolution anatomical atlas of the transcriptome in the mouse embryo. PLoS Biol. 2011;9(1):e1000582
Assay type: RNA in situ
MGI Accession ID: MGI:4827230
Gene symbol: Pkia
Gene name: protein kinase inhibitor, alpha
Probe: MGC clone 54726
Probe preparation: Antisense labelled with digoxigenin RNA
Visualized with: Alkaline phosphatase
Assay notes: Cryosections of fresh frozen material were fixed in 4% paraformaldehyde for 20 min. before further processing. A tyramide-biotin/streptavidin amplification step was included in the in situ hybridization procedure.
Results
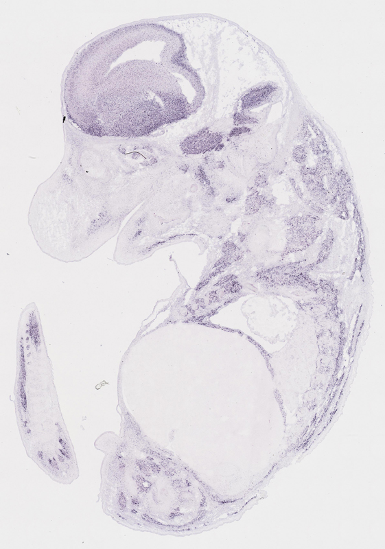
Specimen euxassay_004656_01: embryonic day 14.5 (more )
Structure Level Pattern Image Note
TS23: vertebral axis musculature Moderate Regionally restricted euxassay_004656_01
TS23: head mesenchyme Moderate Regionally restricted euxassay_004656_01
TS23: brain Strong Regionally restricted euxassay_004656_01
TS23: neural retina Strong Regionally restricted euxassay_004656_01

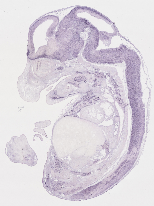
Specimen euxassay_004656_02: embryonic day 14.5 (more )
Structure Level Pattern Image Note
TS23: vertebral axis musculature Moderate Regionally restricted euxassay_004656_02
TS23: head mesenchyme Moderate Regionally restricted euxassay_004656_02
TS23: brain Strong Regionally restricted euxassay_004656_02
TS23: neural retina Strong Regionally restricted euxassay_004656_02

Specimen euxassay_004656_03: embryonic day 14.5 (more )
Structure Level Pattern Image Note
TS23: vertebral axis musculature Moderate Regionally restricted euxassay_004656_03
TS23: head mesenchyme Moderate Regionally restricted euxassay_004656_03
TS23: trigeminal ganglion Strong Regionally restricted euxassay_004656_03
TS23: brain Strong Regionally restricted euxassay_004656_03
TS23: neural retina Strong Regionally restricted euxassay_004656_03

Specimen euxassay_004656_04: embryonic day 14.5 (more )
Structure Level Pattern Image Note
TS23: vertebral axis musculature Moderate Regionally restricted euxassay_004656_04
TS23: head mesenchyme Moderate Regionally restricted euxassay_004656_04
TS23: trigeminal ganglion Strong Regionally restricted euxassay_004656_04
TS23: facial ganglion Strong Regionally restricted euxassay_004656_04
TS23: brain Strong Regionally restricted euxassay_004656_04
TS23: neural retina Moderate Regionally restricted euxassay_004656_04

Specimen euxassay_004656_05: embryonic day 14.5 (more )
Structure Level Pattern Image Note
TS23: vertebral axis musculature Moderate Regionally restricted euxassay_004656_05
TS23: head mesenchyme Moderate Regionally restricted euxassay_004656_05
TS23: trigeminal ganglion Strong Regionally restricted euxassay_004656_05
TS23: facial ganglion Strong Regionally restricted euxassay_004656_05
TS23: brain Strong Regionally restricted euxassay_004656_05

Specimen euxassay_004656_06: embryonic day 14.5 (more )
Structure Level Pattern Image Note
TS23: vertebral axis musculature Moderate Regionally restricted euxassay_004656_06
TS23: head mesenchyme Moderate Regionally restricted euxassay_004656_06
TS23: trigeminal ganglion Strong Regionally restricted euxassay_004656_06
TS23: glossopharyngeal ganglion Strong Regionally restricted euxassay_004656_06
TS23: vestibulo-cochlear ganglion Strong Regionally restricted euxassay_004656_06
TS23: brain Strong Regionally restricted euxassay_004656_06
TS23: dorsal root ganglion Strong Regionally restricted euxassay_004656_06

Specimen euxassay_004656_07: embryonic day 14.5 (more )
Structure Level Pattern Image Note
TS23: head mesenchyme Moderate Regionally restricted euxassay_004656_07
TS23: vertebral axis musculature Moderate Regionally restricted euxassay_004656_07
TS23: glossopharyngeal ganglion Strong Regionally restricted euxassay_004656_07
TS23: trigeminal ganglion Strong Regionally restricted euxassay_004656_07
TS23: vestibulo-cochlear ganglion Strong Regionally restricted euxassay_004656_07
TS23: spinal cord Strong Regionally restricted euxassay_004656_07
TS23: brain Strong Regionally restricted euxassay_004656_07
TS23: dorsal root ganglion Strong Regionally restricted euxassay_004656_07

Specimen euxassay_004656_08: embryonic day 14.5 (more )
Structure Level Pattern Image Note
TS23: vertebral axis musculature Moderate Regionally restricted euxassay_004656_08
TS23: vagus ganglion Strong Regionally restricted euxassay_004656_08
TS23: trigeminal ganglion Strong Regionally restricted euxassay_004656_08
TS23: vestibulo-cochlear ganglion Strong Regionally restricted euxassay_004656_08
TS23: spinal cord Strong Regionally restricted euxassay_004656_08
TS23: brain Strong Regionally restricted euxassay_004656_08
TS23: dorsal root ganglion Strong Regionally restricted euxassay_004656_08

Specimen euxassay_004656_09: embryonic day 14.5 (more )
Structure Level Pattern Image Note
TS23: vertebral axis musculature Moderate Regionally restricted euxassay_004656_09
TS23: trigeminal ganglion Strong Regionally restricted euxassay_004656_09
TS23: spinal cord Strong Regionally restricted euxassay_004656_09
TS23: brain Strong Regionally restricted euxassay_004656_09
TS23: dorsal root ganglion Moderate Regionally restricted euxassay_004656_09

Specimen euxassay_004656_10: embryonic day 14.5 (more )
Structure Level Pattern Image Note
TS23: vertebral axis musculature Moderate Regionally restricted euxassay_004656_10
TS23: trigeminal nerve Strong Regionally restricted euxassay_004656_10
TS23: spinal cord Strong Regionally restricted euxassay_004656_10
TS23: brain Strong Regionally restricted euxassay_004656_10
TS23: dorsal root ganglion Weak Regionally restricted euxassay_004656_10
TS23: olfactory epithelium Weak Regionally restricted euxassay_004656_10

Specimen euxassay_004656_11: embryonic day 14.5 (more )
Structure Level Pattern Image Note
TS23: vertebral axis musculature Moderate Regionally restricted euxassay_004656_11
TS23: spinal cord Strong Regionally restricted euxassay_004656_11
TS23: brain Strong Regionally restricted euxassay_004656_11
TS23: olfactory epithelium Moderate Regionally restricted euxassay_004656_11
TS23: tongue Moderate Regionally restricted euxassay_004656_11

Specimen euxassay_004656_12: embryonic day 14.5 (more )
Structure Level Pattern Image Note
TS23: vertebral axis musculature Moderate Regionally restricted euxassay_004656_12
TS23: spinal cord Strong Regionally restricted euxassay_004656_12
TS23: brain Strong Regionally restricted euxassay_004656_12
TS23: olfactory epithelium Moderate Regionally restricted euxassay_004656_12
TS23: tongue Moderate Regionally restricted euxassay_004656_12

Specimen euxassay_004656_13: embryonic day 14.5 (more )
Structure Level Pattern Image Note
TS23: vertebral axis musculature Moderate Regionally restricted euxassay_004656_13
TS23: spinal cord Strong Regionally restricted euxassay_004656_13
TS23: brain Strong Regionally restricted euxassay_004656_13
TS23: dorsal root ganglion Strong Regionally restricted euxassay_004656_13
TS23: tongue Moderate Regionally restricted euxassay_004656_13

Specimen euxassay_004656_14: embryonic day 14.5 (more )
Structure Level Pattern Image Note
TS23: vertebral axis musculature Moderate Regionally restricted euxassay_004656_14
TS23: brain Strong Regionally restricted euxassay_004656_14
TS23: spinal cord Strong Regionally restricted euxassay_004656_14
TS23: dorsal root ganglion Strong Regionally restricted euxassay_004656_14
TS23: tongue Moderate Regionally restricted euxassay_004656_14

Specimen euxassay_004656_15: embryonic day 14.5 (more )
Structure Level Pattern Image Note
TS23: vertebral axis musculature Moderate Regionally restricted euxassay_004656_15
TS23: brain Strong Regionally restricted euxassay_004656_15
TS23: dorsal root ganglion Moderate Regionally restricted euxassay_004656_15
TS23: olfactory epithelium Weak Regionally restricted euxassay_004656_15
TS23: tongue Moderate Regionally restricted euxassay_004656_15
TS23: tail mesenchyme Moderate Regionally restricted euxassay_004656_15

Specimen euxassay_004656_16: embryonic day 14.5 (more )
Structure Level Pattern Image Note
TS23: vertebral axis musculature Moderate Regionally restricted euxassay_004656_16
TS23: brain Strong Regionally restricted euxassay_004656_16
TS23: dorsal root ganglion Moderate Regionally restricted euxassay_004656_16
TS23: olfactory epithelium Weak Regionally restricted euxassay_004656_16
TS23: tongue Moderate Regionally restricted euxassay_004656_16
TS23: tail mesenchyme Moderate Regionally restricted euxassay_004656_16

Specimen euxassay_004656_17: embryonic day 14.5 (more )
Structure Level Pattern Image Note
TS23: vertebral axis musculature Moderate Regionally restricted euxassay_004656_17
TS23: trigeminal ganglion Strong Regionally restricted euxassay_004656_17
TS23: trigeminal nerve Strong Regionally restricted euxassay_004656_17
TS23: vestibulo-cochlear ganglion Strong Regionally restricted euxassay_004656_17
TS23: vagus ganglion Strong Regionally restricted euxassay_004656_17
TS23: brain Strong Regionally restricted euxassay_004656_17
TS23: dorsal root ganglion Moderate Regionally restricted euxassay_004656_17
TS23: olfactory epithelium Weak Regionally restricted euxassay_004656_17
TS23: tongue Moderate Regionally restricted euxassay_004656_17

Specimen euxassay_004656_18: embryonic day 14.5 (more )
Structure Level Pattern Image Note
TS23: vertebral axis musculature Moderate Regionally restricted euxassay_004656_18
TS23: head mesenchyme Moderate Regionally restricted euxassay_004656_18
TS23: trigeminal ganglion Strong Regionally restricted euxassay_004656_18
TS23: vestibulo-cochlear ganglion Strong Regionally restricted euxassay_004656_18
TS23: glossopharyngeal ganglion Strong Regionally restricted euxassay_004656_18
TS23: brain Strong Regionally restricted euxassay_004656_18
TS23: tail mesenchyme Moderate Regionally restricted euxassay_004656_18

Specimen euxassay_004656_19: embryonic day 14.5 (more )
Structure Level Pattern Image Note
TS23: vertebral axis musculature Moderate Regionally restricted euxassay_004656_19
TS23: head mesenchyme Moderate Regionally restricted euxassay_004656_19
TS23: trigeminal ganglion Strong Regionally restricted euxassay_004656_19
TS23: vestibulo-cochlear ganglion Strong Regionally restricted euxassay_004656_19
TS23: brain Strong Regionally restricted euxassay_004656_19
TS23: tail mesenchyme Moderate Regionally restricted euxassay_004656_19

Specimen euxassay_004656_20: embryonic day 14.5 (more )
Structure Level Pattern Image Note
TS23: vertebral axis musculature Moderate Regionally restricted euxassay_004656_20
TS23: head mesenchyme Moderate Regionally restricted euxassay_004656_20
TS23: trigeminal ganglion Strong Regionally restricted euxassay_004656_20
TS23: brain Strong Regionally restricted euxassay_004656_20
TS23: tail mesenchyme Moderate Regionally restricted euxassay_004656_20

Specimen euxassay_004656_21: embryonic day 14.5 (more )
Structure Level Pattern Image Note
TS23: vertebral axis musculature Moderate Regionally restricted euxassay_004656_21
TS23: head mesenchyme Moderate Regionally restricted euxassay_004656_21
TS23: trigeminal ganglion Strong Regionally restricted euxassay_004656_21
TS23: facial ganglion Strong Regionally restricted euxassay_004656_21
TS23: brain Strong Regionally restricted euxassay_004656_21
TS23: tail mesenchyme Moderate Regionally restricted euxassay_004656_21

Specimen euxassay_004656_22: embryonic day 14.5 (more )
Structure Level Pattern Image Note
TS23: vertebral axis musculature Moderate Regionally restricted euxassay_004656_22
TS23: head mesenchyme Moderate Regionally restricted euxassay_004656_22
TS23: trigeminal ganglion Strong Regionally restricted euxassay_004656_22
TS23: brain Strong Regionally restricted euxassay_004656_22

Specimen euxassay_004656_23: embryonic day 14.5 (more )
Structure Level Pattern Image Note
TS23: vertebral axis musculature Moderate Regionally restricted euxassay_004656_23
TS23: head mesenchyme Moderate Regionally restricted euxassay_004656_23
TS23: brain Strong Regionally restricted euxassay_004656_23
TS23: neural retina Moderate Regionally restricted euxassay_004656_23

Specimen euxassay_004656_24: embryonic day 14.5 (more )
Structure Level Pattern Image Note
TS23: vertebral axis musculature Moderate Regionally restricted euxassay_004656_24
TS23: head mesenchyme Moderate Regionally restricted euxassay_004656_24
TS23: neural retina Moderate Regionally restricted euxassay_004656_24


Contributing Projects:
Mouse Genome Database (MGD), Gene Expression Database (GXD), Mouse Models of Human Cancer database (MMHCdb) (formerly Mouse Tumor Biology (MTB)), Gene Ontology (GO)
Citing These Resources
Funding Information
Warranty Disclaimer, Privacy Notice, Licensing, & Copyright
Send questions and comments to User Support.
last database update
01/28/2026
MGI 6.24
The Jackson Laboratory