About   Help   FAQ
Gene Expression Data
Assay Details
Assay
Reference: J:153498 Diez-Roux G, et al., A high-resolution anatomical atlas of the transcriptome in the mouse embryo. PLoS Biol. 2011;9(1):e1000582
Assay type: RNA in situ
MGI Accession ID: MGI:4827223
Gene symbol: Pitrm1
Gene name: pitrilysin metallepetidase 1
Probe: MGC clone 11969
Probe preparation: Antisense labelled with digoxigenin RNA
Visualized with: Alkaline phosphatase
Assay notes: Cryosections of fresh frozen material were fixed in 4% paraformaldehyde for 20 min. before further processing. A tyramide-biotin/streptavidin amplification step was included in the in situ hybridization procedure.
Results
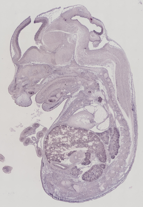
Specimen euxassay_006516_01: embryonic day 14.5 (more )
Structure Level Pattern Image Note
TS23: liver Moderate Regionally restricted euxassay_006516_01
TS23: telencephalon ventricular layer Strong Regionally restricted euxassay_006516_01
TS23: orbito-sphenoid Strong Regionally restricted euxassay_006516_01

Specimen euxassay_006516_02: embryonic day 14.5 (more )
Structure Level Pattern Image Note
TS23: liver Moderate Regionally restricted euxassay_006516_02
TS23: lung Strong Regionally restricted euxassay_006516_02
TS23: telencephalon ventricular layer Strong Regionally restricted euxassay_006516_02
TS23: orbito-sphenoid Strong Regionally restricted euxassay_006516_02

Specimen euxassay_006516_03: embryonic day 14.5 (more )
Structure Level Pattern Image Note
TS23: liver Moderate Regionally restricted euxassay_006516_03
TS23: lung Strong Regionally restricted euxassay_006516_03
TS23: telencephalon ventricular layer Strong Regionally restricted euxassay_006516_03
TS23: orbito-sphenoid Strong Regionally restricted euxassay_006516_03
TS23: axial musculature Strong Regionally restricted euxassay_006516_03

Specimen euxassay_006516_04: embryonic day 14.5 (more )
Structure Level Pattern Image Note
TS23: liver Moderate Regionally restricted euxassay_006516_04
TS23: lung Strong Regionally restricted euxassay_006516_04
TS23: vibrissa Strong Regionally restricted euxassay_006516_04
TS23: telencephalon ventricular layer Strong Regionally restricted euxassay_006516_04
TS23: orbito-sphenoid Strong Regionally restricted euxassay_006516_04
TS23: axial musculature Strong Regionally restricted euxassay_006516_04

Specimen euxassay_006516_05: embryonic day 14.5 (more )
Structure Level Pattern Image Note
TS23: liver Strong Regionally restricted euxassay_006516_05
TS23: lung Strong Regionally restricted euxassay_006516_05
TS23: submandibular gland primordium Strong Regionally restricted euxassay_006516_05
TS23: vibrissa Strong Regionally restricted euxassay_006516_05
TS23: telencephalon ventricular layer Strong Regionally restricted euxassay_006516_05
TS23: orbito-sphenoid Strong Regionally restricted euxassay_006516_05
TS23: axial musculature Strong Regionally restricted euxassay_006516_05

Specimen euxassay_006516_06: embryonic day 14.5 (more )
Structure Level Pattern Image Note
TS23: liver Strong Regionally restricted euxassay_006516_06
TS23: lung Moderate Regionally restricted euxassay_006516_06
TS23: submandibular gland primordium Strong Regionally restricted euxassay_006516_06
TS23: vibrissa Strong Regionally restricted euxassay_006516_06
TS23: upper jaw molar Strong Regionally restricted euxassay_006516_06
TS23: lower jaw molar Strong Regionally restricted euxassay_006516_06
TS23: telencephalon ventricular layer Strong Regionally restricted euxassay_006516_06
TS23: axial musculature Strong Regionally restricted euxassay_006516_06

Specimen euxassay_006516_07: embryonic day 14.5 (more )
Structure Level Pattern Image Note
TS23: liver Strong Regionally restricted euxassay_006516_07
TS23: lung Moderate Regionally restricted euxassay_006516_07
TS23: metanephros Moderate Regionally restricted euxassay_006516_07
TS23: submandibular gland primordium Strong Regionally restricted euxassay_006516_07
TS23: vibrissa Strong Regionally restricted euxassay_006516_07
TS23: telencephalon ventricular layer Strong Regionally restricted euxassay_006516_07
TS23: midbrain ventricular layer Strong Regionally restricted euxassay_006516_07
TS23: axial musculature Strong Regionally restricted euxassay_006516_07

Specimen euxassay_006516_08: embryonic day 14.5 (more )
Structure Level Pattern Image Note
TS23: liver Moderate Regionally restricted euxassay_006516_08
TS23: lung Moderate Regionally restricted euxassay_006516_08
TS23: metanephros Moderate Regionally restricted euxassay_006516_08
TS23: adrenal gland Moderate Regionally restricted euxassay_006516_08
TS23: submandibular gland primordium Strong Regionally restricted euxassay_006516_08
TS23: vibrissa Strong Regionally restricted euxassay_006516_08
TS23: telencephalon ventricular layer Strong Regionally restricted euxassay_006516_08
TS23: midbrain ventricular layer Strong Regionally restricted euxassay_006516_08

Specimen euxassay_006516_09: embryonic day 14.5 (more )
Structure Level Pattern Image Note
TS23: liver Strong Regionally restricted euxassay_006516_09
TS23: lung Strong Regionally restricted euxassay_006516_09
TS23: metanephros Strong Regionally restricted euxassay_006516_09
TS23: adrenal gland Strong Regionally restricted euxassay_006516_09
TS23: submandibular gland primordium Strong Regionally restricted euxassay_006516_09
TS23: telencephalon ventricular layer Strong Regionally restricted euxassay_006516_09
TS23: midbrain ventricular layer Strong Regionally restricted euxassay_006516_09

Specimen euxassay_006516_10: embryonic day 14.5 (more )
Structure Level Pattern Image Note
TS23: liver Strong Regionally restricted euxassay_006516_10
TS23: lung Strong Regionally restricted euxassay_006516_10
TS23: metanephros Strong Regionally restricted euxassay_006516_10
TS23: adrenal gland Strong Regionally restricted euxassay_006516_10
TS23: thymus primordium Strong Regionally restricted euxassay_006516_10
TS23: upper jaw incisor Strong Regionally restricted euxassay_006516_10
TS23: lower jaw incisor Strong Regionally restricted euxassay_006516_10
TS23: telencephalon ventricular layer Strong Regionally restricted euxassay_006516_10
TS23: midbrain ventricular layer Strong Regionally restricted euxassay_006516_10

Specimen euxassay_006516_11: embryonic day 14.5 (more )
Structure Level Pattern Image Note
TS23: liver Moderate Regionally restricted euxassay_006516_11
TS23: lung Moderate Regionally restricted euxassay_006516_11
TS23: metanephros Moderate Regionally restricted euxassay_006516_11
TS23: thymus primordium Strong Regionally restricted euxassay_006516_11
TS23: lower jaw incisor Strong Regionally restricted euxassay_006516_11
TS23: upper jaw incisor Strong Regionally restricted euxassay_006516_11
TS23: telencephalon ventricular layer Strong Regionally restricted euxassay_006516_11
TS23: midbrain ventricular layer Strong Regionally restricted euxassay_006516_11

Specimen euxassay_006516_12: embryonic day 14.5 (more )
Structure Level Pattern Image Note
TS23: liver Moderate Regionally restricted euxassay_006516_12
TS23: lung Moderate Regionally restricted euxassay_006516_12
TS23: thymus primordium Strong Regionally restricted euxassay_006516_12
TS23: telencephalon ventricular layer Strong Regionally restricted euxassay_006516_12
TS23: midbrain ventricular layer Strong Regionally restricted euxassay_006516_12

Specimen euxassay_006516_13: embryonic day 14.5 (more )
Structure Level Pattern Image Note
TS23: liver Strong Regionally restricted euxassay_006516_13
TS23: lung Strong Regionally restricted euxassay_006516_13
TS23: thymus primordium Strong Regionally restricted euxassay_006516_13
TS23: telencephalon ventricular layer Strong Regionally restricted euxassay_006516_13
TS23: midbrain ventricular layer Strong Regionally restricted euxassay_006516_13

Specimen euxassay_006516_14: embryonic day 14.5 (more )
Structure Level Pattern Image Note
TS23: liver Strong Regionally restricted euxassay_006516_14
TS23: lung Moderate Regionally restricted euxassay_006516_14
TS23: thymus primordium Strong Regionally restricted euxassay_006516_14
TS23: lower jaw incisor Strong Regionally restricted euxassay_006516_14
TS23: upper jaw incisor Strong Regionally restricted euxassay_006516_14
TS23: telencephalon ventricular layer Strong Regionally restricted euxassay_006516_14
TS23: midbrain ventricular layer Strong Regionally restricted euxassay_006516_14

Specimen euxassay_006516_15: embryonic day 14.5 (more )
Structure Level Pattern Image Note
TS23: liver Strong Regionally restricted euxassay_006516_15
TS23: lung Moderate Regionally restricted euxassay_006516_15
TS23: thymus primordium Strong Regionally restricted euxassay_006516_15
TS23: lower jaw incisor Strong Regionally restricted euxassay_006516_15
TS23: upper jaw incisor Strong Regionally restricted euxassay_006516_15
TS23: telencephalon ventricular layer Strong Regionally restricted euxassay_006516_15
TS23: midbrain ventricular layer Strong Regionally restricted euxassay_006516_15

Specimen euxassay_006516_16: embryonic day 14.5 (more )
Structure Level Pattern Image Note
TS23: liver Moderate Regionally restricted euxassay_006516_16
TS23: lung Moderate Regionally restricted euxassay_006516_16
TS23: submandibular gland primordium Strong Regionally restricted euxassay_006516_16
TS23: lower jaw incisor Strong Regionally restricted euxassay_006516_16
TS23: upper jaw incisor Strong Regionally restricted euxassay_006516_16
TS23: telencephalon ventricular layer Strong Regionally restricted euxassay_006516_16
TS23: midbrain ventricular layer Strong Regionally restricted euxassay_006516_16

Specimen euxassay_006516_17: embryonic day 14.5 (more )
Structure Level Pattern Image Note
TS23: liver Strong Regionally restricted euxassay_006516_17
TS23: lung Strong Regionally restricted euxassay_006516_17
TS23: metanephros Strong Regionally restricted euxassay_006516_17
TS23: adrenal gland Strong Regionally restricted euxassay_006516_17
TS23: submandibular gland primordium Strong Regionally restricted euxassay_006516_17
TS23: telencephalon ventricular layer Strong Regionally restricted euxassay_006516_17
TS23: midbrain ventricular layer Strong Regionally restricted euxassay_006516_17

Specimen euxassay_006516_18: embryonic day 14.5 (more )
Structure Level Pattern Image Note
TS23: liver Strong Regionally restricted euxassay_006516_18
TS23: lung Moderate Regionally restricted euxassay_006516_18
TS23: metanephros Moderate Regionally restricted euxassay_006516_18
TS23: adrenal gland Moderate Regionally restricted euxassay_006516_18
TS23: submandibular gland primordium Strong Regionally restricted euxassay_006516_18
TS23: vibrissa Strong Regionally restricted euxassay_006516_18
TS23: upper jaw molar Strong Regionally restricted euxassay_006516_18
TS23: lower jaw molar Strong Regionally restricted euxassay_006516_18
TS23: telencephalon ventricular layer Strong Regionally restricted euxassay_006516_18

Specimen euxassay_006516_19: embryonic day 14.5 (more )
Structure Level Pattern Image Note
TS23: liver Strong Regionally restricted euxassay_006516_19
TS23: lung Moderate Regionally restricted euxassay_006516_19
TS23: metanephros Moderate Regionally restricted euxassay_006516_19
TS23: adrenal gland Moderate Regionally restricted euxassay_006516_19
TS23: submandibular gland primordium Strong Regionally restricted euxassay_006516_19
TS23: vibrissa Strong Regionally restricted euxassay_006516_19
TS23: upper jaw molar Moderate Regionally restricted euxassay_006516_19
TS23: lower jaw molar Moderate Regionally restricted euxassay_006516_19
TS23: telencephalon ventricular layer Strong Regionally restricted euxassay_006516_19
TS23: axial musculature Strong Regionally restricted euxassay_006516_19

Specimen euxassay_006516_20: embryonic day 14.5 (more )
Structure Level Pattern Image Note
TS23: liver Strong Regionally restricted euxassay_006516_20
TS23: lung Strong Regionally restricted euxassay_006516_20
TS23: metanephros Strong Regionally restricted euxassay_006516_20
TS23: vibrissa Strong Regionally restricted euxassay_006516_20
TS23: telencephalon ventricular layer Strong Regionally restricted euxassay_006516_20
TS23: axial musculature Strong Regionally restricted euxassay_006516_20

Specimen euxassay_006516_21: embryonic day 14.5 (more )
Structure Level Pattern Image Note
TS23: liver Strong Regionally restricted euxassay_006516_21
TS23: lung Strong Regionally restricted euxassay_006516_21
TS23: metanephros Strong Regionally restricted euxassay_006516_21
TS23: vibrissa Strong Regionally restricted euxassay_006516_21
TS23: telencephalon ventricular layer Strong Regionally restricted euxassay_006516_21
TS23: orbito-sphenoid Strong Regionally restricted euxassay_006516_21
TS23: axial musculature Strong Regionally restricted euxassay_006516_21

Specimen euxassay_006516_22: embryonic day 14.5 (more )
Structure Level Pattern Image Note
TS23: liver Moderate Regionally restricted euxassay_006516_22
TS23: lung Moderate Regionally restricted euxassay_006516_22
TS23: metanephros Moderate Regionally restricted euxassay_006516_22
TS23: vibrissa Strong Regionally restricted euxassay_006516_22
TS23: telencephalon ventricular layer Strong Regionally restricted euxassay_006516_22
TS23: orbito-sphenoid Strong Regionally restricted euxassay_006516_22
TS23: axial musculature Strong Regionally restricted euxassay_006516_22

Specimen euxassay_006516_23: embryonic day 14.5 (more )
Structure Level Pattern Image Note
TS23: liver Moderate Regionally restricted euxassay_006516_23
TS23: lung Moderate Regionally restricted euxassay_006516_23
TS23: telencephalon ventricular layer Strong Regionally restricted euxassay_006516_23
TS23: orbito-sphenoid Strong Regionally restricted euxassay_006516_23
TS23: axial musculature Moderate Regionally restricted euxassay_006516_23

Specimen euxassay_006516_24: embryonic day 14.5 (more )
Structure Level Pattern Image Note
TS23: liver Moderate Regionally restricted euxassay_006516_24
TS23: lung Moderate Regionally restricted euxassay_006516_24
TS23: orbito-sphenoid Strong Regionally restricted euxassay_006516_24


Contributing Projects:
Mouse Genome Database (MGD), Gene Expression Database (GXD), Mouse Models of Human Cancer database (MMHCdb) (formerly Mouse Tumor Biology (MTB)), Gene Ontology (GO)
Citing These Resources
Funding Information
Warranty Disclaimer, Privacy Notice, Licensing, & Copyright
Send questions and comments to User Support.
last database update
01/20/2026
MGI 6.24
The Jackson Laboratory