About   Help   FAQ
Gene Expression Data
Assay Details
Assay
Reference: J:153498 Diez-Roux G, et al., A high-resolution anatomical atlas of the transcriptome in the mouse embryo. PLoS Biol. 2011;9(1):e1000582
Assay type: RNA in situ
MGI Accession ID: MGI:4827220
Gene symbol: Pisd-ps3
Gene name: phosphatidylserine decarboxylase, pseudogene 3
Probe: T31821
Probe preparation: Antisense labelled with digoxigenin RNA
Visualized with: Alkaline phosphatase
Assay notes: Cryosections of fresh frozen material were fixed in 4% paraformaldehyde for 20 min. before further processing. A tyramide-biotin/streptavidin amplification step was included in the in situ hybridization procedure.
Results
Specimen euxassay_010033_01: embryonic day 14.5 (more )
Structure Level Pattern Image Note
TS23: brain Moderate Regionally restricted euxassay_010033_01

Specimen euxassay_010033_02: embryonic day 14.5 (more )
Structure Level Pattern Image Note
TS23: brain Moderate Regionally restricted euxassay_010033_02

Specimen euxassay_010033_03: embryonic day 14.5 (more )
Structure Level Pattern Image Note
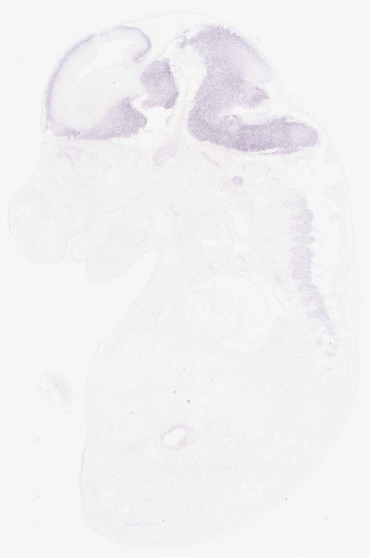
TS23: brain Moderate Regionally restricted euxassay_010033_03
TS23: trigeminal ganglion Weak Regionally restricted euxassay_010033_03

Specimen euxassay_010033_04: embryonic day 14.5 (more )
Structure Level Pattern Image Note
TS23: brain Moderate Regionally restricted euxassay_010033_04
TS23: trigeminal ganglion Weak Regionally restricted euxassay_010033_04

Specimen euxassay_010033_05: embryonic day 14.5 (more )
Structure Level Pattern Image Note
TS23: brain Moderate Regionally restricted euxassay_010033_05
TS23: trigeminal ganglion Weak Regionally restricted euxassay_010033_05

Specimen euxassay_010033_06: embryonic day 14.5 (more )
Structure Level Pattern Image Note
TS23: brain Moderate Regionally restricted euxassay_010033_06
TS23: vestibulo-cochlear ganglion Weak Regionally restricted euxassay_010033_06
TS23: trigeminal ganglion Weak Regionally restricted euxassay_010033_06
TS23: glossopharyngeal ganglion Weak Regionally restricted euxassay_010033_06

Specimen euxassay_010033_07: embryonic day 14.5 (more )
Structure Level Pattern Image Note
TS23: brain Moderate Regionally restricted euxassay_010033_07
TS23: trigeminal ganglion Weak Regionally restricted euxassay_010033_07
TS23: vestibulo-cochlear ganglion Weak Regionally restricted euxassay_010033_07
TS23: glossopharyngeal ganglion Weak Regionally restricted euxassay_010033_07
TS23: dorsal root ganglion Weak Regionally restricted euxassay_010033_07

Specimen euxassay_010033_08: embryonic day 14.5 (more )
Structure Level Pattern Image Note
TS23: brain Moderate Regionally restricted euxassay_010033_08
TS23: trigeminal ganglion Weak Regionally restricted euxassay_010033_08
TS23: vestibulo-cochlear ganglion Weak Regionally restricted euxassay_010033_08
TS23: glossopharyngeal ganglion Weak Regionally restricted euxassay_010033_08
TS23: dorsal root ganglion Weak Regionally restricted euxassay_010033_08
TS23: olfactory epithelium Weak Regionally restricted euxassay_010033_08

Specimen euxassay_010033_09: embryonic day 14.5 (more )
Structure Level Pattern Image Note
TS23: brain Moderate Regionally restricted euxassay_010033_09
TS23: spinal cord Moderate Regionally restricted euxassay_010033_09
TS23: trigeminal ganglion Weak Regionally restricted euxassay_010033_09
TS23: dorsal root ganglion Weak Regionally restricted euxassay_010033_09
TS23: olfactory epithelium Weak Regionally restricted euxassay_010033_09

Specimen euxassay_010033_10: embryonic day 14.5 (more )
Structure Level Pattern Image Note
TS23: brain Moderate Regionally restricted euxassay_010033_10
TS23: spinal cord Moderate Regionally restricted euxassay_010033_10
TS23: dorsal root ganglion Weak Regionally restricted euxassay_010033_10
TS23: olfactory epithelium Weak Regionally restricted euxassay_010033_10

Specimen euxassay_010033_11: embryonic day 14.5 (more )
Structure Level Pattern Image Note
TS23: spinal cord Moderate Regionally restricted euxassay_010033_11
TS23: brain Moderate Regionally restricted euxassay_010033_11

Specimen euxassay_010033_12: embryonic day 14.5 (more )
Structure Level Pattern Image Note
TS23: brain Moderate Regionally restricted euxassay_010033_12
TS23: spinal cord Moderate Regionally restricted euxassay_010033_12

Specimen euxassay_010033_13: embryonic day 14.5 (more )
Structure Level Pattern Image Note
TS23: spinal cord Moderate Regionally restricted euxassay_010033_13
TS23: brain Moderate Regionally restricted euxassay_010033_13

Specimen euxassay_010033_14: embryonic day 14.5 (more )
Structure Level Pattern Image Note
TS23: spinal cord Moderate Regionally restricted euxassay_010033_14
TS23: brain Moderate Regionally restricted euxassay_010033_14

Specimen euxassay_010033_15: embryonic day 14.5 (more )
Structure Level Pattern Image Note
TS23: spinal cord Moderate Regionally restricted euxassay_010033_15
TS23: brain Moderate Regionally restricted euxassay_010033_15

Specimen euxassay_010033_16: embryonic day 14.5 (more )
Structure Level Pattern Image Note
TS23: spinal cord Moderate Regionally restricted euxassay_010033_16
TS23: brain Moderate Regionally restricted euxassay_010033_16
TS23: olfactory epithelium Weak Regionally restricted euxassay_010033_16

Specimen euxassay_010033_17: embryonic day 14.5 (more )
Structure Level Pattern Image Note
TS23: brain Moderate Regionally restricted euxassay_010033_17
TS23: trigeminal ganglion Weak Regionally restricted euxassay_010033_17
TS23: vagus ganglion Weak Regionally restricted euxassay_010033_17
TS23: dorsal root ganglion Weak Regionally restricted euxassay_010033_17
TS23: olfactory epithelium Weak Regionally restricted euxassay_010033_17

Specimen euxassay_010033_18: embryonic day 14.5 (more )
Structure Level Pattern Image Note
TS23: brain Moderate Regionally restricted euxassay_010033_18
TS23: vestibulo-cochlear ganglion Weak Regionally restricted euxassay_010033_18
TS23: trigeminal ganglion Weak Regionally restricted euxassay_010033_18
TS23: glossopharyngeal ganglion Weak Regionally restricted euxassay_010033_18
TS23: dorsal root ganglion Weak Regionally restricted euxassay_010033_18
TS23: olfactory epithelium Weak Regionally restricted euxassay_010033_18

Specimen euxassay_010033_19: embryonic day 14.5 (more )
Structure Level Pattern Image Note
TS23: brain Moderate Regionally restricted euxassay_010033_19
TS23: trigeminal ganglion Weak Regionally restricted euxassay_010033_19
TS23: vestibulo-cochlear ganglion Weak Regionally restricted euxassay_010033_19
TS23: glossopharyngeal ganglion Weak Regionally restricted euxassay_010033_19

Specimen euxassay_010033_20: embryonic day 14.5 (more )
Structure Level Pattern Image Note
TS23: brain Moderate Regionally restricted euxassay_010033_20
TS23: trigeminal ganglion Weak Regionally restricted euxassay_010033_20
TS23: vestibulo-cochlear ganglion Weak Regionally restricted euxassay_010033_20

Specimen euxassay_010033_21: embryonic day 14.5 (more )
Structure Level Pattern Image Note
TS23: brain Moderate Regionally restricted euxassay_010033_21
TS23: trigeminal ganglion Weak Regionally restricted euxassay_010033_21

Specimen euxassay_010033_22: embryonic day 14.5 (more )
Structure Level Pattern Image Note
TS23: spinal cord Moderate Regionally restricted euxassay_010033_22

Specimen euxassay_010033_23: embryonic day 14.5 (more )
Structure Level Pattern Image Note
TS23: brain Moderate Regionally restricted euxassay_010033_23
TS23: trigeminal ganglion Weak Regionally restricted euxassay_010033_23

Specimen euxassay_010033_24: embryonic day 14.5 (more )
Structure Level Pattern Image Note
TS23: brain Moderate Regionally restricted euxassay_010033_24


Contributing Projects:
Mouse Genome Database (MGD), Gene Expression Database (GXD), Mouse Models of Human Cancer database (MMHCdb) (formerly Mouse Tumor Biology (MTB)), Gene Ontology (GO)
Citing These Resources
Funding Information
Warranty Disclaimer, Privacy Notice, Licensing, & Copyright
Send questions and comments to User Support.
last database update
01/06/2026
MGI 6.24
The Jackson Laboratory