About   Help   FAQ
Gene Expression Data
Assay Details
Assay
Reference: J:153498 Diez-Roux G, et al., A high-resolution anatomical atlas of the transcriptome in the mouse embryo. PLoS Biol. 2011;9(1):e1000582
Assay type: RNA in situ
MGI Accession ID: MGI:4827163
Gene symbol: Pfkfb3
Gene name: 6-phosphofructo-2-kinase/fructose-2,6-biphosphatase 3
Probe: T30694
Probe preparation: Antisense labelled with digoxigenin RNA
Visualized with: Alkaline phosphatase
Assay notes: Cryosections of fresh frozen material were fixed in 4% paraformaldehyde for 20 min. before further processing. A tyramide-biotin/streptavidin amplification step was included in the in situ hybridization procedure.
Results
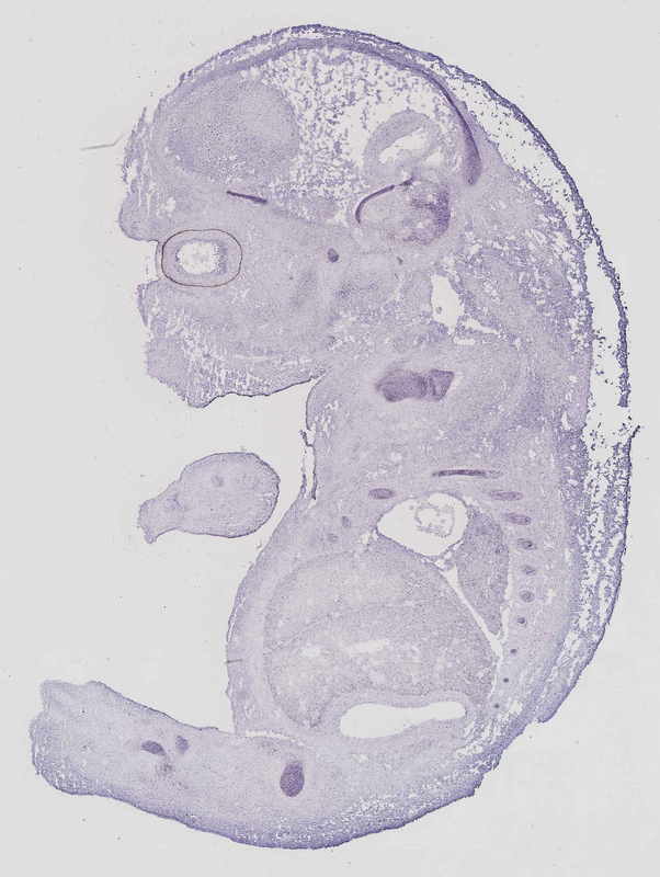
Specimen euxassay_012065_01: embryonic day 14.5 (more )
Structure Level Pattern Image Note
TS23: humerus Strong Regionally restricted euxassay_012065_01
TS23: scapula Strong Regionally restricted euxassay_012065_01
TS23: tibia Strong Regionally restricted euxassay_012065_01
TS23: temporal bone Moderate Regionally restricted euxassay_012065_01
TS23: rib Moderate Regionally restricted euxassay_012065_01

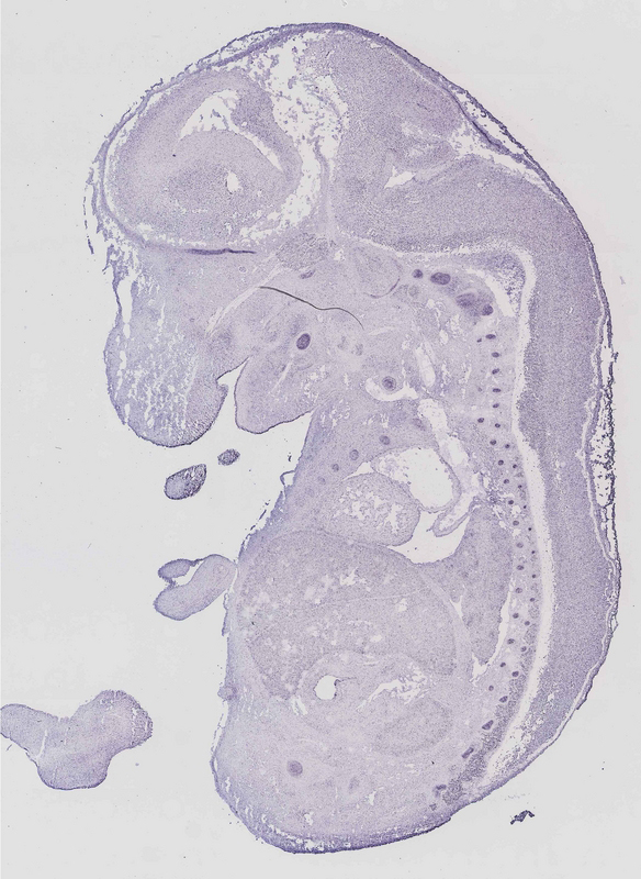
Specimen euxassay_012065_02: embryonic day 14.5 (more )
Structure Level Pattern Image Note
TS23: humerus Strong Regionally restricted euxassay_012065_02
TS23: scapula Strong Regionally restricted euxassay_012065_02
TS23: tibia Strong Regionally restricted euxassay_012065_02
TS23: fibula Strong Regionally restricted euxassay_012065_02
TS23: orbito-sphenoid Moderate Regionally restricted euxassay_012065_02
TS23: temporal bone Moderate Regionally restricted euxassay_012065_02
TS23: exoccipital bone Moderate Regionally restricted euxassay_012065_02
TS23: rib Moderate Regionally restricted euxassay_012065_02
TS23: neural retina Weak Regionally restricted euxassay_012065_02

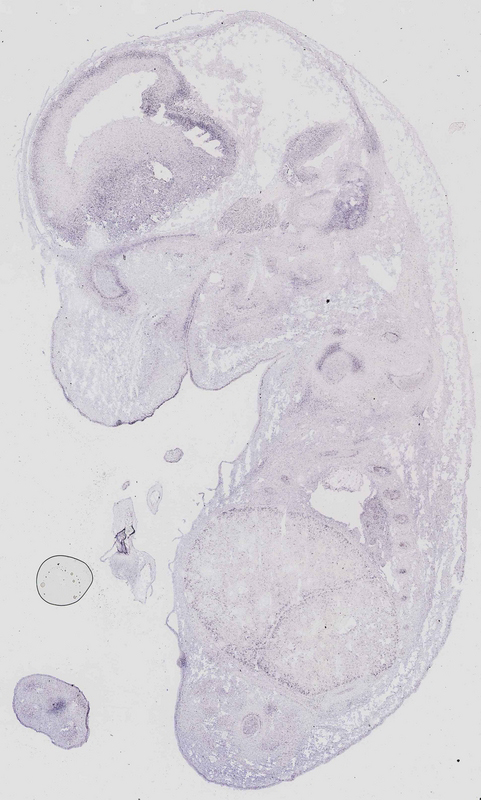
Specimen euxassay_012065_03: embryonic day 14.5 (more )
Structure Level Pattern Image Note
TS23: humerus Strong Regionally restricted euxassay_012065_03
TS23: tibia Strong Regionally restricted euxassay_012065_03
TS23: femur Strong Regionally restricted euxassay_012065_03
TS23: orbito-sphenoid Moderate Regionally restricted euxassay_012065_03
TS23: temporal bone Moderate Regionally restricted euxassay_012065_03
TS23: exoccipital bone Moderate Regionally restricted euxassay_012065_03
TS23: rib Moderate Regionally restricted euxassay_012065_03
TS23: Meckel's cartilage Moderate Regionally restricted euxassay_012065_03
TS23: neural retina Weak Regionally restricted euxassay_012065_03

Specimen euxassay_012065_04: embryonic day 14.5 (more )
Structure Level Pattern Image Note
TS23: fibula Strong Regionally restricted euxassay_012065_04
TS23: femur Strong Regionally restricted euxassay_012065_04
TS23: orbito-sphenoid Moderate Regionally restricted euxassay_012065_04
TS23: temporal bone Moderate Regionally restricted euxassay_012065_04
TS23: exoccipital bone Moderate Regionally restricted euxassay_012065_04
TS23: rib Moderate Regionally restricted euxassay_012065_04
TS23: Meckel's cartilage Moderate Regionally restricted euxassay_012065_04

Specimen euxassay_012065_05: embryonic day 14.5 (more )
Structure Level Pattern Image Note
TS23: femur Strong Regionally restricted euxassay_012065_05
TS23: rib Moderate Regionally restricted euxassay_012065_05
TS23: axial skeleton Moderate Regionally restricted euxassay_012065_05
TS23: Meckel's cartilage Strong Regionally restricted euxassay_012065_05

Specimen euxassay_012065_06: embryonic day 14.5 (more )
Structure Level Pattern Image Note
TS23: femur Strong Regionally restricted euxassay_012065_06
TS23: rib Moderate Regionally restricted euxassay_012065_06
TS23: axial skeleton Moderate Regionally restricted euxassay_012065_06
TS23: Meckel's cartilage Strong Regionally restricted euxassay_012065_06

Specimen euxassay_012065_07: embryonic day 14.5 (more )
Structure Level Pattern Image Note
TS23: femur Moderate Regionally restricted euxassay_012065_07
TS23: orbito-sphenoid Moderate Regionally restricted euxassay_012065_07
TS23: rib Moderate Regionally restricted euxassay_012065_07
TS23: axial skeleton Moderate Regionally restricted euxassay_012065_07
TS23: clavicle Moderate Regionally restricted euxassay_012065_07
TS23: Meckel's cartilage Strong Regionally restricted euxassay_012065_07

Specimen euxassay_012065_08: embryonic day 14.5 (more )
Structure Level Pattern Image Note
TS23: turbinate bone primordium Moderate Regionally restricted euxassay_012065_08
TS23: orbito-sphenoid Moderate Regionally restricted euxassay_012065_08
TS23: basioccipital bone Moderate Regionally restricted euxassay_012065_08
TS23: axial skeleton Moderate Regionally restricted euxassay_012065_08
TS23: rib Moderate Regionally restricted euxassay_012065_08
TS23: clavicle Moderate Regionally restricted euxassay_012065_08
TS23: Meckel's cartilage Strong Regionally restricted euxassay_012065_08
TS23: otic capsule Moderate Regionally restricted euxassay_012065_08

Specimen euxassay_012065_09: embryonic day 14.5 (more )
Structure Level Pattern Image Note
TS23: pelvic girdle skeleton Strong Regionally restricted euxassay_012065_09
TS23: basisphenoid bone Moderate Regionally restricted euxassay_012065_09
TS23: basioccipital bone Moderate Regionally restricted euxassay_012065_09
TS23: turbinate bone primordium Moderate Regionally restricted euxassay_012065_09
TS23: rib Moderate Regionally restricted euxassay_012065_09
TS23: axial skeleton Moderate Regionally restricted euxassay_012065_09
TS23: Meckel's cartilage Strong Regionally restricted euxassay_012065_09
TS23: otic capsule Moderate Regionally restricted euxassay_012065_09

Specimen euxassay_012065_10: embryonic day 14.5 (more )
Structure Level Pattern Image Note
TS23: basisphenoid bone Moderate Regionally restricted euxassay_012065_10
TS23: basioccipital bone Moderate Regionally restricted euxassay_012065_10
TS23: axial skeleton Moderate Regionally restricted euxassay_012065_10
TS23: clavicle Weak Regionally restricted euxassay_012065_10
TS23: Meckel's cartilage Moderate Regionally restricted euxassay_012065_10

Specimen euxassay_012065_11: embryonic day 14.5 (more )
Structure Level Pattern Image Note
TS23: basisphenoid bone Moderate Regionally restricted euxassay_012065_11
TS23: basioccipital bone Moderate Regionally restricted euxassay_012065_11
TS23: axial skeleton Moderate Regionally restricted euxassay_012065_11
TS23: Meckel's cartilage Moderate Regionally restricted euxassay_012065_11
TS23: upper jaw incisor Weak Regionally restricted euxassay_012065_11
TS23: lower jaw incisor Weak Regionally restricted euxassay_012065_11

Specimen euxassay_012065_12: embryonic day 14.5 (more )
Structure Level Pattern Image Note
TS23: basisphenoid bone Moderate Regionally restricted euxassay_012065_12
TS23: basioccipital bone Moderate Regionally restricted euxassay_012065_12
TS23: axial skeleton Moderate Regionally restricted euxassay_012065_12
TS23: Meckel's cartilage Moderate Regionally restricted euxassay_012065_12

Specimen euxassay_012065_13: embryonic day 14.5 (more )
Structure Level Pattern Image Note
TS23: basioccipital bone Strong Regionally restricted euxassay_012065_13
TS23: basisphenoid bone Strong Regionally restricted euxassay_012065_13
TS23: axial skeleton Moderate Regionally restricted euxassay_012065_13
TS23: Meckel's cartilage Strong Regionally restricted euxassay_012065_13

Specimen euxassay_012065_14: embryonic day 14.5 (more )
Structure Level Pattern Image Note
TS23: basisphenoid bone Moderate Regionally restricted euxassay_012065_14
TS23: basioccipital bone Moderate Regionally restricted euxassay_012065_14
TS23: axial skeleton Moderate Regionally restricted euxassay_012065_14
TS23: rib Moderate Regionally restricted euxassay_012065_14
TS23: clavicle Weak Regionally restricted euxassay_012065_14
TS23: Meckel's cartilage Strong Regionally restricted euxassay_012065_14
TS23: lower jaw incisor Weak Regionally restricted euxassay_012065_14

Specimen euxassay_012065_15: embryonic day 14.5 (more )
Structure Level Pattern Image Note
TS23: rib Moderate Regionally restricted euxassay_012065_15
TS23: clavicle Moderate Regionally restricted euxassay_012065_15
TS23: Meckel's cartilage Moderate Regionally restricted euxassay_012065_15
TS23: otic capsule Moderate Regionally restricted euxassay_012065_15
TS23: upper jaw incisor Weak Regionally restricted euxassay_012065_15

Specimen euxassay_012065_16: embryonic day 14.5 (more )
Structure Level Pattern Image Note
TS23: pelvic girdle skeleton Strong Regionally restricted euxassay_012065_16
TS23: exoccipital bone Weak Regionally restricted euxassay_012065_16
TS23: rib Moderate Regionally restricted euxassay_012065_16
TS23: Meckel's cartilage Moderate Regionally restricted euxassay_012065_16
TS23: otic capsule Weak Regionally restricted euxassay_012065_16

Specimen euxassay_012065_17: embryonic day 14.5 (more )
Structure Level Pattern Image Note
TS23: exoccipital bone Weak Regionally restricted euxassay_012065_17
TS23: Meckel's cartilage Strong Regionally restricted euxassay_012065_17

Specimen euxassay_012065_18: embryonic day 14.5 (more )
Structure Level Pattern Image Note
TS23: temporal bone Weak Regionally restricted euxassay_012065_18
TS23: exoccipital bone Weak Regionally restricted euxassay_012065_18
TS23: rib Weak Regionally restricted euxassay_012065_18
TS23: Meckel's cartilage Weak Regionally restricted euxassay_012065_18

Specimen euxassay_012065_19: embryonic day 14.5 (more )
Structure Level Pattern Image Note
TS23: humerus Moderate Regionally restricted euxassay_012065_19
TS23: temporal bone Weak Regionally restricted euxassay_012065_19
TS23: turbinate bone primordium Weak Regionally restricted euxassay_012065_19
TS23: orbito-sphenoid Weak Regionally restricted euxassay_012065_19
TS23: rib Weak Regionally restricted euxassay_012065_19
TS23: Meckel's cartilage Weak Regionally restricted euxassay_012065_19

Specimen euxassay_012065_20: embryonic day 14.5 (more )
Structure Level Pattern Image Note
TS23: humerus Moderate Regionally restricted euxassay_012065_20
TS23: rib Weak Regionally restricted euxassay_012065_20

Specimen euxassay_012065_21: embryonic day 14.5 (more )
Structure Level Pattern Image Note
TS23: femur Strong Regionally restricted euxassay_012065_21

Specimen euxassay_012065_22: embryonic day 14.5 (more )
Structure Level Pattern Image Note
TS23: femur Weak Regionally restricted euxassay_012065_22
TS23: vibrissa Weak Regionally restricted euxassay_012065_22

Specimen euxassay_012065_23: embryonic day 14.5 (more )
Structure Level Pattern Image Note
TS23: vibrissa Moderate Regionally restricted euxassay_012065_23
TS23: neural retina Weak Regionally restricted euxassay_012065_23

Specimen euxassay_012065_24: embryonic day 14.5 (more )
Structure Level Pattern Image Note
TS23: neural retina Weak Regionally restricted euxassay_012065_24


Contributing Projects:
Mouse Genome Database (MGD), Gene Expression Database (GXD), Mouse Models of Human Cancer database (MMHCdb) (formerly Mouse Tumor Biology (MTB)), Gene Ontology (GO)
Citing These Resources
Funding Information
Warranty Disclaimer, Privacy Notice, Licensing, & Copyright
Send questions and comments to User Support.
last database update
01/20/2026
MGI 6.24
The Jackson Laboratory