About   Help   FAQ
Gene Expression Data
Assay Details
Assay
Reference: J:153498 Diez-Roux G, et al., A high-resolution anatomical atlas of the transcriptome in the mouse embryo. PLoS Biol. 2011;9(1):e1000582
Assay type: RNA in situ
MGI Accession ID: MGI:4827161
Gene symbol: Pf4
Gene name: platelet factor 4
Probe: T31929
Probe preparation: Antisense labelled with digoxigenin RNA
Visualized with: Alkaline phosphatase
Assay notes: Cryosections of fresh frozen material were fixed in 4% paraformaldehyde for 20 min. before further processing. A tyramide-biotin/streptavidin amplification step was included in the in situ hybridization procedure.
Results
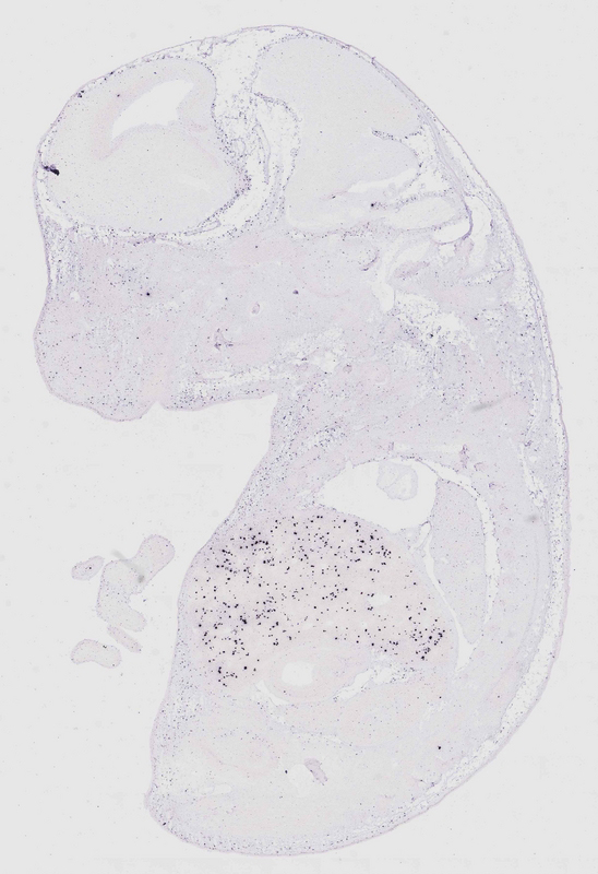
Specimen euxassay_012683_01: embryonic day 14.5 (more )
Structure Level Pattern Image Note
TS23: liver lobe Strong Spotted euxassay_012683_01
TS23: telencephalon meninges Moderate Single cells euxassay_012683_01
TS23: embryo mesenchyme Moderate Single cells euxassay_012683_01

Specimen euxassay_012683_02: embryonic day 14.5 (more )
Structure Level Pattern Image Note
TS23: liver lobe Strong Spotted euxassay_012683_02
TS23: hindbrain meninges Moderate Single cells euxassay_012683_02
TS23: telencephalon meninges Moderate Single cells euxassay_012683_02
TS23: embryo mesenchyme Moderate Single cells euxassay_012683_02

Specimen euxassay_012683_03: embryonic day 14.5 (more )
Structure Level Pattern Image Note
TS23: liver lobe Strong Spotted euxassay_012683_03
TS23: hindbrain meninges Moderate Single cells euxassay_012683_03
TS23: telencephalon meninges Moderate Single cells euxassay_012683_03
TS23: embryo mesenchyme Moderate Single cells euxassay_012683_03

Specimen euxassay_012683_04: embryonic day 14.5 (more )
Structure Level Pattern Image Note
TS23: liver lobe Strong Spotted euxassay_012683_04
TS23: telencephalon meninges Moderate Single cells euxassay_012683_04
TS23: hindbrain meninges Moderate Single cells euxassay_012683_04
TS23: midbrain meninges Moderate Single cells euxassay_012683_04
TS23: embryo mesenchyme Moderate Single cells euxassay_012683_04

Specimen euxassay_012683_05: embryonic day 14.5 (more )
Structure Level Pattern Image Note
TS23: liver lobe Strong Spotted euxassay_012683_05
TS23: midbrain meninges Moderate Single cells euxassay_012683_05
TS23: hindbrain meninges Moderate Single cells euxassay_012683_05
TS23: telencephalon meninges Moderate Single cells euxassay_012683_05
TS23: embryo mesenchyme Moderate Single cells euxassay_012683_05

Specimen euxassay_012683_06: embryonic day 14.5 (more )
Structure Level Pattern Image Note
TS23: liver lobe Strong Spotted euxassay_012683_06
TS23: midbrain meninges Moderate Single cells euxassay_012683_06
TS23: hindbrain meninges Moderate Single cells euxassay_012683_06
TS23: telencephalon meninges Moderate Single cells euxassay_012683_06
TS23: diencephalon meninges Moderate Single cells euxassay_012683_06
TS23: embryo mesenchyme Moderate Single cells euxassay_012683_06

Specimen euxassay_012683_07: embryonic day 14.5 (more )
Structure Level Pattern Image Note
TS23: liver lobe Strong Spotted euxassay_012683_07
TS23: spinal cord meninges Moderate Single cells euxassay_012683_07
TS23: midbrain meninges Moderate Single cells euxassay_012683_07
TS23: hindbrain meninges Moderate Single cells euxassay_012683_07
TS23: telencephalon meninges Moderate Single cells euxassay_012683_07
TS23: diencephalon meninges Moderate Single cells euxassay_012683_07
TS23: embryo mesenchyme Moderate Single cells euxassay_012683_07

Specimen euxassay_012683_08: embryonic day 14.5 (more )
Structure Level Pattern Image Note
TS23: liver lobe Strong Spotted euxassay_012683_08
TS23: spinal cord meninges Moderate Single cells euxassay_012683_08
TS23: midbrain meninges Moderate Single cells euxassay_012683_08
TS23: hindbrain meninges Moderate Single cells euxassay_012683_08
TS23: telencephalon meninges Moderate Single cells euxassay_012683_08
TS23: diencephalon meninges Moderate Single cells euxassay_012683_08
TS23: embryo mesenchyme Moderate Single cells euxassay_012683_08

Specimen euxassay_012683_09: embryonic day 14.5 (more )
Structure Level Pattern Image Note
TS23: liver lobe Strong Spotted euxassay_012683_09
TS23: spinal cord meninges Moderate Single cells euxassay_012683_09
TS23: midbrain meninges Moderate Single cells euxassay_012683_09
TS23: hindbrain meninges Moderate Single cells euxassay_012683_09
TS23: telencephalon meninges Moderate Single cells euxassay_012683_09
TS23: diencephalon meninges Moderate Single cells euxassay_012683_09
TS23: embryo mesenchyme Moderate Single cells euxassay_012683_09

Specimen euxassay_012683_10: embryonic day 14.5 (more )
Structure Level Pattern Image Note
TS23: liver lobe Strong Spotted euxassay_012683_10
TS23: spinal cord meninges Moderate Single cells euxassay_012683_10
TS23: midbrain meninges Moderate Single cells euxassay_012683_10
TS23: hindbrain meninges Moderate Single cells euxassay_012683_10
TS23: telencephalon meninges Moderate Single cells euxassay_012683_10
TS23: diencephalon meninges Moderate Single cells euxassay_012683_10
TS23: embryo mesenchyme Moderate Single cells euxassay_012683_10

Specimen euxassay_012683_11: embryonic day 14.5 (more )
Structure Level Pattern Image Note
TS23: liver lobe Strong Spotted euxassay_012683_11
TS23: spinal cord meninges Moderate Single cells euxassay_012683_11
TS23: midbrain meninges Moderate Single cells euxassay_012683_11
TS23: hindbrain meninges Moderate Single cells euxassay_012683_11
TS23: telencephalon meninges Moderate Single cells euxassay_012683_11
TS23: diencephalon meninges Moderate Single cells euxassay_012683_11
TS23: embryo mesenchyme Moderate Single cells euxassay_012683_11

Specimen euxassay_012683_12: embryonic day 14.5 (more )
Structure Level Pattern Image Note
TS23: liver lobe Strong Spotted euxassay_012683_12
TS23: spinal cord meninges Moderate Single cells euxassay_012683_12
TS23: midbrain meninges Moderate Single cells euxassay_012683_12
TS23: hindbrain meninges Moderate Single cells euxassay_012683_12
TS23: telencephalon meninges Moderate Single cells euxassay_012683_12
TS23: diencephalon meninges Moderate Single cells euxassay_012683_12
TS23: embryo mesenchyme Moderate Single cells euxassay_012683_12

Specimen euxassay_012683_13: embryonic day 14.5 (more )
Structure Level Pattern Image Note
TS23: liver lobe Strong Spotted euxassay_012683_13
TS23: diencephalon meninges Moderate Single cells euxassay_012683_13
TS23: telencephalon meninges Moderate Single cells euxassay_012683_13
TS23: hindbrain meninges Moderate Single cells euxassay_012683_13
TS23: midbrain meninges Moderate Single cells euxassay_012683_13
TS23: spinal cord meninges Moderate Single cells euxassay_012683_13
TS23: embryo mesenchyme Moderate Single cells euxassay_012683_13

Specimen euxassay_012683_14: embryonic day 14.5 (more )
Structure Level Pattern Image Note
TS23: liver lobe Strong Spotted euxassay_012683_14
TS23: telencephalon meninges Moderate Single cells euxassay_012683_14
TS23: diencephalon meninges Moderate Single cells euxassay_012683_14
TS23: midbrain meninges Moderate Single cells euxassay_012683_14
TS23: hindbrain meninges Moderate Single cells euxassay_012683_14
TS23: spinal cord meninges Moderate Single cells euxassay_012683_14
TS23: embryo mesenchyme Moderate Single cells euxassay_012683_14

Specimen euxassay_012683_15: embryonic day 14.5 (more )
Structure Level Pattern Image Note
TS23: liver lobe Strong Spotted euxassay_012683_15
TS23: diencephalon meninges Moderate Single cells euxassay_012683_15
TS23: telencephalon meninges Moderate Single cells euxassay_012683_15
TS23: hindbrain meninges Moderate Single cells euxassay_012683_15
TS23: embryo mesenchyme Moderate Single cells euxassay_012683_15

Specimen euxassay_012683_16: embryonic day 14.5 (more )
Structure Level Pattern Image Note
TS23: liver lobe Strong Spotted euxassay_012683_16
TS23: diencephalon meninges Moderate Single cells euxassay_012683_16
TS23: telencephalon meninges Moderate Single cells euxassay_012683_16
TS23: hindbrain meninges Moderate Single cells euxassay_012683_16
TS23: midbrain meninges Moderate Single cells euxassay_012683_16
TS23: embryo mesenchyme Moderate Single cells euxassay_012683_16

Specimen euxassay_012683_17: embryonic day 14.5 (more )
Structure Level Pattern Image Note
TS23: liver lobe Strong Spotted euxassay_012683_17
TS23: medulla oblongata Moderate Single cells euxassay_012683_17
TS23: telencephalon meninges Moderate Single cells euxassay_012683_17
TS23: midbrain meninges Moderate Single cells euxassay_012683_17
TS23: diencephalon meninges Moderate Single cells euxassay_012683_17
TS23: embryo mesenchyme Moderate Single cells euxassay_012683_17

Specimen euxassay_012683_18: embryonic day 14.5 (more )
Structure Level Pattern Image Note
TS23: liver lobe Strong Spotted euxassay_012683_18
TS23: hindbrain meninges Moderate Single cells euxassay_012683_18
TS23: telencephalon meninges Moderate Single cells euxassay_012683_18
TS23: embryo mesenchyme Moderate Single cells euxassay_012683_18

Specimen euxassay_012683_19: embryonic day 14.5 (more )
Structure Level Pattern Image Note
TS23: liver lobe Strong Spotted euxassay_012683_19
TS23: telencephalon meninges Moderate Single cells euxassay_012683_19
TS23: hindbrain meninges Moderate Single cells euxassay_012683_19
TS23: embryo mesenchyme Moderate Single cells euxassay_012683_19

Specimen euxassay_012683_20: embryonic day 14.5 (more )
Structure Level Pattern Image Note
TS23: liver lobe Strong Spotted euxassay_012683_20
TS23: telencephalon meninges Moderate Single cells euxassay_012683_20
TS23: embryo mesenchyme Moderate Single cells euxassay_012683_20

Specimen euxassay_012683_21: embryonic day 14.5 (more )
Structure Level Pattern Image Note
TS23: liver lobe Strong Spotted euxassay_012683_21
TS23: telencephalon meninges Moderate Single cells euxassay_012683_21
TS23: embryo mesenchyme Moderate Single cells euxassay_012683_21

Specimen euxassay_012683_22: embryonic day 14.5 (more )
Structure Level Pattern Image Note
TS23: liver lobe Strong Spotted euxassay_012683_22
TS23: telencephalon meninges Moderate Single cells euxassay_012683_22
TS23: embryo mesenchyme Moderate Single cells euxassay_012683_22


Contributing Projects:
Mouse Genome Database (MGD), Gene Expression Database (GXD), Mouse Models of Human Cancer database (MMHCdb) (formerly Mouse Tumor Biology (MTB)), Gene Ontology (GO)
Citing These Resources
Funding Information
Warranty Disclaimer, Privacy Notice, Licensing, & Copyright
Send questions and comments to User Support.
last database update
01/06/2026
MGI 6.24
The Jackson Laboratory