About   Help   FAQ
Gene Expression Data
Assay Details
Assay
Reference: J:153498 Diez-Roux G, et al., A high-resolution anatomical atlas of the transcriptome in the mouse embryo. PLoS Biol. 2011;9(1):e1000582
Assay type: RNA in situ
MGI Accession ID: MGI:4827155
Gene symbol: Pepd
Gene name: peptidase D
Probe: IMAGE clone 1513277
Probe preparation: Antisense labelled with digoxigenin RNA
Visualized with: Alkaline phosphatase
Assay notes: Cryosections of fresh frozen material were fixed in 4% paraformaldehyde for 20 min. before further processing. A tyramide-biotin/streptavidin amplification step was included in the in situ hybridization procedure.
Results
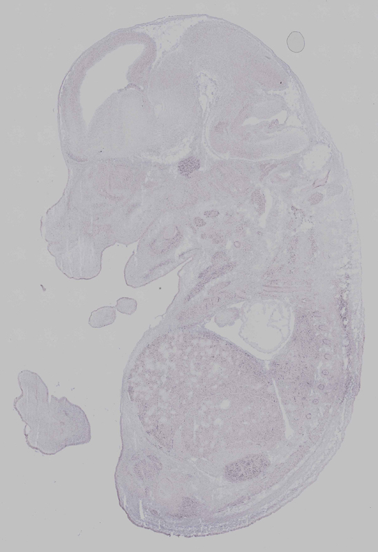
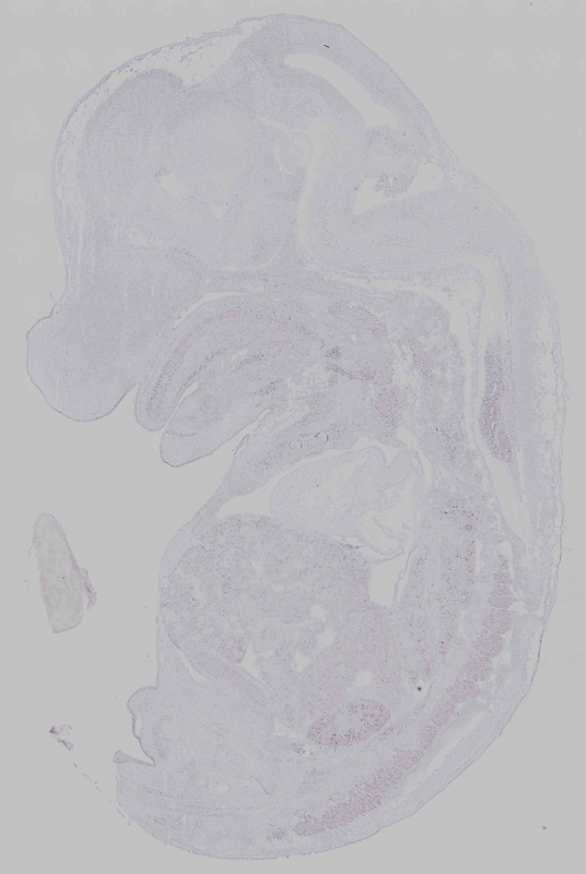
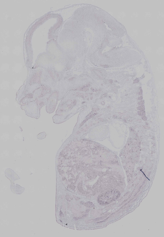
Specimen euxassay_005690_01: embryonic day 14.5 (more )
Structure Level Pattern Image Note
TS23: vertebral axis musculature Moderate Regionally restricted euxassay_005690_01
TS23: liver Moderate Regionally restricted euxassay_005690_01

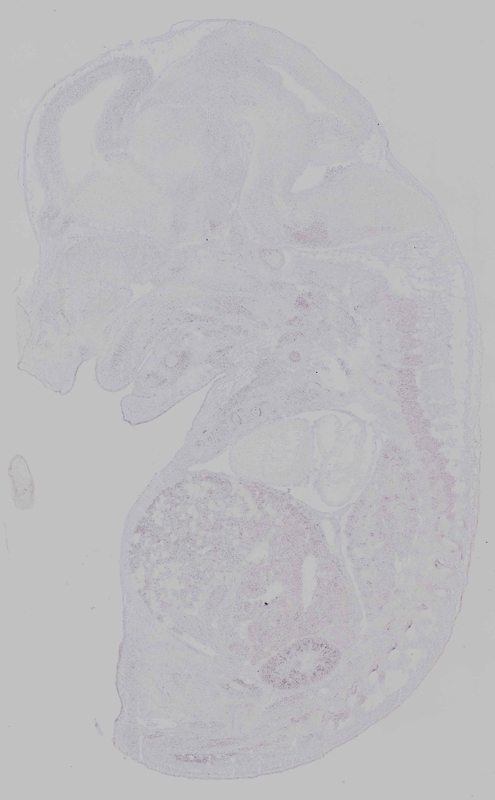
Specimen euxassay_005690_02: embryonic day 14.5 (more )
Structure Level Pattern Image Note
TS23: vertebral axis musculature Moderate Regionally restricted euxassay_005690_02
TS23: liver Moderate Regionally restricted euxassay_005690_02

Specimen euxassay_005690_03: embryonic day 14.5 (more )
Structure Level Pattern Image Note
TS23: vertebral axis musculature Moderate Regionally restricted euxassay_005690_03
TS23: liver Moderate Regionally restricted euxassay_005690_03

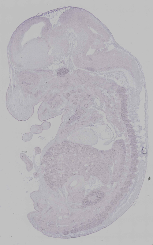
Specimen euxassay_005690_04: embryonic day 14.5 (more )
Structure Level Pattern Image Note
TS23: vertebral axis musculature Moderate Regionally restricted euxassay_005690_04
TS23: liver Moderate Regionally restricted euxassay_005690_04
TS23: trigeminal ganglion Moderate Regionally restricted euxassay_005690_04
TS23: lung Moderate Regionally restricted euxassay_005690_04

Specimen euxassay_005690_05: embryonic day 14.5 (more )
Structure Level Pattern Image Note
TS23: vertebral axis musculature Moderate Regionally restricted euxassay_005690_05
TS23: liver Moderate Regionally restricted euxassay_005690_05
TS23: trigeminal ganglion Moderate Regionally restricted euxassay_005690_05
TS23: lung Moderate Regionally restricted euxassay_005690_05

Specimen euxassay_005690_06: embryonic day 14.5 (more )
Structure Level Pattern Image Note
TS23: vertebral axis musculature Moderate Regionally restricted euxassay_005690_06
TS23: liver Moderate Regionally restricted euxassay_005690_06
TS23: metanephros Moderate Regionally restricted euxassay_005690_06
TS23: trigeminal ganglion Moderate Regionally restricted euxassay_005690_06
TS23: lung Moderate Regionally restricted euxassay_005690_06

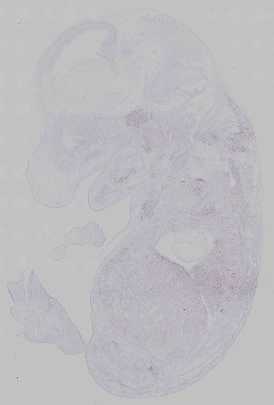
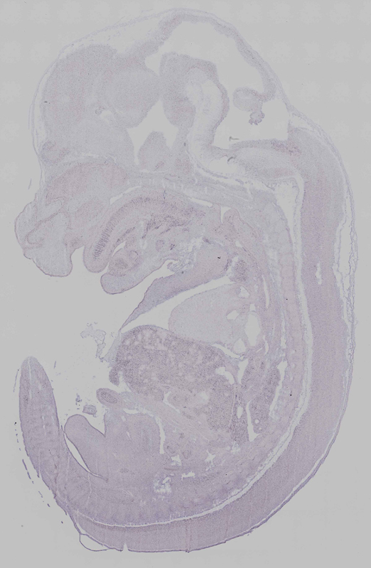
Specimen euxassay_005690_07: embryonic day 14.5 (more )
Structure Level Pattern Image Note
TS23: vertebral axis musculature Moderate Regionally restricted euxassay_005690_07
TS23: liver Moderate Regionally restricted euxassay_005690_07
TS23: metanephros Moderate Regionally restricted euxassay_005690_07
TS23: dorsal root ganglion Moderate Regionally restricted euxassay_005690_07
TS23: trigeminal ganglion Moderate Regionally restricted euxassay_005690_07
TS23: glossopharyngeal ganglion Moderate Regionally restricted euxassay_005690_07
TS23: lung Moderate Regionally restricted euxassay_005690_07

Specimen euxassay_005690_08: embryonic day 14.5 (more )
Structure Level Pattern Image Note
TS23: vertebral axis musculature Moderate Regionally restricted euxassay_005690_08
TS23: metanephros Moderate Regionally restricted euxassay_005690_08
TS23: liver Moderate Regionally restricted euxassay_005690_08
TS23: dorsal root ganglion Moderate Regionally restricted euxassay_005690_08
TS23: trigeminal ganglion Moderate Regionally restricted euxassay_005690_08
TS23: glossopharyngeal ganglion Moderate Regionally restricted euxassay_005690_08
TS23: vagus ganglion Moderate Regionally restricted euxassay_005690_08
TS23: lung Weak Regionally restricted euxassay_005690_08

Specimen euxassay_005690_09: embryonic day 14.5 (more )
Structure Level Pattern Image Note
TS23: vertebral axis musculature Moderate Regionally restricted euxassay_005690_09
TS23: liver Moderate Regionally restricted euxassay_005690_09
TS23: metanephros Moderate Regionally restricted euxassay_005690_09
TS23: dorsal root ganglion Moderate Regionally restricted euxassay_005690_09
TS23: trigeminal ganglion Moderate Regionally restricted euxassay_005690_09
TS23: lung Moderate Regionally restricted euxassay_005690_09

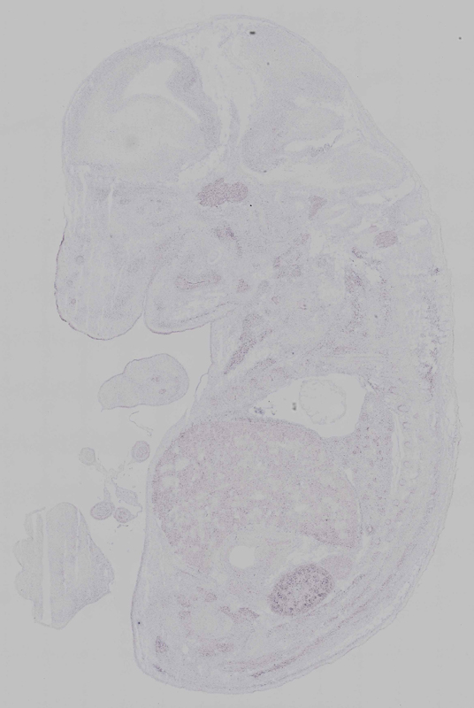
Specimen euxassay_005690_10: embryonic day 14.5 (more )
Structure Level Pattern Image Note
TS23: vertebral axis musculature Moderate Regionally restricted euxassay_005690_10
TS23: liver Moderate Regionally restricted euxassay_005690_10
TS23: lung Moderate Regionally restricted euxassay_005690_10

Specimen euxassay_005690_11: embryonic day 14.5 (more )
Structure Level Pattern Image Note
TS23: vertebral axis musculature Moderate Regionally restricted euxassay_005690_11
TS23: liver Moderate Regionally restricted euxassay_005690_11
TS23: lung Weak Regionally restricted euxassay_005690_11

Specimen euxassay_005690_12: embryonic day 14.5 (more )
Structure Level Pattern Image Note
TS23: vertebral axis musculature Moderate Regionally restricted euxassay_005690_12
TS23: liver Moderate Regionally restricted euxassay_005690_12
TS23: lung Weak Regionally restricted euxassay_005690_12

Specimen euxassay_005690_13: embryonic day 14.5 (more )
Structure Level Pattern Image Note
TS23: vertebral axis musculature Moderate Regionally restricted euxassay_005690_13
TS23: tongue muscle Moderate Regionally restricted euxassay_005690_13
TS23: liver Moderate Regionally restricted euxassay_005690_13
TS23: lung Moderate Regionally restricted euxassay_005690_13

Specimen euxassay_005690_14: embryonic day 14.5 (more )
Structure Level Pattern Image Note
TS23: vertebral axis musculature Moderate Regionally restricted euxassay_005690_14
TS23: tongue muscle Moderate Regionally restricted euxassay_005690_14
TS23: liver Moderate Regionally restricted euxassay_005690_14
TS23: dorsal root ganglion Moderate Regionally restricted euxassay_005690_14
TS23: lung Moderate Regionally restricted euxassay_005690_14

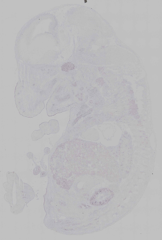
Specimen euxassay_005690_15: embryonic day 14.5 (more )
Structure Level Pattern Image Note
TS23: vertebral axis musculature Moderate Regionally restricted euxassay_005690_15
TS23: tongue muscle Moderate Regionally restricted euxassay_005690_15
TS23: liver Moderate Regionally restricted euxassay_005690_15
TS23: metanephros Moderate Regionally restricted euxassay_005690_15
TS23: dorsal root ganglion Moderate Regionally restricted euxassay_005690_15
TS23: lung Weak Regionally restricted euxassay_005690_15

Specimen euxassay_005690_16: embryonic day 14.5 (more )
Structure Level Pattern Image Note
TS23: vertebral axis musculature Moderate Regionally restricted euxassay_005690_16
TS23: tongue muscle Moderate Regionally restricted euxassay_005690_16
TS23: liver Moderate Regionally restricted euxassay_005690_16
TS23: metanephros Moderate Regionally restricted euxassay_005690_16
TS23: dorsal root ganglion Moderate Regionally restricted euxassay_005690_16
TS23: lung Weak Regionally restricted euxassay_005690_16

Specimen euxassay_005690_17: embryonic day 14.5 (more )
Structure Level Pattern Image Note
TS23: vertebral axis musculature Moderate Regionally restricted euxassay_005690_17
TS23: liver Moderate Regionally restricted euxassay_005690_17
TS23: metanephros Moderate Regionally restricted euxassay_005690_17
TS23: dorsal root ganglion Moderate Regionally restricted euxassay_005690_17
TS23: lung Moderate Regionally restricted euxassay_005690_17

Specimen euxassay_005690_18: embryonic day 14.5 (more )
Structure Level Pattern Image Note
TS23: vertebral axis musculature Moderate Regionally restricted euxassay_005690_18
TS23: liver Moderate Regionally restricted euxassay_005690_18
TS23: metanephros Moderate Regionally restricted euxassay_005690_18
TS23: trigeminal ganglion Moderate Regionally restricted euxassay_005690_18
TS23: lung Moderate Regionally restricted euxassay_005690_18

Specimen euxassay_005690_19: embryonic day 14.5 (more )
Structure Level Pattern Image Note
TS23: vertebral axis musculature Moderate Regionally restricted euxassay_005690_19
TS23: liver Moderate Regionally restricted euxassay_005690_19
TS23: trigeminal ganglion Moderate Regionally restricted euxassay_005690_19
TS23: lung Moderate Regionally restricted euxassay_005690_19

Specimen euxassay_005690_20: embryonic day 14.5 (more )
Structure Level Pattern Image Note
TS23: vertebral axis musculature Moderate Regionally restricted euxassay_005690_20
TS23: liver Moderate Regionally restricted euxassay_005690_20
TS23: trigeminal ganglion Moderate Regionally restricted euxassay_005690_20
TS23: lung Moderate Regionally restricted euxassay_005690_20

Specimen euxassay_005690_21: embryonic day 14.5 (more )
Structure Level Pattern Image Note
TS23: vertebral axis musculature Moderate Regionally restricted euxassay_005690_21
TS23: liver Moderate Regionally restricted euxassay_005690_21
TS23: trigeminal ganglion Moderate Regionally restricted euxassay_005690_21

Specimen euxassay_005690_22: embryonic day 14.5 (more )
Structure Level Pattern Image Note
TS23: vertebral axis musculature Moderate Regionally restricted euxassay_005690_22
TS23: liver Moderate Regionally restricted euxassay_005690_22
TS23: trigeminal ganglion Moderate Regionally restricted euxassay_005690_22

Specimen euxassay_005690_23: embryonic day 14.5 (more )
Structure Level Pattern Image Note
TS23: vertebral axis musculature Moderate Regionally restricted euxassay_005690_23
TS23: liver Moderate Regionally restricted euxassay_005690_23
TS23: trigeminal ganglion Moderate Regionally restricted euxassay_005690_23

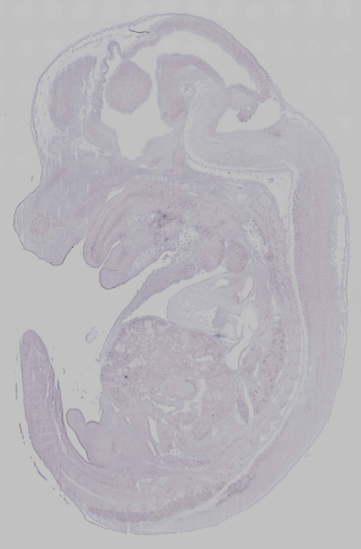
Specimen euxassay_005690_24: embryonic day 14.5 (more )
Structure Level Pattern Image Note
TS23: vertebral axis musculature Moderate Regionally restricted euxassay_005690_24
TS23: liver Moderate Regionally restricted euxassay_005690_24


Contributing Projects:
Mouse Genome Database (MGD), Gene Expression Database (GXD), Mouse Models of Human Cancer database (MMHCdb) (formerly Mouse Tumor Biology (MTB)), Gene Ontology (GO)
Citing These Resources
Funding Information
Warranty Disclaimer, Privacy Notice, Licensing, & Copyright
Send questions and comments to User Support.
last database update
01/20/2026
MGI 6.24
The Jackson Laboratory