About   Help   FAQ
Gene Expression Data
Assay Details
Assay
Reference: J:153498 Diez-Roux G, et al., A high-resolution anatomical atlas of the transcriptome in the mouse embryo. PLoS Biol. 2011;9(1):e1000582
Assay type: RNA in situ
MGI Accession ID: MGI:4827150
Gene symbol: Pecam1
Gene name: platelet/endothelial cell adhesion molecule 1
Probe: T30729
Probe preparation: Antisense labelled with digoxigenin RNA
Visualized with: Alkaline phosphatase
Assay notes: Cryosections of fresh frozen material were fixed in 4% paraformaldehyde for 20 min. before further processing. A tyramide-biotin/streptavidin amplification step was included in the in situ hybridization procedure.
Results
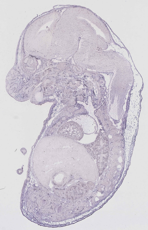
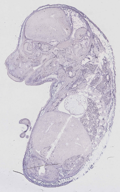
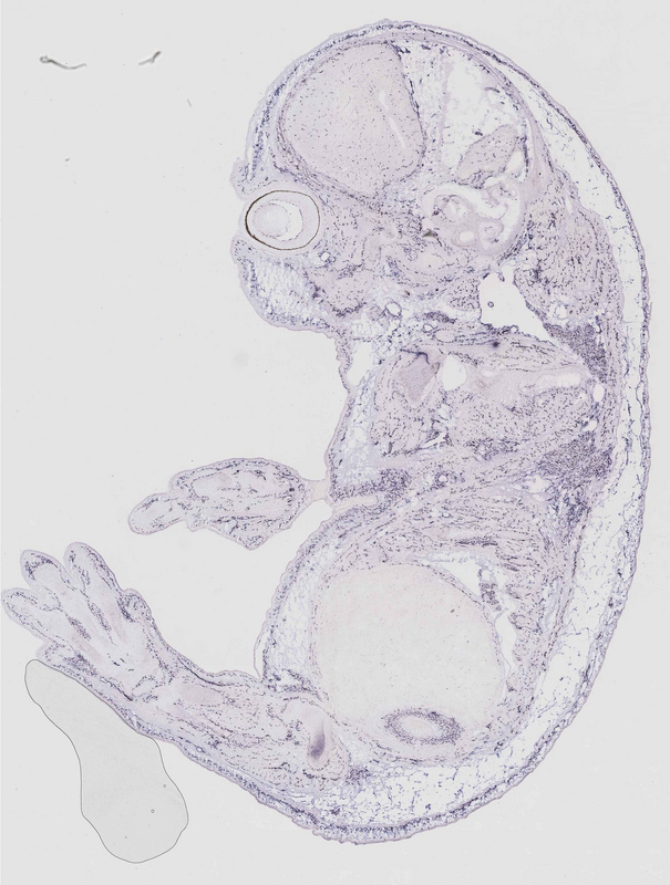
Specimen euxassay_014287_01: embryonic day 14.5 (more )
Structure Level Pattern Image Note
TS23: embryo mesenchyme Moderate Regionally restricted euxassay_014287_01

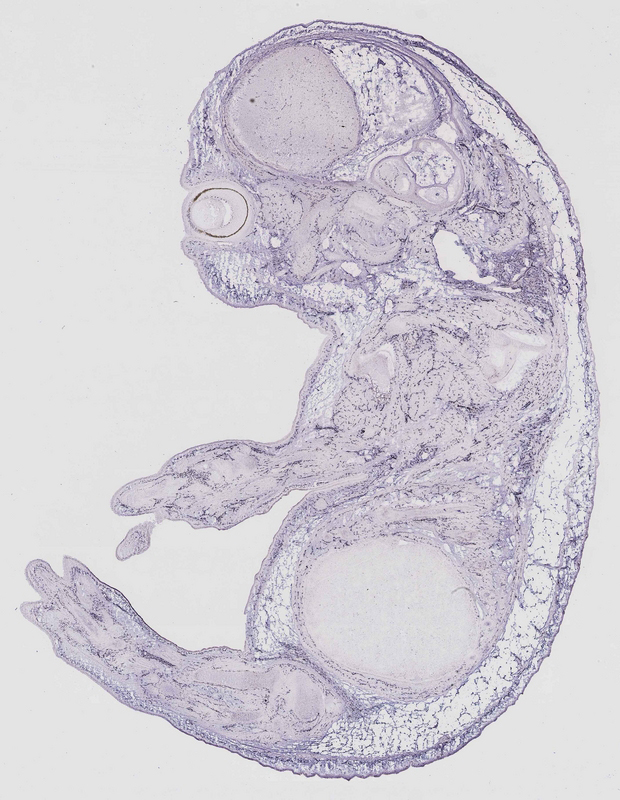
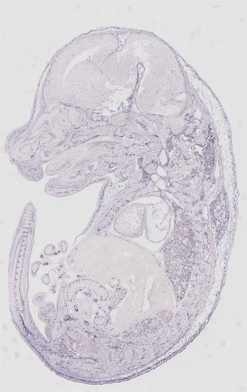
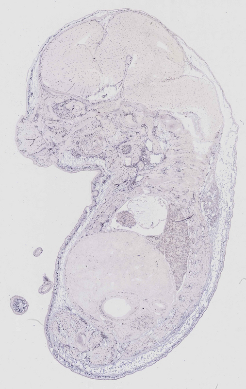
Specimen euxassay_014287_02: embryonic day 14.5 (more )
Structure Level Pattern Image Note
TS23: embryo mesenchyme Moderate Regionally restricted euxassay_014287_02

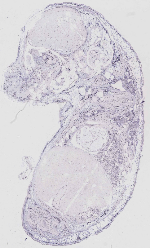
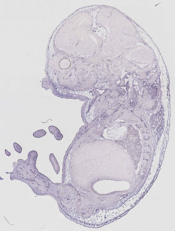
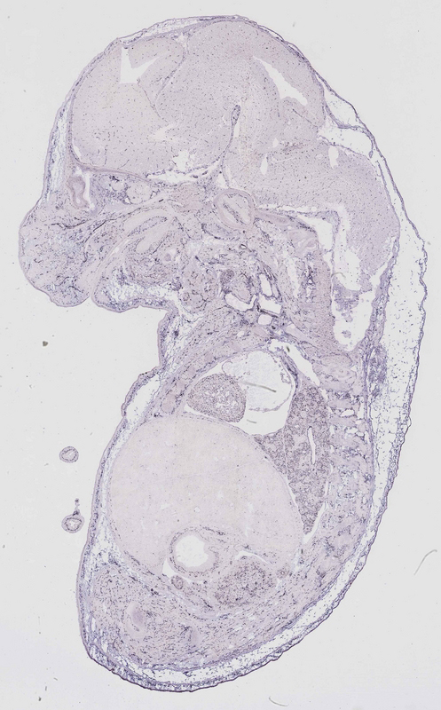
Specimen euxassay_014287_03: embryonic day 14.5 (more )
Structure Level Pattern Image Note
TS23: embryo mesenchyme Moderate Regionally restricted euxassay_014287_03

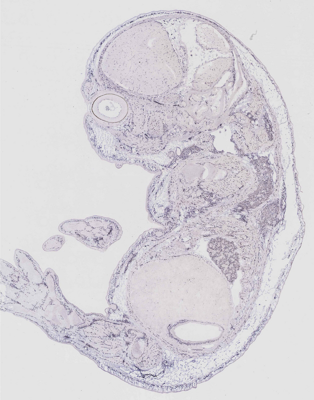
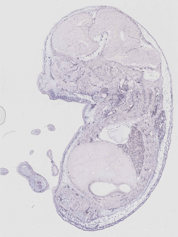
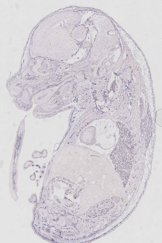
Specimen euxassay_014287_04: embryonic day 14.5 (more )
Structure Level Pattern Image Note
TS23: embryo mesenchyme Moderate Regionally restricted euxassay_014287_04

Specimen euxassay_014287_05: embryonic day 14.5 (more )
Structure Level Pattern Image Note
TS23: embryo mesenchyme Moderate Regionally restricted euxassay_014287_05

Specimen euxassay_014287_06: embryonic day 14.5 (more )
Structure Level Pattern Image Note
TS23: embryo mesenchyme Moderate Regionally restricted euxassay_014287_06

Specimen euxassay_014287_07: embryonic day 14.5 (more )
Structure Level Pattern Image Note
TS23: embryo mesenchyme Moderate Regionally restricted euxassay_014287_07

Specimen euxassay_014287_08: embryonic day 14.5 (more )
Structure Level Pattern Image Note
TS23: embryo mesenchyme Moderate Regionally restricted euxassay_014287_08

Specimen euxassay_014287_09: embryonic day 14.5 (more )
Structure Level Pattern Image Note
TS23: embryo mesenchyme Moderate Regionally restricted euxassay_014287_09

Specimen euxassay_014287_10: embryonic day 14.5 (more )
Structure Level Pattern Image Note
TS23: embryo mesenchyme Moderate Regionally restricted euxassay_014287_10

Specimen euxassay_014287_11: embryonic day 14.5 (more )
Structure Level Pattern Image Note
TS23: embryo mesenchyme Moderate Regionally restricted euxassay_014287_11

Specimen euxassay_014287_12: embryonic day 14.5 (more )
Structure Level Pattern Image Note
TS23: embryo mesenchyme Moderate Regionally restricted euxassay_014287_12

Specimen euxassay_014287_13: embryonic day 14.5 (more )
Structure Level Pattern Image Note
TS23: embryo mesenchyme Moderate Regionally restricted euxassay_014287_13

Specimen euxassay_014287_14: embryonic day 14.5 (more )
Structure Level Pattern Image Note
TS23: embryo mesenchyme Moderate Regionally restricted euxassay_014287_14

Specimen euxassay_014287_15: embryonic day 14.5 (more )
Structure Level Pattern Image Note
TS23: embryo mesenchyme Moderate Regionally restricted euxassay_014287_15

Specimen euxassay_014287_16: embryonic day 14.5 (more )
Structure Level Pattern Image Note
TS23: embryo mesenchyme Moderate Regionally restricted euxassay_014287_16

Specimen euxassay_014287_17: embryonic day 14.5 (more )
Structure Level Pattern Image Note
TS23: embryo mesenchyme Moderate Regionally restricted euxassay_014287_17

Specimen euxassay_014287_18: embryonic day 14.5 (more )
Structure Level Pattern Image Note
TS23: embryo mesenchyme Moderate Regionally restricted euxassay_014287_18

Specimen euxassay_014287_19: embryonic day 14.5 (more )
Structure Level Pattern Image Note
TS23: embryo mesenchyme Moderate Regionally restricted euxassay_014287_19

Specimen euxassay_014287_20: embryonic day 14.5 (more )
Structure Level Pattern Image Note
TS23: embryo mesenchyme Moderate Regionally restricted euxassay_014287_20

Specimen euxassay_014287_21: embryonic day 14.5 (more )
Structure Level Pattern Image Note
TS23: embryo mesenchyme Moderate Regionally restricted euxassay_014287_21

Specimen euxassay_014287_22: embryonic day 14.5 (more )
Structure Level Pattern Image Note
TS23: embryo mesenchyme Moderate Regionally restricted euxassay_014287_22

Specimen euxassay_014287_23: embryonic day 14.5 (more )
Structure Level Pattern Image Note
TS23: embryo mesenchyme Moderate Regionally restricted euxassay_014287_23

Specimen euxassay_014287_24: embryonic day 14.5 (more )
Structure Level Pattern Image Note
TS23: embryo mesenchyme Moderate Regionally restricted euxassay_014287_24


Contributing Projects:
Mouse Genome Database (MGD), Gene Expression Database (GXD), Mouse Models of Human Cancer database (MMHCdb) (formerly Mouse Tumor Biology (MTB)), Gene Ontology (GO)
Citing These Resources
Funding Information
Warranty Disclaimer, Privacy Notice, Licensing, & Copyright
Send questions and comments to User Support.
last database update
01/28/2026
MGI 6.24
The Jackson Laboratory