About   Help   FAQ
Gene Expression Data
Assay Details
Assay
Reference: J:153498 Diez-Roux G, et al., A high-resolution anatomical atlas of the transcriptome in the mouse embryo. PLoS Biol. 2011;9(1):e1000582
Assay type: RNA in situ
MGI Accession ID: MGI:4827140
Gene symbol: Pdxk
Gene name: pyridoxal (pyridoxine, vitamin B6) kinase
Probe: IMAGE clone 734834
Probe preparation: Antisense labelled with digoxigenin RNA
Visualized with: Alkaline phosphatase
Assay notes: Cryosections of fresh frozen material were fixed in 4% paraformaldehyde for 20 min. before further processing. A tyramide-biotin/streptavidin amplification step was included in the in situ hybridization procedure.
Results
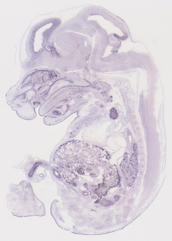
Specimen euxassay_007254_01: embryonic day 14.5 (more )
Structure Level Pattern Image Note
TS23: liver lobe Strong Regionally restricted euxassay_007254_01
TS23: orbito-sphenoid Moderate Regionally restricted euxassay_007254_01
TS23: pharyngo-tympanic tube Moderate Regionally restricted euxassay_007254_01

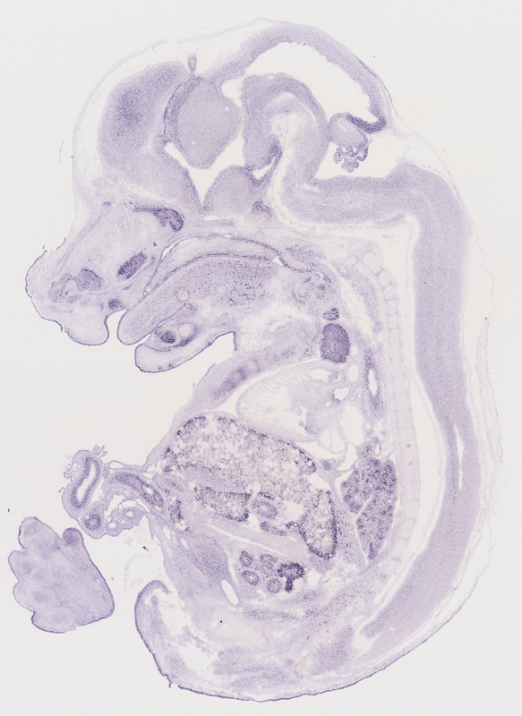
Specimen euxassay_007254_02: embryonic day 14.5 (more )
Structure Level Pattern Image Note
TS23: liver lobe Strong Regionally restricted euxassay_007254_02
TS23: orbito-sphenoid Weak Regionally restricted euxassay_007254_02
TS23: pharyngo-tympanic tube Moderate Regionally restricted euxassay_007254_02

Specimen euxassay_007254_03: embryonic day 14.5 (more )
Structure Level Pattern Image Note
TS23: liver lobe Strong Regionally restricted euxassay_007254_03
TS23: mandible Moderate Regionally restricted euxassay_007254_03
TS23: orbito-sphenoid Weak Regionally restricted euxassay_007254_03
TS23: pharyngo-tympanic tube Moderate Regionally restricted euxassay_007254_03
TS23: telencephalon ventricular layer Moderate Uniform euxassay_007254_03

Specimen euxassay_007254_04: embryonic day 14.5 (more )
Structure Level Pattern Image Note
TS23: liver lobe Strong Regionally restricted euxassay_007254_04
TS23: mandible Moderate Regionally restricted euxassay_007254_04
TS23: lung Moderate Regionally restricted euxassay_007254_04
TS23: orbito-sphenoid Moderate Regionally restricted euxassay_007254_04
TS23: telencephalon ventricular layer Moderate Uniform euxassay_007254_04

Specimen euxassay_007254_05: embryonic day 14.5 (more )
Structure Level Pattern Image Note
TS23: liver lobe Strong Regionally restricted euxassay_007254_05
TS23: mandible Moderate Regionally restricted euxassay_007254_05
TS23: lung Moderate Regionally restricted euxassay_007254_05
TS23: vibrissa Weak Regionally restricted euxassay_007254_05
TS23: orbito-sphenoid Moderate Regionally restricted euxassay_007254_05
TS23: telencephalon ventricular layer Moderate Uniform euxassay_007254_05

Specimen euxassay_007254_06: embryonic day 14.5 (more )
Structure Level Pattern Image Note
TS23: liver lobe Strong Regionally restricted euxassay_007254_06
TS23: mandible Weak Regionally restricted euxassay_007254_06
TS23: lung Moderate Regionally restricted euxassay_007254_06
TS23: vibrissa Moderate Regionally restricted euxassay_007254_06
TS23: orbito-sphenoid Moderate Regionally restricted euxassay_007254_06
TS23: telencephalon ventricular layer Moderate Uniform euxassay_007254_06

Specimen euxassay_007254_07: embryonic day 14.5 (more )
Structure Level Pattern Image Note
TS23: submandibular gland primordium Strong Regionally restricted euxassay_007254_07
TS23: liver lobe Strong Regionally restricted euxassay_007254_07
TS23: mandible Weak Regionally restricted euxassay_007254_07
TS23: maxilla Weak Regionally restricted euxassay_007254_07
TS23: lung Moderate Regionally restricted euxassay_007254_07
TS23: vibrissa Moderate Regionally restricted euxassay_007254_07
TS23: orbito-sphenoid Moderate Regionally restricted euxassay_007254_07
TS23: renal cortex Moderate Regionally restricted euxassay_007254_07
TS23: midgut Moderate Regionally restricted euxassay_007254_07
TS23: telencephalon ventricular layer Moderate Uniform euxassay_007254_07

Specimen euxassay_007254_08: embryonic day 14.5 (more )
Structure Level Pattern Image Note
TS23: submandibular gland primordium Strong Regionally restricted euxassay_007254_08
TS23: liver lobe Strong Regionally restricted euxassay_007254_08
TS23: upper jaw molar Moderate Regionally restricted euxassay_007254_08
TS23: lower jaw molar Moderate Regionally restricted euxassay_007254_08
TS23: mandible Weak Regionally restricted euxassay_007254_08
TS23: lung Moderate Regionally restricted euxassay_007254_08
TS23: vibrissa Moderate Regionally restricted euxassay_007254_08
TS23: renal cortex Moderate Regionally restricted euxassay_007254_08
TS23: midgut Moderate Regionally restricted euxassay_007254_08
TS23: telencephalon ventricular layer Moderate Uniform euxassay_007254_08

Specimen euxassay_007254_09: embryonic day 14.5 (more )
Structure Level Pattern Image Note
TS23: submandibular gland primordium Strong Regionally restricted euxassay_007254_09
TS23: olfactory epithelium Strong Regionally restricted euxassay_007254_09
TS23: liver lobe Strong Regionally restricted euxassay_007254_09
TS23: mandible Weak Regionally restricted euxassay_007254_09
TS23: maxilla Weak Regionally restricted euxassay_007254_09
TS23: upper jaw molar Moderate Regionally restricted euxassay_007254_09
TS23: lower jaw molar Moderate Regionally restricted euxassay_007254_09
TS23: lung Moderate Regionally restricted euxassay_007254_09
TS23: pancreas Strong Regionally restricted euxassay_007254_09
TS23: midgut Moderate Regionally restricted euxassay_007254_09
TS23: telencephalon ventricular layer Moderate Uniform euxassay_007254_09

Specimen euxassay_007254_10: embryonic day 14.5 (more )
Note: Additional information for this specimen was included in the Eurexpress data submission file.
Structure Level Pattern Image Note
TS23: submandibular gland primordium Strong Regionally restricted euxassay_007254_10
TS23: olfactory epithelium Strong Regionally restricted euxassay_007254_10
TS23: liver lobe Strong Regionally restricted euxassay_007254_10
TS23: mandible Weak Regionally restricted euxassay_007254_10
TS23: maxilla Weak Regionally restricted euxassay_007254_10
TS23: lung Moderate Regionally restricted euxassay_007254_10
TS23: pancreas Strong Regionally restricted euxassay_007254_10
TS23: midgut Moderate Regionally restricted euxassay_007254_10
TS23: telencephalon ventricular layer Moderate Uniform euxassay_007254_10
TS23: midbrain ventricular layer Moderate Regionally restricted euxassay_007254_10
TS23: inferior colliculus Present euxassay_007254_10

Specimen euxassay_007254_11: embryonic day 14.5 (more )
Note: Additional information for this specimen was included in the Eurexpress data submission file.
Structure Level Pattern Image Note
TS23: olfactory epithelium Strong Regionally restricted euxassay_007254_11
TS23: liver lobe Strong Regionally restricted euxassay_007254_11
TS23: upper jaw incisor Moderate Regionally restricted euxassay_007254_11
TS23: lower jaw incisor Moderate Regionally restricted euxassay_007254_11
TS23: clavicle Moderate Regionally restricted euxassay_007254_11
TS23: thyroid gland Moderate Regionally restricted euxassay_007254_11
TS23: lung Moderate Regionally restricted euxassay_007254_11
TS23: pancreas Moderate Regionally restricted euxassay_007254_11
TS23: midgut Moderate Regionally restricted euxassay_007254_11
TS23: urethra Weak Regionally restricted euxassay_007254_11 Originally this result was annotated to a male-specific term, but as the specimen was not sexed, it is likely the data annotator intended to use a non-sex specific term.
TS23: telencephalon ventricular layer Moderate Uniform euxassay_007254_11
TS23: olfactory cortex ventricular layer Moderate Uniform euxassay_007254_11
TS23: midbrain ventricular layer Moderate Regionally restricted euxassay_007254_11
TS23: inferior colliculus Present euxassay_007254_11

Specimen euxassay_007254_12: embryonic day 14.5 (more )
Note: Additional information for this specimen was included in the Eurexpress data submission file.
Structure Level Pattern Image Note
TS23: olfactory epithelium Strong Regionally restricted euxassay_007254_12
TS23: liver lobe Strong Regionally restricted euxassay_007254_12
TS23: upper jaw incisor Moderate Regionally restricted euxassay_007254_12
TS23: lower jaw incisor Moderate Regionally restricted euxassay_007254_12
TS23: thymus primordium Strong Regionally restricted euxassay_007254_12
TS23: thyroid gland Moderate Regionally restricted euxassay_007254_12
TS23: lung Moderate Regionally restricted euxassay_007254_12
TS23: pancreas Moderate Regionally restricted euxassay_007254_12
TS23: midgut Moderate Regionally restricted euxassay_007254_12
TS23: rectum Moderate Regionally restricted euxassay_007254_12
TS23: hindgut Moderate Regionally restricted euxassay_007254_12
TS23: urethra Weak Regionally restricted euxassay_007254_12 Originally this result was annotated to a male-specific term, but as the specimen was not sexed, it is likely the data annotator intended to use a non-sex specific term.
TS23: olfactory cortex ventricular layer Moderate Uniform euxassay_007254_12
TS23: telencephalon ventricular layer Moderate Uniform euxassay_007254_12
TS23: midbrain ventricular layer Moderate Regionally restricted euxassay_007254_12
TS23: inferior colliculus Present euxassay_007254_12

Specimen euxassay_007254_13: embryonic day 14.5 (more )
Note: Additional information for this specimen was included in the Eurexpress data submission file.
Structure Level Pattern Image Note
TS23: vomeronasal organ Strong Regionally restricted euxassay_007254_13
TS23: olfactory epithelium Strong Regionally restricted euxassay_007254_13
TS23: liver lobe Strong Regionally restricted euxassay_007254_13
TS23: thymus primordium Strong Regionally restricted euxassay_007254_13
TS23: lung Moderate Regionally restricted euxassay_007254_13
TS23: esophagus Moderate Regionally restricted euxassay_007254_13
TS23: midgut Moderate Regionally restricted euxassay_007254_13
TS23: telencephalon ventricular layer Moderate Uniform euxassay_007254_13
TS23: midbrain ventricular layer Moderate Regionally restricted euxassay_007254_13
TS23: inferior colliculus Present euxassay_007254_13

Specimen euxassay_007254_14: embryonic day 14.5 (more )
Note: Additional information for this specimen was included in the Eurexpress data submission file.
Structure Level Pattern Image Note
TS23: liver lobe Strong Regionally restricted euxassay_007254_14
TS23: thymus primordium Strong Regionally restricted euxassay_007254_14
TS23: lung Moderate Regionally restricted euxassay_007254_14
TS23: midgut Moderate Regionally restricted euxassay_007254_14
TS23: midbrain ventricular layer Moderate Regionally restricted euxassay_007254_14
TS23: inferior colliculus Present euxassay_007254_14

Specimen euxassay_007254_15: embryonic day 14.5 (more )
Note: Additional information for this specimen was included in the Eurexpress data submission file.
Structure Level Pattern Image Note
TS23: olfactory epithelium Strong Regionally restricted euxassay_007254_15
TS23: vomeronasal organ Strong Regionally restricted euxassay_007254_15
TS23: liver lobe Strong Regionally restricted euxassay_007254_15
TS23: upper jaw incisor Moderate Regionally restricted euxassay_007254_15
TS23: lower jaw incisor Moderate Regionally restricted euxassay_007254_15
TS23: thymus primordium Strong Regionally restricted euxassay_007254_15
TS23: thyroid gland Moderate Regionally restricted euxassay_007254_15
TS23: lung Moderate Regionally restricted euxassay_007254_15
TS23: midgut Moderate Regionally restricted euxassay_007254_15
TS23: midbrain ventricular layer Moderate Regionally restricted euxassay_007254_15
TS23: inferior colliculus Present euxassay_007254_15

Specimen euxassay_007254_16: embryonic day 14.5 (more )
Note: Additional information for this specimen was included in the Eurexpress data submission file.
Structure Level Pattern Image Note
TS23: olfactory epithelium Strong Regionally restricted euxassay_007254_16
TS23: liver lobe Strong Regionally restricted euxassay_007254_16
TS23: upper jaw incisor Moderate Regionally restricted euxassay_007254_16
TS23: lower jaw incisor Moderate Regionally restricted euxassay_007254_16
TS23: thymus primordium Strong Regionally restricted euxassay_007254_16
TS23: thyroid gland Moderate Regionally restricted euxassay_007254_16
TS23: lung Moderate Regionally restricted euxassay_007254_16
TS23: renal cortex Moderate Regionally restricted euxassay_007254_16
TS23: midgut Moderate Regionally restricted euxassay_007254_16
TS23: midbrain ventricular layer Moderate Regionally restricted euxassay_007254_16
TS23: inferior colliculus Present euxassay_007254_16
TS23: telencephalon ventricular layer Moderate Regionally restricted euxassay_007254_16

Specimen euxassay_007254_17: embryonic day 14.5 (more )
Note: Additional information for this specimen was included in the Eurexpress data submission file.
Structure Level Pattern Image Note
TS23: submandibular gland primordium Strong Regionally restricted euxassay_007254_17
TS23: olfactory epithelium Strong Regionally restricted euxassay_007254_17
TS23: liver lobe Strong Regionally restricted euxassay_007254_17
TS23: upper jaw incisor Weak Regionally restricted euxassay_007254_17
TS23: lower jaw incisor Weak Regionally restricted euxassay_007254_17
TS23: clavicle Moderate Regionally restricted euxassay_007254_17
TS23: lung Moderate Regionally restricted euxassay_007254_17
TS23: renal cortex Moderate Regionally restricted euxassay_007254_17
TS23: midbrain ventricular layer Moderate Regionally restricted euxassay_007254_17
TS23: inferior colliculus Present euxassay_007254_17
TS23: telencephalon ventricular layer Moderate Regionally restricted euxassay_007254_17
TS23: olfactory cortex ventricular layer Moderate Regionally restricted euxassay_007254_17

Specimen euxassay_007254_18: embryonic day 14.5 (more )
Note: Additional information for this specimen was included in the Eurexpress data submission file.
Structure Level Pattern Image Note
TS23: submandibular gland primordium Strong Regionally restricted euxassay_007254_18
TS23: olfactory epithelium Strong Regionally restricted euxassay_007254_18
TS23: liver lobe Strong Regionally restricted euxassay_007254_18
TS23: maxilla Weak Regionally restricted euxassay_007254_18
TS23: mandible Weak Regionally restricted euxassay_007254_18
TS23: lung Moderate Regionally restricted euxassay_007254_18
TS23: renal cortex Moderate Regionally restricted euxassay_007254_18
TS23: telencephalon ventricular layer Moderate Regionally restricted euxassay_007254_18
TS23: midbrain ventricular layer Moderate Regionally restricted euxassay_007254_18
TS23: inferior colliculus Present euxassay_007254_18
TS23: olfactory cortex ventricular layer Moderate Regionally restricted euxassay_007254_18

Specimen euxassay_007254_19: embryonic day 14.5 (more )
Structure Level Pattern Image Note
TS23: submandibular gland primordium Strong Regionally restricted euxassay_007254_19
TS23: olfactory epithelium Strong Regionally restricted euxassay_007254_19
TS23: liver lobe Strong Regionally restricted euxassay_007254_19
TS23: mandible Weak Regionally restricted euxassay_007254_19
TS23: upper jaw molar Moderate Regionally restricted euxassay_007254_19
TS23: lower jaw molar Moderate Regionally restricted euxassay_007254_19
TS23: lung Moderate Regionally restricted euxassay_007254_19
TS23: renal cortex Moderate Regionally restricted euxassay_007254_19
TS23: telencephalon ventricular layer Moderate Uniform euxassay_007254_19

Specimen euxassay_007254_20: embryonic day 14.5 (more )
Structure Level Pattern Image Note
TS23: submandibular gland primordium Strong Regionally restricted euxassay_007254_20
TS23: olfactory epithelium Strong Regionally restricted euxassay_007254_20
TS23: liver lobe Strong Regionally restricted euxassay_007254_20
TS23: upper jaw molar Moderate Regionally restricted euxassay_007254_20
TS23: lower jaw molar Moderate Regionally restricted euxassay_007254_20
TS23: mandible Weak Regionally restricted euxassay_007254_20
TS23: lung Moderate Regionally restricted euxassay_007254_20
TS23: vibrissa Moderate Regionally restricted euxassay_007254_20
TS23: renal cortex Moderate Regionally restricted euxassay_007254_20
TS23: telencephalon ventricular layer Moderate Uniform euxassay_007254_20

Specimen euxassay_007254_21: embryonic day 14.5 (more )
Structure Level Pattern Image Note
TS23: liver lobe Strong Regionally restricted euxassay_007254_21
TS23: mandible Weak Regionally restricted euxassay_007254_21
TS23: lung Moderate Regionally restricted euxassay_007254_21
TS23: vibrissa Moderate Regionally restricted euxassay_007254_21
TS23: telencephalon ventricular layer Moderate Uniform euxassay_007254_21

Specimen euxassay_007254_22: embryonic day 14.5 (more )
Structure Level Pattern Image Note
TS23: liver lobe Strong Regionally restricted euxassay_007254_22
TS23: mandible Weak Regionally restricted euxassay_007254_22
TS23: lung Moderate Regionally restricted euxassay_007254_22
TS23: vibrissa Moderate Regionally restricted euxassay_007254_22
TS23: orbito-sphenoid Moderate Regionally restricted euxassay_007254_22
TS23: telencephalon ventricular layer Weak Regionally restricted euxassay_007254_22

Specimen euxassay_007254_23: embryonic day 14.5 (more )
Structure Level Pattern Image Note
TS23: liver lobe Moderate Regionally restricted euxassay_007254_23
TS23: mandible Weak Regionally restricted euxassay_007254_23
TS23: lung Moderate Regionally restricted euxassay_007254_23
TS23: orbito-sphenoid Weak Regionally restricted euxassay_007254_23
TS23: telencephalon ventricular layer Weak Regionally restricted euxassay_007254_23

Specimen euxassay_007254_24: embryonic day 14.5 (more )
Structure Level Pattern Image Note
TS23: liver lobe Strong Regionally restricted euxassay_007254_24
TS23: mandible Moderate Regionally restricted euxassay_007254_24
TS23: lung Moderate Regionally restricted euxassay_007254_24
TS23: orbito-sphenoid Weak Regionally restricted euxassay_007254_24
TS23: pharyngo-tympanic tube Moderate Regionally restricted euxassay_007254_24
TS23: telencephalon ventricular layer Moderate Regionally restricted euxassay_007254_24


Contributing Projects:
Mouse Genome Database (MGD), Gene Expression Database (GXD), Mouse Models of Human Cancer database (MMHCdb) (formerly Mouse Tumor Biology (MTB)), Gene Ontology (GO)
Citing These Resources
Funding Information
Warranty Disclaimer, Privacy Notice, Licensing, & Copyright
Send questions and comments to User Support.
last database update
01/06/2026
MGI 6.24
The Jackson Laboratory