About   Help   FAQ
Gene Expression Data
Assay Details
Assay
Reference: J:153498 Diez-Roux G, et al., A high-resolution anatomical atlas of the transcriptome in the mouse embryo. PLoS Biol. 2011;9(1):e1000582
Assay type: RNA in situ
MGI Accession ID: MGI:4827103
Gene symbol: Pcsk9
Gene name: proprotein convertase subtilisin/kexin type 9
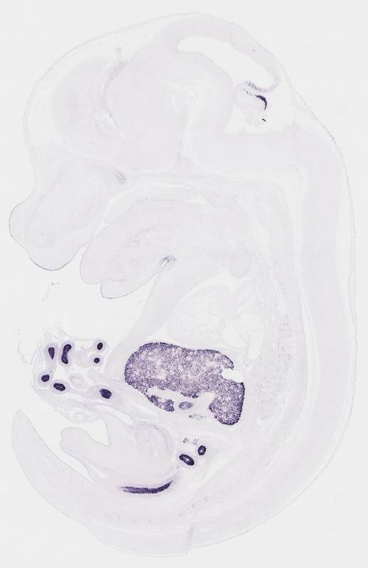
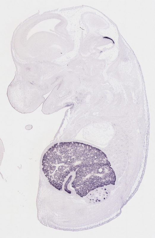
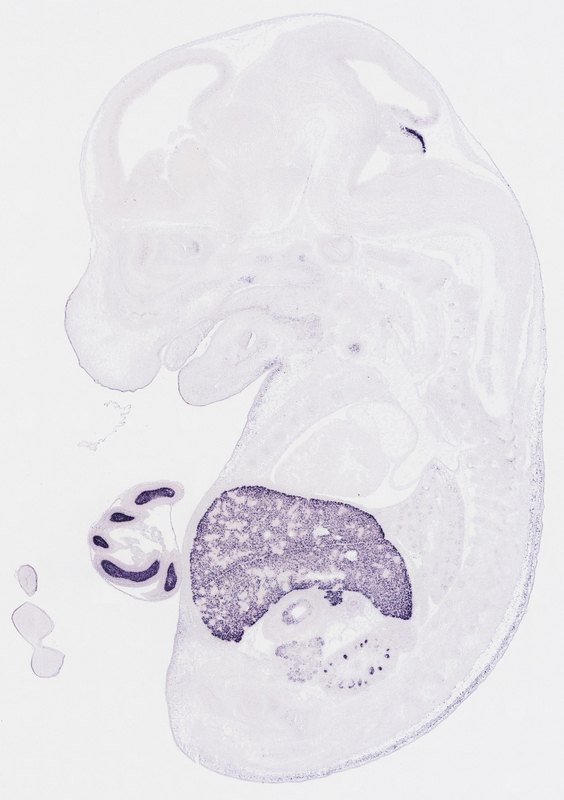
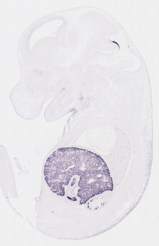
Probe: MGC clone 47409
Probe preparation: Antisense labelled with digoxigenin RNA
Visualized with: Alkaline phosphatase
Assay notes: Cryosections of fresh frozen material were fixed in 4% paraformaldehyde for 20 min. before further processing. A tyramide-biotin/streptavidin amplification step was included in the in situ hybridization procedure.
Results
Specimen euxassay_002970_01: embryonic day 14.5 (more )
Structure Level Pattern Image Note
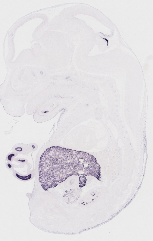
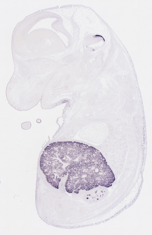
TS23: liver lobe Strong Regionally restricted euxassay_002970_01

Specimen euxassay_002970_02: embryonic day 14.5 (more )
Structure Level Pattern Image Note
TS23: liver lobe Strong Regionally restricted euxassay_002970_02

Specimen euxassay_002970_03: embryonic day 14.5 (more )
Structure Level Pattern Image Note
TS23: liver lobe Strong Regionally restricted euxassay_002970_03

Specimen euxassay_002970_04: embryonic day 14.5 (more )
Structure Level Pattern Image Note
TS23: liver lobe Strong Regionally restricted euxassay_002970_04
TS23: rest of cerebellum marginal layer Strong Regionally restricted euxassay_002970_04

Specimen euxassay_002970_05: embryonic day 14.5 (more )
Structure Level Pattern Image Note
TS23: liver lobe Strong Regionally restricted euxassay_002970_05
TS23: rest of cerebellum marginal layer Strong Regionally restricted euxassay_002970_05

Specimen euxassay_002970_06: embryonic day 14.5 (more )
Structure Level Pattern Image Note
TS23: liver lobe Strong Regionally restricted euxassay_002970_06
TS23: rest of cerebellum marginal layer Strong Regionally restricted euxassay_002970_06

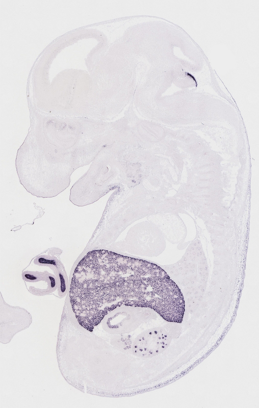
Specimen euxassay_002970_07: embryonic day 14.5 (more )
Structure Level Pattern Image Note
TS23: liver lobe Strong Regionally restricted euxassay_002970_07
TS23: rest of cerebellum marginal layer Strong Regionally restricted euxassay_002970_07
TS23: stomach Weak Regionally restricted euxassay_002970_07

Specimen euxassay_002970_08: embryonic day 14.5 (more )
Structure Level Pattern Image Note
TS23: liver lobe Strong Regionally restricted euxassay_002970_08
TS23: rest of cerebellum marginal layer Strong Regionally restricted euxassay_002970_08
TS23: stomach Weak Regionally restricted euxassay_002970_08

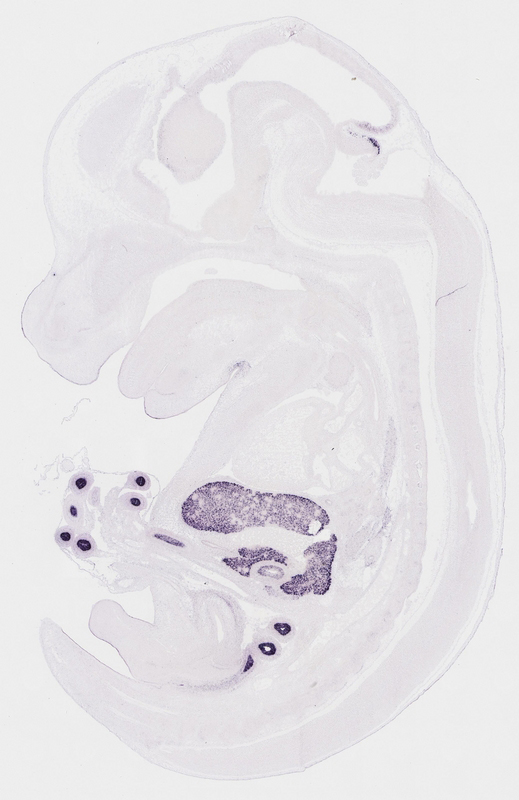
Specimen euxassay_002970_09: embryonic day 14.5 (more )
Structure Level Pattern Image Note
TS23: liver lobe Strong Regionally restricted euxassay_002970_09
TS23: rest of cerebellum marginal layer Strong Regionally restricted euxassay_002970_09
TS23: stomach Weak Regionally restricted euxassay_002970_09
TS23: midgut Strong Regionally restricted euxassay_002970_09
TS23: renal calyx Moderate Regionally restricted euxassay_002970_09

Specimen euxassay_002970_10: embryonic day 14.5 (more )
Structure Level Pattern Image Note
TS23: liver lobe Strong Regionally restricted euxassay_002970_10
TS23: rest of cerebellum marginal layer Strong Regionally restricted euxassay_002970_10
TS23: midgut Strong Regionally restricted euxassay_002970_10
TS23: stomach Moderate Regionally restricted euxassay_002970_10
TS23: renal calyx Moderate Regionally restricted euxassay_002970_10
TS23: pancreas Weak Regionally restricted euxassay_002970_10

Specimen euxassay_002970_11: embryonic day 14.5 (more )
Structure Level Pattern Image Note
TS23: liver lobe Strong Regionally restricted euxassay_002970_11
TS23: rest of cerebellum marginal layer Strong Regionally restricted euxassay_002970_11
TS23: stomach Moderate Regionally restricted euxassay_002970_11
TS23: midgut Strong Regionally restricted euxassay_002970_11
TS23: renal calyx Moderate Regionally restricted euxassay_002970_11
TS23: pancreas Weak Regionally restricted euxassay_002970_11

Specimen euxassay_002970_12: embryonic day 14.5 (more )
Structure Level Pattern Image Note
TS23: liver lobe Strong Regionally restricted euxassay_002970_12
TS23: rest of cerebellum marginal layer Strong Regionally restricted euxassay_002970_12
TS23: midgut Strong Regionally restricted euxassay_002970_12
TS23: renal calyx Moderate Regionally restricted euxassay_002970_12
TS23: pancreas Weak Regionally restricted euxassay_002970_12
TS23: lower jaw incisor Moderate Regionally restricted euxassay_002970_12

Specimen euxassay_002970_13: embryonic day 14.5 (more )
Structure Level Pattern Image Note
TS23: liver lobe Strong Regionally restricted euxassay_002970_13
TS23: rest of cerebellum marginal layer Strong Regionally restricted euxassay_002970_13
TS23: midgut Strong Regionally restricted euxassay_002970_13
TS23: pancreas Weak Regionally restricted euxassay_002970_13
TS23: upper jaw incisor Moderate Regionally restricted euxassay_002970_13
TS23: lower jaw incisor Moderate Regionally restricted euxassay_002970_13

Specimen euxassay_002970_14: embryonic day 14.5 (more )
Structure Level Pattern Image Note
TS23: liver lobe Strong Regionally restricted euxassay_002970_14
TS23: rest of cerebellum marginal layer Strong Regionally restricted euxassay_002970_14
TS23: midgut Strong Regionally restricted euxassay_002970_14

Specimen euxassay_002970_15: embryonic day 14.5 (more )
Structure Level Pattern Image Note
TS23: liver lobe Strong Regionally restricted euxassay_002970_15
TS23: rest of cerebellum marginal layer Strong Regionally restricted euxassay_002970_15
TS23: midgut Strong Regionally restricted euxassay_002970_15
TS23: hindgut Strong Regionally restricted euxassay_002970_15
TS23: rectum Strong Regionally restricted euxassay_002970_15

Specimen euxassay_002970_16: embryonic day 14.5 (more )
Structure Level Pattern Image Note
TS23: liver lobe Strong Regionally restricted euxassay_002970_16
TS23: rest of cerebellum marginal layer Strong Regionally restricted euxassay_002970_16
TS23: midgut Strong Regionally restricted euxassay_002970_16
TS23: rectum Strong Regionally restricted euxassay_002970_16
TS23: hindgut Strong Regionally restricted euxassay_002970_16

Specimen euxassay_002970_17: embryonic day 14.5 (more )
Structure Level Pattern Image Note
TS23: liver lobe Strong Regionally restricted euxassay_002970_17
TS23: rest of cerebellum marginal layer Strong Regionally restricted euxassay_002970_17
TS23: midgut Strong Regionally restricted euxassay_002970_17
TS23: hindgut Strong Regionally restricted euxassay_002970_17
TS23: upper jaw incisor Moderate Regionally restricted euxassay_002970_17
TS23: lower jaw incisor Moderate Regionally restricted euxassay_002970_17

Specimen euxassay_002970_18: embryonic day 14.5 (more )
Structure Level Pattern Image Note
TS23: liver lobe Strong Regionally restricted euxassay_002970_18
TS23: rest of cerebellum marginal layer Strong Regionally restricted euxassay_002970_18
TS23: midgut Strong Regionally restricted euxassay_002970_18
TS23: hindgut Strong Regionally restricted euxassay_002970_18
TS23: lower jaw incisor Moderate Regionally restricted euxassay_002970_18
TS23: upper jaw incisor Moderate Regionally restricted euxassay_002970_18

Specimen euxassay_002970_19: embryonic day 14.5 (more )
Structure Level Pattern Image Note
TS23: liver lobe Strong Regionally restricted euxassay_002970_19
TS23: rest of cerebellum marginal layer Strong Regionally restricted euxassay_002970_19
TS23: midgut Strong Regionally restricted euxassay_002970_19
TS23: hindgut Strong Regionally restricted euxassay_002970_19
TS23: renal calyx Moderate Regionally restricted euxassay_002970_19

Specimen euxassay_002970_20: embryonic day 14.5 (more )
Structure Level Pattern Image Note
TS23: liver lobe Strong Regionally restricted euxassay_002970_20
TS23: rest of cerebellum marginal layer Strong Regionally restricted euxassay_002970_20
TS23: midgut Strong Regionally restricted euxassay_002970_20
TS23: renal calyx Moderate Regionally restricted euxassay_002970_20

Specimen euxassay_002970_21: embryonic day 14.5 (more )
Structure Level Pattern Image Note
TS23: liver lobe Strong Regionally restricted euxassay_002970_21
TS23: rest of cerebellum marginal layer Strong Regionally restricted euxassay_002970_21
TS23: midgut Strong Regionally restricted euxassay_002970_21
TS23: renal calyx Moderate Regionally restricted euxassay_002970_21

Specimen euxassay_002970_22: embryonic day 14.5 (more )
Structure Level Pattern Image Note
TS23: liver lobe Strong Regionally restricted euxassay_002970_22
TS23: rest of cerebellum marginal layer Strong Regionally restricted euxassay_002970_22
TS23: renal calyx Moderate Regionally restricted euxassay_002970_22

Specimen euxassay_002970_23: embryonic day 14.5 (more )
Structure Level Pattern Image Note
TS23: liver lobe Strong Regionally restricted euxassay_002970_23
TS23: rest of cerebellum marginal layer Strong Regionally restricted euxassay_002970_23

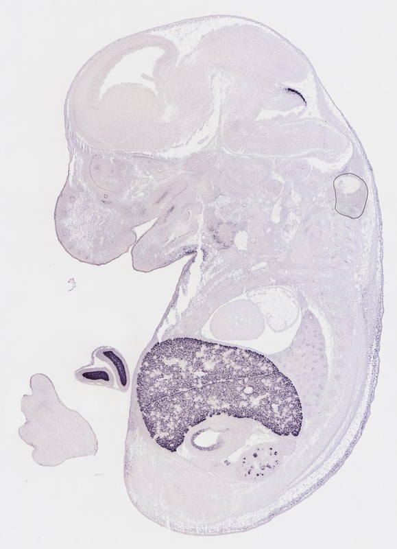
Specimen euxassay_002970_24: embryonic day 14.5 (more )
Structure Level Pattern Image Note
TS23: liver lobe Strong Regionally restricted euxassay_002970_24
TS23: rest of cerebellum marginal layer Strong Regionally restricted euxassay_002970_24


Contributing Projects:
Mouse Genome Database (MGD), Gene Expression Database (GXD), Mouse Models of Human Cancer database (MMHCdb) (formerly Mouse Tumor Biology (MTB)), Gene Ontology (GO)
Citing These Resources
Funding Information
Warranty Disclaimer, Privacy Notice, Licensing, & Copyright
Send questions and comments to User Support.
last database update
12/30/2025
MGI 6.24
The Jackson Laboratory