About   Help   FAQ
Gene Expression Data
Assay Details
Assay
Reference: J:153498 Diez-Roux G, et al., A high-resolution anatomical atlas of the transcriptome in the mouse embryo. PLoS Biol. 2011;9(1):e1000582
Assay type: RNA in situ
MGI Accession ID: MGI:4827089
Gene symbol: Pcdhga12
Gene name: protocadherin gamma subfamily A, 12
Probe: T30702
Probe preparation: Antisense labelled with digoxigenin RNA
Visualized with: Alkaline phosphatase
Assay notes: Cryosections of fresh frozen material were fixed in 4% paraformaldehyde for 20 min. before further processing. A tyramide-biotin/streptavidin amplification step was included in the in situ hybridization procedure.
Results
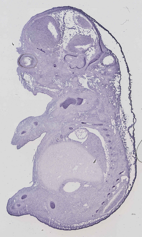
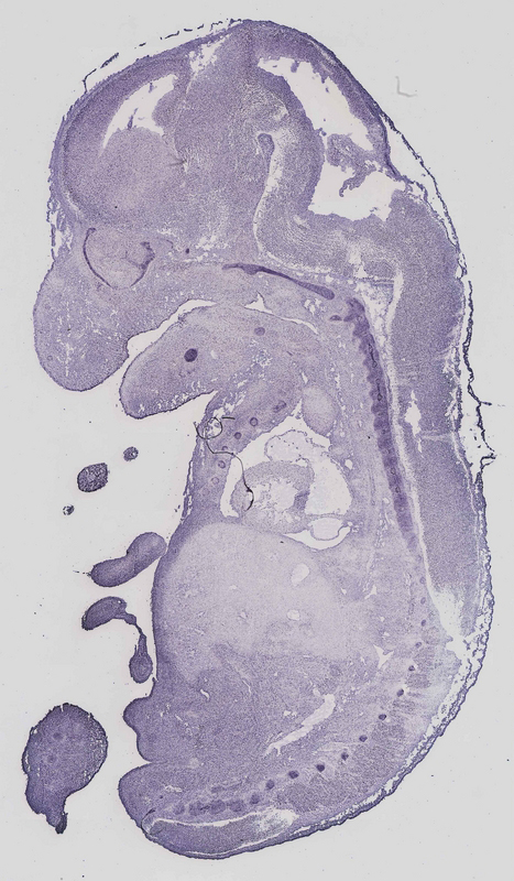
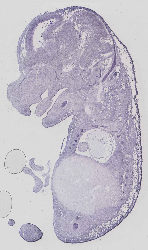
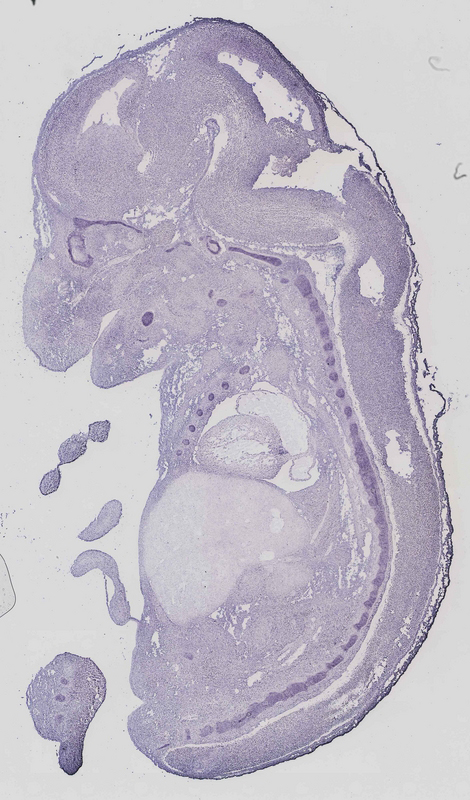
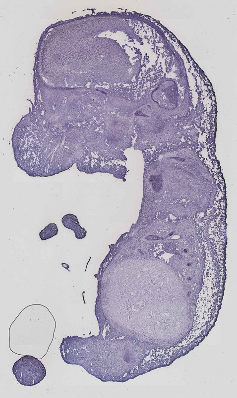
Specimen euxassay_012080_01: embryonic day 14.5 (more )
Structure Level Pattern Image Note
TS23: humerus Strong Regionally restricted euxassay_012080_01
TS23: scapula Strong Regionally restricted euxassay_012080_01
TS23: femur Strong Regionally restricted euxassay_012080_01
TS23: fibula Strong Regionally restricted euxassay_012080_01
TS23: tibia Strong Regionally restricted euxassay_012080_01
TS23: rib Moderate Regionally restricted euxassay_012080_01
TS23: orbito-sphenoid Strong Regionally restricted euxassay_012080_01
TS23: temporal bone Strong Regionally restricted euxassay_012080_01
TS23: exoccipital bone Strong Regionally restricted euxassay_012080_01

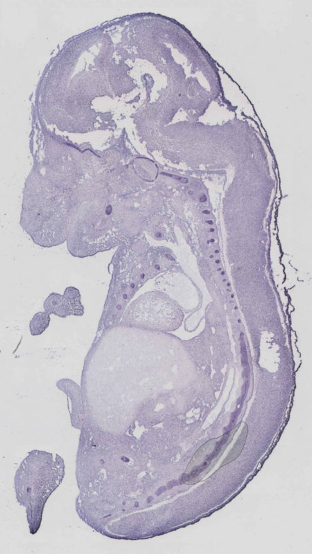
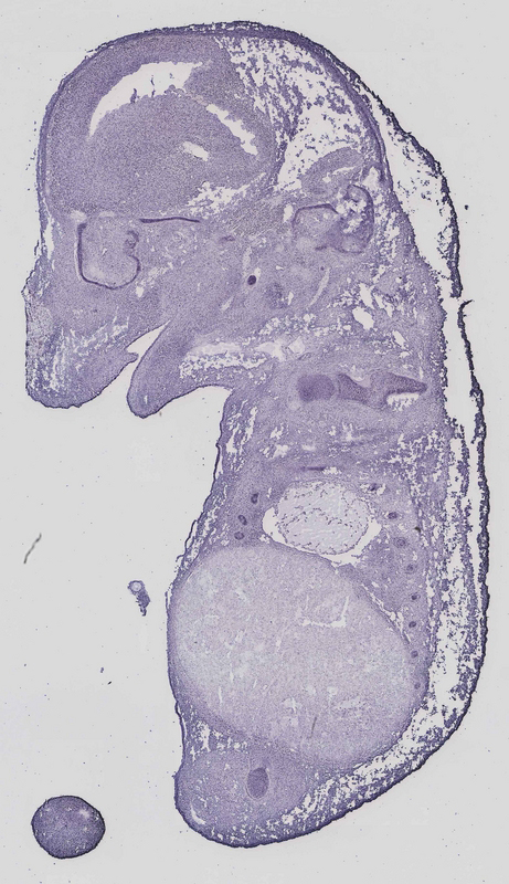
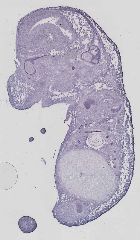
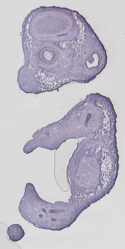
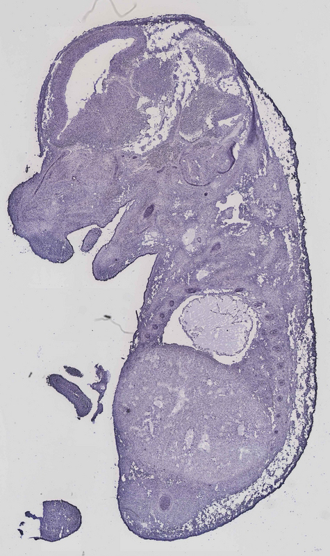
Specimen euxassay_012080_02: embryonic day 14.5 (more )
Structure Level Pattern Image Note
TS23: humerus Strong Regionally restricted euxassay_012080_02
TS23: scapula Strong Regionally restricted euxassay_012080_02
TS23: femur Strong Regionally restricted euxassay_012080_02
TS23: tibia Strong Regionally restricted euxassay_012080_02
TS23: rib Moderate Regionally restricted euxassay_012080_02
TS23: Meckel's cartilage Strong Regionally restricted euxassay_012080_02
TS23: orbito-sphenoid Strong Regionally restricted euxassay_012080_02
TS23: temporal bone Strong Regionally restricted euxassay_012080_02
TS23: exoccipital bone Strong Regionally restricted euxassay_012080_02

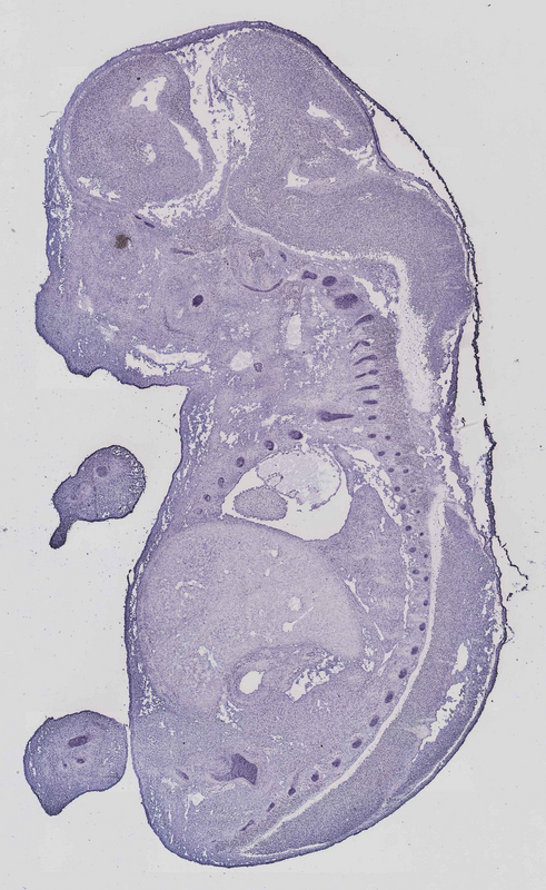
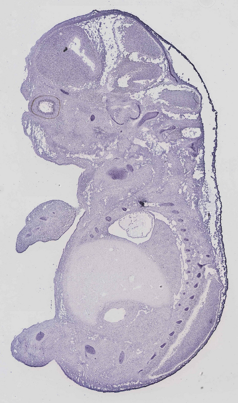
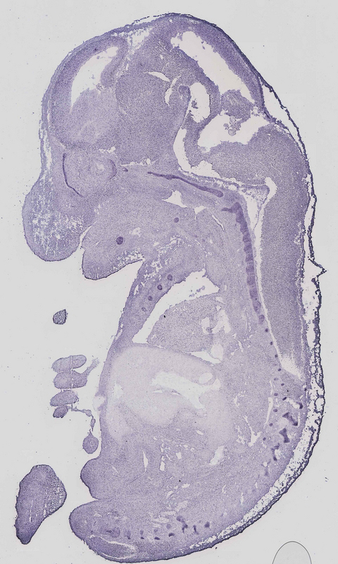
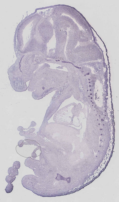
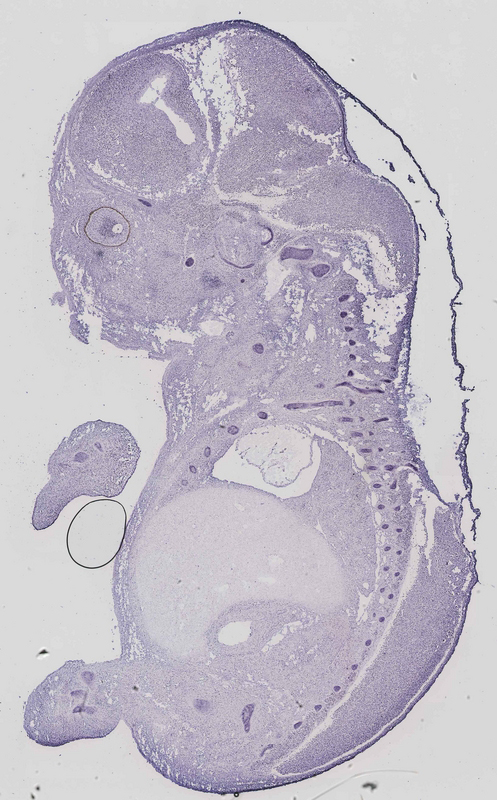
Specimen euxassay_012080_03: embryonic day 14.5 (more )
Structure Level Pattern Image Note
TS23: humerus Moderate Regionally restricted euxassay_012080_03
TS23: femur Moderate Regionally restricted euxassay_012080_03
TS23: tibia Moderate Regionally restricted euxassay_012080_03
TS23: rib Moderate Regionally restricted euxassay_012080_03
TS23: Meckel's cartilage Strong Regionally restricted euxassay_012080_03
TS23: exoccipital bone Moderate Regionally restricted euxassay_012080_03
TS23: temporal bone Moderate Regionally restricted euxassay_012080_03

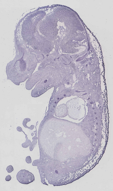
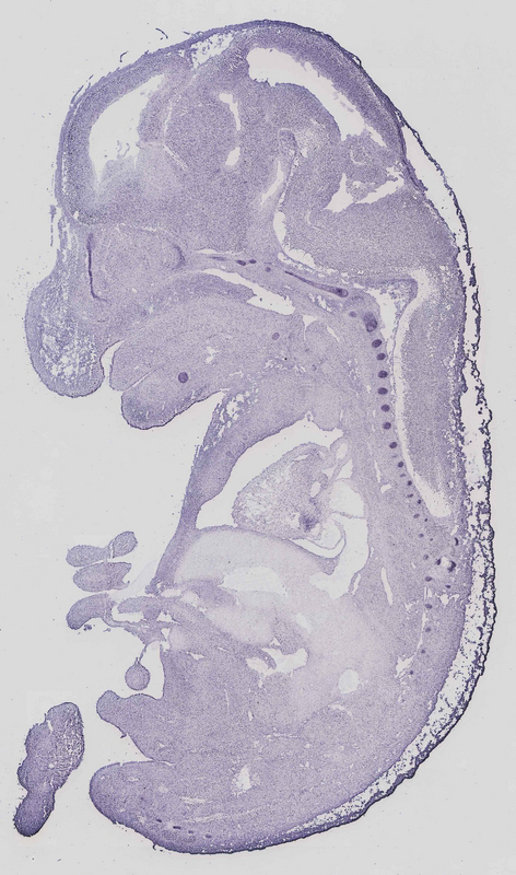
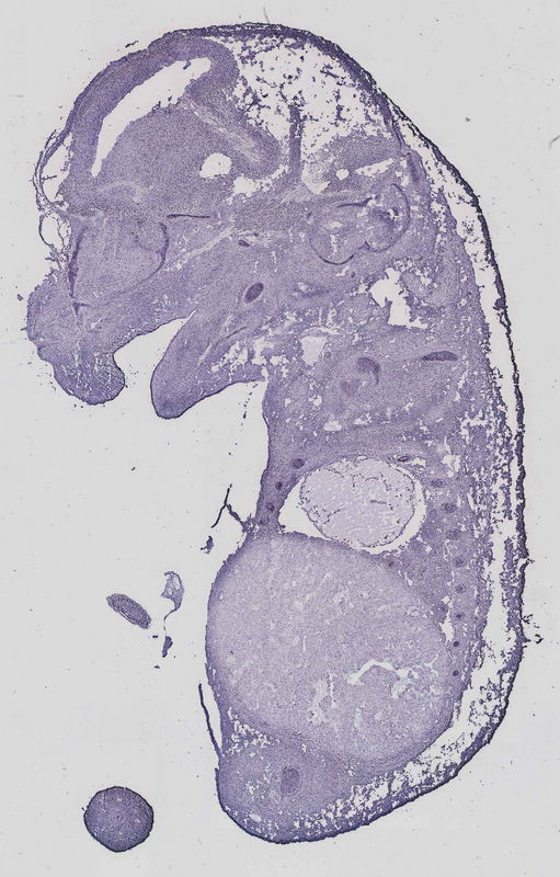
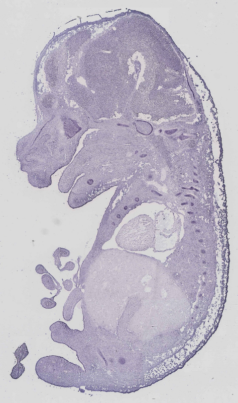
Specimen euxassay_012080_04: embryonic day 14.5 (more )
Structure Level Pattern Image Note
TS23: femur Weak Regionally restricted euxassay_012080_04
TS23: axial skeleton Strong Regionally restricted euxassay_012080_04
TS23: rib Strong Regionally restricted euxassay_012080_04
TS23: clavicle Moderate Regionally restricted euxassay_012080_04
TS23: Meckel's cartilage Strong Regionally restricted euxassay_012080_04
TS23: temporal bone Moderate Regionally restricted euxassay_012080_04
TS23: otic capsule Weak Regionally restricted euxassay_012080_04

Specimen euxassay_012080_05: embryonic day 14.5 (more )
Structure Level Pattern Image Note
TS23: pelvic girdle skeleton Moderate Regionally restricted euxassay_012080_05
TS23: axial skeleton Strong Regionally restricted euxassay_012080_05
TS23: rib Strong Regionally restricted euxassay_012080_05
TS23: clavicle Weak Regionally restricted euxassay_012080_05
TS23: Meckel's cartilage Strong Regionally restricted euxassay_012080_05
TS23: otic capsule Weak Regionally restricted euxassay_012080_05

Specimen euxassay_012080_06: embryonic day 14.5 (more )
Structure Level Pattern Image Note
TS23: pelvic girdle skeleton Moderate Regionally restricted euxassay_012080_06
TS23: axial skeleton Strong Regionally restricted euxassay_012080_06
TS23: rib Strong Regionally restricted euxassay_012080_06
TS23: Meckel's cartilage Strong Regionally restricted euxassay_012080_06
TS23: orbito-sphenoid Moderate Regionally restricted euxassay_012080_06
TS23: otic capsule Moderate Regionally restricted euxassay_012080_06

Specimen euxassay_012080_07: embryonic day 14.5 (more )
Structure Level Pattern Image Note
TS23: axial skeleton Strong Regionally restricted euxassay_012080_07
TS23: rib Strong Regionally restricted euxassay_012080_07
TS23: Meckel's cartilage Moderate Regionally restricted euxassay_012080_07
TS23: orbito-sphenoid Moderate Regionally restricted euxassay_012080_07
TS23: basioccipital bone Moderate Regionally restricted euxassay_012080_07
TS23: otic capsule Moderate Regionally restricted euxassay_012080_07

Specimen euxassay_012080_08: embryonic day 14.5 (more )
Structure Level Pattern Image Note
TS23: axial skeleton Strong Regionally restricted euxassay_012080_08
TS23: Meckel's cartilage Strong Regionally restricted euxassay_012080_08
TS23: turbinate bone primordium Moderate Regionally restricted euxassay_012080_08
TS23: orbito-sphenoid Moderate Regionally restricted euxassay_012080_08
TS23: basioccipital bone Moderate Regionally restricted euxassay_012080_08
TS23: otic capsule Moderate Regionally restricted euxassay_012080_08

Specimen euxassay_012080_09: embryonic day 14.5 (more )
Structure Level Pattern Image Note
TS23: axial skeleton Strong Regionally restricted euxassay_012080_09
TS23: Meckel's cartilage Strong Regionally restricted euxassay_012080_09
TS23: basisphenoid bone Strong Regionally restricted euxassay_012080_09
TS23: basioccipital bone Strong Regionally restricted euxassay_012080_09
TS23: turbinate bone primordium Strong Regionally restricted euxassay_012080_09

Specimen euxassay_012080_10: embryonic day 14.5 (more )
Structure Level Pattern Image Note
TS23: axial skeleton Strong Regionally restricted euxassay_012080_10
TS23: Meckel's cartilage Moderate Regionally restricted euxassay_012080_10
TS23: turbinate bone primordium Strong Regionally restricted euxassay_012080_10
TS23: basisphenoid bone Strong Regionally restricted euxassay_012080_10
TS23: basioccipital bone Strong Regionally restricted euxassay_012080_10

Specimen euxassay_012080_11: embryonic day 14.5 (more )
Structure Level Pattern Image Note
TS23: axial skeleton Strong Regionally restricted euxassay_012080_11
TS23: Meckel's cartilage Moderate Regionally restricted euxassay_012080_11
TS23: basioccipital bone Moderate Regionally restricted euxassay_012080_11
TS23: turbinate bone primordium Moderate Regionally restricted euxassay_012080_11

Specimen euxassay_012080_12: embryonic day 14.5 (more )
Structure Level Pattern Image Note
TS23: pelvic girdle skeleton Moderate Regionally restricted euxassay_012080_12
TS23: axial skeleton Moderate Regionally restricted euxassay_012080_12
TS23: Meckel's cartilage Moderate Regionally restricted euxassay_012080_12
TS23: orbito-sphenoid Moderate Regionally restricted euxassay_012080_12
TS23: basisphenoid bone Moderate Regionally restricted euxassay_012080_12
TS23: basioccipital bone Moderate Regionally restricted euxassay_012080_12

Specimen euxassay_012080_13: embryonic day 14.5 (more )
Structure Level Pattern Image Note
TS23: pelvic girdle skeleton Moderate Regionally restricted euxassay_012080_13
TS23: rib Weak Regionally restricted euxassay_012080_13
TS23: axial skeleton Weak Regionally restricted euxassay_012080_13
TS23: basioccipital bone Moderate Regionally restricted euxassay_012080_13
TS23: basisphenoid bone Moderate Regionally restricted euxassay_012080_13

Specimen euxassay_012080_14: embryonic day 14.5 (more )
Structure Level Pattern Image Note
TS23: rib Weak Regionally restricted euxassay_012080_14
TS23: Meckel's cartilage Moderate Regionally restricted euxassay_012080_14
TS23: basioccipital bone Moderate Regionally restricted euxassay_012080_14
TS23: otic capsule Moderate Regionally restricted euxassay_012080_14
TS23: nasal septum Moderate Regionally restricted euxassay_012080_14

Specimen euxassay_012080_15: embryonic day 14.5 (more )
Structure Level Pattern Image Note
TS23: femur Moderate Regionally restricted euxassay_012080_15
TS23: rib Weak Regionally restricted euxassay_012080_15
TS23: clavicle Weak Regionally restricted euxassay_012080_15
TS23: Meckel's cartilage Moderate Regionally restricted euxassay_012080_15
TS23: exoccipital bone Moderate Regionally restricted euxassay_012080_15
TS23: otic capsule Moderate Regionally restricted euxassay_012080_15
TS23: nasal septum Moderate Regionally restricted euxassay_012080_15

Specimen euxassay_012080_16: embryonic day 14.5 (more )
Structure Level Pattern Image Note
TS23: femur Moderate Regionally restricted euxassay_012080_16
TS23: rib Weak Regionally restricted euxassay_012080_16
TS23: Meckel's cartilage Moderate Regionally restricted euxassay_012080_16
TS23: exoccipital bone Moderate Regionally restricted euxassay_012080_16
TS23: temporal bone Moderate Regionally restricted euxassay_012080_16

Specimen euxassay_012080_17: embryonic day 14.5 (more )
Structure Level Pattern Image Note
TS23: femur Weak Regionally restricted euxassay_012080_17
TS23: rib Weak Regionally restricted euxassay_012080_17
TS23: Meckel's cartilage Moderate Regionally restricted euxassay_012080_17
TS23: temporal bone Moderate Regionally restricted euxassay_012080_17
TS23: exoccipital bone Moderate Regionally restricted euxassay_012080_17

Specimen euxassay_012080_18: embryonic day 14.5 (more )
Structure Level Pattern Image Note
TS23: femur Weak Regionally restricted euxassay_012080_18
TS23: Meckel's cartilage Moderate Regionally restricted euxassay_012080_18
TS23: temporal bone Moderate Regionally restricted euxassay_012080_18
TS23: orbito-sphenoid Moderate Regionally restricted euxassay_012080_18

Specimen euxassay_012080_19: embryonic day 14.5 (more )
Structure Level Pattern Image Note
TS23: humerus Moderate Regionally restricted euxassay_012080_19
TS23: scapula Weak Regionally restricted euxassay_012080_19
TS23: femur Weak Regionally restricted euxassay_012080_19
TS23: rib Weak Regionally restricted euxassay_012080_19
TS23: Meckel's cartilage Strong Regionally restricted euxassay_012080_19
TS23: turbinate bone primordium Moderate Regionally restricted euxassay_012080_19
TS23: orbito-sphenoid Moderate Regionally restricted euxassay_012080_19
TS23: temporal bone Moderate Regionally restricted euxassay_012080_19

Specimen euxassay_012080_20: embryonic day 14.5 (more )
Structure Level Pattern Image Note
TS23: humerus Moderate Regionally restricted euxassay_012080_20
TS23: femur Weak Regionally restricted euxassay_012080_20
TS23: rib Weak Regionally restricted euxassay_012080_20
TS23: Meckel's cartilage Moderate Regionally restricted euxassay_012080_20
TS23: turbinate bone primordium Moderate Regionally restricted euxassay_012080_20
TS23: orbito-sphenoid Moderate Regionally restricted euxassay_012080_20
TS23: temporal bone Moderate Regionally restricted euxassay_012080_20

Specimen euxassay_012080_21: embryonic day 14.5 (more )
Structure Level Pattern Image Note
TS23: humerus Moderate Regionally restricted euxassay_012080_21
TS23: rib Weak Regionally restricted euxassay_012080_21
TS23: Meckel's cartilage Moderate Regionally restricted euxassay_012080_21
TS23: temporal bone Moderate Regionally restricted euxassay_012080_21

Specimen euxassay_012080_22: embryonic day 14.5 (more )
Structure Level Pattern Image Note
TS23: humerus Weak Regionally restricted euxassay_012080_22
TS23: rib Weak Regionally restricted euxassay_012080_22

Specimen euxassay_012080_23: embryonic day 14.5 (more )
Structure Level Pattern Image Note
TS23: humerus Strong Regionally restricted euxassay_012080_23
TS23: tibia Moderate Regionally restricted euxassay_012080_23
TS23: fibula Moderate Regionally restricted euxassay_012080_23

Specimen euxassay_012080_24: embryonic day 14.5 (more )
Structure Level Pattern Image Note
TS23: humerus Moderate Regionally restricted euxassay_012080_24
TS23: fibula Moderate Regionally restricted euxassay_012080_24
TS23: tibia Moderate Regionally restricted euxassay_012080_24


Contributing Projects:
Mouse Genome Database (MGD), Gene Expression Database (GXD), Mouse Models of Human Cancer database (MMHCdb) (formerly Mouse Tumor Biology (MTB)), Gene Ontology (GO)
Citing These Resources
Funding Information
Warranty Disclaimer, Privacy Notice, Licensing, & Copyright
Send questions and comments to User Support.
last database update
12/30/2025
MGI 6.24
The Jackson Laboratory