About   Help   FAQ
Gene Expression Data
Assay Details
Assay
Reference: J:153498 Diez-Roux G, et al., A high-resolution anatomical atlas of the transcriptome in the mouse embryo. PLoS Biol. 2011;9(1):e1000582
Assay type: RNA in situ
MGI Accession ID: MGI:4827082
Gene symbol: Pcdha7
Gene name: protocadherin alpha 7
Probe: MGC clone 90581
Probe preparation: Antisense labelled with digoxigenin RNA
Visualized with: Alkaline phosphatase
Assay notes: Cryosections of fresh frozen material were fixed in 4% paraformaldehyde for 20 min. before further processing. A tyramide-biotin/streptavidin amplification step was included in the in situ hybridization procedure.
Results
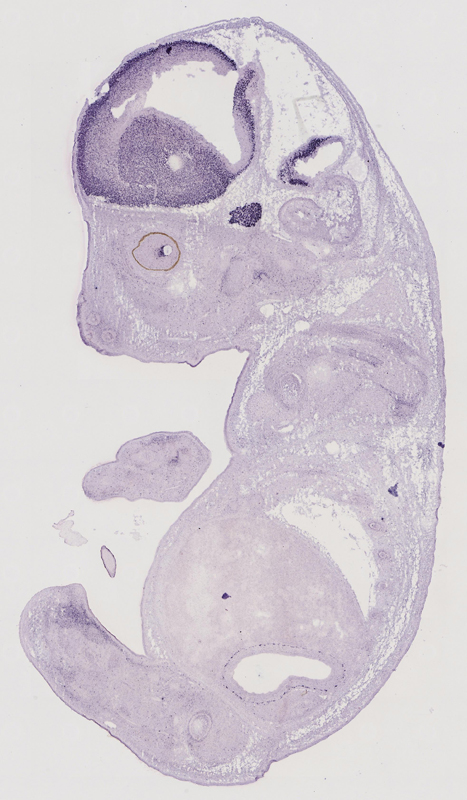
Specimen euxassay_008269_01: embryonic day 14.5 (more )
Structure Level Pattern Image Note
TS23: neural retina Strong Regionally restricted euxassay_008269_01
TS23: brain Strong Regionally restricted euxassay_008269_01
TS23: stomach Strong Spotted euxassay_008269_01
TS23: foot Moderate Regionally restricted euxassay_008269_01
TS23: hand Moderate Regionally restricted euxassay_008269_01

Specimen euxassay_008269_02: embryonic day 14.5 (more )
Structure Level Pattern Image Note
TS23: neural retina Strong Regionally restricted euxassay_008269_02
TS23: trigeminal ganglion Strong Regionally restricted euxassay_008269_02
TS23: brain Strong Regionally restricted euxassay_008269_02
TS23: stomach Strong Spotted euxassay_008269_02
TS23: foot Moderate Regionally restricted euxassay_008269_02
TS23: hand Moderate Regionally restricted euxassay_008269_02

Specimen euxassay_008269_03: embryonic day 14.5 (more )
Structure Level Pattern Image Note
TS23: trigeminal ganglion Strong Regionally restricted euxassay_008269_03
TS23: facial ganglion Strong Regionally restricted euxassay_008269_03
TS23: vestibulo-cochlear ganglion Strong Regionally restricted euxassay_008269_03
TS23: brain Strong Regionally restricted euxassay_008269_03
TS23: stomach Strong Spotted euxassay_008269_03
TS23: midgut Strong Spotted euxassay_008269_03
TS23: foot Moderate Regionally restricted euxassay_008269_03

Specimen euxassay_008269_04: embryonic day 14.5 (more )
Structure Level Pattern Image Note
TS23: trigeminal ganglion Strong Regionally restricted euxassay_008269_04
TS23: facial ganglion Strong Regionally restricted euxassay_008269_04
TS23: vestibulo-cochlear ganglion Strong Regionally restricted euxassay_008269_04
TS23: upper jaw molar Strong Regionally restricted euxassay_008269_04
TS23: lower jaw molar Strong Regionally restricted euxassay_008269_04
TS23: brain Strong Regionally restricted euxassay_008269_04
TS23: stomach Strong Spotted euxassay_008269_04
TS23: midgut Strong Spotted euxassay_008269_04
TS23: foot Moderate Regionally restricted euxassay_008269_04

Specimen euxassay_008269_05: embryonic day 14.5 (more )
Structure Level Pattern Image Note
TS23: trigeminal ganglion Strong Regionally restricted euxassay_008269_05
TS23: facial ganglion Strong Regionally restricted euxassay_008269_05
TS23: glossopharyngeal ganglion Strong Regionally restricted euxassay_008269_05
TS23: vestibulo-cochlear ganglion Strong Regionally restricted euxassay_008269_05
TS23: olfactory epithelium Strong Regionally restricted euxassay_008269_05
TS23: upper jaw molar Strong Regionally restricted euxassay_008269_05
TS23: lower jaw molar Strong Regionally restricted euxassay_008269_05
TS23: brain Strong Regionally restricted euxassay_008269_05
TS23: stomach Strong Spotted euxassay_008269_05
TS23: midgut Strong Spotted euxassay_008269_05
TS23: foot Moderate Regionally restricted euxassay_008269_05

Specimen euxassay_008269_06: embryonic day 14.5 (more )
Structure Level Pattern Image Note
TS23: vagus ganglion Strong Regionally restricted euxassay_008269_06
TS23: glossopharyngeal ganglion Strong Regionally restricted euxassay_008269_06
TS23: trigeminal ganglion Strong Regionally restricted euxassay_008269_06
TS23: vestibulo-cochlear ganglion Strong Regionally restricted euxassay_008269_06
TS23: olfactory epithelium Strong Regionally restricted euxassay_008269_06
TS23: brain Strong Regionally restricted euxassay_008269_06
TS23: stomach Strong Spotted euxassay_008269_06
TS23: midgut Strong Spotted euxassay_008269_06

Specimen euxassay_008269_07: embryonic day 14.5 (more )
Structure Level Pattern Image Note
TS23: trigeminal nerve Strong Regionally restricted euxassay_008269_07
TS23: trigeminal ganglion Strong Regionally restricted euxassay_008269_07
TS23: vestibulo-cochlear ganglion Strong Regionally restricted euxassay_008269_07
TS23: vagus ganglion Strong Regionally restricted euxassay_008269_07
TS23: olfactory epithelium Strong Regionally restricted euxassay_008269_07
TS23: brain Strong Regionally restricted euxassay_008269_07
TS23: stomach Strong Spotted euxassay_008269_07
TS23: midgut Strong Spotted euxassay_008269_07

Specimen euxassay_008269_08: embryonic day 14.5 (more )
Structure Level Pattern Image Note
TS23: olfactory epithelium Strong Regionally restricted euxassay_008269_08
TS23: dorsal root ganglion Strong Regionally restricted euxassay_008269_08
TS23: cervical ganglion Strong Regionally restricted euxassay_008269_08
TS23: brain Strong Regionally restricted euxassay_008269_08
TS23: stomach Strong Spotted euxassay_008269_08
TS23: midgut Strong Spotted euxassay_008269_08

Specimen euxassay_008269_09: embryonic day 14.5 (more )
Structure Level Pattern Image Note
TS23: olfactory epithelium Strong Regionally restricted euxassay_008269_09
TS23: dorsal root ganglion Strong Regionally restricted euxassay_008269_09
TS23: cervico-thoracic ganglion Strong Regionally restricted euxassay_008269_09
TS23: thoracic ganglion Strong Regionally restricted euxassay_008269_09
TS23: brain Strong Regionally restricted euxassay_008269_09
TS23: spinal cord Strong Regionally restricted euxassay_008269_09
TS23: midgut Strong Spotted euxassay_008269_09

Specimen euxassay_008269_10: embryonic day 14.5 (more )
Structure Level Pattern Image Note
TS23: olfactory epithelium Strong Regionally restricted euxassay_008269_10
TS23: tongue Moderate Spotted euxassay_008269_10
TS23: dorsal root ganglion Strong Regionally restricted euxassay_008269_10
TS23: cervico-thoracic ganglion Strong Regionally restricted euxassay_008269_10
TS23: thoracic ganglion Strong Regionally restricted euxassay_008269_10
TS23: brain Strong Regionally restricted euxassay_008269_10
TS23: spinal cord Strong Regionally restricted euxassay_008269_10
TS23: midgut Strong Spotted euxassay_008269_10

Specimen euxassay_008269_11: embryonic day 14.5 (more )
Structure Level Pattern Image Note
TS23: olfactory epithelium Strong Regionally restricted euxassay_008269_11
TS23: dorsal root ganglion Strong Regionally restricted euxassay_008269_11
TS23: thoracic ganglion Strong Regionally restricted euxassay_008269_11
TS23: cervico-thoracic ganglion Strong Regionally restricted euxassay_008269_11
TS23: brain Strong Regionally restricted euxassay_008269_11
TS23: spinal cord Strong Regionally restricted euxassay_008269_11
TS23: midgut Strong Spotted euxassay_008269_11

Specimen euxassay_008269_12: embryonic day 14.5 (more )
Structure Level Pattern Image Note
TS23: olfactory epithelium Strong Regionally restricted euxassay_008269_12
TS23: thoracic ganglion Strong Regionally restricted euxassay_008269_12
TS23: brain Strong Regionally restricted euxassay_008269_12
TS23: spinal cord Strong Regionally restricted euxassay_008269_12
TS23: midgut Strong Spotted euxassay_008269_12

Specimen euxassay_008269_13: embryonic day 14.5 (more )
Structure Level Pattern Image Note
TS23: olfactory epithelium Strong Regionally restricted euxassay_008269_13
TS23: tongue Strong Spotted euxassay_008269_13
TS23: dorsal root ganglion Strong Regionally restricted euxassay_008269_13
TS23: thoracic ganglion Strong Regionally restricted euxassay_008269_13
TS23: brain Strong Regionally restricted euxassay_008269_13
TS23: spinal cord Strong Regionally restricted euxassay_008269_13
TS23: midgut Strong Spotted euxassay_008269_13

Specimen euxassay_008269_14: embryonic day 14.5 (more )
Structure Level Pattern Image Note
TS23: trigeminal nerve Strong Regionally restricted euxassay_008269_14
TS23: olfactory epithelium Strong Regionally restricted euxassay_008269_14
TS23: dorsal root ganglion Strong Regionally restricted euxassay_008269_14
TS23: thoracic ganglion Strong Regionally restricted euxassay_008269_14
TS23: brain Strong Regionally restricted euxassay_008269_14
TS23: spinal cord Strong Regionally restricted euxassay_008269_14
TS23: midgut Strong Spotted euxassay_008269_14

Specimen euxassay_008269_15: embryonic day 14.5 (more )
Structure Level Pattern Image Note
TS23: trigeminal ganglion Strong Regionally restricted euxassay_008269_15
TS23: trigeminal nerve Strong Regionally restricted euxassay_008269_15
TS23: olfactory epithelium Strong Regionally restricted euxassay_008269_15
TS23: dorsal root ganglion Strong Regionally restricted euxassay_008269_15
TS23: thoracic ganglion Strong Regionally restricted euxassay_008269_15
TS23: cervico-thoracic ganglion Strong Regionally restricted euxassay_008269_15
TS23: brain Strong Regionally restricted euxassay_008269_15
TS23: spinal cord Strong Regionally restricted euxassay_008269_15
TS23: midgut Strong Spotted euxassay_008269_15

Specimen euxassay_008269_16: embryonic day 14.5 (more )
Structure Level Pattern Image Note
TS23: vestibulo-cochlear ganglion Strong Regionally restricted euxassay_008269_16
TS23: trigeminal ganglion Strong Regionally restricted euxassay_008269_16
TS23: olfactory epithelium Strong Regionally restricted euxassay_008269_16
TS23: upper jaw molar Strong Regionally restricted euxassay_008269_16
TS23: dorsal root ganglion Strong Regionally restricted euxassay_008269_16
TS23: cervico-thoracic ganglion Strong Regionally restricted euxassay_008269_16
TS23: cervical ganglion Strong Regionally restricted euxassay_008269_16
TS23: brain Strong Regionally restricted euxassay_008269_16
TS23: spinal cord Strong Regionally restricted euxassay_008269_16
TS23: midgut Strong Spotted euxassay_008269_16

Specimen euxassay_008269_17: embryonic day 14.5 (more )
Structure Level Pattern Image Note
TS23: vagus ganglion Strong Regionally restricted euxassay_008269_17
TS23: trigeminal ganglion Strong Regionally restricted euxassay_008269_17
TS23: vestibulo-cochlear ganglion Strong Regionally restricted euxassay_008269_17
TS23: lower jaw molar Strong Regionally restricted euxassay_008269_17
TS23: upper jaw molar Strong Regionally restricted euxassay_008269_17
TS23: dorsal root ganglion Strong Regionally restricted euxassay_008269_17
TS23: cervical ganglion Strong Regionally restricted euxassay_008269_17
TS23: brain Strong Regionally restricted euxassay_008269_17
TS23: spinal cord Strong Regionally restricted euxassay_008269_17
TS23: midgut Strong Spotted euxassay_008269_17

Specimen euxassay_008269_18: embryonic day 14.5 (more )
Structure Level Pattern Image Note
TS23: trigeminal ganglion Strong Regionally restricted euxassay_008269_18
TS23: facial ganglion Strong Regionally restricted euxassay_008269_18
TS23: vestibulo-cochlear ganglion Strong Regionally restricted euxassay_008269_18
TS23: glossopharyngeal ganglion Strong Regionally restricted euxassay_008269_18
TS23: lower jaw molar Strong Regionally restricted euxassay_008269_18
TS23: upper jaw molar Strong Regionally restricted euxassay_008269_18
TS23: dorsal root ganglion Strong Regionally restricted euxassay_008269_18
TS23: brain Strong Regionally restricted euxassay_008269_18
TS23: midgut Strong Spotted euxassay_008269_18

Specimen euxassay_008269_19: embryonic day 14.5 (more )
Structure Level Pattern Image Note
TS23: trigeminal ganglion Strong Regionally restricted euxassay_008269_19
TS23: facial ganglion Strong Regionally restricted euxassay_008269_19
TS23: vestibulo-cochlear ganglion Strong Regionally restricted euxassay_008269_19
TS23: brain Strong Regionally restricted euxassay_008269_19
TS23: foot Moderate Regionally restricted euxassay_008269_19

Specimen euxassay_008269_20: embryonic day 14.5 (more )
Structure Level Pattern Image Note
TS23: neural retina Strong Regionally restricted euxassay_008269_20
TS23: trigeminal ganglion Strong Regionally restricted euxassay_008269_20
TS23: facial ganglion Strong Regionally restricted euxassay_008269_20
TS23: brain Strong Regionally restricted euxassay_008269_20
TS23: foot Moderate Regionally restricted euxassay_008269_20

Specimen euxassay_008269_21: embryonic day 14.5 (more )
Structure Level Pattern Image Note
TS23: neural retina Strong Regionally restricted euxassay_008269_21
TS23: brain Strong Regionally restricted euxassay_008269_21
TS23: foot Moderate Regionally restricted euxassay_008269_21

Specimen euxassay_008269_22: embryonic day 14.5 (more )
Structure Level Pattern Image Note
TS23: neural retina Strong Regionally restricted euxassay_008269_22
TS23: brain Strong Regionally restricted euxassay_008269_22
TS23: foot Moderate Regionally restricted euxassay_008269_22

Specimen euxassay_008269_23: embryonic day 14.5 (more )
Structure Level Pattern Image Note
TS23: neural retina Strong Regionally restricted euxassay_008269_23
TS23: foot Moderate Regionally restricted euxassay_008269_23


Contributing Projects:
Mouse Genome Database (MGD), Gene Expression Database (GXD), Mouse Models of Human Cancer database (MMHCdb) (formerly Mouse Tumor Biology (MTB)), Gene Ontology (GO)
Citing These Resources
Funding Information
Warranty Disclaimer, Privacy Notice, Licensing, & Copyright
Send questions and comments to User Support.
last database update
12/30/2025
MGI 6.24
The Jackson Laboratory