About   Help   FAQ
Gene Expression Data
Assay Details
Assay
Reference: J:153498 Diez-Roux G, et al., A high-resolution anatomical atlas of the transcriptome in the mouse embryo. PLoS Biol. 2011;9(1):e1000582
Assay type: RNA in situ
MGI Accession ID: MGI:4827078
Gene symbol: Pcdh11x
Gene name: protocadherin 11 X-linked
Probe: T39608
Probe preparation: Antisense labelled with digoxigenin RNA
Visualized with: Alkaline phosphatase
Assay notes: Cryosections of fresh frozen material were fixed in 4% paraformaldehyde for 20 min. before further processing. A tyramide-biotin/streptavidin amplification step was included in the in situ hybridization procedure.
Results
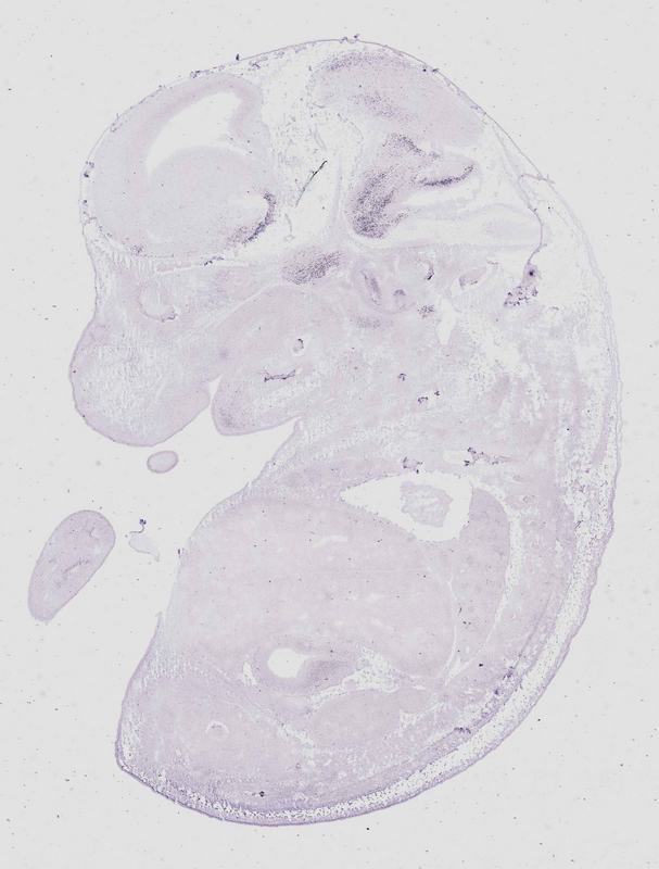
Specimen euxassay_014007_01: embryonic day 14.5 (more )
Structure Level Pattern Image Note
TS23: telencephalon mantle layer Strong Regionally restricted euxassay_014007_01
TS23: extrinsic ocular muscle Moderate Regionally restricted euxassay_014007_01

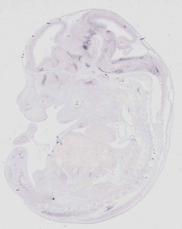
Specimen euxassay_014007_02: embryonic day 14.5 (more )
Structure Level Pattern Image Note
TS23: telencephalon mantle layer Strong Regionally restricted euxassay_014007_02
TS23: hindlimb digit 3 metatarsal Moderate Regionally restricted euxassay_014007_02
TS23: hindlimb digit 4 metatarsal Moderate Regionally restricted euxassay_014007_02
TS23: hindlimb digit 2 metatarsal Moderate Regionally restricted euxassay_014007_02

Specimen euxassay_014007_03: embryonic day 14.5 (more )
Structure Level Pattern Image Note
TS23: telencephalon mantle layer Strong Regionally restricted euxassay_014007_03
TS23: hindlimb digit 5 metatarsal Moderate Regionally restricted euxassay_014007_03
TS23: hindlimb digit 4 metatarsal Moderate Regionally restricted euxassay_014007_03

Specimen euxassay_014007_04: embryonic day 14.5 (more )
Structure Level Pattern Image Note
TS23: telencephalon mantle layer Strong Regionally restricted euxassay_014007_04
TS23: rest of cerebellum mantle layer Strong Regionally restricted euxassay_014007_04
TS23: trigeminal ganglion Moderate Single cells euxassay_014007_04
TS23: hindlimb digit 2 metatarsal Moderate Regionally restricted euxassay_014007_04
TS23: hindlimb digit 3 metatarsal Moderate Regionally restricted euxassay_014007_04
TS23: vibrissa Moderate Regionally restricted euxassay_014007_04

Specimen euxassay_014007_05: embryonic day 14.5 (more )
Structure Level Pattern Image Note
TS23: telencephalon mantle layer Moderate Regionally restricted euxassay_014007_05
TS23: rest of cerebellum mantle layer Strong Regionally restricted euxassay_014007_05
TS23: trigeminal ganglion Moderate Single cells euxassay_014007_05
TS23: vibrissa Moderate Regionally restricted euxassay_014007_05
TS23: extrinsic ocular muscle Moderate Regionally restricted euxassay_014007_05

Specimen euxassay_014007_06: embryonic day 14.5 (more )
Structure Level Pattern Image Note
TS23: telencephalon mantle layer Moderate Regionally restricted euxassay_014007_06
TS23: rest of cerebellum mantle layer Strong Regionally restricted euxassay_014007_06
TS23: pons mantle layer Strong Regionally restricted euxassay_014007_06
TS23: trigeminal ganglion Moderate Single cells euxassay_014007_06
TS23: vestibulo-cochlear ganglion Moderate Single cells euxassay_014007_06
TS23: extrinsic ocular muscle Moderate Regionally restricted euxassay_014007_06

Specimen euxassay_014007_07: embryonic day 14.5 (more )
Structure Level Pattern Image Note
TS23: telencephalon mantle layer Moderate Regionally restricted euxassay_014007_07
TS23: rest of cerebellum mantle layer Strong Regionally restricted euxassay_014007_07
TS23: pons mantle layer Strong Regionally restricted euxassay_014007_07
TS23: midbrain mantle layer Strong Regionally restricted euxassay_014007_07
TS23: trigeminal ganglion Moderate Single cells euxassay_014007_07
TS23: vestibulo-cochlear ganglion Moderate Single cells euxassay_014007_07
TS23: vagus ganglion Moderate Single cells euxassay_014007_07

Specimen euxassay_014007_08: embryonic day 14.5 (more )
Structure Level Pattern Image Note
TS23: telencephalon mantle layer Moderate Regionally restricted euxassay_014007_08
TS23: midbrain mantle layer Moderate Regionally restricted euxassay_014007_08
TS23: pons mantle layer Moderate Regionally restricted euxassay_014007_08
TS23: rest of cerebellum mantle layer Moderate Regionally restricted euxassay_014007_08
TS23: medulla oblongata basal plate mantle layer Strong Regionally restricted euxassay_014007_08
TS23: hypothalamus mantle layer Strong Regionally restricted euxassay_014007_08
TS23: diencephalon lateral wall mantle layer Strong Regionally restricted euxassay_014007_08
TS23: olfactory epithelium Moderate Regionally restricted euxassay_014007_08
TS23: trigeminal ganglion Moderate Single cells euxassay_014007_08
TS23: vagus ganglion Moderate Single cells euxassay_014007_08

Specimen euxassay_014007_09: embryonic day 14.5 (more )
Structure Level Pattern Image Note
TS23: telencephalon mantle layer Moderate Regionally restricted euxassay_014007_09
TS23: midbrain mantle layer Moderate Regionally restricted euxassay_014007_09
TS23: pons mantle layer Moderate Regionally restricted euxassay_014007_09
TS23: ventral grey horn Strong Regionally restricted euxassay_014007_09
TS23: medulla oblongata basal plate mantle layer Strong Regionally restricted euxassay_014007_09
TS23: hypothalamus mantle layer Strong Regionally restricted euxassay_014007_09
TS23: diencephalon lateral wall mantle layer Strong Regionally restricted euxassay_014007_09
TS23: olfactory epithelium Moderate Regionally restricted euxassay_014007_09

Specimen euxassay_014007_10: embryonic day 14.5 (more )
Structure Level Pattern Image Note
TS23: telencephalon mantle layer Strong Regionally restricted euxassay_014007_10
TS23: midbrain mantle layer Moderate Regionally restricted euxassay_014007_10
TS23: pons mantle layer Moderate Regionally restricted euxassay_014007_10
TS23: ventral grey horn Strong Regionally restricted euxassay_014007_10
TS23: medulla oblongata basal plate mantle layer Strong Regionally restricted euxassay_014007_10
TS23: diencephalon lateral wall mantle layer Strong Regionally restricted euxassay_014007_10
TS23: hypothalamus mantle layer Strong Regionally restricted euxassay_014007_10
TS23: olfactory epithelium Moderate Regionally restricted euxassay_014007_10
TS23: bladder Moderate Single cells euxassay_014007_10

Specimen euxassay_014007_11: embryonic day 14.5 (more )
Structure Level Pattern Image Note
TS23: telencephalon mantle layer Strong Regionally restricted euxassay_014007_11
TS23: midbrain mantle layer Strong Regionally restricted euxassay_014007_11
TS23: pons mantle layer Moderate Regionally restricted euxassay_014007_11
TS23: ventral grey horn Strong Regionally restricted euxassay_014007_11
TS23: medulla oblongata basal plate mantle layer Strong Regionally restricted euxassay_014007_11
TS23: diencephalon lateral wall mantle layer Strong Regionally restricted euxassay_014007_11
TS23: olfactory epithelium Moderate Regionally restricted euxassay_014007_11
TS23: bladder Moderate Single cells euxassay_014007_11

Specimen euxassay_014007_12: embryonic day 14.5 (more )
Structure Level Pattern Image Note
TS23: telencephalon mantle layer Strong Regionally restricted euxassay_014007_12
TS23: midbrain mantle layer Moderate Regionally restricted euxassay_014007_12
TS23: pons mantle layer Moderate Regionally restricted euxassay_014007_12
TS23: ventral grey horn Strong Regionally restricted euxassay_014007_12
TS23: diencephalon lateral wall mantle layer Strong Regionally restricted euxassay_014007_12
TS23: bladder Moderate Single cells euxassay_014007_12

Specimen euxassay_014007_13: embryonic day 14.5 (more )
Structure Level Pattern Image Note
TS23: telencephalon mantle layer Strong Regionally restricted euxassay_014007_13
TS23: midbrain mantle layer Moderate Regionally restricted euxassay_014007_13
TS23: pons mantle layer Moderate Regionally restricted euxassay_014007_13
TS23: ventral grey horn Strong Regionally restricted euxassay_014007_13
TS23: medulla oblongata basal plate mantle layer Strong Regionally restricted euxassay_014007_13
TS23: diencephalon lateral wall mantle layer Strong Regionally restricted euxassay_014007_13
TS23: bladder Moderate Single cells euxassay_014007_13

Specimen euxassay_014007_14: embryonic day 14.5 (more )
Structure Level Pattern Image Note
TS23: telencephalon mantle layer Moderate Regionally restricted euxassay_014007_14
TS23: midbrain mantle layer Moderate Regionally restricted euxassay_014007_14
TS23: pons mantle layer Moderate Regionally restricted euxassay_014007_14
TS23: ventral grey horn Strong Regionally restricted euxassay_014007_14
TS23: medulla oblongata basal plate mantle layer Strong Regionally restricted euxassay_014007_14
TS23: diencephalon lateral wall mantle layer Strong Regionally restricted euxassay_014007_14
TS23: hypothalamus mantle layer Strong Regionally restricted euxassay_014007_14
TS23: olfactory epithelium Moderate Regionally restricted euxassay_014007_14

Specimen euxassay_014007_15: embryonic day 14.5 (more )
Structure Level Pattern Image Note
TS23: telencephalon mantle layer Moderate Regionally restricted euxassay_014007_15
TS23: midbrain mantle layer Moderate Regionally restricted euxassay_014007_15
TS23: pons mantle layer Moderate Regionally restricted euxassay_014007_15
TS23: rest of cerebellum mantle layer Moderate Regionally restricted euxassay_014007_15
TS23: medulla oblongata basal plate mantle layer Strong Regionally restricted euxassay_014007_15
TS23: ventral grey horn Strong Regionally restricted euxassay_014007_15
TS23: diencephalon lateral wall mantle layer Strong Regionally restricted euxassay_014007_15
TS23: hypothalamus mantle layer Strong Regionally restricted euxassay_014007_15
TS23: olfactory epithelium Moderate Regionally restricted euxassay_014007_15

Specimen euxassay_014007_16: embryonic day 14.5 (more )
Structure Level Pattern Image Note
TS23: telencephalon mantle layer Strong Regionally restricted euxassay_014007_16
TS23: rest of cerebellum mantle layer Moderate Regionally restricted euxassay_014007_16
TS23: pons mantle layer Moderate Regionally restricted euxassay_014007_16
TS23: midbrain mantle layer Moderate Regionally restricted euxassay_014007_16
TS23: medulla oblongata basal plate mantle layer Strong Regionally restricted euxassay_014007_16
TS23: diencephalon lateral wall mantle layer Strong Regionally restricted euxassay_014007_16
TS23: hypothalamus mantle layer Strong Regionally restricted euxassay_014007_16
TS23: olfactory epithelium Moderate Regionally restricted euxassay_014007_16

Specimen euxassay_014007_17: embryonic day 14.5 (more )
Structure Level Pattern Image Note
TS23: telencephalon mantle layer Strong Regionally restricted euxassay_014007_17
TS23: midbrain mantle layer Strong Regionally restricted euxassay_014007_17
TS23: pons mantle layer Strong Regionally restricted euxassay_014007_17
TS23: rest of cerebellum mantle layer Strong Regionally restricted euxassay_014007_17
TS23: medulla oblongata basal plate mantle layer Strong Regionally restricted euxassay_014007_17
TS23: diencephalon lateral wall mantle layer Strong Regionally restricted euxassay_014007_17
TS23: olfactory epithelium Moderate Regionally restricted euxassay_014007_17
TS23: trigeminal ganglion Moderate Single cells euxassay_014007_17
TS23: vagus ganglion Moderate Single cells euxassay_014007_17
TS23: vestibulo-cochlear ganglion Moderate Single cells euxassay_014007_17

Specimen euxassay_014007_18: embryonic day 14.5 (more )
Structure Level Pattern Image Note
TS23: telencephalon mantle layer Strong Regionally restricted euxassay_014007_18
TS23: midbrain mantle layer Strong Regionally restricted euxassay_014007_18
TS23: pons mantle layer Strong Regionally restricted euxassay_014007_18
TS23: rest of cerebellum mantle layer Strong Regionally restricted euxassay_014007_18
TS23: medulla oblongata basal plate mantle layer Strong Regionally restricted euxassay_014007_18
TS23: trigeminal ganglion Moderate Single cells euxassay_014007_18
TS23: vestibulo-cochlear ganglion Moderate Single cells euxassay_014007_18

Specimen euxassay_014007_19: embryonic day 14.5 (more )
Structure Level Pattern Image Note
TS23: telencephalon mantle layer Strong Regionally restricted euxassay_014007_19
TS23: rest of cerebellum mantle layer Strong Regionally restricted euxassay_014007_19
TS23: trigeminal ganglion Moderate Single cells euxassay_014007_19
TS23: vestibulo-cochlear ganglion Moderate Single cells euxassay_014007_19
TS23: hindlimb digit 2 metatarsal Moderate Regionally restricted euxassay_014007_19
TS23: hindlimb digit 3 metatarsal Moderate Regionally restricted euxassay_014007_19
TS23: hindlimb digit 4 metatarsal Moderate Regionally restricted euxassay_014007_19

Specimen euxassay_014007_20: embryonic day 14.5 (more )
Structure Level Pattern Image Note
TS23: telencephalon mantle layer Strong Regionally restricted euxassay_014007_20
TS23: rest of cerebellum mantle layer Strong Regionally restricted euxassay_014007_20
TS23: trigeminal ganglion Moderate Single cells euxassay_014007_20
TS23: hindlimb digit 2 phalanx Moderate Regionally restricted euxassay_014007_20
TS23: hindlimb digit 3 phalanx Moderate Regionally restricted euxassay_014007_20
TS23: hindlimb digit 4 phalanx Moderate Regionally restricted euxassay_014007_20
TS23: hindlimb digit 5 phalanx Moderate Regionally restricted euxassay_014007_20
TS23: vibrissa Moderate Regionally restricted euxassay_014007_20
TS23: extrinsic ocular muscle Moderate Regionally restricted euxassay_014007_20

Specimen euxassay_014007_21: embryonic day 14.5 (more )
Structure Level Pattern Image Note
TS23: telencephalon mantle layer Strong Regionally restricted euxassay_014007_21
TS23: hindlimb digit 1 phalanx Moderate Regionally restricted euxassay_014007_21
TS23: hindlimb digit 2 phalanx Moderate Regionally restricted euxassay_014007_21
TS23: hindlimb digit 3 phalanx Moderate Regionally restricted euxassay_014007_21
TS23: hindlimb digit 4 phalanx Moderate Regionally restricted euxassay_014007_21
TS23: vibrissa Moderate Regionally restricted euxassay_014007_21
TS23: extrinsic ocular muscle Weak Regionally restricted euxassay_014007_21

Specimen euxassay_014007_22: embryonic day 14.5 (more )
Structure Level Pattern Image Note
TS23: telencephalon mantle layer Strong Regionally restricted euxassay_014007_22
TS23: vibrissa Weak Regionally restricted euxassay_014007_22
TS23: extrinsic ocular muscle Weak Regionally restricted euxassay_014007_22

Specimen euxassay_014007_23: embryonic day 14.5 (more )
Structure Level Pattern Image Note
TS23: telencephalon mantle layer Strong Regionally restricted euxassay_014007_23
TS23: extrinsic ocular muscle Moderate Regionally restricted euxassay_014007_23


Contributing Projects:
Mouse Genome Database (MGD), Gene Expression Database (GXD), Mouse Models of Human Cancer database (MMHCdb) (formerly Mouse Tumor Biology (MTB)), Gene Ontology (GO)
Citing These Resources
Funding Information
Warranty Disclaimer, Privacy Notice, Licensing, & Copyright
Send questions and comments to User Support.
last database update
12/30/2025
MGI 6.24
The Jackson Laboratory