About   Help   FAQ
Gene Expression Data
Assay Details
Assay
Reference: J:153498 Diez-Roux G, et al., A high-resolution anatomical atlas of the transcriptome in the mouse embryo. PLoS Biol. 2011;9(1):e1000582
Assay type: RNA in situ
MGI Accession ID: MGI:4827044
Gene symbol: Papss2
Gene name: 3'-phosphoadenosine 5'-phosphosulfate synthase 2
Probe: IMAGE clone 30121331
Probe preparation: Antisense labelled with digoxigenin RNA
Visualized with: Alkaline phosphatase
Assay notes: Cryosections of fresh frozen material were fixed in 4% paraformaldehyde for 20 min. before further processing. A tyramide-biotin/streptavidin amplification step was included in the in situ hybridization procedure.
Results
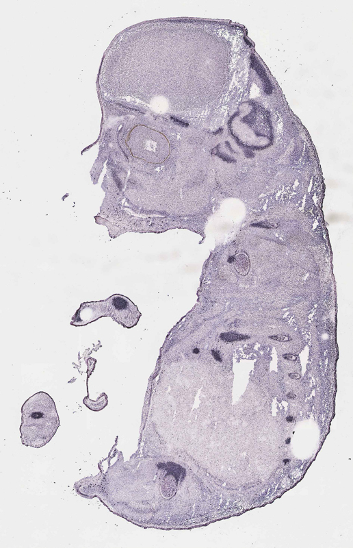
Specimen euxassay_005940_01: embryonic day 14.5 (more )
Structure Level Pattern Image Note
TS23: temporal bone petrous part Strong Regionally restricted euxassay_005940_01
TS23: exoccipital bone Strong Regionally restricted euxassay_005940_01
TS23: vault of skull Strong Regionally restricted euxassay_005940_01
TS23: basioccipital bone Strong Regionally restricted euxassay_005940_01
TS23: orbito-sphenoid Strong Regionally restricted euxassay_005940_01
TS23: rib Strong Regionally restricted euxassay_005940_01
TS23: fibula Strong Regionally restricted euxassay_005940_01
TS23: tibia Strong Regionally restricted euxassay_005940_01
TS23: forelimb digit 1 Strong Regionally restricted euxassay_005940_01
TS23: forelimb digit 2 Strong Regionally restricted euxassay_005940_01
TS23: forelimb digit 3 Strong Regionally restricted euxassay_005940_01
TS23: forelimb digit 4 Strong Regionally restricted euxassay_005940_01
TS23: forelimb digit 5 Strong Regionally restricted euxassay_005940_01

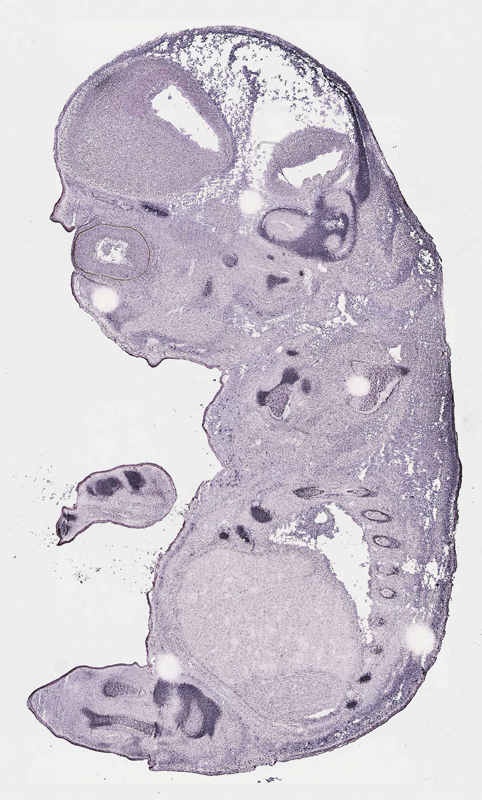
Specimen euxassay_005940_02: embryonic day 14.5 (more )
Structure Level Pattern Image Note
TS23: temporal bone petrous part Strong Regionally restricted euxassay_005940_02
TS23: exoccipital bone Strong Regionally restricted euxassay_005940_02
TS23: vault of skull Strong Regionally restricted euxassay_005940_02
TS23: orbito-sphenoid Strong Regionally restricted euxassay_005940_02
TS23: basioccipital bone Strong Regionally restricted euxassay_005940_02
TS23: rib Strong Regionally restricted euxassay_005940_02
TS23: fibula Strong Regionally restricted euxassay_005940_02
TS23: tibia Strong Regionally restricted euxassay_005940_02
TS23: forelimb digit 1 Strong Regionally restricted euxassay_005940_02
TS23: forelimb digit 2 Strong Regionally restricted euxassay_005940_02
TS23: forelimb digit 3 Strong Regionally restricted euxassay_005940_02
TS23: forelimb digit 4 Strong Regionally restricted euxassay_005940_02
TS23: forelimb digit 5 Strong Regionally restricted euxassay_005940_02

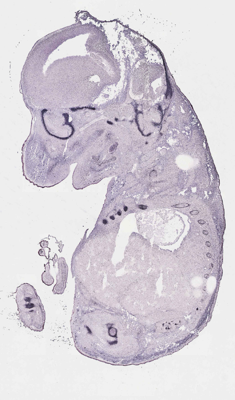
Specimen euxassay_005940_03: embryonic day 14.5 (more )
Structure Level Pattern Image Note
TS23: temporal bone petrous part Strong Regionally restricted euxassay_005940_03
TS23: exoccipital bone Strong Regionally restricted euxassay_005940_03
TS23: basioccipital bone Strong Regionally restricted euxassay_005940_03
TS23: orbito-sphenoid Strong Regionally restricted euxassay_005940_03
TS23: rib Strong Regionally restricted euxassay_005940_03
TS23: fibula Strong Regionally restricted euxassay_005940_03
TS23: tibia Strong Regionally restricted euxassay_005940_03
TS23: forelimb digit 1 Strong Regionally restricted euxassay_005940_03
TS23: forelimb digit 2 Strong Regionally restricted euxassay_005940_03
TS23: forelimb digit 3 Strong Regionally restricted euxassay_005940_03
TS23: forelimb digit 4 Strong Regionally restricted euxassay_005940_03
TS23: forelimb digit 5 Strong Regionally restricted euxassay_005940_03

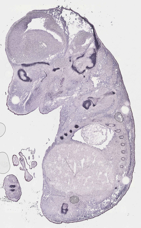
Specimen euxassay_005940_04: embryonic day 14.5 (more )
Structure Level Pattern Image Note
TS23: temporal bone petrous part Strong Regionally restricted euxassay_005940_04
TS23: exoccipital bone Strong Regionally restricted euxassay_005940_04
TS23: orbito-sphenoid Strong Regionally restricted euxassay_005940_04
TS23: basioccipital bone Strong Regionally restricted euxassay_005940_04
TS23: rib Strong Regionally restricted euxassay_005940_04
TS23: fibula Strong Regionally restricted euxassay_005940_04
TS23: tibia Strong Regionally restricted euxassay_005940_04
TS23: femur Strong Regionally restricted euxassay_005940_04
TS23: forelimb digit 1 Strong Regionally restricted euxassay_005940_04
TS23: forelimb digit 2 Strong Regionally restricted euxassay_005940_04
TS23: forelimb digit 3 Strong Regionally restricted euxassay_005940_04
TS23: forelimb digit 4 Strong Regionally restricted euxassay_005940_04
TS23: forelimb digit 5 Strong Regionally restricted euxassay_005940_04
TS23: humerus Strong Regionally restricted euxassay_005940_04

Specimen euxassay_005940_05: embryonic day 14.5 (more )
Structure Level Pattern Image Note
TS23: temporal bone petrous part Strong Regionally restricted euxassay_005940_05
TS23: exoccipital bone Strong Regionally restricted euxassay_005940_05
TS23: orbito-sphenoid Strong Regionally restricted euxassay_005940_05
TS23: rib Strong Regionally restricted euxassay_005940_05
TS23: foot Strong Regionally restricted euxassay_005940_05
TS23: forelimb digit 2 Strong Regionally restricted euxassay_005940_05
TS23: forelimb digit 3 Strong Regionally restricted euxassay_005940_05
TS23: forelimb digit 1 Strong Regionally restricted euxassay_005940_05
TS23: forelimb digit 4 Strong Regionally restricted euxassay_005940_05
TS23: forelimb digit 5 Strong Regionally restricted euxassay_005940_05
TS23: humerus Strong Regionally restricted euxassay_005940_05

Specimen euxassay_005940_06: embryonic day 14.5 (more )
Structure Level Pattern Image Note
TS23: temporal bone petrous part Strong Regionally restricted euxassay_005940_06
TS23: exoccipital bone Strong Regionally restricted euxassay_005940_06
TS23: orbito-sphenoid Strong Regionally restricted euxassay_005940_06
TS23: rib Strong Regionally restricted euxassay_005940_06
TS23: hindlimb digit 1 Strong Regionally restricted euxassay_005940_06
TS23: hindlimb digit 2 Strong Regionally restricted euxassay_005940_06
TS23: hindlimb digit 3 Strong Regionally restricted euxassay_005940_06
TS23: hindlimb digit 4 Strong Regionally restricted euxassay_005940_06
TS23: hindlimb digit 5 Strong Regionally restricted euxassay_005940_06

Specimen euxassay_005940_07: embryonic day 14.5 (more )
Structure Level Pattern Image Note
TS23: temporal bone petrous part Strong Regionally restricted euxassay_005940_07
TS23: exoccipital bone Strong Regionally restricted euxassay_005940_07
TS23: orbito-sphenoid Strong Regionally restricted euxassay_005940_07
TS23: rib Strong Regionally restricted euxassay_005940_07
TS23: turbinate bone primordium Strong Regionally restricted euxassay_005940_07
TS23: hindlimb digit 1 Strong Regionally restricted euxassay_005940_07
TS23: hindlimb digit 2 Strong Regionally restricted euxassay_005940_07
TS23: hindlimb digit 3 Strong Regionally restricted euxassay_005940_07
TS23: hindlimb digit 4 Strong Regionally restricted euxassay_005940_07
TS23: hindlimb digit 5 Strong Regionally restricted euxassay_005940_07
TS23: femur Strong Regionally restricted euxassay_005940_07

Specimen euxassay_005940_08: embryonic day 14.5 (more )
Structure Level Pattern Image Note
TS23: temporal bone petrous part Strong Regionally restricted euxassay_005940_08
TS23: exoccipital bone Strong Regionally restricted euxassay_005940_08
TS23: orbito-sphenoid Strong Regionally restricted euxassay_005940_08
TS23: rib Strong Regionally restricted euxassay_005940_08
TS23: turbinate bone primordium Strong Regionally restricted euxassay_005940_08
TS23: femur Strong Regionally restricted euxassay_005940_08
TS23: hindlimb digit 1 Strong Regionally restricted euxassay_005940_08
TS23: hindlimb digit 2 Strong Regionally restricted euxassay_005940_08
TS23: hindlimb digit 3 Strong Regionally restricted euxassay_005940_08
TS23: hindlimb digit 4 Strong Regionally restricted euxassay_005940_08
TS23: hindlimb digit 5 Strong Regionally restricted euxassay_005940_08

Specimen euxassay_005940_09: embryonic day 14.5 (more )
Structure Level Pattern Image Note
TS23: temporal bone petrous part Strong Regionally restricted euxassay_005940_09
TS23: orbito-sphenoid Strong Regionally restricted euxassay_005940_09
TS23: rib Strong Regionally restricted euxassay_005940_09
TS23: turbinate bone primordium Strong Regionally restricted euxassay_005940_09
TS23: axial skeleton Strong Regionally restricted euxassay_005940_09
TS23: Meckel's cartilage Strong Regionally restricted euxassay_005940_09
TS23: clavicle Strong Regionally restricted euxassay_005940_09
TS23: hyoid Strong Regionally restricted euxassay_005940_09
TS23: hindlimb digit 1 Strong Regionally restricted euxassay_005940_09
TS23: hindlimb digit 2 Strong Regionally restricted euxassay_005940_09
TS23: hindlimb digit 3 Strong Regionally restricted euxassay_005940_09
TS23: hindlimb digit 4 Strong Regionally restricted euxassay_005940_09
TS23: hindlimb digit 5 Strong Regionally restricted euxassay_005940_09
TS23: femur Strong Regionally restricted euxassay_005940_09

Specimen euxassay_005940_10: embryonic day 14.5 (more )
Structure Level Pattern Image Note
TS23: exoccipital bone Strong Regionally restricted euxassay_005940_10
TS23: basisphenoid bone Strong Regionally restricted euxassay_005940_10
TS23: rib Strong Regionally restricted euxassay_005940_10
TS23: turbinate bone primordium Strong Regionally restricted euxassay_005940_10
TS23: Meckel's cartilage Strong Regionally restricted euxassay_005940_10
TS23: axial skeleton tail region Strong Regionally restricted euxassay_005940_10
TS23: axial skeleton Strong Regionally restricted euxassay_005940_10
TS23: hyoid Strong Regionally restricted euxassay_005940_10
TS23: pelvic girdle skeleton Strong Regionally restricted euxassay_005940_10

Specimen euxassay_005940_11: embryonic day 14.5 (more )
Structure Level Pattern Image Note
TS23: exoccipital bone Strong Regionally restricted euxassay_005940_11
TS23: basisphenoid bone Strong Regionally restricted euxassay_005940_11
TS23: rib Strong Regionally restricted euxassay_005940_11
TS23: turbinate bone primordium Strong Regionally restricted euxassay_005940_11
TS23: Meckel's cartilage Strong Regionally restricted euxassay_005940_11
TS23: axial skeleton tail region Strong Regionally restricted euxassay_005940_11
TS23: axial skeleton Strong Regionally restricted euxassay_005940_11
TS23: heart valve Strong Regionally restricted euxassay_005940_11
TS23: hyoid Strong Regionally restricted euxassay_005940_11
TS23: pelvic girdle skeleton Strong Regionally restricted euxassay_005940_11

Specimen euxassay_005940_12: embryonic day 14.5 (more )
Structure Level Pattern Image Note
TS23: basisphenoid bone Strong Regionally restricted euxassay_005940_12
TS23: exoccipital bone Strong Regionally restricted euxassay_005940_12
TS23: rib Strong Regionally restricted euxassay_005940_12
TS23: naris Strong Regionally restricted euxassay_005940_12
TS23: nasal septum Moderate Regionally restricted euxassay_005940_12
TS23: Meckel's cartilage Strong Regionally restricted euxassay_005940_12
TS23: axial skeleton tail region Strong Regionally restricted euxassay_005940_12
TS23: axial skeleton Strong Regionally restricted euxassay_005940_12
TS23: heart valve Strong Regionally restricted euxassay_005940_12
TS23: hyoid Strong Regionally restricted euxassay_005940_12

Specimen euxassay_005940_13: embryonic day 14.5 (more )
Structure Level Pattern Image Note
TS23: basisphenoid bone Strong Regionally restricted euxassay_005940_13
TS23: exoccipital bone Strong Regionally restricted euxassay_005940_13
TS23: naris Strong Regionally restricted euxassay_005940_13
TS23: Meckel's cartilage Strong Regionally restricted euxassay_005940_13
TS23: axial skeleton tail region Strong Regionally restricted euxassay_005940_13
TS23: axial skeleton Strong Regionally restricted euxassay_005940_13
TS23: heart valve Strong Regionally restricted euxassay_005940_13
TS23: hyoid Strong Regionally restricted euxassay_005940_13

Specimen euxassay_005940_14: embryonic day 14.5 (more )
Structure Level Pattern Image Note
TS23: basisphenoid bone Strong Regionally restricted euxassay_005940_14
TS23: exoccipital bone Strong Regionally restricted euxassay_005940_14
TS23: nasal septum Moderate Regionally restricted euxassay_005940_14
TS23: naris Strong Regionally restricted euxassay_005940_14
TS23: Meckel's cartilage Strong Regionally restricted euxassay_005940_14
TS23: axial skeleton tail region Strong Regionally restricted euxassay_005940_14
TS23: axial skeleton Strong Regionally restricted euxassay_005940_14
TS23: heart valve Strong Regionally restricted euxassay_005940_14
TS23: hyoid Strong Regionally restricted euxassay_005940_14

Specimen euxassay_005940_15: embryonic day 14.5 (more )
Structure Level Pattern Image Note
TS23: temporal bone petrous part Strong Regionally restricted euxassay_005940_15
TS23: exoccipital bone Strong Regionally restricted euxassay_005940_15
TS23: basisphenoid bone Strong Regionally restricted euxassay_005940_15
TS23: rib Strong Regionally restricted euxassay_005940_15
TS23: naris Strong Regionally restricted euxassay_005940_15
TS23: nasal septum Moderate Regionally restricted euxassay_005940_15
TS23: Meckel's cartilage Strong Regionally restricted euxassay_005940_15
TS23: axial skeleton Strong Regionally restricted euxassay_005940_15
TS23: axial skeleton tail region Strong Regionally restricted euxassay_005940_15

Specimen euxassay_005940_16: embryonic day 14.5 (more )
Structure Level Pattern Image Note
TS23: temporal bone petrous part Strong Regionally restricted euxassay_005940_16
TS23: exoccipital bone Strong Regionally restricted euxassay_005940_16
TS23: basisphenoid bone Strong Regionally restricted euxassay_005940_16
TS23: rib Strong Regionally restricted euxassay_005940_16
TS23: naris Strong Regionally restricted euxassay_005940_16
TS23: turbinate bone primordium Strong Regionally restricted euxassay_005940_16
TS23: Meckel's cartilage Strong Regionally restricted euxassay_005940_16
TS23: axial skeleton Strong Regionally restricted euxassay_005940_16
TS23: axial skeleton tail region Strong Regionally restricted euxassay_005940_16
TS23: clavicle Strong Regionally restricted euxassay_005940_16
TS23: pelvic girdle skeleton Strong Regionally restricted euxassay_005940_16

Specimen euxassay_005940_17: embryonic day 14.5 (more )
Structure Level Pattern Image Note
TS23: temporal bone petrous part Strong Regionally restricted euxassay_005940_17
TS23: exoccipital bone Strong Regionally restricted euxassay_005940_17
TS23: basisphenoid bone Strong Regionally restricted euxassay_005940_17
TS23: rib Strong Regionally restricted euxassay_005940_17
TS23: turbinate bone primordium Strong Regionally restricted euxassay_005940_17
TS23: naris Strong Regionally restricted euxassay_005940_17
TS23: axial skeleton tail region Strong Regionally restricted euxassay_005940_17
TS23: pelvic girdle skeleton Strong Regionally restricted euxassay_005940_17

Specimen euxassay_005940_18: embryonic day 14.5 (more )
Structure Level Pattern Image Note
TS23: temporal bone petrous part Strong Regionally restricted euxassay_005940_18
TS23: exoccipital bone Strong Regionally restricted euxassay_005940_18
TS23: orbito-sphenoid Strong Regionally restricted euxassay_005940_18
TS23: rib Strong Regionally restricted euxassay_005940_18
TS23: turbinate bone primordium Strong Regionally restricted euxassay_005940_18
TS23: axial skeleton tail region Strong Regionally restricted euxassay_005940_18
TS23: femur Strong Regionally restricted euxassay_005940_18
TS23: pelvic girdle skeleton Strong Regionally restricted euxassay_005940_18

Specimen euxassay_005940_19: embryonic day 14.5 (more )
Structure Level Pattern Image Note
TS23: temporal bone petrous part Strong Regionally restricted euxassay_005940_19
TS23: exoccipital bone Strong Regionally restricted euxassay_005940_19
TS23: orbito-sphenoid Strong Regionally restricted euxassay_005940_19
TS23: basioccipital bone Strong Regionally restricted euxassay_005940_19
TS23: rib Strong Regionally restricted euxassay_005940_19
TS23: turbinate bone primordium Strong Regionally restricted euxassay_005940_19
TS23: axial skeleton tail region Strong Regionally restricted euxassay_005940_19
TS23: femur Strong Regionally restricted euxassay_005940_19

Specimen euxassay_005940_20: embryonic day 14.5 (more )
Structure Level Pattern Image Note
TS23: temporal bone petrous part Strong Regionally restricted euxassay_005940_20
TS23: exoccipital bone Strong Regionally restricted euxassay_005940_20
TS23: orbito-sphenoid Strong Regionally restricted euxassay_005940_20
TS23: basioccipital bone Strong Regionally restricted euxassay_005940_20
TS23: rib Strong Regionally restricted euxassay_005940_20
TS23: turbinate bone primordium Strong Regionally restricted euxassay_005940_20
TS23: axial skeleton tail region Strong Regionally restricted euxassay_005940_20
TS23: femur Strong Regionally restricted euxassay_005940_20
TS23: humerus Strong Regionally restricted euxassay_005940_20
TS23: scapula Strong Regionally restricted euxassay_005940_20

Specimen euxassay_005940_21: embryonic day 14.5 (more )
Structure Level Pattern Image Note
TS23: temporal bone petrous part Strong Regionally restricted euxassay_005940_21
TS23: exoccipital bone Strong Regionally restricted euxassay_005940_21
TS23: basioccipital bone Strong Regionally restricted euxassay_005940_21
TS23: orbito-sphenoid Strong Regionally restricted euxassay_005940_21
TS23: rib Strong Regionally restricted euxassay_005940_21
TS23: axial skeleton tail region Strong Regionally restricted euxassay_005940_21
TS23: femur Strong Regionally restricted euxassay_005940_21
TS23: humerus Strong Regionally restricted euxassay_005940_21

Specimen euxassay_005940_22: embryonic day 14.5 (more )
Structure Level Pattern Image Note
TS23: temporal bone petrous part Strong Regionally restricted euxassay_005940_22
TS23: basisphenoid bone Strong Regionally restricted euxassay_005940_22
TS23: exoccipital bone Strong Regionally restricted euxassay_005940_22
TS23: rib Strong Regionally restricted euxassay_005940_22
TS23: axial skeleton tail region Strong Regionally restricted euxassay_005940_22
TS23: femur Strong Regionally restricted euxassay_005940_22
TS23: humerus Strong Regionally restricted euxassay_005940_22

Specimen euxassay_005940_23: embryonic day 14.5 (more )
Structure Level Pattern Image Note
TS23: temporal bone petrous part Strong Regionally restricted euxassay_005940_23
TS23: basisphenoid bone Strong Regionally restricted euxassay_005940_23
TS23: basioccipital bone Strong Regionally restricted euxassay_005940_23
TS23: exoccipital bone Strong Regionally restricted euxassay_005940_23
TS23: rib Strong Regionally restricted euxassay_005940_23
TS23: axial skeleton tail region Strong Regionally restricted euxassay_005940_23
TS23: femur Strong Regionally restricted euxassay_005940_23
TS23: humerus Strong Regionally restricted euxassay_005940_23
TS23: hand Strong Regionally restricted euxassay_005940_23

Specimen euxassay_005940_24: embryonic day 14.5 (more )
Structure Level Pattern Image Note
TS23: basisphenoid bone Strong Regionally restricted euxassay_005940_24
TS23: basioccipital bone Strong Regionally restricted euxassay_005940_24
TS23: exoccipital bone Strong Regionally restricted euxassay_005940_24
TS23: rib Strong Regionally restricted euxassay_005940_24
TS23: axial skeleton tail region Strong Regionally restricted euxassay_005940_24
TS23: femur Strong Regionally restricted euxassay_005940_24
TS23: humerus Strong Regionally restricted euxassay_005940_24
TS23: hand Strong Regionally restricted euxassay_005940_24


Contributing Projects:
Mouse Genome Database (MGD), Gene Expression Database (GXD), Mouse Models of Human Cancer database (MMHCdb) (formerly Mouse Tumor Biology (MTB)), Gene Ontology (GO)
Citing These Resources
Funding Information
Warranty Disclaimer, Privacy Notice, Licensing, & Copyright
Send questions and comments to User Support.
last database update
12/30/2025
MGI 6.24
The Jackson Laboratory