About   Help   FAQ
Gene Expression Data
Assay Details
Assay
Reference: J:153498 Diez-Roux G, et al., A high-resolution anatomical atlas of the transcriptome in the mouse embryo. PLoS Biol. 2011;9(1):e1000582
Assay type: RNA in situ
MGI Accession ID: MGI:4827033
Gene symbol: Palm
Gene name: paralemmin
Probe: T1711
Probe preparation: Antisense labelled with digoxigenin RNA
Visualized with: Alkaline phosphatase
Assay notes: Cryosections of fresh frozen material were fixed in 4% paraformaldehyde for 20 min. before further processing. A tyramide-biotin/streptavidin amplification step was included in the in situ hybridization procedure.
Results
Specimen euxassay_000027_03: embryonic day 14.5 (more )
Structure Level Pattern Image Note
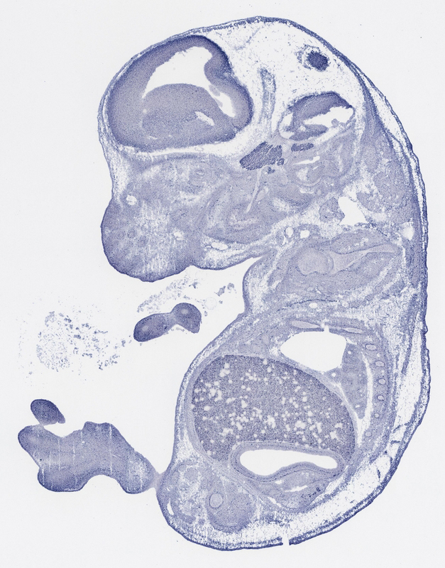
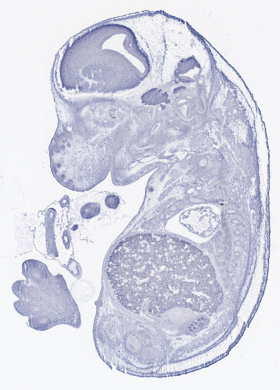
TS23: central nervous system Moderate Uniform euxassay_000027_03
TS23: retina Moderate Uniform euxassay_000027_03
TS23: liver Moderate Uniform euxassay_000027_03

Specimen euxassay_000027_04: embryonic day 14.5 (more )
Structure Level Pattern Image Note
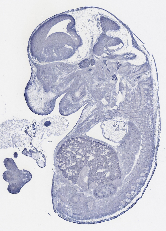
TS23: central nervous system Moderate Uniform euxassay_000027_04
TS23: trigeminal ganglion Strong Uniform euxassay_000027_04
TS23: retina Moderate Uniform euxassay_000027_04
TS23: liver Weak Uniform euxassay_000027_04

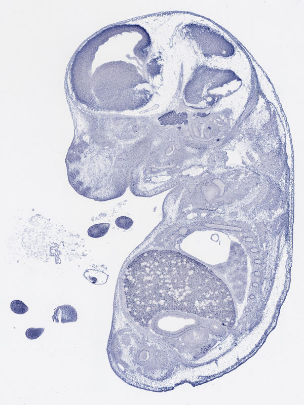
Specimen euxassay_000027_05: embryonic day 14.5 (more )
Structure Level Pattern Image Note
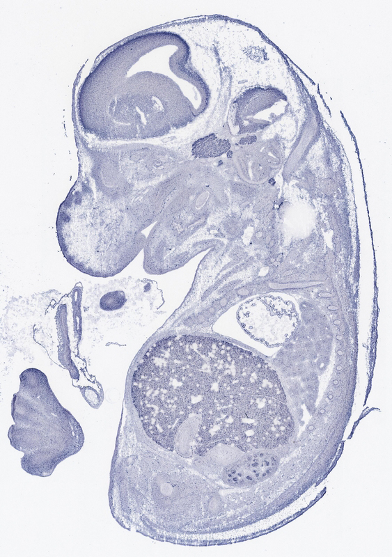
TS23: central nervous system Moderate Uniform euxassay_000027_05
TS23: trigeminal ganglion Strong Uniform euxassay_000027_05
TS23: liver Weak Uniform euxassay_000027_05

Specimen euxassay_000027_06: embryonic day 14.5 (more )
Structure Level Pattern Image Note
TS23: central nervous system Moderate Uniform euxassay_000027_06
TS23: facial ganglion Strong Uniform euxassay_000027_06
TS23: trigeminal ganglion Strong Uniform euxassay_000027_06
TS23: autonomic nervous system Moderate Single cells euxassay_000027_06
TS23: liver Weak Uniform euxassay_000027_06

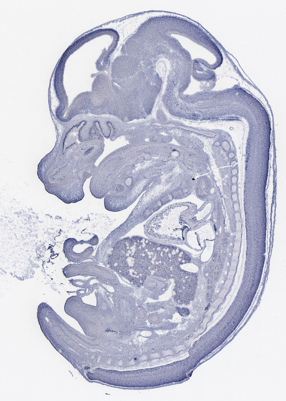
Specimen euxassay_000027_07: embryonic day 14.5 (more )
Structure Level Pattern Image Note
TS23: central nervous system Moderate Uniform euxassay_000027_07
TS23: trigeminal ganglion Strong Uniform euxassay_000027_07
TS23: facial ganglion Strong Uniform euxassay_000027_07
TS23: vestibulo-cochlear ganglion Strong Uniform euxassay_000027_07
TS23: liver Weak Uniform euxassay_000027_07

Specimen euxassay_000027_08: embryonic day 14.5 (more )
Structure Level Pattern Image Note
TS23: central nervous system Moderate Uniform euxassay_000027_08
TS23: cranial ganglion Strong Uniform euxassay_000027_08
TS23: liver Weak Uniform euxassay_000027_08

Specimen euxassay_000027_09: embryonic day 14.5 (more )
Structure Level Pattern Image Note
TS23: central nervous system Moderate Uniform euxassay_000027_09
TS23: central nervous system ganglion Strong Uniform euxassay_000027_09
TS23: liver Weak Uniform euxassay_000027_09
TS23: renal cortex Strong Spotted euxassay_000027_09

Specimen euxassay_000027_10: embryonic day 14.5 (more )
Structure Level Pattern Image Note
TS23: central nervous system Moderate Uniform euxassay_000027_10
TS23: central nervous system ganglion Strong Uniform euxassay_000027_10
TS23: central nervous system nerve Strong Uniform euxassay_000027_10
TS23: olfactory epithelium Moderate Uniform euxassay_000027_10
TS23: liver Weak Uniform euxassay_000027_10
TS23: renal cortex Strong Regionally restricted euxassay_000027_10

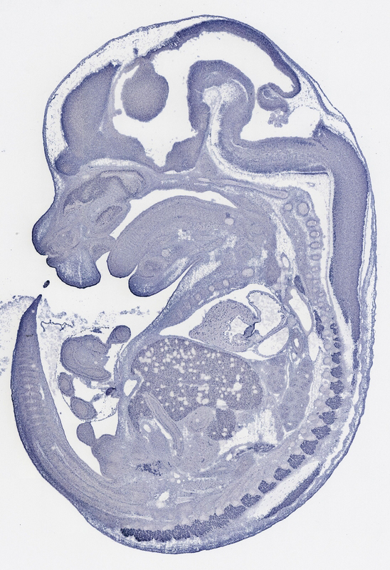
Specimen euxassay_000027_11: embryonic day 14.5 (more )
Structure Level Pattern Image Note
TS23: central nervous system Moderate Uniform euxassay_000027_11
TS23: olfactory epithelium Moderate Uniform euxassay_000027_11
TS23: autonomic nervous system Strong Uniform euxassay_000027_11
TS23: spinal component of peripheral nervous system Strong Uniform euxassay_000027_11
TS23: renal cortex Strong Regionally restricted euxassay_000027_11
TS23: liver Weak Uniform euxassay_000027_11

Specimen euxassay_000027_12: embryonic day 14.5 (more )
Structure Level Pattern Image Note
TS23: central nervous system Moderate Uniform euxassay_000027_12
TS23: autonomic nervous system Strong Uniform euxassay_000027_12
TS23: spinal component of peripheral nervous system Strong Uniform euxassay_000027_12
TS23: olfactory epithelium Moderate Uniform euxassay_000027_12
TS23: renal cortex Strong Regionally restricted euxassay_000027_12
TS23: liver Weak Uniform euxassay_000027_12

Specimen euxassay_000027_13: embryonic day 14.5 (more )
Structure Level Pattern Image Note
TS23: central nervous system Moderate Uniform euxassay_000027_13
TS23: autonomic nervous system Strong Uniform euxassay_000027_13
TS23: spinal component of peripheral nervous system Strong Uniform euxassay_000027_13
TS23: olfactory epithelium Moderate Uniform euxassay_000027_13
TS23: liver Weak Uniform euxassay_000027_13

Specimen euxassay_000027_14: embryonic day 14.5 (more )
Structure Level Pattern Image Note
TS23: central nervous system Moderate Uniform euxassay_000027_14
TS23: autonomic nervous system Strong Uniform euxassay_000027_14
TS23: spinal component of peripheral nervous system Strong Uniform euxassay_000027_14
TS23: liver Weak Uniform euxassay_000027_14

Specimen euxassay_000027_15: embryonic day 14.5 (more )
Structure Level Pattern Image Note
TS23: central nervous system Moderate Uniform euxassay_000027_15
TS23: autonomic nervous system Strong Uniform euxassay_000027_15
TS23: peripheral nervous system Strong Uniform euxassay_000027_15
TS23: liver Weak Uniform euxassay_000027_15

Specimen euxassay_000027_16: embryonic day 14.5 (more )
Structure Level Pattern Image Note
TS23: central nervous system Moderate Uniform euxassay_000027_16
TS23: autonomic nervous system Strong Uniform euxassay_000027_16
TS23: peripheral nervous system Strong Uniform euxassay_000027_16
TS23: olfactory epithelium Moderate Uniform euxassay_000027_16
TS23: vomeronasal organ epithelium Moderate Uniform euxassay_000027_16

Specimen euxassay_000027_17: embryonic day 14.5 (more )
Structure Level Pattern Image Note
TS23: central nervous system Moderate Uniform euxassay_000027_17
TS23: peripheral nervous system Strong Uniform euxassay_000027_17
TS23: autonomic nervous system Strong Uniform euxassay_000027_17
TS23: olfactory epithelium Moderate Uniform euxassay_000027_17

Specimen euxassay_000027_18: embryonic day 14.5 (more )
Structure Level Pattern Image Note
TS23: olfactory epithelium Moderate Uniform euxassay_000027_18
TS23: liver Weak Uniform euxassay_000027_18
TS23: central nervous system Moderate Uniform euxassay_000027_18
TS23: peripheral nervous system Strong Uniform euxassay_000027_18
TS23: autonomic nervous system Strong Uniform euxassay_000027_18
TS23: spinal component of peripheral nervous system Strong Uniform euxassay_000027_18

Specimen euxassay_000027_19: embryonic day 14.5 (more )
Structure Level Pattern Image Note
TS23: central nervous system Moderate Uniform euxassay_000027_19
TS23: peripheral nervous system Strong Uniform euxassay_000027_19
TS23: autonomic nervous system Strong Uniform euxassay_000027_19
TS23: spinal component of peripheral nervous system Strong Uniform euxassay_000027_19
TS23: olfactory epithelium Moderate Uniform euxassay_000027_19
TS23: liver Weak Uniform euxassay_000027_19
TS23: renal cortex Strong Spotted euxassay_000027_19
TS23: cranial ganglion Strong Uniform euxassay_000027_19
TS23: central nervous system ganglion Strong Uniform euxassay_000027_19

Specimen euxassay_000027_20: embryonic day 14.5 (more )
Structure Level Pattern Image Note
TS23: renal cortex Strong Spotted euxassay_000027_20
TS23: liver Weak Uniform euxassay_000027_20
TS23: olfactory epithelium Moderate Uniform euxassay_000027_20
TS23: central nervous system Moderate Uniform euxassay_000027_20
TS23: peripheral nervous system Strong Uniform euxassay_000027_20
TS23: autonomic nervous system Strong Uniform euxassay_000027_20
TS23: spinal component of peripheral nervous system Strong Uniform euxassay_000027_20
TS23: central nervous system ganglion Strong Uniform euxassay_000027_20
TS23: cranial ganglion Strong Uniform euxassay_000027_20

Specimen euxassay_000027_21: embryonic day 14.5 (more )
Structure Level Pattern Image Note
TS23: central nervous system Moderate Uniform euxassay_000027_21
TS23: peripheral nervous system Strong Uniform euxassay_000027_21
TS23: autonomic nervous system Strong Uniform euxassay_000027_21
TS23: spinal component of peripheral nervous system Strong Uniform euxassay_000027_21
TS23: liver Weak Uniform euxassay_000027_21
TS23: cranial ganglion Strong Uniform euxassay_000027_21
TS23: central nervous system ganglion Strong Uniform euxassay_000027_21

Specimen euxassay_000027_22: embryonic day 14.5 (more )
Structure Level Pattern Image Note
TS23: central nervous system Moderate Uniform euxassay_000027_22
TS23: autonomic nervous system Strong Uniform euxassay_000027_22
TS23: facial ganglion Strong Uniform euxassay_000027_22
TS23: trigeminal ganglion Strong Uniform euxassay_000027_22
TS23: vestibulo-cochlear ganglion Strong Uniform euxassay_000027_22

Specimen euxassay_000027_23: embryonic day 14.5 (more )
Structure Level Pattern Image Note
TS23: central nervous system Moderate Uniform euxassay_000027_23
TS23: trigeminal ganglion Strong Uniform euxassay_000027_23
TS23: facial ganglion Strong Uniform euxassay_000027_23
TS23: liver Weak Uniform euxassay_000027_23
TS23: renal cortex Moderate Spotted euxassay_000027_23

Specimen euxassay_000027_24: embryonic day 14.5 (more )
Structure Level Pattern Image Note
TS23: liver Weak Uniform euxassay_000027_24
TS23: trigeminal ganglion Strong Uniform euxassay_000027_24
TS23: central nervous system Moderate Uniform euxassay_000027_24


Contributing Projects:
Mouse Genome Database (MGD), Gene Expression Database (GXD), Mouse Models of Human Cancer database (MMHCdb) (formerly Mouse Tumor Biology (MTB)), Gene Ontology (GO)
Citing These Resources
Funding Information
Warranty Disclaimer, Privacy Notice, Licensing, & Copyright
Send questions and comments to User Support.
last database update
12/30/2025
MGI 6.24
The Jackson Laboratory