About   Help   FAQ
Gene Expression Data
Assay Details
Assay
Reference: J:153498 Diez-Roux G, et al., A high-resolution anatomical atlas of the transcriptome in the mouse embryo. PLoS Biol. 2011;9(1):e1000582
Assay type: RNA in situ
MGI Accession ID: MGI:4826967
Gene symbol: Olig1
Gene name: oligodendrocyte transcription factor 1
Probe: MGC clone 54573
Probe preparation: Antisense labelled with digoxigenin RNA
Visualized with: Alkaline phosphatase
Assay notes: Cryosections of fresh frozen material were fixed in 4% paraformaldehyde for 20 min. before further processing. A tyramide-biotin/streptavidin amplification step was included in the in situ hybridization procedure.
Results
Specimen euxassay_007237_03: embryonic day 14.5 (more )
Structure Level Pattern Image Note
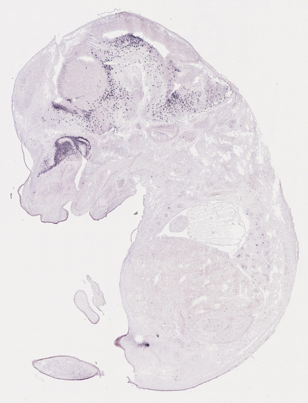
TS23: telencephalon mantle layer Strong Single cells euxassay_007237_03

Specimen euxassay_007237_04: embryonic day 14.5 (more )
Structure Level Pattern Image Note
TS23: telencephalon mantle layer Strong Single cells euxassay_007237_04

Specimen euxassay_007237_05: embryonic day 14.5 (more )
Structure Level Pattern Image Note
TS23: telencephalon mantle layer Strong Single cells euxassay_007237_05
TS23: pons ventricular layer Strong Regionally restricted euxassay_007237_05
TS23: medulla oblongata basal plate mantle layer Strong Single cells euxassay_007237_05
TS23: midbrain mantle layer Strong Single cells euxassay_007237_05

Specimen euxassay_007237_06: embryonic day 14.5 (more )
Structure Level Pattern Image Note
TS23: telencephalon mantle layer Strong Single cells euxassay_007237_06
TS23: medulla oblongata basal plate mantle layer Strong Single cells euxassay_007237_06
TS23: pons ventricular layer Strong Regionally restricted euxassay_007237_06
TS23: pons mantle layer Strong Single cells euxassay_007237_06
TS23: midbrain mantle layer Strong Single cells euxassay_007237_06
TS23: spinal cord mantle layer Strong Single cells euxassay_007237_06

Specimen euxassay_007237_07: embryonic day 14.5 (more )
Structure Level Pattern Image Note
TS23: telencephalon mantle layer Strong Single cells euxassay_007237_07
TS23: pons mantle layer Strong Single cells euxassay_007237_07
TS23: pons ventricular layer Strong Single cells euxassay_007237_07
TS23: medulla oblongata basal plate mantle layer Strong Single cells euxassay_007237_07
TS23: midbrain mantle layer Strong Single cells euxassay_007237_07
TS23: spinal cord mantle layer Strong Single cells euxassay_007237_07

Specimen euxassay_007237_08: embryonic day 14.5 (more )
Structure Level Pattern Image Note
TS23: telencephalon mantle layer Strong Single cells euxassay_007237_08
TS23: medulla oblongata basal plate mantle layer Strong Single cells euxassay_007237_08
TS23: pons mantle layer Strong Single cells euxassay_007237_08
TS23: midbrain mantle layer Strong Single cells euxassay_007237_08
TS23: spinal cord mantle layer Strong Single cells euxassay_007237_08

Specimen euxassay_007237_09: embryonic day 14.5 (more )
Structure Level Pattern Image Note
TS23: olfactory epithelium Strong Regionally restricted euxassay_007237_09
TS23: hypothalamus mantle layer Strong Single cells euxassay_007237_09
TS23: diencephalon lateral wall mantle layer Strong Single cells euxassay_007237_09
TS23: telencephalon mantle layer Strong Single cells euxassay_007237_09
TS23: pons mantle layer Strong Single cells euxassay_007237_09
TS23: medulla oblongata basal plate mantle layer Strong Single cells euxassay_007237_09
TS23: midbrain mantle layer Strong Single cells euxassay_007237_09
TS23: spinal cord mantle layer Strong Single cells euxassay_007237_09

Specimen euxassay_007237_10: embryonic day 14.5 (more )
Structure Level Pattern Image Note
TS23: olfactory epithelium Strong Regionally restricted euxassay_007237_10
TS23: hypothalamus mantle layer Strong Single cells euxassay_007237_10
TS23: diencephalon lateral wall mantle layer Strong Single cells euxassay_007237_10
TS23: telencephalon mantle layer Strong Single cells euxassay_007237_10
TS23: pons mantle layer Strong Single cells euxassay_007237_10
TS23: medulla oblongata basal plate mantle layer Strong Single cells euxassay_007237_10
TS23: midbrain mantle layer Strong Single cells euxassay_007237_10
TS23: spinal cord mantle layer Strong Single cells euxassay_007237_10

Specimen euxassay_007237_11: embryonic day 14.5 (more )
Structure Level Pattern Image Note
TS23: olfactory epithelium Strong Regionally restricted euxassay_007237_11
TS23: hypothalamus mantle layer Strong Single cells euxassay_007237_11
TS23: diencephalon lateral wall mantle layer Strong Single cells euxassay_007237_11
TS23: telencephalon mantle layer Strong Single cells euxassay_007237_11
TS23: medulla oblongata basal plate mantle layer Strong Single cells euxassay_007237_11
TS23: pons mantle layer Strong Single cells euxassay_007237_11
TS23: spinal cord mantle layer Strong Single cells euxassay_007237_11
TS23: midbrain mantle layer Strong Single cells euxassay_007237_11

Specimen euxassay_007237_12: embryonic day 14.5 (more )
Structure Level Pattern Image Note
TS23: olfactory epithelium Strong Regionally restricted euxassay_007237_12
TS23: hypothalamus mantle layer Strong Single cells euxassay_007237_12
TS23: diencephalon lateral wall mantle layer Strong Single cells euxassay_007237_12
TS23: telencephalon mantle layer Strong Single cells euxassay_007237_12
TS23: medulla oblongata basal plate mantle layer Strong Single cells euxassay_007237_12
TS23: pons mantle layer Strong Single cells euxassay_007237_12
TS23: midbrain mantle layer Strong Single cells euxassay_007237_12

Specimen euxassay_007237_13: embryonic day 14.5 (more )
Structure Level Pattern Image Note
TS23: hypothalamus mantle layer Strong Single cells euxassay_007237_13
TS23: diencephalon lateral wall mantle layer Strong Single cells euxassay_007237_13
TS23: telencephalon mantle layer Strong Single cells euxassay_007237_13
TS23: medulla oblongata basal plate mantle layer Strong Single cells euxassay_007237_13
TS23: pons mantle layer Strong Single cells euxassay_007237_13
TS23: midbrain mantle layer Strong Single cells euxassay_007237_13

Specimen euxassay_007237_14: embryonic day 14.5 (more )
Structure Level Pattern Image Note
TS23: hypothalamus mantle layer Strong Single cells euxassay_007237_14
TS23: diencephalon lateral wall mantle layer Strong Single cells euxassay_007237_14
TS23: telencephalon mantle layer Strong Single cells euxassay_007237_14
TS23: medulla oblongata basal plate mantle layer Strong Single cells euxassay_007237_14
TS23: pons mantle layer Strong Single cells euxassay_007237_14
TS23: midbrain mantle layer Strong Single cells euxassay_007237_14

Specimen euxassay_007237_15: embryonic day 14.5 (more )
Structure Level Pattern Image Note
TS23: olfactory epithelium Strong Regionally restricted euxassay_007237_15
TS23: hypothalamus mantle layer Strong Single cells euxassay_007237_15
TS23: diencephalon lateral wall mantle layer Strong Single cells euxassay_007237_15
TS23: telencephalon mantle layer Strong Single cells euxassay_007237_15
TS23: medulla oblongata basal plate mantle layer Strong Single cells euxassay_007237_15
TS23: pons mantle layer Strong Single cells euxassay_007237_15
TS23: midbrain mantle layer Strong Single cells euxassay_007237_15

Specimen euxassay_007237_16: embryonic day 14.5 (more )
Structure Level Pattern Image Note
TS23: olfactory epithelium Strong Regionally restricted euxassay_007237_16
TS23: hypothalamus mantle layer Strong Single cells euxassay_007237_16
TS23: diencephalon lateral wall mantle layer Strong Single cells euxassay_007237_16
TS23: telencephalon mantle layer Strong Single cells euxassay_007237_16
TS23: pons mantle layer Strong Single cells euxassay_007237_16
TS23: pons ventricular layer Strong Single cells euxassay_007237_16
TS23: medulla oblongata basal plate mantle layer Strong Single cells euxassay_007237_16
TS23: midbrain mantle layer Strong Single cells euxassay_007237_16

Specimen euxassay_007237_17: embryonic day 14.5 (more )
Structure Level Pattern Image Note
TS23: olfactory epithelium Strong Regionally restricted euxassay_007237_17
TS23: telencephalon mantle layer Strong Single cells euxassay_007237_17
TS23: diencephalon lateral wall mantle layer Strong Single cells euxassay_007237_17
TS23: hypothalamus mantle layer Strong Single cells euxassay_007237_17
TS23: pons mantle layer Strong Single cells euxassay_007237_17
TS23: pons ventricular layer Strong Single cells euxassay_007237_17
TS23: midbrain mantle layer Strong Single cells euxassay_007237_17

Specimen euxassay_007237_18: embryonic day 14.5 (more )
Structure Level Pattern Image Note
TS23: diencephalon lateral wall mantle layer Strong Single cells euxassay_007237_18
TS23: telencephalon mantle layer Strong Single cells euxassay_007237_18
TS23: pons mantle layer Strong Single cells euxassay_007237_18
TS23: pons ventricular layer Strong Single cells euxassay_007237_18
TS23: midbrain mantle layer Strong Single cells euxassay_007237_18

Specimen euxassay_007237_19: embryonic day 14.5 (more )
Structure Level Pattern Image Note
TS23: olfactory epithelium Strong Regionally restricted euxassay_007237_19
TS23: telencephalon marginal layer Strong Single cells euxassay_007237_19
TS23: diencephalon lateral wall mantle layer Strong Single cells euxassay_007237_19
TS23: pons mantle layer Strong Single cells euxassay_007237_19
TS23: midbrain mantle layer Strong Single cells euxassay_007237_19

Specimen euxassay_007237_20: embryonic day 14.5 (more )
Structure Level Pattern Image Note
TS23: telencephalon mantle layer Strong Single cells euxassay_007237_20

Specimen euxassay_007237_21: embryonic day 14.5 (more )
Structure Level Pattern Image Note
TS23: telencephalon mantle layer Strong Single cells euxassay_007237_21

Specimen euxassay_007237_22: embryonic day 14.5 (more )
Structure Level Pattern Image Note
TS23: telencephalon mantle layer Strong Single cells euxassay_007237_22


Contributing Projects:
Mouse Genome Database (MGD), Gene Expression Database (GXD), Mouse Models of Human Cancer database (MMHCdb) (formerly Mouse Tumor Biology (MTB)), Gene Ontology (GO)
Citing These Resources
Funding Information
Warranty Disclaimer, Privacy Notice, Licensing, & Copyright
Send questions and comments to User Support.
last database update
12/30/2025
MGI 6.24
The Jackson Laboratory