About   Help   FAQ
Gene Expression Data
Assay Details
Assay
Reference: J:153498 Diez-Roux G, et al., A high-resolution anatomical atlas of the transcriptome in the mouse embryo. PLoS Biol. 2011;9(1):e1000582
Assay type: RNA in situ
MGI Accession ID: MGI:4826839
Gene symbol: Nxn
Gene name: nucleoredoxin
Probe: MGC clone 65298
Probe preparation: Antisense labelled with digoxigenin RNA
Visualized with: Alkaline phosphatase
Assay notes: Cryosections of fresh frozen material were fixed in 4% paraformaldehyde for 20 min. before further processing. A tyramide-biotin/streptavidin amplification step was included in the in situ hybridization procedure.
Results
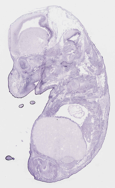
Specimen euxassay_003834_01: embryonic day 14.5 (more )
Structure Level Pattern Image Note
TS23: body cavity or lining Moderate Regionally restricted euxassay_003834_01
TS23: limb Moderate Regionally restricted euxassay_003834_01
TS23: embryo mesenchyme Moderate Regionally restricted euxassay_003834_01
TS23: cardiovascular system Moderate Regionally restricted euxassay_003834_01
TS23: gland Moderate Regionally restricted euxassay_003834_01
TS23: integumental system Moderate Regionally restricted euxassay_003834_01
TS23: nervous system Moderate Regionally restricted euxassay_003834_01
TS23: sensory organ system Moderate Regionally restricted euxassay_003834_01
TS23: alimentary system Moderate Regionally restricted euxassay_003834_01
TS23: urinary system Moderate Regionally restricted euxassay_003834_01
TS23: reproductive system Moderate Regionally restricted euxassay_003834_01
TS23: respiratory system Moderate Regionally restricted euxassay_003834_01
TS23: skeleton Moderate Regionally restricted euxassay_003834_01
TS23: vertebral axis musculature Moderate Regionally restricted euxassay_003834_01

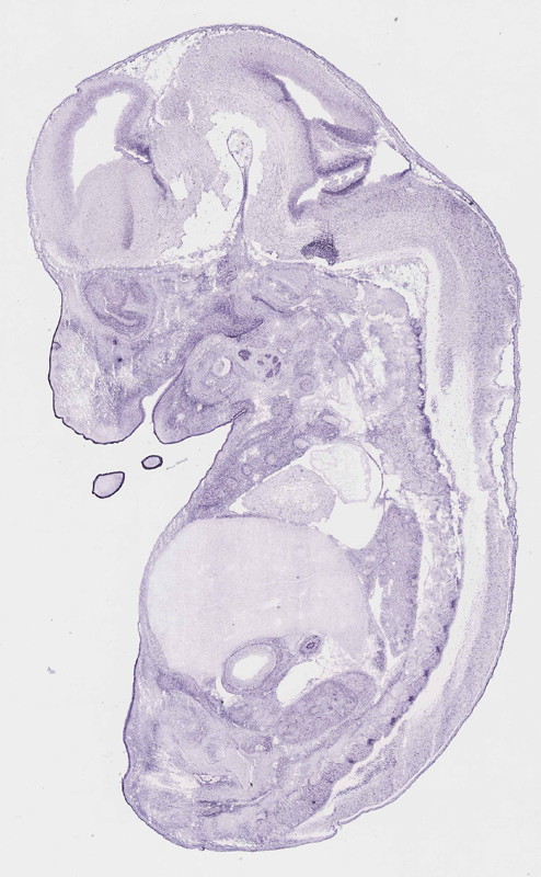
Specimen euxassay_003834_02: embryonic day 14.5 (more )
Structure Level Pattern Image Note
TS23: body cavity or lining Moderate Regionally restricted euxassay_003834_02
TS23: limb Moderate Regionally restricted euxassay_003834_02
TS23: embryo mesenchyme Moderate Regionally restricted euxassay_003834_02
TS23: cardiovascular system Moderate Regionally restricted euxassay_003834_02
TS23: gland Moderate Regionally restricted euxassay_003834_02
TS23: integumental system Moderate Regionally restricted euxassay_003834_02
TS23: nervous system Moderate Regionally restricted euxassay_003834_02
TS23: sensory organ system Moderate Regionally restricted euxassay_003834_02
TS23: alimentary system Moderate Regionally restricted euxassay_003834_02
TS23: urinary system Moderate Regionally restricted euxassay_003834_02
TS23: reproductive system Moderate Regionally restricted euxassay_003834_02
TS23: respiratory system Moderate Regionally restricted euxassay_003834_02
TS23: skeleton Moderate Regionally restricted euxassay_003834_02
TS23: vertebral axis musculature Moderate Regionally restricted euxassay_003834_02

Specimen euxassay_003834_03: embryonic day 14.5 (more )
Structure Level Pattern Image Note
TS23: body cavity or lining Moderate Regionally restricted euxassay_003834_03
TS23: limb Moderate Regionally restricted euxassay_003834_03
TS23: embryo mesenchyme Moderate Regionally restricted euxassay_003834_03
TS23: cardiovascular system Moderate Regionally restricted euxassay_003834_03
TS23: gland Moderate Regionally restricted euxassay_003834_03
TS23: integumental system Moderate Regionally restricted euxassay_003834_03
TS23: nervous system Moderate Regionally restricted euxassay_003834_03
TS23: sensory organ system Moderate Regionally restricted euxassay_003834_03
TS23: alimentary system Moderate Regionally restricted euxassay_003834_03
TS23: urinary system Moderate Regionally restricted euxassay_003834_03
TS23: reproductive system Moderate Regionally restricted euxassay_003834_03
TS23: respiratory system Moderate Regionally restricted euxassay_003834_03
TS23: skeleton Moderate Regionally restricted euxassay_003834_03
TS23: vertebral axis musculature Moderate Regionally restricted euxassay_003834_03

Specimen euxassay_003834_04: embryonic day 14.5 (more )
Structure Level Pattern Image Note
TS23: body cavity or lining Moderate Regionally restricted euxassay_003834_04
TS23: limb Moderate Regionally restricted euxassay_003834_04
TS23: embryo mesenchyme Moderate Regionally restricted euxassay_003834_04
TS23: cardiovascular system Moderate Regionally restricted euxassay_003834_04
TS23: gland Moderate Regionally restricted euxassay_003834_04
TS23: integumental system Moderate Regionally restricted euxassay_003834_04
TS23: nervous system Moderate Regionally restricted euxassay_003834_04
TS23: sensory organ system Moderate Regionally restricted euxassay_003834_04
TS23: alimentary system Moderate Regionally restricted euxassay_003834_04
TS23: urinary system Moderate Regionally restricted euxassay_003834_04
TS23: reproductive system Moderate Regionally restricted euxassay_003834_04
TS23: skeleton Moderate Regionally restricted euxassay_003834_04
TS23: vertebral axis musculature Moderate Regionally restricted euxassay_003834_04

Specimen euxassay_003834_05: embryonic day 14.5 (more )
Structure Level Pattern Image Note
TS23: body cavity or lining Moderate Regionally restricted euxassay_003834_05
TS23: limb Moderate Regionally restricted euxassay_003834_05
TS23: embryo mesenchyme Moderate Regionally restricted euxassay_003834_05
TS23: cardiovascular system Moderate Regionally restricted euxassay_003834_05
TS23: gland Moderate Regionally restricted euxassay_003834_05
TS23: integumental system Moderate Regionally restricted euxassay_003834_05
TS23: nervous system Moderate Regionally restricted euxassay_003834_05
TS23: sensory organ system Moderate Regionally restricted euxassay_003834_05
TS23: alimentary system Moderate Regionally restricted euxassay_003834_05
TS23: urinary system Moderate Regionally restricted euxassay_003834_05
TS23: reproductive system Moderate Regionally restricted euxassay_003834_05
TS23: respiratory system Moderate Regionally restricted euxassay_003834_05
TS23: skeleton Moderate Regionally restricted euxassay_003834_05
TS23: vertebral axis musculature Moderate Regionally restricted euxassay_003834_05

Specimen euxassay_003834_06: embryonic day 14.5 (more )
Structure Level Pattern Image Note
TS23: body cavity or lining Moderate Regionally restricted euxassay_003834_06
TS23: embryo mesenchyme Moderate Regionally restricted euxassay_003834_06
TS23: limb Moderate Regionally restricted euxassay_003834_06
TS23: cardiovascular system Moderate Regionally restricted euxassay_003834_06
TS23: gland Moderate Regionally restricted euxassay_003834_06
TS23: integumental system Moderate Regionally restricted euxassay_003834_06
TS23: nervous system Moderate Regionally restricted euxassay_003834_06
TS23: sensory organ system Moderate Regionally restricted euxassay_003834_06
TS23: alimentary system Moderate Regionally restricted euxassay_003834_06
TS23: urinary system Moderate Regionally restricted euxassay_003834_06
TS23: reproductive system Moderate Regionally restricted euxassay_003834_06
TS23: respiratory system Moderate Regionally restricted euxassay_003834_06
TS23: skeleton Moderate Regionally restricted euxassay_003834_06
TS23: vertebral axis musculature Moderate Regionally restricted euxassay_003834_06

Specimen euxassay_003834_07: embryonic day 14.5 (more )
Structure Level Pattern Image Note
TS23: body cavity or lining Moderate Regionally restricted euxassay_003834_07
TS23: embryo mesenchyme Moderate Regionally restricted euxassay_003834_07
TS23: cardiovascular system Moderate Regionally restricted euxassay_003834_07
TS23: gland Moderate Regionally restricted euxassay_003834_07
TS23: integumental system Moderate Regionally restricted euxassay_003834_07
TS23: nervous system Moderate Regionally restricted euxassay_003834_07
TS23: sensory organ system Moderate Regionally restricted euxassay_003834_07
TS23: alimentary system Moderate Regionally restricted euxassay_003834_07
TS23: urinary system Moderate Regionally restricted euxassay_003834_07
TS23: reproductive system Moderate Regionally restricted euxassay_003834_07
TS23: respiratory system Moderate Regionally restricted euxassay_003834_07
TS23: skeleton Moderate Regionally restricted euxassay_003834_07
TS23: vertebral axis musculature Moderate Regionally restricted euxassay_003834_07

Specimen euxassay_003834_08: embryonic day 14.5 (more )
Structure Level Pattern Image Note
TS23: body cavity or lining Moderate Regionally restricted euxassay_003834_08
TS23: embryo mesenchyme Moderate Regionally restricted euxassay_003834_08
TS23: cardiovascular system Moderate Regionally restricted euxassay_003834_08
TS23: gland Moderate Regionally restricted euxassay_003834_08
TS23: integumental system Moderate Regionally restricted euxassay_003834_08
TS23: nervous system Moderate Regionally restricted euxassay_003834_08
TS23: sensory organ system Moderate Regionally restricted euxassay_003834_08
TS23: alimentary system Moderate Regionally restricted euxassay_003834_08
TS23: urinary system Moderate Regionally restricted euxassay_003834_08
TS23: reproductive system Moderate Regionally restricted euxassay_003834_08
TS23: respiratory system Moderate Regionally restricted euxassay_003834_08
TS23: skeleton Moderate Regionally restricted euxassay_003834_08
TS23: vertebral axis musculature Moderate Regionally restricted euxassay_003834_08

Specimen euxassay_003834_09: embryonic day 14.5 (more )
Structure Level Pattern Image Note
TS23: body cavity or lining Moderate Regionally restricted euxassay_003834_09
TS23: embryo mesenchyme Moderate Regionally restricted euxassay_003834_09
TS23: cardiovascular system Moderate Regionally restricted euxassay_003834_09
TS23: gland Moderate Regionally restricted euxassay_003834_09
TS23: integumental system Moderate Regionally restricted euxassay_003834_09
TS23: nervous system Moderate Regionally restricted euxassay_003834_09
TS23: sensory organ system Moderate Regionally restricted euxassay_003834_09
TS23: alimentary system Moderate Regionally restricted euxassay_003834_09
TS23: urinary system Moderate Regionally restricted euxassay_003834_09
TS23: reproductive system Moderate Regionally restricted euxassay_003834_09
TS23: respiratory system Moderate Regionally restricted euxassay_003834_09
TS23: skeleton Moderate Regionally restricted euxassay_003834_09
TS23: tail Moderate Regionally restricted euxassay_003834_09
TS23: vertebral axis musculature Moderate Regionally restricted euxassay_003834_09

Specimen euxassay_003834_10: embryonic day 14.5 (more )
Structure Level Pattern Image Note
TS23: body cavity or lining Moderate Regionally restricted euxassay_003834_10
TS23: embryo mesenchyme Moderate Regionally restricted euxassay_003834_10
TS23: cardiovascular system Moderate Regionally restricted euxassay_003834_10
TS23: gland Moderate Regionally restricted euxassay_003834_10
TS23: integumental system Moderate Regionally restricted euxassay_003834_10
TS23: nervous system Moderate Regionally restricted euxassay_003834_10
TS23: sensory organ system Moderate Regionally restricted euxassay_003834_10
TS23: alimentary system Moderate Regionally restricted euxassay_003834_10
TS23: urinary system Moderate Regionally restricted euxassay_003834_10
TS23: reproductive system Moderate Regionally restricted euxassay_003834_10
TS23: respiratory system Moderate Regionally restricted euxassay_003834_10
TS23: skeleton Moderate Regionally restricted euxassay_003834_10
TS23: tail Moderate Regionally restricted euxassay_003834_10
TS23: vertebral axis musculature Moderate Regionally restricted euxassay_003834_10

Specimen euxassay_003834_11: embryonic day 14.5 (more )
Structure Level Pattern Image Note
TS23: body cavity or lining Moderate Regionally restricted euxassay_003834_11
TS23: embryo mesenchyme Moderate Regionally restricted euxassay_003834_11
TS23: cardiovascular system Moderate Regionally restricted euxassay_003834_11
TS23: gland Moderate Regionally restricted euxassay_003834_11
TS23: integumental system Moderate Regionally restricted euxassay_003834_11
TS23: nervous system Moderate Regionally restricted euxassay_003834_11
TS23: sensory organ system Moderate Regionally restricted euxassay_003834_11
TS23: alimentary system Moderate Regionally restricted euxassay_003834_11
TS23: urinary system Moderate Regionally restricted euxassay_003834_11
TS23: reproductive system Moderate Regionally restricted euxassay_003834_11
TS23: respiratory system Moderate Regionally restricted euxassay_003834_11
TS23: skeleton Moderate Regionally restricted euxassay_003834_11
TS23: tail Moderate Regionally restricted euxassay_003834_11
TS23: vertebral axis musculature Moderate Regionally restricted euxassay_003834_11

Specimen euxassay_003834_12: embryonic day 14.5 (more )
Structure Level Pattern Image Note
TS23: body cavity or lining Moderate Regionally restricted euxassay_003834_12
TS23: embryo mesenchyme Moderate Regionally restricted euxassay_003834_12
TS23: cardiovascular system Moderate Regionally restricted euxassay_003834_12
TS23: gland Moderate Regionally restricted euxassay_003834_12
TS23: integumental system Moderate Regionally restricted euxassay_003834_12
TS23: nervous system Moderate Regionally restricted euxassay_003834_12
TS23: sensory organ system Moderate Regionally restricted euxassay_003834_12
TS23: alimentary system Moderate Regionally restricted euxassay_003834_12
TS23: urinary system Moderate Regionally restricted euxassay_003834_12
TS23: reproductive system Moderate Regionally restricted euxassay_003834_12
TS23: respiratory system Moderate Regionally restricted euxassay_003834_12
TS23: skeleton Moderate Regionally restricted euxassay_003834_12
TS23: tail Moderate Regionally restricted euxassay_003834_12
TS23: vertebral axis musculature Moderate Regionally restricted euxassay_003834_12

Specimen euxassay_003834_13: embryonic day 14.5 (more )
Structure Level Pattern Image Note
TS23: body cavity or lining Moderate Regionally restricted euxassay_003834_13
TS23: embryo mesenchyme Moderate Regionally restricted euxassay_003834_13
TS23: cardiovascular system Moderate Regionally restricted euxassay_003834_13
TS23: gland Moderate Regionally restricted euxassay_003834_13
TS23: integumental system Moderate Regionally restricted euxassay_003834_13
TS23: nervous system Moderate Regionally restricted euxassay_003834_13
TS23: sensory organ system Moderate Regionally restricted euxassay_003834_13
TS23: alimentary system Moderate Regionally restricted euxassay_003834_13
TS23: urinary system Moderate Regionally restricted euxassay_003834_13
TS23: reproductive system Moderate Regionally restricted euxassay_003834_13
TS23: respiratory system Moderate Regionally restricted euxassay_003834_13
TS23: vertebral axis musculature Moderate Regionally restricted euxassay_003834_13
TS23: tail Moderate Regionally restricted euxassay_003834_13
TS23: skeleton Moderate Regionally restricted euxassay_003834_13

Specimen euxassay_003834_14: embryonic day 14.5 (more )
Structure Level Pattern Image Note
TS23: body cavity or lining Moderate Regionally restricted euxassay_003834_14
TS23: embryo mesenchyme Moderate Regionally restricted euxassay_003834_14
TS23: cardiovascular system Moderate Regionally restricted euxassay_003834_14
TS23: gland Moderate Regionally restricted euxassay_003834_14
TS23: integumental system Moderate Regionally restricted euxassay_003834_14
TS23: nervous system Moderate Regionally restricted euxassay_003834_14
TS23: sensory organ system Moderate Regionally restricted euxassay_003834_14
TS23: alimentary system Moderate Regionally restricted euxassay_003834_14
TS23: urinary system Moderate Regionally restricted euxassay_003834_14
TS23: reproductive system Moderate Regionally restricted euxassay_003834_14
TS23: respiratory system Moderate Regionally restricted euxassay_003834_14
TS23: skeleton Moderate Regionally restricted euxassay_003834_14
TS23: tail Moderate Regionally restricted euxassay_003834_14
TS23: vertebral axis musculature Moderate Regionally restricted euxassay_003834_14

Specimen euxassay_003834_15: embryonic day 14.5 (more )
Structure Level Pattern Image Note
TS23: body cavity or lining Moderate Regionally restricted euxassay_003834_15
TS23: embryo mesenchyme Moderate Regionally restricted euxassay_003834_15
TS23: cardiovascular system Moderate Regionally restricted euxassay_003834_15
TS23: integumental system Moderate Regionally restricted euxassay_003834_15
TS23: gland Moderate Regionally restricted euxassay_003834_15
TS23: nervous system Moderate Regionally restricted euxassay_003834_15
TS23: sensory organ system Moderate Regionally restricted euxassay_003834_15
TS23: alimentary system Moderate Regionally restricted euxassay_003834_15
TS23: urinary system Moderate Regionally restricted euxassay_003834_15
TS23: reproductive system Moderate Regionally restricted euxassay_003834_15
TS23: respiratory system Moderate Regionally restricted euxassay_003834_15
TS23: skeleton Moderate Regionally restricted euxassay_003834_15
TS23: tail Moderate Regionally restricted euxassay_003834_15
TS23: vertebral axis musculature Moderate Regionally restricted euxassay_003834_15

Specimen euxassay_003834_16: embryonic day 14.5 (more )
Structure Level Pattern Image Note
TS23: body cavity or lining Moderate Regionally restricted euxassay_003834_16
TS23: embryo mesenchyme Moderate Regionally restricted euxassay_003834_16
TS23: cardiovascular system Moderate Regionally restricted euxassay_003834_16
TS23: gland Moderate Regionally restricted euxassay_003834_16
TS23: integumental system Moderate Regionally restricted euxassay_003834_16
TS23: nervous system Moderate Regionally restricted euxassay_003834_16
TS23: sensory organ system Moderate Regionally restricted euxassay_003834_16
TS23: alimentary system Moderate Regionally restricted euxassay_003834_16
TS23: urinary system Moderate Regionally restricted euxassay_003834_16
TS23: reproductive system Moderate Regionally restricted euxassay_003834_16
TS23: respiratory system Moderate Regionally restricted euxassay_003834_16
TS23: skeleton Moderate Regionally restricted euxassay_003834_16
TS23: vertebral axis musculature Moderate Regionally restricted euxassay_003834_16

Specimen euxassay_003834_17: embryonic day 14.5 (more )
Structure Level Pattern Image Note
TS23: body cavity or lining Moderate Regionally restricted euxassay_003834_17
TS23: embryo mesenchyme Moderate Regionally restricted euxassay_003834_17
TS23: cardiovascular system Moderate Regionally restricted euxassay_003834_17
TS23: gland Moderate Regionally restricted euxassay_003834_17
TS23: integumental system Moderate Regionally restricted euxassay_003834_17
TS23: nervous system Moderate Regionally restricted euxassay_003834_17
TS23: sensory organ system Moderate Regionally restricted euxassay_003834_17
TS23: alimentary system Moderate Regionally restricted euxassay_003834_17
TS23: urinary system Moderate Regionally restricted euxassay_003834_17
TS23: reproductive system Moderate Regionally restricted euxassay_003834_17
TS23: respiratory system Moderate Regionally restricted euxassay_003834_17
TS23: skeleton Moderate Regionally restricted euxassay_003834_17
TS23: vertebral axis musculature Moderate Regionally restricted euxassay_003834_17

Specimen euxassay_003834_18: embryonic day 14.5 (more )
Structure Level Pattern Image Note
TS23: body cavity or lining Moderate Regionally restricted euxassay_003834_18
TS23: embryo mesenchyme Moderate Regionally restricted euxassay_003834_18
TS23: organ system Moderate Regionally restricted euxassay_003834_18
TS23: cardiovascular system Moderate Regionally restricted euxassay_003834_18
TS23: gland Moderate Regionally restricted euxassay_003834_18
TS23: integumental system Moderate Regionally restricted euxassay_003834_18
TS23: nervous system Moderate Regionally restricted euxassay_003834_18
TS23: sensory organ system Moderate Regionally restricted euxassay_003834_18
TS23: alimentary system Moderate Regionally restricted euxassay_003834_18
TS23: urinary system Moderate Regionally restricted euxassay_003834_18
TS23: reproductive system Moderate Regionally restricted euxassay_003834_18
TS23: respiratory system Moderate Regionally restricted euxassay_003834_18
TS23: skeleton Moderate Regionally restricted euxassay_003834_18
TS23: vertebral axis musculature Moderate Regionally restricted euxassay_003834_18

Specimen euxassay_003834_19: embryonic day 14.5 (more )
Structure Level Pattern Image Note
TS23: body cavity or lining Moderate Regionally restricted euxassay_003834_19
TS23: limb Moderate Regionally restricted euxassay_003834_19
TS23: embryo mesenchyme Moderate Regionally restricted euxassay_003834_19
TS23: cardiovascular system Moderate Regionally restricted euxassay_003834_19
TS23: gland Moderate Regionally restricted euxassay_003834_19
TS23: integumental system Moderate Regionally restricted euxassay_003834_19
TS23: nervous system Moderate Regionally restricted euxassay_003834_19
TS23: sensory organ system Moderate Regionally restricted euxassay_003834_19
TS23: alimentary system Moderate Regionally restricted euxassay_003834_19
TS23: urinary system Moderate Regionally restricted euxassay_003834_19
TS23: reproductive system Moderate Regionally restricted euxassay_003834_19
TS23: skeleton Moderate Regionally restricted euxassay_003834_19
TS23: vertebral axis musculature Moderate Regionally restricted euxassay_003834_19

Specimen euxassay_003834_20: embryonic day 14.5 (more )
Structure Level Pattern Image Note
TS23: body cavity or lining Moderate Regionally restricted euxassay_003834_20
TS23: limb Moderate Regionally restricted euxassay_003834_20
TS23: organ system Moderate Regionally restricted euxassay_003834_20
TS23: embryo mesenchyme Moderate Regionally restricted euxassay_003834_20
TS23: cardiovascular system Moderate Regionally restricted euxassay_003834_20
TS23: gland Moderate Regionally restricted euxassay_003834_20
TS23: integumental system Moderate Regionally restricted euxassay_003834_20
TS23: nervous system Moderate Regionally restricted euxassay_003834_20
TS23: sensory organ system Moderate Regionally restricted euxassay_003834_20
TS23: alimentary system Moderate Regionally restricted euxassay_003834_20
TS23: urinary system Moderate Regionally restricted euxassay_003834_20
TS23: reproductive system Moderate Regionally restricted euxassay_003834_20
TS23: respiratory system Moderate Regionally restricted euxassay_003834_20
TS23: skeleton Moderate Regionally restricted euxassay_003834_20
TS23: vertebral axis musculature Moderate Regionally restricted euxassay_003834_20

Specimen euxassay_003834_21: embryonic day 14.5 (more )
Structure Level Pattern Image Note
TS23: body cavity or lining Moderate Regionally restricted euxassay_003834_21
TS23: limb Moderate Regionally restricted euxassay_003834_21
TS23: embryo mesenchyme Moderate Regionally restricted euxassay_003834_21
TS23: organ system Moderate Regionally restricted euxassay_003834_21
TS23: gland Moderate Regionally restricted euxassay_003834_21
TS23: integumental system Moderate Regionally restricted euxassay_003834_21
TS23: nervous system Moderate Regionally restricted euxassay_003834_21
TS23: sensory organ system Moderate Regionally restricted euxassay_003834_21
TS23: alimentary system Moderate Regionally restricted euxassay_003834_21
TS23: urinary system Moderate Regionally restricted euxassay_003834_21
TS23: reproductive system Moderate Regionally restricted euxassay_003834_21
TS23: respiratory system Moderate Regionally restricted euxassay_003834_21
TS23: skeleton Moderate Regionally restricted euxassay_003834_21
TS23: vertebral axis musculature Moderate Regionally restricted euxassay_003834_21

Specimen euxassay_003834_22: embryonic day 14.5 (more )
Structure Level Pattern Image Note
TS23: body cavity or lining Moderate Regionally restricted euxassay_003834_22
TS23: limb Moderate Regionally restricted euxassay_003834_22
TS23: embryo mesenchyme Moderate Regionally restricted euxassay_003834_22
TS23: cardiovascular system Moderate Regionally restricted euxassay_003834_22
TS23: gland Moderate Regionally restricted euxassay_003834_22
TS23: integumental system Moderate Regionally restricted euxassay_003834_22
TS23: nervous system Moderate Regionally restricted euxassay_003834_22
TS23: sensory organ system Moderate Regionally restricted euxassay_003834_22
TS23: alimentary system Moderate Regionally restricted euxassay_003834_22
TS23: urinary system Moderate Regionally restricted euxassay_003834_22
TS23: reproductive system Moderate Regionally restricted euxassay_003834_22
TS23: respiratory system Moderate Regionally restricted euxassay_003834_22
TS23: skeleton Moderate Regionally restricted euxassay_003834_22
TS23: vertebral axis musculature Moderate Regionally restricted euxassay_003834_22

Specimen euxassay_003834_23: embryonic day 14.5 (more )
Structure Level Pattern Image Note
TS23: body cavity or lining Moderate Regionally restricted euxassay_003834_23
TS23: limb Moderate Regionally restricted euxassay_003834_23
TS23: embryo mesenchyme Moderate Regionally restricted euxassay_003834_23
TS23: cardiovascular system Moderate Regionally restricted euxassay_003834_23
TS23: gland Moderate Regionally restricted euxassay_003834_23
TS23: integumental system Moderate Regionally restricted euxassay_003834_23
TS23: nervous system Moderate Regionally restricted euxassay_003834_23
TS23: sensory organ system Moderate Regionally restricted euxassay_003834_23
TS23: alimentary system Moderate Regionally restricted euxassay_003834_23
TS23: urinary system Moderate Regionally restricted euxassay_003834_23
TS23: reproductive system Moderate Regionally restricted euxassay_003834_23
TS23: respiratory system Moderate Regionally restricted euxassay_003834_23
TS23: skeleton Moderate Regionally restricted euxassay_003834_23
TS23: vertebral axis musculature Moderate Regionally restricted euxassay_003834_23


Contributing Projects:
Mouse Genome Database (MGD), Gene Expression Database (GXD), Mouse Models of Human Cancer database (MMHCdb) (formerly Mouse Tumor Biology (MTB)), Gene Ontology (GO)
Citing These Resources
Funding Information
Warranty Disclaimer, Privacy Notice, Licensing, & Copyright
Send questions and comments to User Support.
last database update
12/30/2025
MGI 6.24
The Jackson Laboratory