About   Help   FAQ
Gene Expression Data
Assay Details
Assay
Reference: J:153498 Diez-Roux G, et al., A high-resolution anatomical atlas of the transcriptome in the mouse embryo. PLoS Biol. 2011;9(1):e1000582
Assay type: RNA in situ
MGI Accession ID: MGI:4826836
Gene symbol: Nupr1
Gene name: nuclear protein transcription regulator 1
Probe: MGC clone 6602
Probe preparation: Antisense labelled with digoxigenin RNA
Visualized with: Alkaline phosphatase
Assay notes: Cryosections of fresh frozen material were fixed in 4% paraformaldehyde for 20 min. before further processing. A tyramide-biotin/streptavidin amplification step was included in the in situ hybridization procedure.
Results
Specimen euxassay_002170_01: embryonic day 14.5 (more )
Structure Level Pattern Image Note
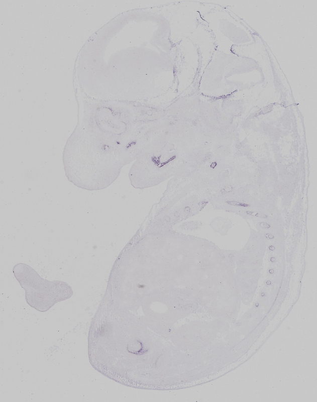
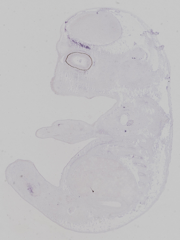
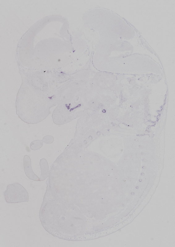
TS23: orbito-sphenoid Strong Regionally restricted euxassay_002170_01

Specimen euxassay_002170_02: embryonic day 14.5 (more )
Structure Level Pattern Image Note
TS23: orbito-sphenoid Strong Regionally restricted euxassay_002170_02

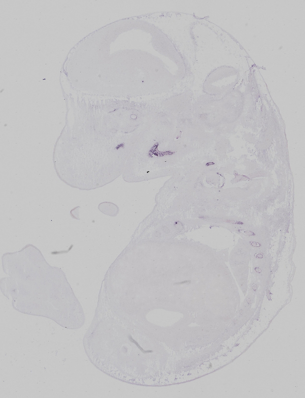
Specimen euxassay_002170_03: embryonic day 14.5 (more )
Structure Level Pattern Image Note
TS23: orbito-sphenoid Strong Regionally restricted euxassay_002170_03
TS23: Meckel's cartilage Strong Regionally restricted euxassay_002170_03

Specimen euxassay_002170_04: embryonic day 14.5 (more )
Structure Level Pattern Image Note
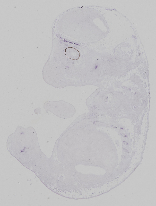
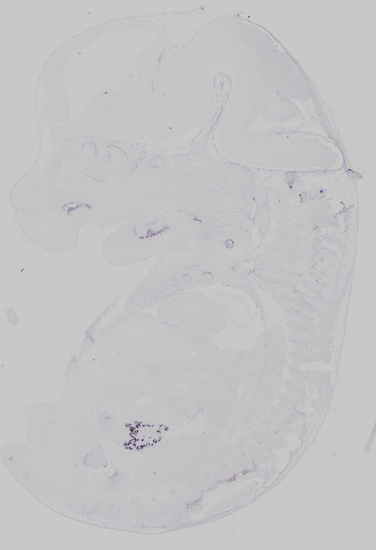
TS23: Meckel's cartilage Strong Regionally restricted euxassay_002170_04
TS23: lower jaw molar Strong Regionally restricted euxassay_002170_04
TS23: upper jaw molar Strong Regionally restricted euxassay_002170_04

Specimen euxassay_002170_05: embryonic day 14.5 (more )
Structure Level Pattern Image Note
TS23: Meckel's cartilage Strong Regionally restricted euxassay_002170_05
TS23: lower jaw molar Strong Regionally restricted euxassay_002170_05
TS23: upper jaw molar Strong Regionally restricted euxassay_002170_05

Specimen euxassay_002170_06: embryonic day 14.5 (more )
Structure Level Pattern Image Note
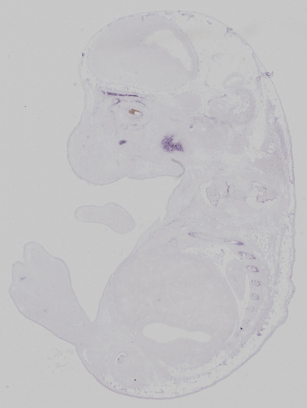
TS23: Meckel's cartilage Strong Regionally restricted euxassay_002170_06
TS23: lower jaw molar Strong Regionally restricted euxassay_002170_06
TS23: upper jaw molar Strong Regionally restricted euxassay_002170_06

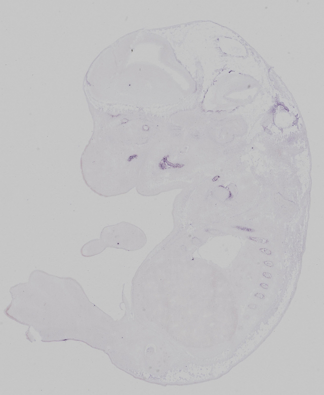
Specimen euxassay_002170_07: embryonic day 14.5 (more )
Structure Level Pattern Image Note
TS23: upper jaw molar Strong Regionally restricted euxassay_002170_07
TS23: lower jaw molar Strong Regionally restricted euxassay_002170_07
TS23: Meckel's cartilage Strong Regionally restricted euxassay_002170_07
TS23: pancreas Strong Regionally restricted euxassay_002170_07

Specimen euxassay_002170_08: embryonic day 14.5 (more )
Structure Level Pattern Image Note
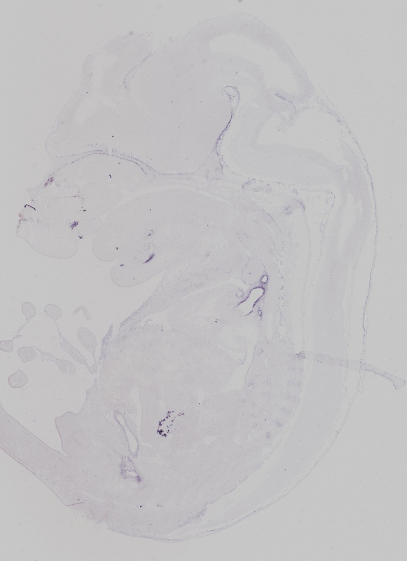
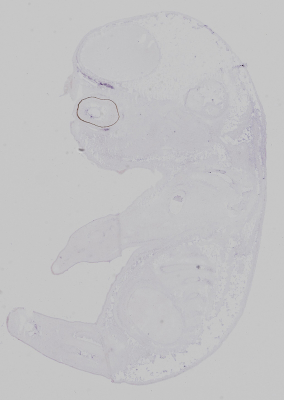
TS23: lower jaw incisor Strong Regionally restricted euxassay_002170_08
TS23: upper jaw incisor Strong Regionally restricted euxassay_002170_08
TS23: pancreas Strong Regionally restricted euxassay_002170_08

Specimen euxassay_002170_09: embryonic day 14.5 (more )
Structure Level Pattern Image Note
TS23: lower jaw incisor Strong Regionally restricted euxassay_002170_09
TS23: upper jaw incisor Strong Regionally restricted euxassay_002170_09
TS23: pancreas Strong Regionally restricted euxassay_002170_09

Specimen euxassay_002170_10: embryonic day 14.5 (more )
Structure Level Pattern Image Note
TS23: pancreas Strong Regionally restricted euxassay_002170_10

Specimen euxassay_002170_12: embryonic day 14.5 (more )
Structure Level Pattern Image Note
TS23: pancreas Strong Regionally restricted euxassay_002170_12

Specimen euxassay_002170_13: embryonic day 14.5 (more )
Structure Level Pattern Image Note
TS23: lower jaw incisor Strong Regionally restricted euxassay_002170_13
TS23: upper jaw incisor Strong Regionally restricted euxassay_002170_13
TS23: pancreas Strong Regionally restricted euxassay_002170_13

Specimen euxassay_002170_14: embryonic day 14.5 (more )
Structure Level Pattern Image Note
TS23: lower jaw incisor Strong Regionally restricted euxassay_002170_14
TS23: upper jaw incisor Strong Regionally restricted euxassay_002170_14

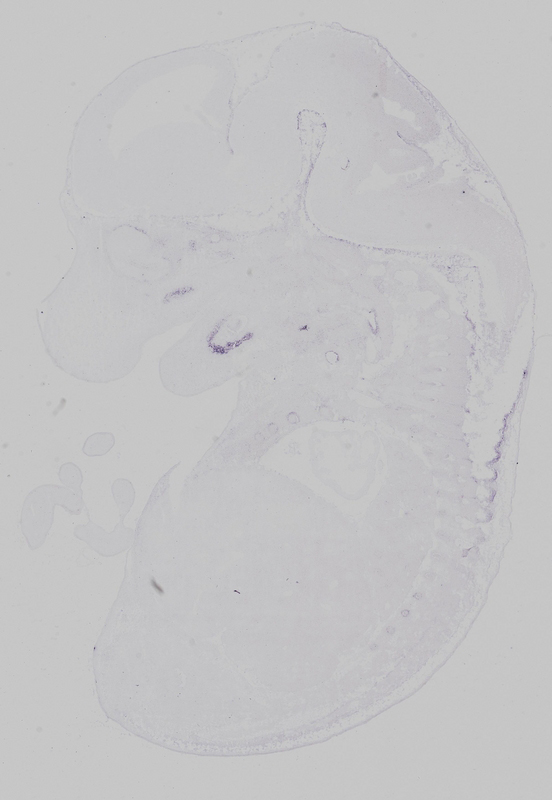
Specimen euxassay_002170_15: embryonic day 14.5 (more )
Structure Level Pattern Image Note
TS23: Meckel's cartilage Strong Regionally restricted euxassay_002170_15

Specimen euxassay_002170_16: embryonic day 14.5 (more )
Structure Level Pattern Image Note
TS23: upper jaw molar Strong Regionally restricted euxassay_002170_16
TS23: lower jaw molar Strong Regionally restricted euxassay_002170_16
TS23: Meckel's cartilage Strong Regionally restricted euxassay_002170_16

Specimen euxassay_002170_17: embryonic day 14.5 (more )
Structure Level Pattern Image Note
TS23: upper jaw molar Strong Regionally restricted euxassay_002170_17
TS23: lower jaw molar Strong Regionally restricted euxassay_002170_17
TS23: Meckel's cartilage Strong Regionally restricted euxassay_002170_17

Specimen euxassay_002170_18: embryonic day 14.5 (more )
Structure Level Pattern Image Note
TS23: upper jaw molar Strong Regionally restricted euxassay_002170_18
TS23: lower jaw molar Strong Regionally restricted euxassay_002170_18
TS23: Meckel's cartilage Strong Regionally restricted euxassay_002170_18

Specimen euxassay_002170_19: embryonic day 14.5 (more )
Structure Level Pattern Image Note
TS23: Meckel's cartilage Strong Regionally restricted euxassay_002170_19
TS23: upper jaw molar Strong Regionally restricted euxassay_002170_19
TS23: lower jaw molar Strong Regionally restricted euxassay_002170_19

Specimen euxassay_002170_20: embryonic day 14.5 (more )
Structure Level Pattern Image Note
TS23: orbito-sphenoid Strong Regionally restricted euxassay_002170_20
TS23: Meckel's cartilage Strong Regionally restricted euxassay_002170_20

Specimen euxassay_002170_21: embryonic day 14.5 (more )
Structure Level Pattern Image Note
TS23: orbito-sphenoid Strong Regionally restricted euxassay_002170_21
TS23: Meckel's cartilage Strong Regionally restricted euxassay_002170_21

Specimen euxassay_002170_22: embryonic day 14.5 (more )
Structure Level Pattern Image Note
TS23: orbito-sphenoid Strong Regionally restricted euxassay_002170_22


Contributing Projects:
Mouse Genome Database (MGD), Gene Expression Database (GXD), Mouse Models of Human Cancer database (MMHCdb) (formerly Mouse Tumor Biology (MTB)), Gene Ontology (GO)
Citing These Resources
Funding Information
Warranty Disclaimer, Privacy Notice, Licensing, & Copyright
Send questions and comments to User Support.
last database update
03/31/2026
MGI 6.24
The Jackson Laboratory