About   Help   FAQ
Gene Expression Data
Assay Details
Assay
Reference: J:153498 Diez-Roux G, et al., A high-resolution anatomical atlas of the transcriptome in the mouse embryo. PLoS Biol. 2011;9(1):e1000582
Assay type: RNA in situ
MGI Accession ID: MGI:4826783
Gene symbol: Nr2e1
Gene name: nuclear receptor subfamily 2, group E, member 1
Probe: MH806 probe 711
Probe preparation: Antisense labelled with digoxigenin RNA
Visualized with: Alkaline phosphatase
Assay notes: Cryosections of fresh frozen material were fixed in 4% paraformaldehyde for 20 min. before further processing. A tyramide-biotin/streptavidin amplification step was included in the in situ hybridization procedure.
Results
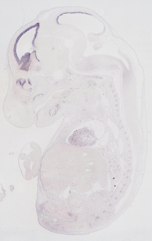
Specimen euxassay_007249_01: embryonic day 14.5 (more )
Structure Level Pattern Image Note
TS23: neural retina Moderate Regionally restricted euxassay_007249_01

Specimen euxassay_007249_02: embryonic day 14.5 (more )
Structure Level Pattern Image Note
TS23: neural retina Moderate Regionally restricted euxassay_007249_02

Specimen euxassay_007249_03: embryonic day 14.5 (more )
Structure Level Pattern Image Note
TS23: neural retina Moderate Regionally restricted euxassay_007249_03

Specimen euxassay_007249_04: embryonic day 14.5 (more )
Structure Level Pattern Image Note
TS23: neural retina Moderate Regionally restricted euxassay_007249_04
TS23: telencephalon ventricular layer Strong Uniform euxassay_007249_04

Specimen euxassay_007249_05: embryonic day 14.5 (more )
Structure Level Pattern Image Note
TS23: telencephalon ventricular layer Strong Uniform euxassay_007249_05

Specimen euxassay_007249_06: embryonic day 14.5 (more )
Structure Level Pattern Image Note
TS23: telencephalon ventricular layer Strong Uniform euxassay_007249_06

Specimen euxassay_007249_07: embryonic day 14.5 (more )
Structure Level Pattern Image Note
TS23: telencephalon ventricular layer Strong Uniform euxassay_007249_07
TS23: olfactory epithelium Moderate Regionally restricted euxassay_007249_07

Specimen euxassay_007249_08: embryonic day 14.5 (more )
Structure Level Pattern Image Note
TS23: telencephalon ventricular layer Strong Uniform euxassay_007249_08
TS23: olfactory epithelium Weak Regionally restricted euxassay_007249_08

Specimen euxassay_007249_09: embryonic day 14.5 (more )
Structure Level Pattern Image Note
TS23: olfactory cortex ventricular layer Strong Uniform euxassay_007249_09
TS23: telencephalon ventricular layer Strong Uniform euxassay_007249_09
TS23: olfactory epithelium Moderate Regionally restricted euxassay_007249_09

Specimen euxassay_007249_10: embryonic day 14.5 (more )
Structure Level Pattern Image Note
TS23: olfactory cortex ventricular layer Strong Uniform euxassay_007249_10
TS23: telencephalon ventricular layer Strong Uniform euxassay_007249_10
TS23: olfactory epithelium Moderate Regionally restricted euxassay_007249_10

Specimen euxassay_007249_11: embryonic day 14.5 (more )
Structure Level Pattern Image Note
TS23: telencephalon ventricular layer Strong Uniform euxassay_007249_11
TS23: olfactory epithelium Moderate Regionally restricted euxassay_007249_11

Specimen euxassay_007249_12: embryonic day 14.5 (more )
Structure Level Pattern Image Note
TS23: telencephalon ventricular layer Strong Uniform euxassay_007249_12
TS23: olfactory epithelium Moderate Regionally restricted euxassay_007249_12

Specimen euxassay_007249_13: embryonic day 14.5 (more )
Structure Level Pattern Image Note
TS23: hypothalamus ventricular layer Strong Uniform euxassay_007249_13
TS23: diencephalon lateral wall ventricular layer Strong Uniform euxassay_007249_13
TS23: telencephalon ventricular layer Strong Uniform euxassay_007249_13
TS23: midbrain ventricular layer Moderate Regionally restricted euxassay_007249_13
TS23: heart ventricle Moderate Spotted euxassay_007249_13

Specimen euxassay_007249_14: embryonic day 14.5 (more )
Structure Level Pattern Image Note
TS23: hypothalamus ventricular layer Strong Uniform euxassay_007249_14
TS23: diencephalon lateral wall ventricular layer Strong Uniform euxassay_007249_14
TS23: midbrain ventricular layer Moderate Regionally restricted euxassay_007249_14
TS23: olfactory epithelium Moderate Regionally restricted euxassay_007249_14
TS23: heart ventricle Moderate Spotted euxassay_007249_14

Specimen euxassay_007249_15: embryonic day 14.5 (more )
Structure Level Pattern Image Note
TS23: olfactory cortex ventricular layer Strong Uniform euxassay_007249_15
TS23: telencephalon ventricular layer Strong Uniform euxassay_007249_15
TS23: hypothalamus ventricular layer Strong Uniform euxassay_007249_15
TS23: diencephalon lateral wall ventricular layer Strong Uniform euxassay_007249_15
TS23: midbrain ventricular layer Moderate Regionally restricted euxassay_007249_15
TS23: olfactory epithelium Moderate Regionally restricted euxassay_007249_15
TS23: heart ventricle Moderate Spotted euxassay_007249_15

Specimen euxassay_007249_16: embryonic day 14.5 (more )
Structure Level Pattern Image Note
TS23: olfactory cortex ventricular layer Strong Uniform euxassay_007249_16
TS23: telencephalon ventricular layer Strong Uniform euxassay_007249_16
TS23: diencephalon lateral wall ventricular layer Strong Uniform euxassay_007249_16
TS23: hypothalamus ventricular layer Strong Uniform euxassay_007249_16
TS23: midbrain ventricular layer Moderate Regionally restricted euxassay_007249_16
TS23: olfactory epithelium Moderate Regionally restricted euxassay_007249_16
TS23: heart ventricle Moderate Spotted euxassay_007249_16

Specimen euxassay_007249_17: embryonic day 14.5 (more )
Structure Level Pattern Image Note
TS23: telencephalon ventricular layer Strong Uniform euxassay_007249_17
TS23: hypothalamus ventricular layer Strong Uniform euxassay_007249_17
TS23: diencephalon lateral wall ventricular layer Strong Uniform euxassay_007249_17
TS23: olfactory cortex ventricular layer Strong Uniform euxassay_007249_17
TS23: midbrain ventricular layer Moderate Regionally restricted euxassay_007249_17
TS23: olfactory epithelium Moderate Regionally restricted euxassay_007249_17
TS23: heart ventricle Moderate Spotted euxassay_007249_17

Specimen euxassay_007249_18: embryonic day 14.5 (more )
Structure Level Pattern Image Note
TS23: telencephalon ventricular layer Strong Uniform euxassay_007249_18
TS23: midbrain ventricular layer Moderate Regionally restricted euxassay_007249_18
TS23: olfactory epithelium Strong Regionally restricted euxassay_007249_18
TS23: heart ventricle Moderate Spotted euxassay_007249_18

Specimen euxassay_007249_19: embryonic day 14.5 (more )
Structure Level Pattern Image Note
TS23: telencephalon ventricular layer Strong Uniform euxassay_007249_19
TS23: midbrain ventricular layer Moderate Regionally restricted euxassay_007249_19
TS23: heart ventricle Moderate Spotted euxassay_007249_19

Specimen euxassay_007249_20: embryonic day 14.5 (more )
Structure Level Pattern Image Note
TS23: telencephalon ventricular layer Strong Uniform euxassay_007249_20
TS23: midbrain ventricular layer Moderate Regionally restricted euxassay_007249_20
TS23: heart ventricle Moderate Spotted euxassay_007249_20

Specimen euxassay_007249_21: embryonic day 14.5 (more )
Structure Level Pattern Image Note
TS23: telencephalon ventricular layer Strong Uniform euxassay_007249_21
TS23: midbrain ventricular layer Moderate Regionally restricted euxassay_007249_21
TS23: heart ventricle Moderate Spotted euxassay_007249_21

Specimen euxassay_007249_22: embryonic day 14.5 (more )
Structure Level Pattern Image Note
TS23: telencephalon ventricular layer Strong Uniform euxassay_007249_22
TS23: midbrain ventricular layer Moderate Regionally restricted euxassay_007249_22

Specimen euxassay_007249_23: embryonic day 14.5 (more )
Structure Level Pattern Image Note
TS23: telencephalon ventricular layer Strong Uniform euxassay_007249_23
TS23: midbrain ventricular layer Moderate Regionally restricted euxassay_007249_23

Specimen euxassay_007249_24: embryonic day 14.5 (more )
Structure Level Pattern Image Note
TS23: neural retina Moderate Regionally restricted euxassay_007249_24
TS23: telencephalon ventricular layer Strong Uniform euxassay_007249_24


Contributing Projects:
Mouse Genome Database (MGD), Gene Expression Database (GXD), Mouse Models of Human Cancer database (MMHCdb) (formerly Mouse Tumor Biology (MTB)), Gene Ontology (GO)
Citing These Resources
Funding Information
Warranty Disclaimer, Privacy Notice, Licensing, & Copyright
Send questions and comments to User Support.
last database update
01/06/2026
MGI 6.24
The Jackson Laboratory